功能性副神经节瘤:一种罕见的脑桥病变

Vivek Agrawal, Mally Rahul, Shadma Khan, Velho Vernon, Binayke Rachana
{"title":"功能性副神经节瘤:一种罕见的脑桥病变","authors":"Vivek Agrawal, Mally Rahul, Shadma Khan, Velho Vernon, Binayke Rachana","doi":"10.4103/2006-8808.100355","DOIUrl":null,"url":null,"abstract":"<p><p>Conus-cauda syndrome is caused due to involvement of the lower end of the spinal cord and arising bunch of nerve roots. It is caused commonly due to traumatic injury, spinal stenosis, spinal tumors, inflammatory, and infectious conditions, but paraganglioma is a rare cause. These tumors are rarely functional and secrete catecholamine. Till now only five case reports of functional spinal paragangliomas are available to the best of our knowledge. We report a 50-year-old hypertensive male patient with a lobulated lesion extending from lower border of D12 to L2, which was reported as ependymoma on imaging studies done preoperatively. This lesion was confirmed to be a functional paraganglioma postoperatively after the patient died because of its furious complication, thus highlighting the importance of its preoperative diagnosis and management. In conclusion conus-cauda functional paragangliomas are very rare entity. Diagnosing them in preoperative condition is critical from the therapeutic point of view, both medical and surgical. During surgery these tumors should be handled very gently to avoid spillage of catecholamines into blood. These tumors require assistance of expert anesthetist and endocrinologist in the perioperative period.</p>","PeriodicalId":89430,"journal":{"name":"Journal of surgical technique and case report","volume":"4 1","pages":"46-9"},"PeriodicalIF":0.0000,"publicationDate":"2012-01-01","publicationTypes":"Journal Article","fieldsOfStudy":null,"isOpenAccess":false,"openAccessPdf":"https://ftp.ncbi.nlm.nih.gov/pub/pmc/oa_pdf/a7/b4/JSTCR-4-46.PMC3461779.pdf","citationCount":"0","resultStr":"{\"title\":\"Functional Paraganglioma: A Rare Conus-cauda Lesion.\",\"authors\":\"Vivek Agrawal, Mally Rahul, Shadma Khan, Velho Vernon, Binayke Rachana\",\"doi\":\"10.4103/2006-8808.100355\",\"DOIUrl\":null,\"url\":null,\"abstract\":\"<p><p>Conus-cauda syndrome is caused due to involvement of the lower end of the spinal cord and arising bunch of nerve roots. It is caused commonly due to traumatic injury, spinal stenosis, spinal tumors, inflammatory, and infectious conditions, but paraganglioma is a rare cause. These tumors are rarely functional and secrete catecholamine. Till now only five case reports of functional spinal paragangliomas are available to the best of our knowledge. We report a 50-year-old hypertensive male patient with a lobulated lesion extending from lower border of D12 to L2, which was reported as ependymoma on imaging studies done preoperatively. This lesion was confirmed to be a functional paraganglioma postoperatively after the patient died because of its furious complication, thus highlighting the importance of its preoperative diagnosis and management. In conclusion conus-cauda functional paragangliomas are very rare entity. Diagnosing them in preoperative condition is critical from the therapeutic point of view, both medical and surgical. During surgery these tumors should be handled very gently to avoid spillage of catecholamines into blood. These tumors require assistance of expert anesthetist and endocrinologist in the perioperative period.</p>\",\"PeriodicalId\":89430,\"journal\":{\"name\":\"Journal of surgical technique and case report\",\"volume\":\"4 1\",\"pages\":\"46-9\"},\"PeriodicalIF\":0.0000,\"publicationDate\":\"2012-01-01\",\"publicationTypes\":\"Journal Article\",\"fieldsOfStudy\":null,\"isOpenAccess\":false,\"openAccessPdf\":\"https://ftp.ncbi.nlm.nih.gov/pub/pmc/oa_pdf/a7/b4/JSTCR-4-46.PMC3461779.pdf\",\"citationCount\":\"0\",\"resultStr\":null,\"platform\":\"Semanticscholar\",\"paperid\":null,\"PeriodicalName\":\"Journal of surgical technique and case report\",\"FirstCategoryId\":\"1085\",\"ListUrlMain\":\"https://doi.org/10.4103/2006-8808.100355\",\"RegionNum\":0,\"RegionCategory\":null,\"ArticlePicture\":[],\"TitleCN\":null,\"AbstractTextCN\":null,\"PMCID\":null,\"EPubDate\":\"\",\"PubModel\":\"\",\"JCR\":\"\",\"JCRName\":\"\",\"Score\":null,\"Total\":0}","platform":"Semanticscholar","paperid":null,"PeriodicalName":"Journal of surgical technique and case report","FirstCategoryId":"1085","ListUrlMain":"https://doi.org/10.4103/2006-8808.100355","RegionNum":0,"RegionCategory":null,"ArticlePicture":[],"TitleCN":null,"AbstractTextCN":null,"PMCID":null,"EPubDate":"","PubModel":"","JCR":"","JCRName":"","Score":null,"Total":0}
引用次数: 0

摘要

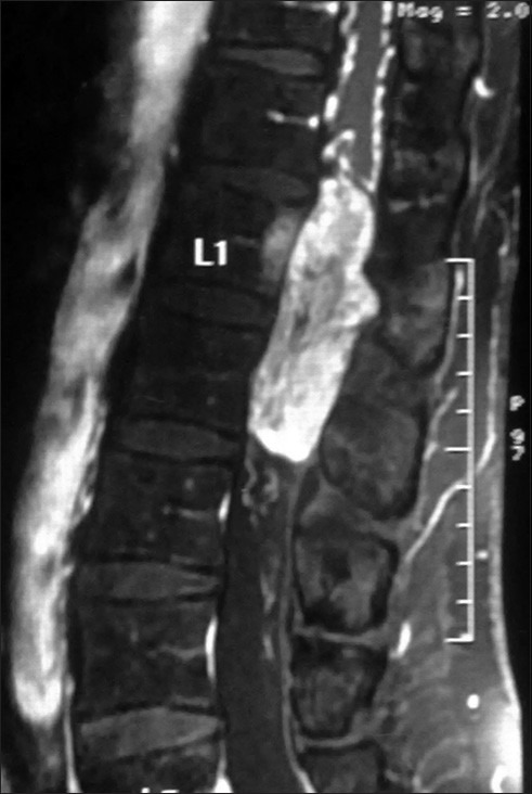
脊髓空洞综合征(Conus-cauda syndrome)是由于脊髓下端和神经根束受累所致。常见的病因是外伤、椎管狭窄、脊髓肿瘤、炎症和感染性疾病,但副神经节瘤是一种罕见病因。这些肿瘤很少具有分泌儿茶酚胺的功能。据我们所知,迄今为止只有五例功能性脊髓副神经节瘤的病例报告。我们报告了一名 50 岁的男性高血压患者,其病变呈分叶状,从 D12 下缘延伸至 L2,术前影像学检查报告为上皮瘤。该病变在术后被证实为功能性副神经节瘤,而患者因该病变引起的严重并发症而死亡,因此凸显了术前诊断和处理的重要性。总之,锥尾功能性副神经节瘤非常罕见。从内科和外科治疗的角度来看,在术前对其进行诊断至关重要。在手术过程中,应非常小心地处理这些肿瘤,以避免儿茶酚胺进入血液。这些肿瘤在围手术期需要麻醉师和内分泌专家的协助。
本文章由计算机程序翻译,如有差异,请以英文原文为准。

Functional Paraganglioma: A Rare Conus-cauda Lesion.

Functional Paraganglioma: A Rare Conus-cauda Lesion.

Functional Paraganglioma: A Rare Conus-cauda Lesion.

Functional Paraganglioma: A Rare Conus-cauda Lesion.

Conus-cauda syndrome is caused due to involvement of the lower end of the spinal cord and arising bunch of nerve roots. It is caused commonly due to traumatic injury, spinal stenosis, spinal tumors, inflammatory, and infectious conditions, but paraganglioma is a rare cause. These tumors are rarely functional and secrete catecholamine. Till now only five case reports of functional spinal paragangliomas are available to the best of our knowledge. We report a 50-year-old hypertensive male patient with a lobulated lesion extending from lower border of D12 to L2, which was reported as ependymoma on imaging studies done preoperatively. This lesion was confirmed to be a functional paraganglioma postoperatively after the patient died because of its furious complication, thus highlighting the importance of its preoperative diagnosis and management. In conclusion conus-cauda functional paragangliomas are very rare entity. Diagnosing them in preoperative condition is critical from the therapeutic point of view, both medical and surgical. During surgery these tumors should be handled very gently to avoid spillage of catecholamines into blood. These tumors require assistance of expert anesthetist and endocrinologist in the perioperative period.

求助全文
通过发布文献求助,成功后即可免费获取论文全文。 去求助
来源期刊
自引率
0.00%
发文量
0
×
引用
GB/T 7714-2015
复制
MLA
复制
APA
复制
导出至
BibTeX EndNote RefMan NoteFirst NoteExpress
×
提示
您的信息不完整,为了账户安全,请先补充。
现在去补充
×
提示
您因"违规操作"
具体请查看互助需知
我知道了
×
提示
确定
请完成安全验证×
copy
已复制链接
快去分享给好友吧!
我知道了
右上角分享
点击右上角分享
0
联系我们:info@booksci.cn Book学术提供免费学术资源搜索服务,方便国内外学者检索中英文文献。致力于提供最便捷和优质的服务体验。 Copyright © 2023 布克学术 All rights reserved.
京ICP备2023020795号-1
ghs 京公网安备 11010802042870号
Book学术文献互助
Book学术文献互助群
群 号:604180095
Book学术官方微信