弥漫性毛细血管内增生性肾小球肾炎伴风湿性多肌痛1例。

Case reports in nephrology and urology Pub Date : 2012-07-01 Epub Date: 2012-11-15 DOI:10.1159/000345280
Eri Takeshima, Yoshiyuki Morishita, Manabu Ogura, Chiharu Ito, Osamu Saito, Fumi Takemoto, Yasuhiro Ando, Shigeaki Muto, Wako Yumura, Eiji Kusano
{"title":"弥漫性毛细血管内增生性肾小球肾炎伴风湿性多肌痛1例。","authors":"Eri Takeshima,&nbsp;Yoshiyuki Morishita,&nbsp;Manabu Ogura,&nbsp;Chiharu Ito,&nbsp;Osamu Saito,&nbsp;Fumi Takemoto,&nbsp;Yasuhiro Ando,&nbsp;Shigeaki Muto,&nbsp;Wako Yumura,&nbsp;Eiji Kusano","doi":"10.1159/000345280","DOIUrl":null,"url":null,"abstract":"<p><p>A 70-year-old man complained of muscle pain in his neck, shoulders and pelvic girdle. Proteinuria and hematuria subsequently developed. Blood analysis showed increased acute phase reactants. The histology of renal biopsy showed diffuse endocapillary proliferative glomerulonephritis. There were no signs of autoimmune diseases, malignancies and bacterial or viral infections. His extrarenal symptoms and the results of blood analysis fulfilled three different criteria of polymyalgia rheumatica (PMR). Therefore, diffuse endocapillary proliferative glomerulonephritis associated with PMR was diagnosed. After low-dose prednisolone (10 mg/day) treatment, the muscle pain disappeared, acute phase reactants decreased and hematuria and proteinuria improved. The renal complication of PMR is rare but important to be considered early in the right clinical context.</p>","PeriodicalId":89663,"journal":{"name":"Case reports in nephrology and urology","volume":"2 2","pages":"158-64"},"PeriodicalIF":0.0000,"publicationDate":"2012-07-01","publicationTypes":"Journal Article","fieldsOfStudy":null,"isOpenAccess":false,"openAccessPdf":"https://sci-hub-pdf.com/10.1159/000345280","citationCount":"3","resultStr":"{\"title\":\"A case of diffuse endocapillary proliferative glomerulonephritis associated with polymyalgia rheumatica.\",\"authors\":\"Eri Takeshima,&nbsp;Yoshiyuki Morishita,&nbsp;Manabu Ogura,&nbsp;Chiharu Ito,&nbsp;Osamu Saito,&nbsp;Fumi Takemoto,&nbsp;Yasuhiro Ando,&nbsp;Shigeaki Muto,&nbsp;Wako Yumura,&nbsp;Eiji Kusano\",\"doi\":\"10.1159/000345280\",\"DOIUrl\":null,\"url\":null,\"abstract\":\"<p><p>A 70-year-old man complained of muscle pain in his neck, shoulders and pelvic girdle. Proteinuria and hematuria subsequently developed. Blood analysis showed increased acute phase reactants. The histology of renal biopsy showed diffuse endocapillary proliferative glomerulonephritis. There were no signs of autoimmune diseases, malignancies and bacterial or viral infections. His extrarenal symptoms and the results of blood analysis fulfilled three different criteria of polymyalgia rheumatica (PMR). Therefore, diffuse endocapillary proliferative glomerulonephritis associated with PMR was diagnosed. After low-dose prednisolone (10 mg/day) treatment, the muscle pain disappeared, acute phase reactants decreased and hematuria and proteinuria improved. The renal complication of PMR is rare but important to be considered early in the right clinical context.</p>\",\"PeriodicalId\":89663,\"journal\":{\"name\":\"Case reports in nephrology and urology\",\"volume\":\"2 2\",\"pages\":\"158-64\"},\"PeriodicalIF\":0.0000,\"publicationDate\":\"2012-07-01\",\"publicationTypes\":\"Journal Article\",\"fieldsOfStudy\":null,\"isOpenAccess\":false,\"openAccessPdf\":\"https://sci-hub-pdf.com/10.1159/000345280\",\"citationCount\":\"3\",\"resultStr\":null,\"platform\":\"Semanticscholar\",\"paperid\":null,\"PeriodicalName\":\"Case reports in nephrology and urology\",\"FirstCategoryId\":\"1085\",\"ListUrlMain\":\"https://doi.org/10.1159/000345280\",\"RegionNum\":0,\"RegionCategory\":null,\"ArticlePicture\":[],\"TitleCN\":null,\"AbstractTextCN\":null,\"PMCID\":null,\"EPubDate\":\"2012/11/15 0:00:00\",\"PubModel\":\"Epub\",\"JCR\":\"\",\"JCRName\":\"\",\"Score\":null,\"Total\":0}","platform":"Semanticscholar","paperid":null,"PeriodicalName":"Case reports in nephrology and urology","FirstCategoryId":"1085","ListUrlMain":"https://doi.org/10.1159/000345280","RegionNum":0,"RegionCategory":null,"ArticlePicture":[],"TitleCN":null,"AbstractTextCN":null,"PMCID":null,"EPubDate":"2012/11/15 0:00:00","PubModel":"Epub","JCR":"","JCRName":"","Score":null,"Total":0}
引用次数: 3

摘要

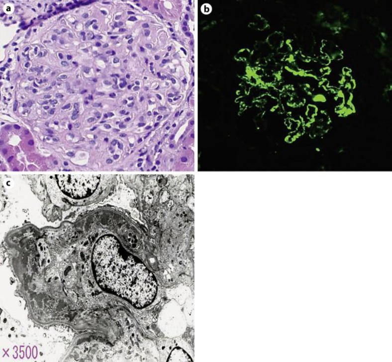
一名70岁男子主诉颈部、肩部和骨盆带肌肉疼痛。随后出现蛋白尿和血尿。血液分析显示急性相反应物增加。肾活检病理表现为弥漫性毛细血管内增生性肾小球肾炎。没有自身免疫性疾病、恶性肿瘤和细菌或病毒感染的迹象。他的肾外症状和血液分析结果符合风湿性多肌痛(PMR)的三个不同标准。因此,弥漫性毛细血管内增殖性肾小球肾炎合并PMR被诊断。小剂量强的松龙(10 mg/d)治疗后,肌肉疼痛消失,急性期反应物减少,血尿、蛋白尿改善。PMR的肾脏并发症是罕见的,但重要的是要及早考虑在正确的临床背景。
本文章由计算机程序翻译,如有差异,请以英文原文为准。

A case of diffuse endocapillary proliferative glomerulonephritis associated with polymyalgia rheumatica.

A case of diffuse endocapillary proliferative glomerulonephritis associated with polymyalgia rheumatica.

A 70-year-old man complained of muscle pain in his neck, shoulders and pelvic girdle. Proteinuria and hematuria subsequently developed. Blood analysis showed increased acute phase reactants. The histology of renal biopsy showed diffuse endocapillary proliferative glomerulonephritis. There were no signs of autoimmune diseases, malignancies and bacterial or viral infections. His extrarenal symptoms and the results of blood analysis fulfilled three different criteria of polymyalgia rheumatica (PMR). Therefore, diffuse endocapillary proliferative glomerulonephritis associated with PMR was diagnosed. After low-dose prednisolone (10 mg/day) treatment, the muscle pain disappeared, acute phase reactants decreased and hematuria and proteinuria improved. The renal complication of PMR is rare but important to be considered early in the right clinical context.

求助全文
通过发布文献求助,成功后即可免费获取论文全文。 去求助
来源期刊
自引率
0.00%
发文量
0
×
引用
GB/T 7714-2015
复制
MLA
复制
APA
复制
导出至
BibTeX EndNote RefMan NoteFirst NoteExpress
×
提示
您的信息不完整,为了账户安全,请先补充。
现在去补充
×
提示
您因"违规操作"
具体请查看互助需知
我知道了
×
提示
确定
请完成安全验证×
copy
已复制链接
快去分享给好友吧!
我知道了
右上角分享
点击右上角分享
0
联系我们:info@booksci.cn Book学术提供免费学术资源搜索服务,方便国内外学者检索中英文文献。致力于提供最便捷和优质的服务体验。 Copyright © 2023 布克学术 All rights reserved.
京ICP备2023020795号-1
ghs 京公网安备 11010802042870号
Book学术文献互助
Book学术文献互助群
群 号:604180095
Book学术官方微信