移植肾细胞癌:多瘤病毒的作用是什么?

Case reports in nephrology and urology Pub Date : 2012-07-01 Epub Date: 2012-09-05 DOI:10.1159/000341917
Valerie Neirynck, Kathleen Claes, Maarten Naesens, Liesbeth De Wever, Jacques Pirenne, Dirk Kuypers, Yves Vanrenterghem, Hendrik Van Poppel, Andre Kabanda, Evelyne Lerut
{"title":"移植肾细胞癌:多瘤病毒的作用是什么?","authors":"Valerie Neirynck,&nbsp;Kathleen Claes,&nbsp;Maarten Naesens,&nbsp;Liesbeth De Wever,&nbsp;Jacques Pirenne,&nbsp;Dirk Kuypers,&nbsp;Yves Vanrenterghem,&nbsp;Hendrik Van Poppel,&nbsp;Andre Kabanda,&nbsp;Evelyne Lerut","doi":"10.1159/000341917","DOIUrl":null,"url":null,"abstract":"<p><p>BK virus (BKV) is known to cause subclinical infection in childhood. The virus remains latent in the human body, mainly in the urinary tract epithelium. After initiation of an immunosuppressive treatment, reactivation can occur in renal transplant recipients. BKV can cause hemorrhagic cystitis, ureteral stenosis and BKV nephropathy in immunocompromised patients. Furthermore, a number of case reports suggest an association between BKV infection and the development of urinary tract cancer. So far, an oncogenic potential of BKV has been observed in vitro and in animal models; however, its oncogenic capacity in humans remains unclear. We report the case of a 59-year-old patient who developed a poorly differentiated renal cell carcinoma in her renal allograft, with pulmonary and abdominal metastasis. Surgical removal of the allograft and cessation of the immunosuppressive therapy resulted in complete resolution of the metastatic disease.</p>","PeriodicalId":89663,"journal":{"name":"Case reports in nephrology and urology","volume":"2 2","pages":"125-34"},"PeriodicalIF":0.0000,"publicationDate":"2012-07-01","publicationTypes":"Journal Article","fieldsOfStudy":null,"isOpenAccess":false,"openAccessPdf":"https://sci-hub-pdf.com/10.1159/000341917","citationCount":"24","resultStr":"{\"title\":\"Renal cell carcinoma in the allograft: what is the role of polyomavirus?\",\"authors\":\"Valerie Neirynck,&nbsp;Kathleen Claes,&nbsp;Maarten Naesens,&nbsp;Liesbeth De Wever,&nbsp;Jacques Pirenne,&nbsp;Dirk Kuypers,&nbsp;Yves Vanrenterghem,&nbsp;Hendrik Van Poppel,&nbsp;Andre Kabanda,&nbsp;Evelyne Lerut\",\"doi\":\"10.1159/000341917\",\"DOIUrl\":null,\"url\":null,\"abstract\":\"<p><p>BK virus (BKV) is known to cause subclinical infection in childhood. The virus remains latent in the human body, mainly in the urinary tract epithelium. After initiation of an immunosuppressive treatment, reactivation can occur in renal transplant recipients. BKV can cause hemorrhagic cystitis, ureteral stenosis and BKV nephropathy in immunocompromised patients. Furthermore, a number of case reports suggest an association between BKV infection and the development of urinary tract cancer. So far, an oncogenic potential of BKV has been observed in vitro and in animal models; however, its oncogenic capacity in humans remains unclear. We report the case of a 59-year-old patient who developed a poorly differentiated renal cell carcinoma in her renal allograft, with pulmonary and abdominal metastasis. Surgical removal of the allograft and cessation of the immunosuppressive therapy resulted in complete resolution of the metastatic disease.</p>\",\"PeriodicalId\":89663,\"journal\":{\"name\":\"Case reports in nephrology and urology\",\"volume\":\"2 2\",\"pages\":\"125-34\"},\"PeriodicalIF\":0.0000,\"publicationDate\":\"2012-07-01\",\"publicationTypes\":\"Journal Article\",\"fieldsOfStudy\":null,\"isOpenAccess\":false,\"openAccessPdf\":\"https://sci-hub-pdf.com/10.1159/000341917\",\"citationCount\":\"24\",\"resultStr\":null,\"platform\":\"Semanticscholar\",\"paperid\":null,\"PeriodicalName\":\"Case reports in nephrology and urology\",\"FirstCategoryId\":\"1085\",\"ListUrlMain\":\"https://doi.org/10.1159/000341917\",\"RegionNum\":0,\"RegionCategory\":null,\"ArticlePicture\":[],\"TitleCN\":null,\"AbstractTextCN\":null,\"PMCID\":null,\"EPubDate\":\"2012/9/5 0:00:00\",\"PubModel\":\"Epub\",\"JCR\":\"\",\"JCRName\":\"\",\"Score\":null,\"Total\":0}","platform":"Semanticscholar","paperid":null,"PeriodicalName":"Case reports in nephrology and urology","FirstCategoryId":"1085","ListUrlMain":"https://doi.org/10.1159/000341917","RegionNum":0,"RegionCategory":null,"ArticlePicture":[],"TitleCN":null,"AbstractTextCN":null,"PMCID":null,"EPubDate":"2012/9/5 0:00:00","PubModel":"Epub","JCR":"","JCRName":"","Score":null,"Total":0}
引用次数: 24

摘要

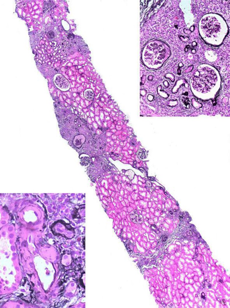
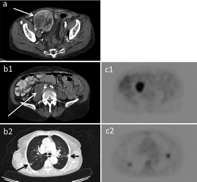
已知BK病毒(BKV)可引起儿童亚临床感染。病毒潜伏在人体内,主要存在于尿路上皮中。在开始免疫抑制治疗后,肾移植受者可发生再激活。BKV可引起出血性膀胱炎、输尿管狭窄和免疫功能低下患者的BKV肾病。此外,一些病例报告表明BKV感染与尿路癌的发展之间存在关联。到目前为止,已经在体外和动物模型中观察到BKV的致癌潜力;然而,其在人类中的致癌能力尚不清楚。我们报告一个59岁的病人谁发展为低分化肾细胞癌在她的肾移植,肺和腹部转移。手术切除同种异体移植物和停止免疫抑制治疗导致转移性疾病的完全解决。
本文章由计算机程序翻译,如有差异,请以英文原文为准。

Renal cell carcinoma in the allograft: what is the role of polyomavirus?

Renal cell carcinoma in the allograft: what is the role of polyomavirus?

Renal cell carcinoma in the allograft: what is the role of polyomavirus?

Renal cell carcinoma in the allograft: what is the role of polyomavirus?

BK virus (BKV) is known to cause subclinical infection in childhood. The virus remains latent in the human body, mainly in the urinary tract epithelium. After initiation of an immunosuppressive treatment, reactivation can occur in renal transplant recipients. BKV can cause hemorrhagic cystitis, ureteral stenosis and BKV nephropathy in immunocompromised patients. Furthermore, a number of case reports suggest an association between BKV infection and the development of urinary tract cancer. So far, an oncogenic potential of BKV has been observed in vitro and in animal models; however, its oncogenic capacity in humans remains unclear. We report the case of a 59-year-old patient who developed a poorly differentiated renal cell carcinoma in her renal allograft, with pulmonary and abdominal metastasis. Surgical removal of the allograft and cessation of the immunosuppressive therapy resulted in complete resolution of the metastatic disease.

求助全文
通过发布文献求助,成功后即可免费获取论文全文。 去求助
来源期刊
自引率
0.00%
发文量
0
×
引用
GB/T 7714-2015
复制
MLA
复制
APA
复制
导出至
BibTeX EndNote RefMan NoteFirst NoteExpress
×
提示
您的信息不完整,为了账户安全,请先补充。
现在去补充
×
提示
您因"违规操作"
具体请查看互助需知
我知道了
×
提示
确定
请完成安全验证×
copy
已复制链接
快去分享给好友吧!
我知道了
右上角分享
点击右上角分享
0
联系我们:info@booksci.cn Book学术提供免费学术资源搜索服务,方便国内外学者检索中英文文献。致力于提供最便捷和优质的服务体验。 Copyright © 2023 布克学术 All rights reserved.
京ICP备2023020795号-1
ghs 京公网安备 11010802042870号
Book学术文献互助
Book学术文献互助群
群 号:604180095
Book学术官方微信