利妥昔单抗治疗pr3 - anca阳性膜增生性肾小球肾炎伴成年性发热综合征

Case reports in nephrology and urology Pub Date : 2012-07-01 Epub Date: 2012-07-11 DOI:10.1159/000341192
Yoshitomo Hamano, Hiromichi Yoshizawa, Taro Sugase, Takuya Miki, Naoko Ohtani, Shiho Hanawa, Eri Takeshima, Yoshiyuki Morishita, Osamu Saito, Fumi Takemoto, Shigeaki Muto, Wako Yumura, Eiji Kusano
{"title":"利妥昔单抗治疗pr3 - anca阳性膜增生性肾小球肾炎伴成年性发热综合征","authors":"Yoshitomo Hamano,&nbsp;Hiromichi Yoshizawa,&nbsp;Taro Sugase,&nbsp;Takuya Miki,&nbsp;Naoko Ohtani,&nbsp;Shiho Hanawa,&nbsp;Eri Takeshima,&nbsp;Yoshiyuki Morishita,&nbsp;Osamu Saito,&nbsp;Fumi Takemoto,&nbsp;Shigeaki Muto,&nbsp;Wako Yumura,&nbsp;Eiji Kusano","doi":"10.1159/000341192","DOIUrl":null,"url":null,"abstract":"<p><p>We report the case of a 36-year-old Japanese woman with nephrotic syndrome due to membranoproliferative glomerulonephritis (MPGN) Type I diagnosed after a 5-year history of periodic fever syndrome (PFS). Hypocomplementemia and elevation of anti-proteinase 3 anti-neutrophil cytoplasmic autoantibody (PR3-ANCA) were observed. HIV, and hepatitis B and C serology were negative. Nephrotic syndrome and periodic fever did not respond to oral steroid and intravenous steroid pulse therapies combined with cyclosporine, dipyridamole, warfarin and losartan. We tried immunotherapy using rituximab, a human-mouse chimeric monoclonal antibody directed against the CD20 antigen on mature B cells. This therapeutic approach led to improvement of renal function and remission of nephrotic syndrome and hypocomplementemia. However, it did not have a beneficial effect on periodic fever. Suspecting adult-onset hereditary PFS, we analyzed her genetic alteration of MEFV and TNFRSF1A genes. A rare genotype in intron 6 of TNFRSF1A was revealed. The etiological relationship between periodic fever and MPGN is discussed. Rituximab is a hopeful choice of induction therapy for refractory MPGN.</p>","PeriodicalId":89663,"journal":{"name":"Case reports in nephrology and urology","volume":"2 2","pages":"92-101"},"PeriodicalIF":0.0000,"publicationDate":"2012-07-01","publicationTypes":"Journal Article","fieldsOfStudy":null,"isOpenAccess":false,"openAccessPdf":"https://sci-hub-pdf.com/10.1159/000341192","citationCount":"3","resultStr":"{\"title\":\"Rituximab Treatment for PR3-ANCA-Positive Membranoproliferative Glomerulonephritis Associated with Adult-Onset Periodic Fever Syndrome.\",\"authors\":\"Yoshitomo Hamano,&nbsp;Hiromichi Yoshizawa,&nbsp;Taro Sugase,&nbsp;Takuya Miki,&nbsp;Naoko Ohtani,&nbsp;Shiho Hanawa,&nbsp;Eri Takeshima,&nbsp;Yoshiyuki Morishita,&nbsp;Osamu Saito,&nbsp;Fumi Takemoto,&nbsp;Shigeaki Muto,&nbsp;Wako Yumura,&nbsp;Eiji Kusano\",\"doi\":\"10.1159/000341192\",\"DOIUrl\":null,\"url\":null,\"abstract\":\"<p><p>We report the case of a 36-year-old Japanese woman with nephrotic syndrome due to membranoproliferative glomerulonephritis (MPGN) Type I diagnosed after a 5-year history of periodic fever syndrome (PFS). Hypocomplementemia and elevation of anti-proteinase 3 anti-neutrophil cytoplasmic autoantibody (PR3-ANCA) were observed. HIV, and hepatitis B and C serology were negative. Nephrotic syndrome and periodic fever did not respond to oral steroid and intravenous steroid pulse therapies combined with cyclosporine, dipyridamole, warfarin and losartan. We tried immunotherapy using rituximab, a human-mouse chimeric monoclonal antibody directed against the CD20 antigen on mature B cells. This therapeutic approach led to improvement of renal function and remission of nephrotic syndrome and hypocomplementemia. However, it did not have a beneficial effect on periodic fever. Suspecting adult-onset hereditary PFS, we analyzed her genetic alteration of MEFV and TNFRSF1A genes. A rare genotype in intron 6 of TNFRSF1A was revealed. The etiological relationship between periodic fever and MPGN is discussed. Rituximab is a hopeful choice of induction therapy for refractory MPGN.</p>\",\"PeriodicalId\":89663,\"journal\":{\"name\":\"Case reports in nephrology and urology\",\"volume\":\"2 2\",\"pages\":\"92-101\"},\"PeriodicalIF\":0.0000,\"publicationDate\":\"2012-07-01\",\"publicationTypes\":\"Journal Article\",\"fieldsOfStudy\":null,\"isOpenAccess\":false,\"openAccessPdf\":\"https://sci-hub-pdf.com/10.1159/000341192\",\"citationCount\":\"3\",\"resultStr\":null,\"platform\":\"Semanticscholar\",\"paperid\":null,\"PeriodicalName\":\"Case reports in nephrology and urology\",\"FirstCategoryId\":\"1085\",\"ListUrlMain\":\"https://doi.org/10.1159/000341192\",\"RegionNum\":0,\"RegionCategory\":null,\"ArticlePicture\":[],\"TitleCN\":null,\"AbstractTextCN\":null,\"PMCID\":null,\"EPubDate\":\"2012/7/11 0:00:00\",\"PubModel\":\"Epub\",\"JCR\":\"\",\"JCRName\":\"\",\"Score\":null,\"Total\":0}","platform":"Semanticscholar","paperid":null,"PeriodicalName":"Case reports in nephrology and urology","FirstCategoryId":"1085","ListUrlMain":"https://doi.org/10.1159/000341192","RegionNum":0,"RegionCategory":null,"ArticlePicture":[],"TitleCN":null,"AbstractTextCN":null,"PMCID":null,"EPubDate":"2012/7/11 0:00:00","PubModel":"Epub","JCR":"","JCRName":"","Score":null,"Total":0}
引用次数: 3

摘要

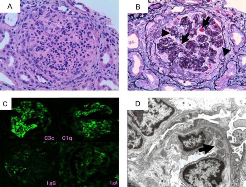
我们报告一例36岁的日本女性,在5年的周期性发热综合征(PFS)病史后诊断为膜增生性肾小球肾炎(MPGN) I型肾病综合征。观察到补体不足和抗蛋白酶3抗中性粒细胞胞浆自身抗体(PR3-ANCA)升高。HIV、乙肝、丙肝血清学均为阴性。口服类固醇和静脉注射类固醇脉冲治疗联合环孢素、双嘧达莫、华法林和氯沙坦对肾病综合征和周期性发热无反应。我们尝试使用利妥昔单抗进行免疫治疗,这是一种针对成熟B细胞上CD20抗原的人鼠嵌合单克隆抗体。这种治疗方法改善了肾功能,缓解了肾病综合征和低补体血症。然而,它对周期性发烧没有有益的影响。我们怀疑她是成人发病的遗传性PFS,分析了她MEFV和TNFRSF1A基因的遗传改变。在TNFRSF1A的内含子6中发现了一个罕见的基因型。讨论了周期性发热与MPGN的病因学关系。利妥昔单抗是难治性MPGN诱导治疗的理想选择。
本文章由计算机程序翻译,如有差异,请以英文原文为准。

Rituximab Treatment for PR3-ANCA-Positive Membranoproliferative Glomerulonephritis Associated with Adult-Onset Periodic Fever Syndrome.

Rituximab Treatment for PR3-ANCA-Positive Membranoproliferative Glomerulonephritis Associated with Adult-Onset Periodic Fever Syndrome.

Rituximab Treatment for PR3-ANCA-Positive Membranoproliferative Glomerulonephritis Associated with Adult-Onset Periodic Fever Syndrome.

We report the case of a 36-year-old Japanese woman with nephrotic syndrome due to membranoproliferative glomerulonephritis (MPGN) Type I diagnosed after a 5-year history of periodic fever syndrome (PFS). Hypocomplementemia and elevation of anti-proteinase 3 anti-neutrophil cytoplasmic autoantibody (PR3-ANCA) were observed. HIV, and hepatitis B and C serology were negative. Nephrotic syndrome and periodic fever did not respond to oral steroid and intravenous steroid pulse therapies combined with cyclosporine, dipyridamole, warfarin and losartan. We tried immunotherapy using rituximab, a human-mouse chimeric monoclonal antibody directed against the CD20 antigen on mature B cells. This therapeutic approach led to improvement of renal function and remission of nephrotic syndrome and hypocomplementemia. However, it did not have a beneficial effect on periodic fever. Suspecting adult-onset hereditary PFS, we analyzed her genetic alteration of MEFV and TNFRSF1A genes. A rare genotype in intron 6 of TNFRSF1A was revealed. The etiological relationship between periodic fever and MPGN is discussed. Rituximab is a hopeful choice of induction therapy for refractory MPGN.

求助全文
通过发布文献求助,成功后即可免费获取论文全文。 去求助
来源期刊
自引率
0.00%
发文量
0
×
引用
GB/T 7714-2015
复制
MLA
复制
APA
复制
导出至
BibTeX EndNote RefMan NoteFirst NoteExpress
×
提示
您的信息不完整,为了账户安全,请先补充。
现在去补充
×
提示
您因"违规操作"
具体请查看互助需知
我知道了
×
提示
确定
请完成安全验证×
copy
已复制链接
快去分享给好友吧!
我知道了
右上角分享
点击右上角分享
0
联系我们:info@booksci.cn Book学术提供免费学术资源搜索服务,方便国内外学者检索中英文文献。致力于提供最便捷和优质的服务体验。 Copyright © 2023 布克学术 All rights reserved.
京ICP备2023020795号-1
ghs 京公网安备 11010802042870号
Book学术文献互助
Book学术文献互助群
群 号:604180095
Book学术官方微信