季节性复发性微小变化疾病:避免长期免疫抑制的新策略。

Case reports in nephrology and urology Pub Date : 2012-07-01 Epub Date: 2012-07-24 DOI:10.1159/000341257
Christopher Lawrence, H Terry Cook, Liz Lightstone
{"title":"季节性复发性微小变化疾病:避免长期免疫抑制的新策略。","authors":"Christopher Lawrence,&nbsp;H Terry Cook,&nbsp;Liz Lightstone","doi":"10.1159/000341257","DOIUrl":null,"url":null,"abstract":"<p><strong>Background: </strong>We describe the case of a young woman with seasonal allergic rhinitis who presented with signs of a lower respiratory tract infection, acute renal impairment and the nephrotic syndrome, demonstrated on biopsy to be due to minimal change disease (MCD) with acute tubular injury. Following initiation of high-dose corticosteroids, her respiratory symptoms and renal impairment improved, and the nephrotic syndrome went rapidly into remission, but relapsed, off treatment, in a seasonal fashion.</p><p><strong>Management: </strong>In view of significant side effects related to corticosteroids, relapses were treated with the calcineurin inhibitor tacrolimus with excellent effect, but the patient was keen to avoid the complications of medium-term immunosuppression and so the drug was weaned early. She relapsed for the second time, whilst off tacrolimus, at the same time of year as at her initial presentation. In subsequent years we have successfully managed this patient with seasonal relapsing MCD with seasonal prophylactic tacrolimus therapy.</p><p><strong>Discussion: </strong>We discuss the natural history of MCD and treatment options and demonstrate the utility of a clear understanding of the natural history of the condition in order to predict disease relapse and tailor therapy to the individual patient.</p>","PeriodicalId":89663,"journal":{"name":"Case reports in nephrology and urology","volume":"2 2","pages":"102-7"},"PeriodicalIF":0.0000,"publicationDate":"2012-07-01","publicationTypes":"Journal Article","fieldsOfStudy":null,"isOpenAccess":false,"openAccessPdf":"https://sci-hub-pdf.com/10.1159/000341257","citationCount":"0","resultStr":"{\"title\":\"Seasonal relapsing minimal change disease: a novel strategy for avoiding long-term immunosuppression.\",\"authors\":\"Christopher Lawrence,&nbsp;H Terry Cook,&nbsp;Liz Lightstone\",\"doi\":\"10.1159/000341257\",\"DOIUrl\":null,\"url\":null,\"abstract\":\"<p><strong>Background: </strong>We describe the case of a young woman with seasonal allergic rhinitis who presented with signs of a lower respiratory tract infection, acute renal impairment and the nephrotic syndrome, demonstrated on biopsy to be due to minimal change disease (MCD) with acute tubular injury. Following initiation of high-dose corticosteroids, her respiratory symptoms and renal impairment improved, and the nephrotic syndrome went rapidly into remission, but relapsed, off treatment, in a seasonal fashion.</p><p><strong>Management: </strong>In view of significant side effects related to corticosteroids, relapses were treated with the calcineurin inhibitor tacrolimus with excellent effect, but the patient was keen to avoid the complications of medium-term immunosuppression and so the drug was weaned early. She relapsed for the second time, whilst off tacrolimus, at the same time of year as at her initial presentation. In subsequent years we have successfully managed this patient with seasonal relapsing MCD with seasonal prophylactic tacrolimus therapy.</p><p><strong>Discussion: </strong>We discuss the natural history of MCD and treatment options and demonstrate the utility of a clear understanding of the natural history of the condition in order to predict disease relapse and tailor therapy to the individual patient.</p>\",\"PeriodicalId\":89663,\"journal\":{\"name\":\"Case reports in nephrology and urology\",\"volume\":\"2 2\",\"pages\":\"102-7\"},\"PeriodicalIF\":0.0000,\"publicationDate\":\"2012-07-01\",\"publicationTypes\":\"Journal Article\",\"fieldsOfStudy\":null,\"isOpenAccess\":false,\"openAccessPdf\":\"https://sci-hub-pdf.com/10.1159/000341257\",\"citationCount\":\"0\",\"resultStr\":null,\"platform\":\"Semanticscholar\",\"paperid\":null,\"PeriodicalName\":\"Case reports in nephrology and urology\",\"FirstCategoryId\":\"1085\",\"ListUrlMain\":\"https://doi.org/10.1159/000341257\",\"RegionNum\":0,\"RegionCategory\":null,\"ArticlePicture\":[],\"TitleCN\":null,\"AbstractTextCN\":null,\"PMCID\":null,\"EPubDate\":\"2012/7/24 0:00:00\",\"PubModel\":\"Epub\",\"JCR\":\"\",\"JCRName\":\"\",\"Score\":null,\"Total\":0}","platform":"Semanticscholar","paperid":null,"PeriodicalName":"Case reports in nephrology and urology","FirstCategoryId":"1085","ListUrlMain":"https://doi.org/10.1159/000341257","RegionNum":0,"RegionCategory":null,"ArticlePicture":[],"TitleCN":null,"AbstractTextCN":null,"PMCID":null,"EPubDate":"2012/7/24 0:00:00","PubModel":"Epub","JCR":"","JCRName":"","Score":null,"Total":0}
引用次数: 0

摘要

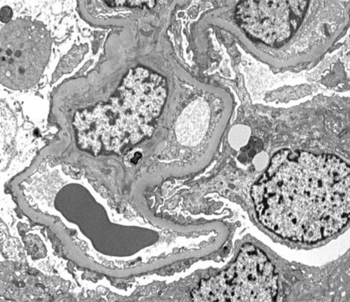
背景:我们描述了一例患有季节性变应性鼻炎的年轻女性,她表现出下呼吸道感染、急性肾损害和肾病综合征的迹象,活检证实是由于微小变化病(MCD)伴急性肾小管损伤。在开始使用大剂量皮质类固醇后,她的呼吸系统症状和肾脏损害得到改善,肾病综合征迅速缓解,但在停止治疗后以季节性方式复发。处理:考虑到糖皮质激素的明显副作用,复发患者给予钙调神经磷酸酶抑制剂他克莫司治疗,效果良好,但患者希望避免中期免疫抑制并发症,因此早期停用药物。她在停用他克莫司期间第二次复发,时间与初次就诊时相同。在随后的几年里,我们成功地用季节性预防性他克莫司治疗了这名季节性复发性MCD患者。讨论:我们讨论了MCD的自然病史和治疗方案,并展示了清楚了解病情的自然病史的效用,以便预测疾病复发和针对个体患者量身定制治疗。
本文章由计算机程序翻译,如有差异,请以英文原文为准。

Seasonal relapsing minimal change disease: a novel strategy for avoiding long-term immunosuppression.

Seasonal relapsing minimal change disease: a novel strategy for avoiding long-term immunosuppression.

Seasonal relapsing minimal change disease: a novel strategy for avoiding long-term immunosuppression.

Background: We describe the case of a young woman with seasonal allergic rhinitis who presented with signs of a lower respiratory tract infection, acute renal impairment and the nephrotic syndrome, demonstrated on biopsy to be due to minimal change disease (MCD) with acute tubular injury. Following initiation of high-dose corticosteroids, her respiratory symptoms and renal impairment improved, and the nephrotic syndrome went rapidly into remission, but relapsed, off treatment, in a seasonal fashion.

Management: In view of significant side effects related to corticosteroids, relapses were treated with the calcineurin inhibitor tacrolimus with excellent effect, but the patient was keen to avoid the complications of medium-term immunosuppression and so the drug was weaned early. She relapsed for the second time, whilst off tacrolimus, at the same time of year as at her initial presentation. In subsequent years we have successfully managed this patient with seasonal relapsing MCD with seasonal prophylactic tacrolimus therapy.

Discussion: We discuss the natural history of MCD and treatment options and demonstrate the utility of a clear understanding of the natural history of the condition in order to predict disease relapse and tailor therapy to the individual patient.

求助全文
通过发布文献求助,成功后即可免费获取论文全文。 去求助
来源期刊
自引率
0.00%
发文量
0
×
引用
GB/T 7714-2015
复制
MLA
复制
APA
复制
导出至
BibTeX EndNote RefMan NoteFirst NoteExpress
×
提示
您的信息不完整,为了账户安全,请先补充。
现在去补充
×
提示
您因"违规操作"
具体请查看互助需知
我知道了
×
提示
确定
请完成安全验证×
copy
已复制链接
快去分享给好友吧!
我知道了
右上角分享
点击右上角分享
0
联系我们:info@booksci.cn Book学术提供免费学术资源搜索服务,方便国内外学者检索中英文文献。致力于提供最便捷和优质的服务体验。 Copyright © 2023 布克学术 All rights reserved.
京ICP备2023020795号-1
ghs 京公网安备 11010802042870号
Book学术文献互助
Book学术文献互助群
群 号:604180095
Book学术官方微信