关节镜下从髋臼(髋关节)取出子弹。

Jamal Al-Asiri, Ivan Wong
{"title":"关节镜下从髋臼(髋关节)取出子弹。","authors":"Jamal Al-Asiri, Ivan Wong","doi":"10.4103/2006-8808.110260","DOIUrl":null,"url":null,"abstract":"<p><p>Hip arthroscopy has been shown to offer minimally invasive access to the hip joint compared with standard open arthrotomy. The use of arthroscopy for diagnosing and treating disorders about the hip continues to evolve. This study describes a case that involves arthroscopic removal of a bullet from a low-velocity gunshot wound. The patient sustained a gunshot wound that entered the abdomen and traversed the small bowel, sigmoid colon then penetrated the urinary bladder before ending up in the medial wall of the acetabulum. After surgical repair of the viscus, the bullet was retrieved from the hip joint using standard arthroscopic portals and a fracture table. A number of issues led to the decision to use arthroscopy. Most importantly was the need to minimize soft tissue dissection, which was required to access the bullet, without interfering with previous wound at the suprapubic area. The risks of potential bullet fragmentation and migration, as well as a possible abdominal compartment syndrome were considered before proceeding. Arthroscopy allowed adequate inspection of the articular surface, irrigation of the joint, and removal of the foreign body while avoiding an invasive arthrotomy with its associated morbidity and soft tissue disruption. This surgical technique afforded a very satisfactory outcome for this patient and serves as a model for others when encountering a similar injury pattern in a trauma patient. It is a procedure that can be performed safely, quickly, and with minimal complications for surgeons with experience in arthroscopy of the hip joint.</p>","PeriodicalId":89430,"journal":{"name":"Journal of surgical technique and case report","volume":"4 2","pages":"121-5"},"PeriodicalIF":0.0000,"publicationDate":"2012-07-01","publicationTypes":"Journal Article","fieldsOfStudy":null,"isOpenAccess":false,"openAccessPdf":"https://ftp.ncbi.nlm.nih.gov/pub/pmc/oa_pdf/41/a9/JSTCR-4-121.PMC3673356.pdf","citationCount":"0","resultStr":"{\"title\":\"Arthroscopic bullet removal from the acetabulum (hip joint).\",\"authors\":\"Jamal Al-Asiri, Ivan Wong\",\"doi\":\"10.4103/2006-8808.110260\",\"DOIUrl\":null,\"url\":null,\"abstract\":\"<p><p>Hip arthroscopy has been shown to offer minimally invasive access to the hip joint compared with standard open arthrotomy. The use of arthroscopy for diagnosing and treating disorders about the hip continues to evolve. This study describes a case that involves arthroscopic removal of a bullet from a low-velocity gunshot wound. The patient sustained a gunshot wound that entered the abdomen and traversed the small bowel, sigmoid colon then penetrated the urinary bladder before ending up in the medial wall of the acetabulum. After surgical repair of the viscus, the bullet was retrieved from the hip joint using standard arthroscopic portals and a fracture table. A number of issues led to the decision to use arthroscopy. Most importantly was the need to minimize soft tissue dissection, which was required to access the bullet, without interfering with previous wound at the suprapubic area. The risks of potential bullet fragmentation and migration, as well as a possible abdominal compartment syndrome were considered before proceeding. Arthroscopy allowed adequate inspection of the articular surface, irrigation of the joint, and removal of the foreign body while avoiding an invasive arthrotomy with its associated morbidity and soft tissue disruption. This surgical technique afforded a very satisfactory outcome for this patient and serves as a model for others when encountering a similar injury pattern in a trauma patient. It is a procedure that can be performed safely, quickly, and with minimal complications for surgeons with experience in arthroscopy of the hip joint.</p>\",\"PeriodicalId\":89430,\"journal\":{\"name\":\"Journal of surgical technique and case report\",\"volume\":\"4 2\",\"pages\":\"121-5\"},\"PeriodicalIF\":0.0000,\"publicationDate\":\"2012-07-01\",\"publicationTypes\":\"Journal Article\",\"fieldsOfStudy\":null,\"isOpenAccess\":false,\"openAccessPdf\":\"https://ftp.ncbi.nlm.nih.gov/pub/pmc/oa_pdf/41/a9/JSTCR-4-121.PMC3673356.pdf\",\"citationCount\":\"0\",\"resultStr\":null,\"platform\":\"Semanticscholar\",\"paperid\":null,\"PeriodicalName\":\"Journal of surgical technique and case report\",\"FirstCategoryId\":\"1085\",\"ListUrlMain\":\"https://doi.org/10.4103/2006-8808.110260\",\"RegionNum\":0,\"RegionCategory\":null,\"ArticlePicture\":[],\"TitleCN\":null,\"AbstractTextCN\":null,\"PMCID\":null,\"EPubDate\":\"\",\"PubModel\":\"\",\"JCR\":\"\",\"JCRName\":\"\",\"Score\":null,\"Total\":0}","platform":"Semanticscholar","paperid":null,"PeriodicalName":"Journal of surgical technique and case report","FirstCategoryId":"1085","ListUrlMain":"https://doi.org/10.4103/2006-8808.110260","RegionNum":0,"RegionCategory":null,"ArticlePicture":[],"TitleCN":null,"AbstractTextCN":null,"PMCID":null,"EPubDate":"","PubModel":"","JCR":"","JCRName":"","Score":null,"Total":0}
引用次数: 0

摘要

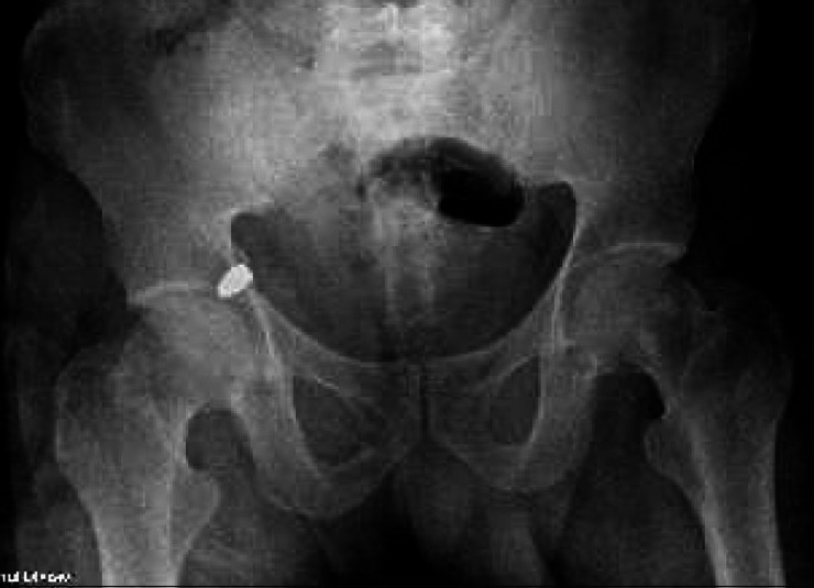
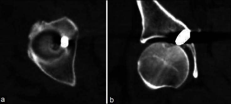
与标准的开放式关节切开术相比,髋关节镜已被证明能以微创方式进入髋关节。关节镜在诊断和治疗髋关节疾病方面的应用在不断发展。本研究描述了一个在关节镜下取出低速枪伤子弹的病例。患者的枪伤进入腹部,穿过小肠和乙状结肠,然后穿透膀胱,最后进入髋臼内侧壁。在对内脏进行手术修复后,使用标准关节镜门户和骨折台从髋关节中取出了子弹。决定使用关节镜的原因有很多。最重要的是需要最大限度地减少软组织剥离,这是取出子弹所必需的,同时又不影响耻骨上区域之前的伤口。在进行手术之前,还考虑了子弹碎片和移位的潜在风险,以及可能出现的腹腔隔综合征。关节镜手术可以充分检查关节表面、冲洗关节并取出异物,同时避免了侵入性关节切开术及其相关的发病率和软组织破坏。这种手术技术为这名患者带来了非常满意的结果,并为其他遇到类似损伤模式的外伤患者提供了范例。对于有髋关节镜手术经验的外科医生来说,这种手术可以安全、快速地进行,而且并发症极少。
本文章由计算机程序翻译,如有差异,请以英文原文为准。

Arthroscopic bullet removal from the acetabulum (hip joint).

Arthroscopic bullet removal from the acetabulum (hip joint).

Arthroscopic bullet removal from the acetabulum (hip joint).

Arthroscopic bullet removal from the acetabulum (hip joint).

Hip arthroscopy has been shown to offer minimally invasive access to the hip joint compared with standard open arthrotomy. The use of arthroscopy for diagnosing and treating disorders about the hip continues to evolve. This study describes a case that involves arthroscopic removal of a bullet from a low-velocity gunshot wound. The patient sustained a gunshot wound that entered the abdomen and traversed the small bowel, sigmoid colon then penetrated the urinary bladder before ending up in the medial wall of the acetabulum. After surgical repair of the viscus, the bullet was retrieved from the hip joint using standard arthroscopic portals and a fracture table. A number of issues led to the decision to use arthroscopy. Most importantly was the need to minimize soft tissue dissection, which was required to access the bullet, without interfering with previous wound at the suprapubic area. The risks of potential bullet fragmentation and migration, as well as a possible abdominal compartment syndrome were considered before proceeding. Arthroscopy allowed adequate inspection of the articular surface, irrigation of the joint, and removal of the foreign body while avoiding an invasive arthrotomy with its associated morbidity and soft tissue disruption. This surgical technique afforded a very satisfactory outcome for this patient and serves as a model for others when encountering a similar injury pattern in a trauma patient. It is a procedure that can be performed safely, quickly, and with minimal complications for surgeons with experience in arthroscopy of the hip joint.

求助全文
通过发布文献求助,成功后即可免费获取论文全文。 去求助
来源期刊
自引率
0.00%
发文量
0
×
引用
GB/T 7714-2015
复制
MLA
复制
APA
复制
导出至
BibTeX EndNote RefMan NoteFirst NoteExpress
×
提示
您的信息不完整,为了账户安全,请先补充。
现在去补充
×
提示
您因"违规操作"
具体请查看互助需知
我知道了
×
提示
确定
请完成安全验证×
copy
已复制链接
快去分享给好友吧!
我知道了
右上角分享
点击右上角分享
0
联系我们:info@booksci.cn Book学术提供免费学术资源搜索服务,方便国内外学者检索中英文文献。致力于提供最便捷和优质的服务体验。 Copyright © 2023 布克学术 All rights reserved.
京ICP备2023020795号-1
ghs 京公网安备 11010802042870号
Book学术文献互助
Book学术文献互助群
群 号:604180095
Book学术官方微信