在st段抬高型心肌梗死的初次PCI治疗中,冠状动脉内腺苷与静脉内腺苷:哪一种治疗微血管阻塞的效果更好?

ISRN cardiology Pub Date : 2013-03-27 Print Date: 2013-01-01 DOI:10.1155/2013/248476
Gemina Doolub, Erica Dall'armellina
{"title":"在st段抬高型心肌梗死的初次PCI治疗中,冠状动脉内腺苷与静脉内腺苷:哪一种治疗微血管阻塞的效果更好?","authors":"Gemina Doolub,&nbsp;Erica Dall'armellina","doi":"10.1155/2013/248476","DOIUrl":null,"url":null,"abstract":"<p><p>Aims. Previous studies have suggested that intravenous administration of adenosine improves myocardial reperfusion and reduces infarct size in ST-elevation myocardial infarction (STEMI) patients. Intracoronary administration of adenosine has shown conflicting results. Methods. In this retrospective, single-centre, blinded clinical study, we assessed whether selective intracoronary administration of adenosine distal to the occlusion site immediately before initial balloon inflation reduces microvascular obstruction (MVO) as assessed with cardiac magnetic resonance imaging (MRI). Using contrast-enhanced sequences, microvascular obstruction (MVO) was calculated. We found 81 patients presenting with STEMI within 12 h from symptom onset who were eligible for the study. In 80/81 (100%) patients receiving the study drug, MRI was performed on Day 1 after primary angioplasty. Results. The prevalence of MVO was reduced in the patients treated with intracoronary adenosine, (45%) compared to 85% of patients who were administered intravenous adenosine (P = 0.0043). We found that the size of MVO in patients receiving intracoronary adenosine was significantly reduced compared to 0.91 g in the intravenous-treated group (P = 0.027). There was no statistically significant difference in TIMI flow and clinical outcomes after primary PCI. Conclusion. We found significant evidence that selective high-dose intracoronary administration of adenosine distal to the occlusion site of the culprit lesion in STEMI patients results in a decrease in microvascular obstruction.</p>","PeriodicalId":73519,"journal":{"name":"ISRN cardiology","volume":"2013 ","pages":"248476"},"PeriodicalIF":0.0000,"publicationDate":"2013-03-27","publicationTypes":"Journal Article","fieldsOfStudy":null,"isOpenAccess":false,"openAccessPdf":"https://www.ncbi.nlm.nih.gov/pmc/articles/PMC3623473/pdf/","citationCount":"4","resultStr":"{\"title\":\"Intracoronary adenosine versus intravenous adenosine during primary PCI for ST-elevation myocardial infarction: which one offers better outcomes in terms of microvascular obstruction?\",\"authors\":\"Gemina Doolub,&nbsp;Erica Dall'armellina\",\"doi\":\"10.1155/2013/248476\",\"DOIUrl\":null,\"url\":null,\"abstract\":\"<p><p>Aims. Previous studies have suggested that intravenous administration of adenosine improves myocardial reperfusion and reduces infarct size in ST-elevation myocardial infarction (STEMI) patients. Intracoronary administration of adenosine has shown conflicting results. Methods. In this retrospective, single-centre, blinded clinical study, we assessed whether selective intracoronary administration of adenosine distal to the occlusion site immediately before initial balloon inflation reduces microvascular obstruction (MVO) as assessed with cardiac magnetic resonance imaging (MRI). Using contrast-enhanced sequences, microvascular obstruction (MVO) was calculated. We found 81 patients presenting with STEMI within 12 h from symptom onset who were eligible for the study. In 80/81 (100%) patients receiving the study drug, MRI was performed on Day 1 after primary angioplasty. Results. The prevalence of MVO was reduced in the patients treated with intracoronary adenosine, (45%) compared to 85% of patients who were administered intravenous adenosine (P = 0.0043). We found that the size of MVO in patients receiving intracoronary adenosine was significantly reduced compared to 0.91 g in the intravenous-treated group (P = 0.027). There was no statistically significant difference in TIMI flow and clinical outcomes after primary PCI. Conclusion. We found significant evidence that selective high-dose intracoronary administration of adenosine distal to the occlusion site of the culprit lesion in STEMI patients results in a decrease in microvascular obstruction.</p>\",\"PeriodicalId\":73519,\"journal\":{\"name\":\"ISRN cardiology\",\"volume\":\"2013 \",\"pages\":\"248476\"},\"PeriodicalIF\":0.0000,\"publicationDate\":\"2013-03-27\",\"publicationTypes\":\"Journal Article\",\"fieldsOfStudy\":null,\"isOpenAccess\":false,\"openAccessPdf\":\"https://www.ncbi.nlm.nih.gov/pmc/articles/PMC3623473/pdf/\",\"citationCount\":\"4\",\"resultStr\":null,\"platform\":\"Semanticscholar\",\"paperid\":null,\"PeriodicalName\":\"ISRN cardiology\",\"FirstCategoryId\":\"1085\",\"ListUrlMain\":\"https://doi.org/10.1155/2013/248476\",\"RegionNum\":0,\"RegionCategory\":null,\"ArticlePicture\":[],\"TitleCN\":null,\"AbstractTextCN\":null,\"PMCID\":null,\"EPubDate\":\"2013/1/1 0:00:00\",\"PubModel\":\"Print\",\"JCR\":\"\",\"JCRName\":\"\",\"Score\":null,\"Total\":0}","platform":"Semanticscholar","paperid":null,"PeriodicalName":"ISRN cardiology","FirstCategoryId":"1085","ListUrlMain":"https://doi.org/10.1155/2013/248476","RegionNum":0,"RegionCategory":null,"ArticlePicture":[],"TitleCN":null,"AbstractTextCN":null,"PMCID":null,"EPubDate":"2013/1/1 0:00:00","PubModel":"Print","JCR":"","JCRName":"","Score":null,"Total":0}
引用次数: 4

摘要

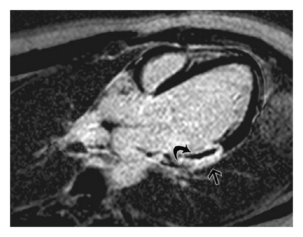
目标先前的研究表明,在st段抬高型心肌梗死(STEMI)患者中,静脉给药腺苷可改善心肌再灌注并减小梗死面积。冠状动脉内给药腺苷显示了相互矛盾的结果。方法。在这项回顾性、单中心、盲法临床研究中,我们通过心脏磁共振成像(MRI)评估了在初始球囊膨胀前立即在闭塞部位远端冠状动脉内选择性给药腺苷是否能减少微血管阻塞(MVO)。利用对比增强序列,计算微血管阻塞(MVO)。我们发现81例在症状出现后12小时内出现STEMI的患者符合研究条件。在80/81(100%)接受研究药物的患者中,在初次血管成形术后第1天进行MRI检查。结果。冠脉内注射腺苷组的MVO患病率降低了45%,而静脉注射腺苷组的MVO患病率为85% (P = 0.0043)。我们发现,与静脉注射组的0.91 g相比,接受冠状动脉内腺苷治疗的患者的MVO大小明显减少(P = 0.027)。初次PCI后TIMI流量及临床结果无统计学差异。结论。我们发现有重要证据表明,STEMI患者在罪魁祸首病变闭塞部位远端冠状动脉内选择性高剂量给药腺苷可减少微血管阻塞。
本文章由计算机程序翻译,如有差异,请以英文原文为准。

Intracoronary adenosine versus intravenous adenosine during primary PCI for ST-elevation myocardial infarction: which one offers better outcomes in terms of microvascular obstruction?

Intracoronary adenosine versus intravenous adenosine during primary PCI for ST-elevation myocardial infarction: which one offers better outcomes in terms of microvascular obstruction?

Intracoronary adenosine versus intravenous adenosine during primary PCI for ST-elevation myocardial infarction: which one offers better outcomes in terms of microvascular obstruction?

Intracoronary adenosine versus intravenous adenosine during primary PCI for ST-elevation myocardial infarction: which one offers better outcomes in terms of microvascular obstruction?

Aims. Previous studies have suggested that intravenous administration of adenosine improves myocardial reperfusion and reduces infarct size in ST-elevation myocardial infarction (STEMI) patients. Intracoronary administration of adenosine has shown conflicting results. Methods. In this retrospective, single-centre, blinded clinical study, we assessed whether selective intracoronary administration of adenosine distal to the occlusion site immediately before initial balloon inflation reduces microvascular obstruction (MVO) as assessed with cardiac magnetic resonance imaging (MRI). Using contrast-enhanced sequences, microvascular obstruction (MVO) was calculated. We found 81 patients presenting with STEMI within 12 h from symptom onset who were eligible for the study. In 80/81 (100%) patients receiving the study drug, MRI was performed on Day 1 after primary angioplasty. Results. The prevalence of MVO was reduced in the patients treated with intracoronary adenosine, (45%) compared to 85% of patients who were administered intravenous adenosine (P = 0.0043). We found that the size of MVO in patients receiving intracoronary adenosine was significantly reduced compared to 0.91 g in the intravenous-treated group (P = 0.027). There was no statistically significant difference in TIMI flow and clinical outcomes after primary PCI. Conclusion. We found significant evidence that selective high-dose intracoronary administration of adenosine distal to the occlusion site of the culprit lesion in STEMI patients results in a decrease in microvascular obstruction.

求助全文
通过发布文献求助,成功后即可免费获取论文全文。 去求助
来源期刊
自引率
0.00%
发文量
0
×
引用
GB/T 7714-2015
复制
MLA
复制
APA
复制
导出至
BibTeX EndNote RefMan NoteFirst NoteExpress
×
提示
您的信息不完整,为了账户安全,请先补充。
现在去补充
×
提示
您因"违规操作"
具体请查看互助需知
我知道了
×
提示
确定
请完成安全验证×
copy
已复制链接
快去分享给好友吧!
我知道了
右上角分享
点击右上角分享
0
联系我们:info@booksci.cn Book学术提供免费学术资源搜索服务,方便国内外学者检索中英文文献。致力于提供最便捷和优质的服务体验。 Copyright © 2023 布克学术 All rights reserved.
京ICP备2023020795号-1
ghs 京公网安备 11010802042870号
Book学术文献互助
Book学术文献互助群
群 号:604180095
Book学术官方微信