神经影像学在钝性外伤性脑血管损伤潜伏期中的作用。

Q4 Medicine
Open Neuroimaging Journal Pub Date : 2011-01-01 Epub Date: 2011-12-01 DOI:10.2174/1874440001105010225
Rahul Karamchandani, Venkatakrishna Rajajee, Aditya Pandey
{"title":"神经影像学在钝性外伤性脑血管损伤潜伏期中的作用。","authors":"Rahul Karamchandani, Venkatakrishna Rajajee, Aditya Pandey","doi":"10.2174/1874440001105010225","DOIUrl":null,"url":null,"abstract":"Introduction: Blunt cerebrovascular injury (BCVI) is found in 1-2.7% of all blunt trauma when appropriate screening criteria are employed. A significant number of patients with BCVI have a latent, or asymptomatic period, in which therapeutic intervention based on the appropriate use of angiographic imaging may decrease the risk of an ischemic stroke. Methods: Case report and review of literature. Results: A 42 year old woman suffered a fall off a motorcycle and was neurologically intact in the emergency room. Fractures involving the transverse foramen of cervical vertebrae were found on non-contrast Computed Tomography (CT) but screening for BCVI with angiographic imaging not performed. She subsequently suffered an ischemic stroke resulting in significant disability. Published studies that address the use of screening criteria for BCVI and subsequent management are reviewed. Conclusion: BCVI results in significant morbidity and mortality attributable to ischemic stroke. There is often a latent period between BCVI and occurrence of ischemic stroke. Specific risk factors can be used to identify patients requiring screening with catheter or CT angiography. Treatment with antithrombotic agents is the mainstay of treatment of BCVI and may reduce the rate of ischemic stroke. Identification and treatment of asymptomatic BCVI in blunt trauma patients may prevent ischemic stroke in a predominantly young population.","PeriodicalId":37431,"journal":{"name":"Open Neuroimaging Journal","volume":"5 ","pages":"225-31"},"PeriodicalIF":0.0000,"publicationDate":"2011-01-01","publicationTypes":"Journal Article","fieldsOfStudy":null,"isOpenAccess":false,"openAccessPdf":"https://ftp.ncbi.nlm.nih.gov/pub/pmc/oa_pdf/02/73/TONIJ-5-225.PMC3256991.pdf","citationCount":"4","resultStr":"{\"title\":\"The role of neuroimaging in the latent period of blunt traumatic cerebrovascular injury.\",\"authors\":\"Rahul Karamchandani, Venkatakrishna Rajajee, Aditya Pandey\",\"doi\":\"10.2174/1874440001105010225\",\"DOIUrl\":null,\"url\":null,\"abstract\":\"Introduction: Blunt cerebrovascular injury (BCVI) is found in 1-2.7% of all blunt trauma when appropriate screening criteria are employed. A significant number of patients with BCVI have a latent, or asymptomatic period, in which therapeutic intervention based on the appropriate use of angiographic imaging may decrease the risk of an ischemic stroke. Methods: Case report and review of literature. Results: A 42 year old woman suffered a fall off a motorcycle and was neurologically intact in the emergency room. Fractures involving the transverse foramen of cervical vertebrae were found on non-contrast Computed Tomography (CT) but screening for BCVI with angiographic imaging not performed. She subsequently suffered an ischemic stroke resulting in significant disability. Published studies that address the use of screening criteria for BCVI and subsequent management are reviewed. Conclusion: BCVI results in significant morbidity and mortality attributable to ischemic stroke. There is often a latent period between BCVI and occurrence of ischemic stroke. Specific risk factors can be used to identify patients requiring screening with catheter or CT angiography. Treatment with antithrombotic agents is the mainstay of treatment of BCVI and may reduce the rate of ischemic stroke. Identification and treatment of asymptomatic BCVI in blunt trauma patients may prevent ischemic stroke in a predominantly young population.\",\"PeriodicalId\":37431,\"journal\":{\"name\":\"Open Neuroimaging Journal\",\"volume\":\"5 \",\"pages\":\"225-31\"},\"PeriodicalIF\":0.0000,\"publicationDate\":\"2011-01-01\",\"publicationTypes\":\"Journal Article\",\"fieldsOfStudy\":null,\"isOpenAccess\":false,\"openAccessPdf\":\"https://ftp.ncbi.nlm.nih.gov/pub/pmc/oa_pdf/02/73/TONIJ-5-225.PMC3256991.pdf\",\"citationCount\":\"4\",\"resultStr\":null,\"platform\":\"Semanticscholar\",\"paperid\":null,\"PeriodicalName\":\"Open Neuroimaging Journal\",\"FirstCategoryId\":\"1085\",\"ListUrlMain\":\"https://doi.org/10.2174/1874440001105010225\",\"RegionNum\":0,\"RegionCategory\":null,\"ArticlePicture\":[],\"TitleCN\":null,\"AbstractTextCN\":null,\"PMCID\":null,\"EPubDate\":\"2011/12/1 0:00:00\",\"PubModel\":\"Epub\",\"JCR\":\"Q4\",\"JCRName\":\"Medicine\",\"Score\":null,\"Total\":0}","platform":"Semanticscholar","paperid":null,"PeriodicalName":"Open Neuroimaging Journal","FirstCategoryId":"1085","ListUrlMain":"https://doi.org/10.2174/1874440001105010225","RegionNum":0,"RegionCategory":null,"ArticlePicture":[],"TitleCN":null,"AbstractTextCN":null,"PMCID":null,"EPubDate":"2011/12/1 0:00:00","PubModel":"Epub","JCR":"Q4","JCRName":"Medicine","Score":null,"Total":0}
引用次数: 4

摘要

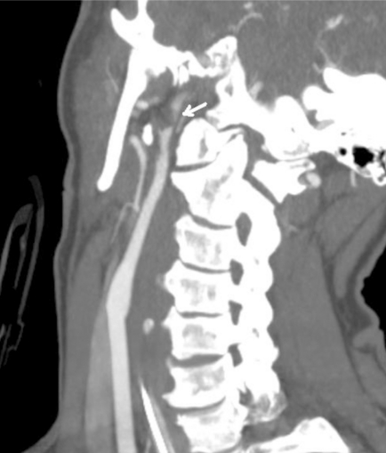
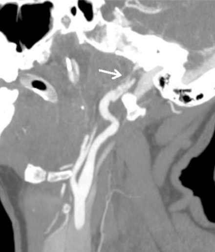
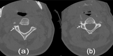
简介:当采用适当的筛查标准时,钝性脑血管损伤(BCVI)在所有钝性创伤中占1-2.7%。相当数量的BCVI患者有潜伏期或无症状期,在此期间,基于适当使用血管造影的治疗干预可能会降低缺血性卒中的风险。方法:病例报告和文献复习。结果:一名42岁的女性从摩托车上摔下来,在急诊室神经系统完好。在非对比计算机断层扫描(CT)上发现累及颈椎横孔的骨折,但未进行BCVI血管造影筛查。随后,她患上了缺血性中风,导致严重残疾。本文回顾了针对BCVI筛查标准的使用及后续治疗的已发表研究。结论:BCVI可导致缺血性脑卒中显著的发病率和死亡率。BCVI与缺血性脑卒中的发生之间往往有一段潜伏期。特定的危险因素可用于确定需要导管或CT血管造影筛查的患者。抗血栓药物治疗是BCVI的主要治疗方法,可以降低缺血性卒中的发生率。钝性创伤患者无症状BCVI的识别和治疗可以预防缺血性脑卒中的主要是年轻人群。
本文章由计算机程序翻译,如有差异,请以英文原文为准。

The role of neuroimaging in the latent period of blunt traumatic cerebrovascular injury.

The role of neuroimaging in the latent period of blunt traumatic cerebrovascular injury.

The role of neuroimaging in the latent period of blunt traumatic cerebrovascular injury.

The role of neuroimaging in the latent period of blunt traumatic cerebrovascular injury.
Introduction: Blunt cerebrovascular injury (BCVI) is found in 1-2.7% of all blunt trauma when appropriate screening criteria are employed. A significant number of patients with BCVI have a latent, or asymptomatic period, in which therapeutic intervention based on the appropriate use of angiographic imaging may decrease the risk of an ischemic stroke. Methods: Case report and review of literature. Results: A 42 year old woman suffered a fall off a motorcycle and was neurologically intact in the emergency room. Fractures involving the transverse foramen of cervical vertebrae were found on non-contrast Computed Tomography (CT) but screening for BCVI with angiographic imaging not performed. She subsequently suffered an ischemic stroke resulting in significant disability. Published studies that address the use of screening criteria for BCVI and subsequent management are reviewed. Conclusion: BCVI results in significant morbidity and mortality attributable to ischemic stroke. There is often a latent period between BCVI and occurrence of ischemic stroke. Specific risk factors can be used to identify patients requiring screening with catheter or CT angiography. Treatment with antithrombotic agents is the mainstay of treatment of BCVI and may reduce the rate of ischemic stroke. Identification and treatment of asymptomatic BCVI in blunt trauma patients may prevent ischemic stroke in a predominantly young population.
求助全文
通过发布文献求助,成功后即可免费获取论文全文。 去求助
来源期刊
Open Neuroimaging Journal
Open Neuroimaging Journal Medicine-Radiology, Nuclear Medicine and Imaging
CiteScore
0.70
自引率
0.00%
发文量
3
期刊介绍: The Open Neuroimaging Journal is an Open Access online journal, which publishes research articles, reviews/mini-reviews, and letters in all important areas of brain function, structure and organization including neuroimaging, neuroradiology, analysis methods, functional MRI acquisition and physics, brain mapping, macroscopic level of brain organization, computational modeling and analysis, structure-function and brain-behavior relationships, anatomy and physiology, psychiatric diseases and disorders of the nervous system, use of imaging to the understanding of brain pathology and brain abnormalities, cognition and aging, social neuroscience, sensorimotor processing, communication and learning.
×
引用
GB/T 7714-2015
复制
MLA
复制
APA
复制
导出至
BibTeX EndNote RefMan NoteFirst NoteExpress
×
提示
您的信息不完整,为了账户安全,请先补充。
现在去补充
×
提示
您因"违规操作"
具体请查看互助需知
我知道了
×
提示
确定
请完成安全验证×
copy
已复制链接
快去分享给好友吧!
我知道了
右上角分享
点击右上角分享
0
联系我们:info@booksci.cn Book学术提供免费学术资源搜索服务,方便国内外学者检索中英文文献。致力于提供最便捷和优质的服务体验。 Copyright © 2023 布克学术 All rights reserved.
京ICP备2023020795号-1
ghs 京公网安备 11010802042870号
Book学术文献互助
Book学术文献互助群
群 号:604180095
Book学术官方微信