特发性血小板减少性紫癜1例慢性硬膜下血肿的处理。

Ashis Patnaik, Sudhansu S Mishra, Satya B Senapati, Acharya S Pattajoshi
{"title":"特发性血小板减少性紫癜1例慢性硬膜下血肿的处理。","authors":"Ashis Patnaik,&nbsp;Sudhansu S Mishra,&nbsp;Satya B Senapati,&nbsp;Acharya S Pattajoshi","doi":"10.4103/2006-8808.110265","DOIUrl":null,"url":null,"abstract":"<p><p>Intracranial hemorrhage is a rare devastating complication of idiopathic thrombocytopenic purpura (ITP), mostly presenting as intraparenchymal or subarachnoid haemorrhage. Isolated chronic subdural haematoma (SDH) is still very rare and the optimal management is unsettled. Spontaneous resolution of chronic SDH in patients with idiopathic thrombocytopenic purpura is possible. We report a case of spontaneous chronic SDH in a patient with ITP with hemiparesis where the haematoma significantly decreased in size with complete resolution of hemiparesis as a result of platelet transfusions and continuing therapy with steroids. Surgical treatment of subdural haematoma with consequent bleeding complications can be avoided in this scenario.</p>","PeriodicalId":89430,"journal":{"name":"Journal of surgical technique and case report","volume":"4 2","pages":"132-4"},"PeriodicalIF":0.0000,"publicationDate":"2012-07-01","publicationTypes":"Journal Article","fieldsOfStudy":null,"isOpenAccess":false,"openAccessPdf":"https://ftp.ncbi.nlm.nih.gov/pub/pmc/oa_pdf/83/22/JSTCR-4-132.PMC3673359.pdf","citationCount":"2","resultStr":"{\"title\":\"Management of chronic subdural haematoma in a case of idiopathic thrombocytopenic purpura.\",\"authors\":\"Ashis Patnaik,&nbsp;Sudhansu S Mishra,&nbsp;Satya B Senapati,&nbsp;Acharya S Pattajoshi\",\"doi\":\"10.4103/2006-8808.110265\",\"DOIUrl\":null,\"url\":null,\"abstract\":\"<p><p>Intracranial hemorrhage is a rare devastating complication of idiopathic thrombocytopenic purpura (ITP), mostly presenting as intraparenchymal or subarachnoid haemorrhage. Isolated chronic subdural haematoma (SDH) is still very rare and the optimal management is unsettled. Spontaneous resolution of chronic SDH in patients with idiopathic thrombocytopenic purpura is possible. We report a case of spontaneous chronic SDH in a patient with ITP with hemiparesis where the haematoma significantly decreased in size with complete resolution of hemiparesis as a result of platelet transfusions and continuing therapy with steroids. Surgical treatment of subdural haematoma with consequent bleeding complications can be avoided in this scenario.</p>\",\"PeriodicalId\":89430,\"journal\":{\"name\":\"Journal of surgical technique and case report\",\"volume\":\"4 2\",\"pages\":\"132-4\"},\"PeriodicalIF\":0.0000,\"publicationDate\":\"2012-07-01\",\"publicationTypes\":\"Journal Article\",\"fieldsOfStudy\":null,\"isOpenAccess\":false,\"openAccessPdf\":\"https://ftp.ncbi.nlm.nih.gov/pub/pmc/oa_pdf/83/22/JSTCR-4-132.PMC3673359.pdf\",\"citationCount\":\"2\",\"resultStr\":null,\"platform\":\"Semanticscholar\",\"paperid\":null,\"PeriodicalName\":\"Journal of surgical technique and case report\",\"FirstCategoryId\":\"1085\",\"ListUrlMain\":\"https://doi.org/10.4103/2006-8808.110265\",\"RegionNum\":0,\"RegionCategory\":null,\"ArticlePicture\":[],\"TitleCN\":null,\"AbstractTextCN\":null,\"PMCID\":null,\"EPubDate\":\"\",\"PubModel\":\"\",\"JCR\":\"\",\"JCRName\":\"\",\"Score\":null,\"Total\":0}","platform":"Semanticscholar","paperid":null,"PeriodicalName":"Journal of surgical technique and case report","FirstCategoryId":"1085","ListUrlMain":"https://doi.org/10.4103/2006-8808.110265","RegionNum":0,"RegionCategory":null,"ArticlePicture":[],"TitleCN":null,"AbstractTextCN":null,"PMCID":null,"EPubDate":"","PubModel":"","JCR":"","JCRName":"","Score":null,"Total":0}
引用次数: 2

摘要

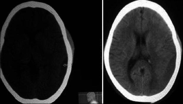
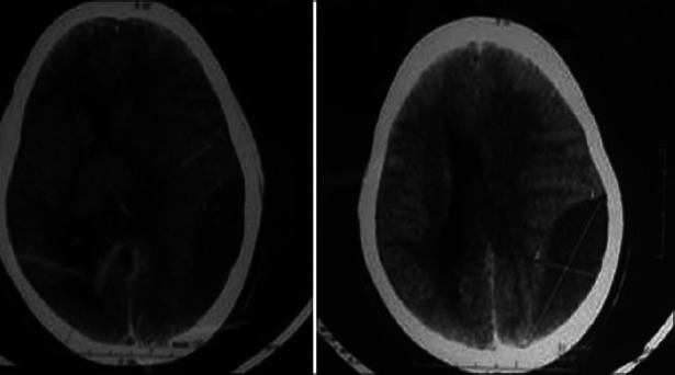
颅内出血是特发性血小板减少性紫癜(ITP)的一种罕见的破坏性并发症,主要表现为肺实质内或蛛网膜下腔出血。孤立的慢性硬膜下血肿(SDH)仍然是非常罕见的,最佳的处理是不确定的。自发性解决慢性SDH患者特发性血小板减少性紫癜是可能的。我们报告一例自发性慢性SDH患者的ITP伴有偏瘫,血肿的大小明显减少,完全解决偏瘫的结果,血小板输注和继续治疗类固醇。在这种情况下,可以避免手术治疗硬膜下血肿和随之而来的出血并发症。
本文章由计算机程序翻译,如有差异,请以英文原文为准。

Management of chronic subdural haematoma in a case of idiopathic thrombocytopenic purpura.

Management of chronic subdural haematoma in a case of idiopathic thrombocytopenic purpura.

Management of chronic subdural haematoma in a case of idiopathic thrombocytopenic purpura.

Intracranial hemorrhage is a rare devastating complication of idiopathic thrombocytopenic purpura (ITP), mostly presenting as intraparenchymal or subarachnoid haemorrhage. Isolated chronic subdural haematoma (SDH) is still very rare and the optimal management is unsettled. Spontaneous resolution of chronic SDH in patients with idiopathic thrombocytopenic purpura is possible. We report a case of spontaneous chronic SDH in a patient with ITP with hemiparesis where the haematoma significantly decreased in size with complete resolution of hemiparesis as a result of platelet transfusions and continuing therapy with steroids. Surgical treatment of subdural haematoma with consequent bleeding complications can be avoided in this scenario.

求助全文
通过发布文献求助,成功后即可免费获取论文全文。 去求助
来源期刊
自引率
0.00%
发文量
0
×
引用
GB/T 7714-2015
复制
MLA
复制
APA
复制
导出至
BibTeX EndNote RefMan NoteFirst NoteExpress
×
提示
您的信息不完整,为了账户安全,请先补充。
现在去补充
×
提示
您因"违规操作"
具体请查看互助需知
我知道了
×
提示
确定
请完成安全验证×
copy
已复制链接
快去分享给好友吧!
我知道了
右上角分享
点击右上角分享
0
联系我们:info@booksci.cn Book学术提供免费学术资源搜索服务,方便国内外学者检索中英文文献。致力于提供最便捷和优质的服务体验。 Copyright © 2023 布克学术 All rights reserved.
京ICP备2023020795号-1
ghs 京公网安备 11010802042870号
Book学术文献互助
Book学术文献互助群
群 号:604180095
Book学术官方微信