以氢氧化钙为基础的肛管内药物的生物相容性。

ISRN dentistry Pub Date : 2012-01-01 Epub Date: 2012-12-18 DOI:10.5402/2012/904963
Carolina Andolfatto, Guilherme Ferreira da Silva, Ana Livia Gomes Cornélio, Juliane Maria Guerreiro-Tanomaru, Mario Tanomaru-Filho, Gisele Faria, Idomeo Bonetti-Filho, Paulo Sérgio Cerri
{"title":"以氢氧化钙为基础的肛管内药物的生物相容性。","authors":"Carolina Andolfatto,&nbsp;Guilherme Ferreira da Silva,&nbsp;Ana Livia Gomes Cornélio,&nbsp;Juliane Maria Guerreiro-Tanomaru,&nbsp;Mario Tanomaru-Filho,&nbsp;Gisele Faria,&nbsp;Idomeo Bonetti-Filho,&nbsp;Paulo Sérgio Cerri","doi":"10.5402/2012/904963","DOIUrl":null,"url":null,"abstract":"<p><p>Objective. The aim of this study was to evaluate the rat subcutaneous tissue reaction to calcium hydroxide-based intracanal medicaments, UltraCal XS (calcium hydroxide, barium sulphate, aqueous matrix), Hydropast (calcium hydroxide, barium sulphate, and propyleneglycol), and Calen (Calcium hydroxide, zinc oxide, colophony, and polyethyleneglycol), used as a control. Methods. Forty-eight rats (Rattus Norvegicus Holtzman) were distributed in three groups: Calen, UltraCal XS, and Hydropast. Polyethylene tubes filled with one of the medicaments were implanted in the dorsal subcutaneous. After 7 and 30 days, the implants were removed and the specimens were fixed and embedded in paraffin. Morphological and quantitative analyses were carried out in the HE-stained sections. The numerical density of inflammatory cells in the capsule was evaluated and statistical analyses were performed (P ≤ 0.05). Results. At 7 days, all materials induced an inflammatory reaction in the subcutaneous tissue adjacent to the implants. In all groups, a significant reduction in the number of inflammatory cells and giant cells was verified in the period of 30 days. Conclusion. These results indicate that the calcium hydroxide-based medicaments evaluated present biocompatibility similar to Calen.</p>","PeriodicalId":89396,"journal":{"name":"ISRN dentistry","volume":"2012 ","pages":"904963"},"PeriodicalIF":0.0000,"publicationDate":"2012-01-01","publicationTypes":"Journal Article","fieldsOfStudy":null,"isOpenAccess":false,"openAccessPdf":"https://sci-hub-pdf.com/10.5402/2012/904963","citationCount":"20","resultStr":"{\"title\":\"Biocompatibility of intracanal medications based on calcium hydroxide.\",\"authors\":\"Carolina Andolfatto,&nbsp;Guilherme Ferreira da Silva,&nbsp;Ana Livia Gomes Cornélio,&nbsp;Juliane Maria Guerreiro-Tanomaru,&nbsp;Mario Tanomaru-Filho,&nbsp;Gisele Faria,&nbsp;Idomeo Bonetti-Filho,&nbsp;Paulo Sérgio Cerri\",\"doi\":\"10.5402/2012/904963\",\"DOIUrl\":null,\"url\":null,\"abstract\":\"<p><p>Objective. The aim of this study was to evaluate the rat subcutaneous tissue reaction to calcium hydroxide-based intracanal medicaments, UltraCal XS (calcium hydroxide, barium sulphate, aqueous matrix), Hydropast (calcium hydroxide, barium sulphate, and propyleneglycol), and Calen (Calcium hydroxide, zinc oxide, colophony, and polyethyleneglycol), used as a control. Methods. Forty-eight rats (Rattus Norvegicus Holtzman) were distributed in three groups: Calen, UltraCal XS, and Hydropast. Polyethylene tubes filled with one of the medicaments were implanted in the dorsal subcutaneous. After 7 and 30 days, the implants were removed and the specimens were fixed and embedded in paraffin. Morphological and quantitative analyses were carried out in the HE-stained sections. The numerical density of inflammatory cells in the capsule was evaluated and statistical analyses were performed (P ≤ 0.05). Results. At 7 days, all materials induced an inflammatory reaction in the subcutaneous tissue adjacent to the implants. In all groups, a significant reduction in the number of inflammatory cells and giant cells was verified in the period of 30 days. Conclusion. These results indicate that the calcium hydroxide-based medicaments evaluated present biocompatibility similar to Calen.</p>\",\"PeriodicalId\":89396,\"journal\":{\"name\":\"ISRN dentistry\",\"volume\":\"2012 \",\"pages\":\"904963\"},\"PeriodicalIF\":0.0000,\"publicationDate\":\"2012-01-01\",\"publicationTypes\":\"Journal Article\",\"fieldsOfStudy\":null,\"isOpenAccess\":false,\"openAccessPdf\":\"https://sci-hub-pdf.com/10.5402/2012/904963\",\"citationCount\":\"20\",\"resultStr\":null,\"platform\":\"Semanticscholar\",\"paperid\":null,\"PeriodicalName\":\"ISRN dentistry\",\"FirstCategoryId\":\"1085\",\"ListUrlMain\":\"https://doi.org/10.5402/2012/904963\",\"RegionNum\":0,\"RegionCategory\":null,\"ArticlePicture\":[],\"TitleCN\":null,\"AbstractTextCN\":null,\"PMCID\":null,\"EPubDate\":\"2012/12/18 0:00:00\",\"PubModel\":\"Epub\",\"JCR\":\"\",\"JCRName\":\"\",\"Score\":null,\"Total\":0}","platform":"Semanticscholar","paperid":null,"PeriodicalName":"ISRN dentistry","FirstCategoryId":"1085","ListUrlMain":"https://doi.org/10.5402/2012/904963","RegionNum":0,"RegionCategory":null,"ArticlePicture":[],"TitleCN":null,"AbstractTextCN":null,"PMCID":null,"EPubDate":"2012/12/18 0:00:00","PubModel":"Epub","JCR":"","JCRName":"","Score":null,"Total":0}
引用次数: 20

摘要

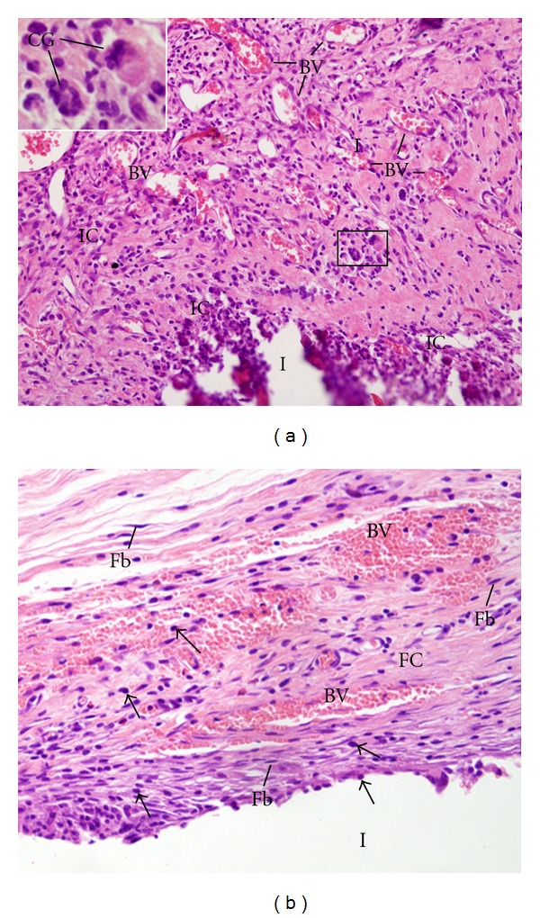
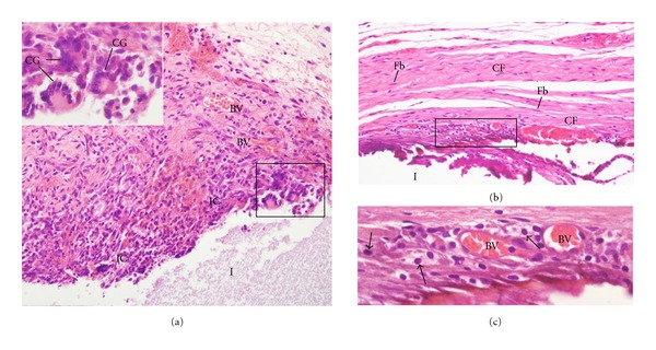
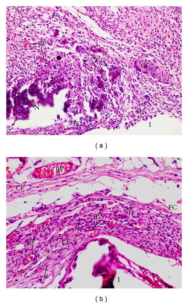
目标。本研究的目的是评估大鼠皮下组织对以氢氧化钙为基础的肛管内药物的反应,作为对照,UltraCal XS(氢氧化钙、硫酸钡、水基质)、Hydropast(氢氧化钙、硫酸钡和丙二醇)和Calen(氢氧化钙、氧化锌、树脂和聚乙二醇)。方法。褐家鼠48只,分为Calen组、UltraCal XS组和Hydropast组。装满其中一种药物的聚乙烯管被植入背部皮下。在7天和30天后取出植入物,将标本固定并包埋于石蜡中。he染色切片进行形态学和定量分析。评价胶囊内炎性细胞的数值密度并进行统计学分析(P≤0.05)。结果。在第7天,所有材料在植入物附近的皮下组织引起炎症反应。在30天内,所有组的炎症细胞和巨细胞数量均显著减少。结论。这些结果表明,氢氧化钙类药物的生物相容性评价与Calen相似。
本文章由计算机程序翻译,如有差异,请以英文原文为准。

Biocompatibility of intracanal medications based on calcium hydroxide.

Biocompatibility of intracanal medications based on calcium hydroxide.

Biocompatibility of intracanal medications based on calcium hydroxide.

Biocompatibility of intracanal medications based on calcium hydroxide.

Objective. The aim of this study was to evaluate the rat subcutaneous tissue reaction to calcium hydroxide-based intracanal medicaments, UltraCal XS (calcium hydroxide, barium sulphate, aqueous matrix), Hydropast (calcium hydroxide, barium sulphate, and propyleneglycol), and Calen (Calcium hydroxide, zinc oxide, colophony, and polyethyleneglycol), used as a control. Methods. Forty-eight rats (Rattus Norvegicus Holtzman) were distributed in three groups: Calen, UltraCal XS, and Hydropast. Polyethylene tubes filled with one of the medicaments were implanted in the dorsal subcutaneous. After 7 and 30 days, the implants were removed and the specimens were fixed and embedded in paraffin. Morphological and quantitative analyses were carried out in the HE-stained sections. The numerical density of inflammatory cells in the capsule was evaluated and statistical analyses were performed (P ≤ 0.05). Results. At 7 days, all materials induced an inflammatory reaction in the subcutaneous tissue adjacent to the implants. In all groups, a significant reduction in the number of inflammatory cells and giant cells was verified in the period of 30 days. Conclusion. These results indicate that the calcium hydroxide-based medicaments evaluated present biocompatibility similar to Calen.

求助全文
通过发布文献求助,成功后即可免费获取论文全文。 去求助
来源期刊
自引率
0.00%
发文量
0
×
引用
GB/T 7714-2015
复制
MLA
复制
APA
复制
导出至
BibTeX EndNote RefMan NoteFirst NoteExpress
×
提示
您的信息不完整,为了账户安全,请先补充。
现在去补充
×
提示
您因"违规操作"
具体请查看互助需知
我知道了
×
提示
确定
请完成安全验证×
copy
已复制链接
快去分享给好友吧!
我知道了
右上角分享
点击右上角分享
0
联系我们:info@booksci.cn Book学术提供免费学术资源搜索服务,方便国内外学者检索中英文文献。致力于提供最便捷和优质的服务体验。 Copyright © 2023 布克学术 All rights reserved.
京ICP备2023020795号-1
ghs 京公网安备 11010802042870号
Book学术文献互助
Book学术文献互助群
群 号:604180095
Book学术官方微信