单切口腹腔镜子宫肌瘤切除术。

B Ramesh, Madhuri Vidyashankar, Bv Bharathi
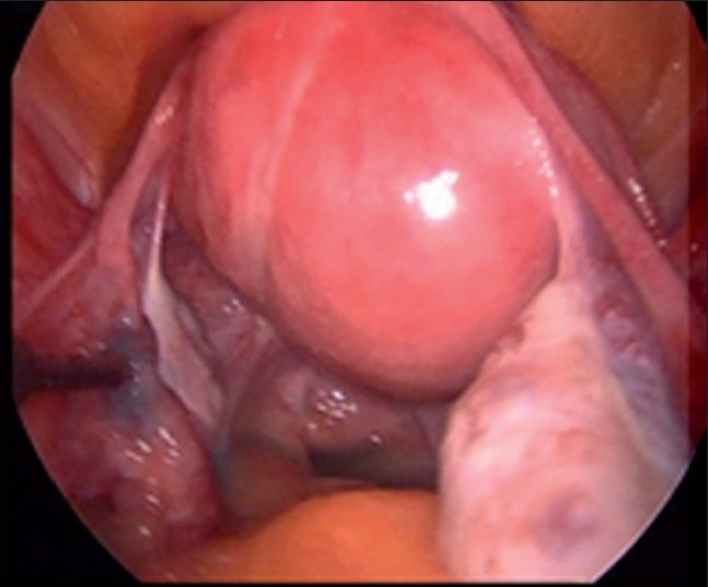
{"title":"单切口腹腔镜子宫肌瘤切除术。","authors":"B Ramesh,&nbsp;Madhuri Vidyashankar,&nbsp;Bv Bharathi","doi":"10.4103/0974-1216.85288","DOIUrl":null,"url":null,"abstract":"<p><p>Single port laparoscopic surgery (SPLS), also called SILS is the natural extension of multi-incisional laparoscopic surgery, in the quest for reduction of traumatic insult and residual scarring to the patient. Today with the evolution of newer instruments, bidirectional self-retaining sutures, and surgical experience we are able to perform many surgeries in gynecology.</p>","PeriodicalId":89586,"journal":{"name":"Journal of gynecological endoscopy and surgery","volume":"2 1","pages":"61-3"},"PeriodicalIF":0.0000,"publicationDate":"2011-01-01","publicationTypes":"Journal Article","fieldsOfStudy":null,"isOpenAccess":false,"openAccessPdf":"https://sci-hub-pdf.com/10.4103/0974-1216.85288","citationCount":"8","resultStr":"{\"title\":\"Single incision laparoscopic myomectomy.\",\"authors\":\"B Ramesh,&nbsp;Madhuri Vidyashankar,&nbsp;Bv Bharathi\",\"doi\":\"10.4103/0974-1216.85288\",\"DOIUrl\":null,\"url\":null,\"abstract\":\"<p><p>Single port laparoscopic surgery (SPLS), also called SILS is the natural extension of multi-incisional laparoscopic surgery, in the quest for reduction of traumatic insult and residual scarring to the patient. Today with the evolution of newer instruments, bidirectional self-retaining sutures, and surgical experience we are able to perform many surgeries in gynecology.</p>\",\"PeriodicalId\":89586,\"journal\":{\"name\":\"Journal of gynecological endoscopy and surgery\",\"volume\":\"2 1\",\"pages\":\"61-3\"},\"PeriodicalIF\":0.0000,\"publicationDate\":\"2011-01-01\",\"publicationTypes\":\"Journal Article\",\"fieldsOfStudy\":null,\"isOpenAccess\":false,\"openAccessPdf\":\"https://sci-hub-pdf.com/10.4103/0974-1216.85288\",\"citationCount\":\"8\",\"resultStr\":null,\"platform\":\"Semanticscholar\",\"paperid\":null,\"PeriodicalName\":\"Journal of gynecological endoscopy and surgery\",\"FirstCategoryId\":\"1085\",\"ListUrlMain\":\"https://doi.org/10.4103/0974-1216.85288\",\"RegionNum\":0,\"RegionCategory\":null,\"ArticlePicture\":[],\"TitleCN\":null,\"AbstractTextCN\":null,\"PMCID\":null,\"EPubDate\":\"\",\"PubModel\":\"\",\"JCR\":\"\",\"JCRName\":\"\",\"Score\":null,\"Total\":0}","platform":"Semanticscholar","paperid":null,"PeriodicalName":"Journal of gynecological endoscopy and surgery","FirstCategoryId":"1085","ListUrlMain":"https://doi.org/10.4103/0974-1216.85288","RegionNum":0,"RegionCategory":null,"ArticlePicture":[],"TitleCN":null,"AbstractTextCN":null,"PMCID":null,"EPubDate":"","PubModel":"","JCR":"","JCRName":"","Score":null,"Total":0}
引用次数: 8

摘要

单孔腹腔镜手术(SPLS),也称为SILS,是多切口腹腔镜手术的自然延伸,旨在减少患者的创伤性损伤和残余疤痕。今天,随着新器械的发展,双向自我保留缝合线和手术经验,我们能够在妇科进行许多手术。
本文章由计算机程序翻译,如有差异,请以英文原文为准。

Single incision laparoscopic myomectomy.

Single incision laparoscopic myomectomy.

Single incision laparoscopic myomectomy.

Single incision laparoscopic myomectomy.

Single port laparoscopic surgery (SPLS), also called SILS is the natural extension of multi-incisional laparoscopic surgery, in the quest for reduction of traumatic insult and residual scarring to the patient. Today with the evolution of newer instruments, bidirectional self-retaining sutures, and surgical experience we are able to perform many surgeries in gynecology.

求助全文
通过发布文献求助,成功后即可免费获取论文全文。 去求助
来源期刊
自引率
0.00%
发文量
0
×
引用
GB/T 7714-2015
复制
MLA
复制
APA
复制
导出至
BibTeX EndNote RefMan NoteFirst NoteExpress
×
提示
您的信息不完整,为了账户安全,请先补充。
现在去补充
×
提示
您因"违规操作"
具体请查看互助需知
我知道了
×
提示
确定
请完成安全验证×
copy
已复制链接
快去分享给好友吧!
我知道了
右上角分享
点击右上角分享
0
联系我们:info@booksci.cn Book学术提供免费学术资源搜索服务,方便国内外学者检索中英文文献。致力于提供最便捷和优质的服务体验。 Copyright © 2023 布克学术 All rights reserved.
京ICP备2023020795号-1
ghs 京公网安备 11010802042870号
Book学术文献互助
Book学术文献互助群
群 号:604180095
Book学术官方微信