先天性心脏病儿童和青年的经胸超声心动图分析。

ISRN pediatrics Pub Date : 2012-01-01 Epub Date: 2012-06-13 DOI:10.5402/2012/753481
Martin Koestenberger
{"title":"先天性心脏病儿童和青年的经胸超声心动图分析。","authors":"Martin Koestenberger","doi":"10.5402/2012/753481","DOIUrl":null,"url":null,"abstract":"<p><p>Transthoracic echocardiography (TTE) is the first-line tool for diagnosis and followup of pediatric and young adult patients with congenital heart disease (CHD). Appropriate use of TTE can reduce the need for more invasive modalities, such as cardiac catheterization and cardiac magnetic resonance imaging. New echocardiographic techniques have emerged more recently: tissue Doppler imaging, tissue tracking (strain and strain rate), vector velocity imaging (VVI), myocardial performance index, myocardial acceleration during isovolumic acceleration (IVA), the ratio of systolic to diastolic duration (S/D ratio), and two dimensional measurements of systolic right ventricular (RV) function (e.g., tricuspid annular plane systolic excursion, TAPSE). These may become valuable indicators of ventricular performance, compliance, and disease progression. In addition, three-dimensional (3D) echocardiography when performed for the assessment of valvular function, device position, and ventricular volumes is being integrated into routine clinical care. In this paper, the potential use and limitations of these new echocardiographic techniques in patients with CHD are discussed. A particular focus is on the echocardiographic assessment of right ventricular (RV) function in conditions associated with increased right ventricular volume (e.g., pulmonary regurgitation after tetralogy of Fallot repair) or pressure (e.g., pulmonary hypertension) in children and young adults.</p>","PeriodicalId":73521,"journal":{"name":"ISRN pediatrics","volume":"2012 ","pages":"753481"},"PeriodicalIF":0.0000,"publicationDate":"2012-01-01","publicationTypes":"Journal Article","fieldsOfStudy":null,"isOpenAccess":false,"openAccessPdf":"https://sci-hub-pdf.com/10.5402/2012/753481","citationCount":"30","resultStr":"{\"title\":\"Transthoracic echocardiography in children and young adults with congenital heart disease.\",\"authors\":\"Martin Koestenberger\",\"doi\":\"10.5402/2012/753481\",\"DOIUrl\":null,\"url\":null,\"abstract\":\"<p><p>Transthoracic echocardiography (TTE) is the first-line tool for diagnosis and followup of pediatric and young adult patients with congenital heart disease (CHD). Appropriate use of TTE can reduce the need for more invasive modalities, such as cardiac catheterization and cardiac magnetic resonance imaging. New echocardiographic techniques have emerged more recently: tissue Doppler imaging, tissue tracking (strain and strain rate), vector velocity imaging (VVI), myocardial performance index, myocardial acceleration during isovolumic acceleration (IVA), the ratio of systolic to diastolic duration (S/D ratio), and two dimensional measurements of systolic right ventricular (RV) function (e.g., tricuspid annular plane systolic excursion, TAPSE). These may become valuable indicators of ventricular performance, compliance, and disease progression. In addition, three-dimensional (3D) echocardiography when performed for the assessment of valvular function, device position, and ventricular volumes is being integrated into routine clinical care. In this paper, the potential use and limitations of these new echocardiographic techniques in patients with CHD are discussed. A particular focus is on the echocardiographic assessment of right ventricular (RV) function in conditions associated with increased right ventricular volume (e.g., pulmonary regurgitation after tetralogy of Fallot repair) or pressure (e.g., pulmonary hypertension) in children and young adults.</p>\",\"PeriodicalId\":73521,\"journal\":{\"name\":\"ISRN pediatrics\",\"volume\":\"2012 \",\"pages\":\"753481\"},\"PeriodicalIF\":0.0000,\"publicationDate\":\"2012-01-01\",\"publicationTypes\":\"Journal Article\",\"fieldsOfStudy\":null,\"isOpenAccess\":false,\"openAccessPdf\":\"https://sci-hub-pdf.com/10.5402/2012/753481\",\"citationCount\":\"30\",\"resultStr\":null,\"platform\":\"Semanticscholar\",\"paperid\":null,\"PeriodicalName\":\"ISRN pediatrics\",\"FirstCategoryId\":\"1085\",\"ListUrlMain\":\"https://doi.org/10.5402/2012/753481\",\"RegionNum\":0,\"RegionCategory\":null,\"ArticlePicture\":[],\"TitleCN\":null,\"AbstractTextCN\":null,\"PMCID\":null,\"EPubDate\":\"2012/6/13 0:00:00\",\"PubModel\":\"Epub\",\"JCR\":\"\",\"JCRName\":\"\",\"Score\":null,\"Total\":0}","platform":"Semanticscholar","paperid":null,"PeriodicalName":"ISRN pediatrics","FirstCategoryId":"1085","ListUrlMain":"https://doi.org/10.5402/2012/753481","RegionNum":0,"RegionCategory":null,"ArticlePicture":[],"TitleCN":null,"AbstractTextCN":null,"PMCID":null,"EPubDate":"2012/6/13 0:00:00","PubModel":"Epub","JCR":"","JCRName":"","Score":null,"Total":0}
引用次数: 30

摘要

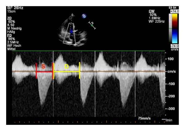
经胸超声心动图(TTE)是诊断和随访儿童和青壮年先天性心脏病(CHD)的一线工具。适当使用TTE可以减少对更多侵入性方式的需求,如心导管插入术和心脏磁共振成像。最近出现了新的超声心动图技术:组织多普勒成像,组织跟踪(应变和应变率),矢量速度成像(VVI),心肌性能指数,等容积加速(IVA)期间的心肌加速,收缩期与舒张期持续时间之比(S/D比),以及收缩期右心室(RV)功能的二维测量(如三尖瓣环平面收缩位移,TAPSE)。这些可能成为心室功能、顺应性和疾病进展的有价值的指标。此外,用于评估瓣膜功能、装置位置和心室容积的三维超声心动图正在被纳入常规临床护理。本文就这些超声心动图技术在冠心病患者中的潜在应用和局限性进行了讨论。特别关注的是超声心动图评估与右心室容量增加(如法洛四联症修复后的肺反流)或儿童和年轻人压力(如肺动脉高压)相关的右心室(RV)功能。
本文章由计算机程序翻译,如有差异,请以英文原文为准。

Transthoracic echocardiography in children and young adults with congenital heart disease.

Transthoracic echocardiography in children and young adults with congenital heart disease.

Transthoracic echocardiography in children and young adults with congenital heart disease.

Transthoracic echocardiography in children and young adults with congenital heart disease.

Transthoracic echocardiography (TTE) is the first-line tool for diagnosis and followup of pediatric and young adult patients with congenital heart disease (CHD). Appropriate use of TTE can reduce the need for more invasive modalities, such as cardiac catheterization and cardiac magnetic resonance imaging. New echocardiographic techniques have emerged more recently: tissue Doppler imaging, tissue tracking (strain and strain rate), vector velocity imaging (VVI), myocardial performance index, myocardial acceleration during isovolumic acceleration (IVA), the ratio of systolic to diastolic duration (S/D ratio), and two dimensional measurements of systolic right ventricular (RV) function (e.g., tricuspid annular plane systolic excursion, TAPSE). These may become valuable indicators of ventricular performance, compliance, and disease progression. In addition, three-dimensional (3D) echocardiography when performed for the assessment of valvular function, device position, and ventricular volumes is being integrated into routine clinical care. In this paper, the potential use and limitations of these new echocardiographic techniques in patients with CHD are discussed. A particular focus is on the echocardiographic assessment of right ventricular (RV) function in conditions associated with increased right ventricular volume (e.g., pulmonary regurgitation after tetralogy of Fallot repair) or pressure (e.g., pulmonary hypertension) in children and young adults.

求助全文
通过发布文献求助,成功后即可免费获取论文全文。 去求助
来源期刊
自引率
0.00%
发文量
0
×
引用
GB/T 7714-2015
复制
MLA
复制
APA
复制
导出至
BibTeX EndNote RefMan NoteFirst NoteExpress
×
提示
您的信息不完整,为了账户安全,请先补充。
现在去补充
×
提示
您因"违规操作"
具体请查看互助需知
我知道了
×
提示
确定
请完成安全验证×
copy
已复制链接
快去分享给好友吧!
我知道了
右上角分享
点击右上角分享
0
联系我们:info@booksci.cn Book学术提供免费学术资源搜索服务,方便国内外学者检索中英文文献。致力于提供最便捷和优质的服务体验。 Copyright © 2023 布克学术 All rights reserved.
京ICP备2023020795号-1
ghs 京公网安备 11010802042870号
Book学术文献互助
Book学术文献互助群
群 号:604180095
Book学术官方微信