不孕症腹腔镜子宫肌瘤切除术中肌瘤的易感因素及预后。

Prakash Trivedi, Mohini Abreo
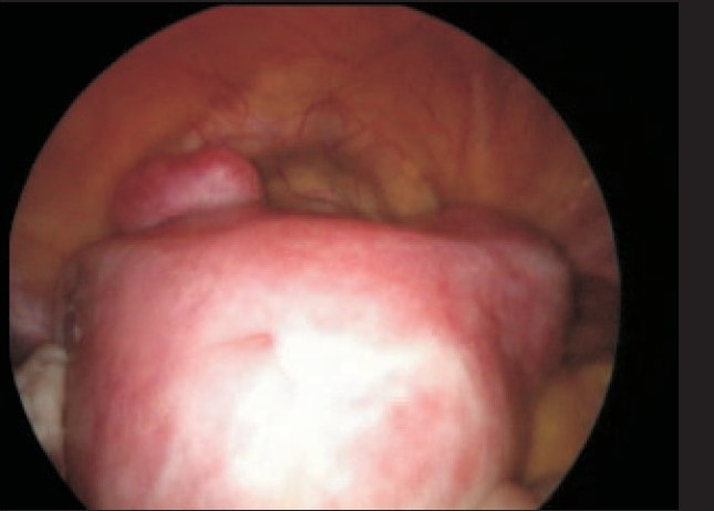
{"title":"不孕症腹腔镜子宫肌瘤切除术中肌瘤的易感因素及预后。","authors":"Prakash Trivedi,&nbsp;Mohini Abreo","doi":"10.4103/0974-1216.51910","DOIUrl":null,"url":null,"abstract":"<p><strong>Introduction: </strong>Fibroids are very common tumors affecting women for centuries, however surprising that no significant data is still available as to what could be the cause of fibroid? What could be the predisposing or risk factors? Does it has any impact on fertility? Outcomes of Laparoscopic myomectomy in infertility?</p><p><strong>Setting: </strong>Advanced Tertiary Gynecologic endoscopic unit.</p><p><strong>Aims and objectives: </strong>1) What are the predisposing factors to develop fibroids? 2) Do fibroids lead to infertility? 3) What are the indications for removal of fibroids in infertility? 4) Is laparoscopic surgery better than open surgery? 5) Is the risk of rupture uterus more after laparoscopic myomectomy? 6) What is the success in terms of pregnancy rate after myomectomy? 7) What are the chances of abortions with or without myomectomy?</p><p><strong>Materials and methods: </strong>A retrospective research study was carried out on 2540 women at the National Institute of Laser and Endoscopic Surgery and Aakar IVF Centre, Mumbai, a referral centre in India. This study was done over a period of 14 years. Women varied in age from 23 to 51 years and infertility of at least more than three years. The woman had fibroids from one to seventeen in number and two centimeters to eighteen centimeters in size which were either submucous, intramural, serosal, cervical or broad ligament. The women requiring hysteroscopic myoma resection were excluded in this study and Laparoscopic myomectomy done in woman other than infertility are also excluded from the study.</p><p><strong>Results: </strong>During the course of our study we found that the diet, weight, hypertension, habits had a bearing on incidence of fibroid. In one of the most promising research fact we found that fibroids itself produce prolactin and due to three times high level of aromatase had higher level of estradiol locally compared to normal myometrium. This was detrimental to fertility. A mild elevation of blood levels of prolactin usually in the range of 40 - 60 ng/ml was noticed in nearly 42% of the cases. Fibroids with infertility as a major complaint along with excessive vaginal bleeding in 33%, pain abdomen and dysmenorhea 10%, pressure symptoms in 3%, accidental finding of a large mass in 5% were the major indications for laparoscopic myomectomy. The pregnancy rate after removal of fibroids with active fertility treatment was 42 % and in donor oocyte IVF was 50%, abortion rate was 5%, 64% LSCS, 31% vaginal deliveries. There was no scar rupture in all pregnancies post laparoscopic myomectomy.</p><p><strong>Conclusion: </strong>Presence of fibroids in first degree female relative, predominantly red meat eating women, excess weight and high Blood pressure increased incidence of fibroids. Pregnancies & oral contraceptives decreased chances of fibroids. In infertile patient fibroids of significant size, multiple, had high local prolactin & aromatase level affecting fertility. Laparoscopic removal of fibroids increased pregnancy rate to 37.2% & 50% in donor oocyte IVF.</p>","PeriodicalId":89586,"journal":{"name":"Journal of gynecological endoscopy and surgery","volume":"1 1","pages":"47-56"},"PeriodicalIF":0.0000,"publicationDate":"2009-01-01","publicationTypes":"Journal Article","fieldsOfStudy":null,"isOpenAccess":false,"openAccessPdf":"https://sci-hub-pdf.com/10.4103/0974-1216.51910","citationCount":"15","resultStr":"{\"title\":\"Predisposing factors for fibroids and outcome of laparoscopic myomectomy in infertility.\",\"authors\":\"Prakash Trivedi,&nbsp;Mohini Abreo\",\"doi\":\"10.4103/0974-1216.51910\",\"DOIUrl\":null,\"url\":null,\"abstract\":\"<p><strong>Introduction: </strong>Fibroids are very common tumors affecting women for centuries, however surprising that no significant data is still available as to what could be the cause of fibroid? What could be the predisposing or risk factors? Does it has any impact on fertility? Outcomes of Laparoscopic myomectomy in infertility?</p><p><strong>Setting: </strong>Advanced Tertiary Gynecologic endoscopic unit.</p><p><strong>Aims and objectives: </strong>1) What are the predisposing factors to develop fibroids? 2) Do fibroids lead to infertility? 3) What are the indications for removal of fibroids in infertility? 4) Is laparoscopic surgery better than open surgery? 5) Is the risk of rupture uterus more after laparoscopic myomectomy? 6) What is the success in terms of pregnancy rate after myomectomy? 7) What are the chances of abortions with or without myomectomy?</p><p><strong>Materials and methods: </strong>A retrospective research study was carried out on 2540 women at the National Institute of Laser and Endoscopic Surgery and Aakar IVF Centre, Mumbai, a referral centre in India. This study was done over a period of 14 years. Women varied in age from 23 to 51 years and infertility of at least more than three years. The woman had fibroids from one to seventeen in number and two centimeters to eighteen centimeters in size which were either submucous, intramural, serosal, cervical or broad ligament. The women requiring hysteroscopic myoma resection were excluded in this study and Laparoscopic myomectomy done in woman other than infertility are also excluded from the study.</p><p><strong>Results: </strong>During the course of our study we found that the diet, weight, hypertension, habits had a bearing on incidence of fibroid. In one of the most promising research fact we found that fibroids itself produce prolactin and due to three times high level of aromatase had higher level of estradiol locally compared to normal myometrium. This was detrimental to fertility. A mild elevation of blood levels of prolactin usually in the range of 40 - 60 ng/ml was noticed in nearly 42% of the cases. Fibroids with infertility as a major complaint along with excessive vaginal bleeding in 33%, pain abdomen and dysmenorhea 10%, pressure symptoms in 3%, accidental finding of a large mass in 5% were the major indications for laparoscopic myomectomy. The pregnancy rate after removal of fibroids with active fertility treatment was 42 % and in donor oocyte IVF was 50%, abortion rate was 5%, 64% LSCS, 31% vaginal deliveries. There was no scar rupture in all pregnancies post laparoscopic myomectomy.</p><p><strong>Conclusion: </strong>Presence of fibroids in first degree female relative, predominantly red meat eating women, excess weight and high Blood pressure increased incidence of fibroids. Pregnancies & oral contraceptives decreased chances of fibroids. In infertile patient fibroids of significant size, multiple, had high local prolactin & aromatase level affecting fertility. Laparoscopic removal of fibroids increased pregnancy rate to 37.2% & 50% in donor oocyte IVF.</p>\",\"PeriodicalId\":89586,\"journal\":{\"name\":\"Journal of gynecological endoscopy and surgery\",\"volume\":\"1 1\",\"pages\":\"47-56\"},\"PeriodicalIF\":0.0000,\"publicationDate\":\"2009-01-01\",\"publicationTypes\":\"Journal Article\",\"fieldsOfStudy\":null,\"isOpenAccess\":false,\"openAccessPdf\":\"https://sci-hub-pdf.com/10.4103/0974-1216.51910\",\"citationCount\":\"15\",\"resultStr\":null,\"platform\":\"Semanticscholar\",\"paperid\":null,\"PeriodicalName\":\"Journal of gynecological endoscopy and surgery\",\"FirstCategoryId\":\"1085\",\"ListUrlMain\":\"https://doi.org/10.4103/0974-1216.51910\",\"RegionNum\":0,\"RegionCategory\":null,\"ArticlePicture\":[],\"TitleCN\":null,\"AbstractTextCN\":null,\"PMCID\":null,\"EPubDate\":\"\",\"PubModel\":\"\",\"JCR\":\"\",\"JCRName\":\"\",\"Score\":null,\"Total\":0}","platform":"Semanticscholar","paperid":null,"PeriodicalName":"Journal of gynecological endoscopy and surgery","FirstCategoryId":"1085","ListUrlMain":"https://doi.org/10.4103/0974-1216.51910","RegionNum":0,"RegionCategory":null,"ArticlePicture":[],"TitleCN":null,"AbstractTextCN":null,"PMCID":null,"EPubDate":"","PubModel":"","JCR":"","JCRName":"","Score":null,"Total":0}
引用次数: 15

摘要

肌瘤是几个世纪以来影响女性的非常常见的肿瘤,然而令人惊讶的是,没有重要的数据仍然可用,什么可能是肌瘤的原因?诱发因素或风险因素是什么?它对生育有影响吗?腹腔镜子宫肌瘤切除术治疗不孕症的效果?单位:高级三级妇科内窥镜科。目的和目的:1)什么是诱发肌瘤的因素?2)子宫肌瘤会导致不孕吗?3)不孕症切除肌瘤的指征是什么?4)腹腔镜手术是否优于开放手术?5)腹腔镜子宫肌瘤切除术后子宫破裂的风险是否更高?6)子宫肌瘤切除术后的成功率是多少?7)子宫肌瘤切除术后流产的几率有多大?材料和方法:在印度孟买的一家转诊中心——国家激光和内窥镜手术研究所和Aakar IVF中心,对2540名妇女进行了回顾性研究。这项研究持续了14年。女性年龄从23岁到51岁不等,不孕至少3年以上。该妇女有1至17个肌瘤,大小为2至18厘米,分别位于粘膜下、壁内、浆膜、宫颈或阔韧带。需要宫腔镜子宫肌瘤切除术的妇女被排除在本研究之外,在非不孕妇女中进行腹腔镜子宫肌瘤切除术的妇女也被排除在本研究之外。结果:在我们的研究过程中,我们发现饮食、体重、高血压、生活习惯与肌瘤的发病率有关。在一个最有希望的研究事实中,我们发现肌瘤本身产生催乳素,由于芳香化酶水平三倍高,局部雌二醇水平比正常肌层高。这对生育是有害的。在近42%的病例中,血液中催乳素水平轻度升高,通常在40 - 60 ng/ml的范围内。以不孕症为主诉的肌瘤伴阴道大量出血占33%,腹痛和痛经占10%,压力症状占3%,意外发现大肿块占5%是腹腔镜子宫肌瘤切除术的主要适应症。子宫肌瘤切除后积极生育治疗的妊娠率为42%,供体卵母细胞IVF为50%,流产率为5%,LSCS为64%,阴道分娩为31%。腹腔镜子宫肌瘤切除术后妊娠无瘢痕破裂。结论:子宫肌瘤存在于一级女性亲属中,以食用红肉的女性为主,超重和高血压增加了子宫肌瘤的发病率。怀孕和口服避孕药可以减少患肌瘤的机会。在不孕患者子宫肌瘤的显著大小,多个,有高的局部催乳素和芳香酶水平影响生育。腹腔镜下子宫肌瘤切除使供体卵母细胞体外受精的妊娠率分别提高到37.2%和50%。
本文章由计算机程序翻译,如有差异,请以英文原文为准。

Predisposing factors for fibroids and outcome of laparoscopic myomectomy in infertility.

Predisposing factors for fibroids and outcome of laparoscopic myomectomy in infertility.

Predisposing factors for fibroids and outcome of laparoscopic myomectomy in infertility.

Predisposing factors for fibroids and outcome of laparoscopic myomectomy in infertility.

Introduction: Fibroids are very common tumors affecting women for centuries, however surprising that no significant data is still available as to what could be the cause of fibroid? What could be the predisposing or risk factors? Does it has any impact on fertility? Outcomes of Laparoscopic myomectomy in infertility?

Setting: Advanced Tertiary Gynecologic endoscopic unit.

Aims and objectives: 1) What are the predisposing factors to develop fibroids? 2) Do fibroids lead to infertility? 3) What are the indications for removal of fibroids in infertility? 4) Is laparoscopic surgery better than open surgery? 5) Is the risk of rupture uterus more after laparoscopic myomectomy? 6) What is the success in terms of pregnancy rate after myomectomy? 7) What are the chances of abortions with or without myomectomy?

Materials and methods: A retrospective research study was carried out on 2540 women at the National Institute of Laser and Endoscopic Surgery and Aakar IVF Centre, Mumbai, a referral centre in India. This study was done over a period of 14 years. Women varied in age from 23 to 51 years and infertility of at least more than three years. The woman had fibroids from one to seventeen in number and two centimeters to eighteen centimeters in size which were either submucous, intramural, serosal, cervical or broad ligament. The women requiring hysteroscopic myoma resection were excluded in this study and Laparoscopic myomectomy done in woman other than infertility are also excluded from the study.

Results: During the course of our study we found that the diet, weight, hypertension, habits had a bearing on incidence of fibroid. In one of the most promising research fact we found that fibroids itself produce prolactin and due to three times high level of aromatase had higher level of estradiol locally compared to normal myometrium. This was detrimental to fertility. A mild elevation of blood levels of prolactin usually in the range of 40 - 60 ng/ml was noticed in nearly 42% of the cases. Fibroids with infertility as a major complaint along with excessive vaginal bleeding in 33%, pain abdomen and dysmenorhea 10%, pressure symptoms in 3%, accidental finding of a large mass in 5% were the major indications for laparoscopic myomectomy. The pregnancy rate after removal of fibroids with active fertility treatment was 42 % and in donor oocyte IVF was 50%, abortion rate was 5%, 64% LSCS, 31% vaginal deliveries. There was no scar rupture in all pregnancies post laparoscopic myomectomy.

Conclusion: Presence of fibroids in first degree female relative, predominantly red meat eating women, excess weight and high Blood pressure increased incidence of fibroids. Pregnancies & oral contraceptives decreased chances of fibroids. In infertile patient fibroids of significant size, multiple, had high local prolactin & aromatase level affecting fertility. Laparoscopic removal of fibroids increased pregnancy rate to 37.2% & 50% in donor oocyte IVF.

求助全文
通过发布文献求助,成功后即可免费获取论文全文。 去求助
来源期刊
自引率
0.00%
发文量
0
×
引用
GB/T 7714-2015
复制
MLA
复制
APA
复制
导出至
BibTeX EndNote RefMan NoteFirst NoteExpress
×
提示
您的信息不完整,为了账户安全,请先补充。
现在去补充
×
提示
您因"违规操作"
具体请查看互助需知
我知道了
×
提示
确定
请完成安全验证×
copy
已复制链接
快去分享给好友吧!
我知道了
右上角分享
点击右上角分享
0
联系我们:info@booksci.cn Book学术提供免费学术资源搜索服务,方便国内外学者检索中英文文献。致力于提供最便捷和优质的服务体验。 Copyright © 2023 布克学术 All rights reserved.
京ICP备2023020795号-1
ghs 京公网安备 11010802042870号
Book学术文献互助
Book学术文献互助群
群 号:604180095
Book学术官方微信