康坡药对髋臼发育不良伴髋关节骨性关节炎疼痛及活动范围的影响:1例报告及文献复习。

Integrative medicine insights Pub Date : 2011-01-01 Epub Date: 2011-11-03 DOI:10.4137/IMI.S7884
Toshiaki Kogure, Takeshi Tatsumi, Tetsuya Shigeta, Hiroshi Fujinaga, Takahisa Sato, Atsushi Niizawa
{"title":"康坡药对髋臼发育不良伴髋关节骨性关节炎疼痛及活动范围的影响:1例报告及文献复习。","authors":"Toshiaki Kogure,&nbsp;Takeshi Tatsumi,&nbsp;Tetsuya Shigeta,&nbsp;Hiroshi Fujinaga,&nbsp;Takahisa Sato,&nbsp;Atsushi Niizawa","doi":"10.4137/IMI.S7884","DOIUrl":null,"url":null,"abstract":"<p><p>We report a 52-year-old female with end-stage osteoarthritis of the hip accompanied by acetabular dysplasia in whom quality of life (QOL) was improved by Kampo treatment.When she was 42 years old, she developed pain in the left hip joint, and early-stage OA of the hip was diagnosed by hip joint x-ray. Therefore, she took NSAIDs, and received conservative therapies such as diet and muscle training. However, pain in the hip joint increased and her activity of daily life (ADL) decreased at the age of 50, although she continued to receive the conservative therapies. At the age of 52, she consulted our department requesting Japanese Oriental (Kampo) Medicine. Kampo formulae; Keishikaryojutsubuto (12Tab/day: Kuracie Co. Ltd. Japan), and Boiougito (7.5 g/day: Kuracie Co. Ltd. Japan), were administered. Treatment for 3 months resulted in a decrease in the left hip joint pain using visual analogue scale (VAS) and improvement of her ADL. One year later, her joint symptoms have not increased, and both the Harris hip score and the clinical evaluation criteria of osteoarthritis of the hip have improved.The course of this disease varies depending on the lifestyle of the patient, and Kampo formulations may offer safe, potent supplemental treatment.</p>","PeriodicalId":89565,"journal":{"name":"Integrative medicine insights","volume":"6 ","pages":"13-7"},"PeriodicalIF":0.0000,"publicationDate":"2011-01-01","publicationTypes":"Journal Article","fieldsOfStudy":null,"isOpenAccess":false,"openAccessPdf":"https://sci-hub-pdf.com/10.4137/IMI.S7884","citationCount":"6","resultStr":"{\"title\":\"Effect of kampo medicine on pain and range of motion of osteoarthritis of the hip accompanied by acetabular dysplasia: case report and literature review.\",\"authors\":\"Toshiaki Kogure,&nbsp;Takeshi Tatsumi,&nbsp;Tetsuya Shigeta,&nbsp;Hiroshi Fujinaga,&nbsp;Takahisa Sato,&nbsp;Atsushi Niizawa\",\"doi\":\"10.4137/IMI.S7884\",\"DOIUrl\":null,\"url\":null,\"abstract\":\"<p><p>We report a 52-year-old female with end-stage osteoarthritis of the hip accompanied by acetabular dysplasia in whom quality of life (QOL) was improved by Kampo treatment.When she was 42 years old, she developed pain in the left hip joint, and early-stage OA of the hip was diagnosed by hip joint x-ray. Therefore, she took NSAIDs, and received conservative therapies such as diet and muscle training. However, pain in the hip joint increased and her activity of daily life (ADL) decreased at the age of 50, although she continued to receive the conservative therapies. At the age of 52, she consulted our department requesting Japanese Oriental (Kampo) Medicine. Kampo formulae; Keishikaryojutsubuto (12Tab/day: Kuracie Co. Ltd. Japan), and Boiougito (7.5 g/day: Kuracie Co. Ltd. Japan), were administered. Treatment for 3 months resulted in a decrease in the left hip joint pain using visual analogue scale (VAS) and improvement of her ADL. One year later, her joint symptoms have not increased, and both the Harris hip score and the clinical evaluation criteria of osteoarthritis of the hip have improved.The course of this disease varies depending on the lifestyle of the patient, and Kampo formulations may offer safe, potent supplemental treatment.</p>\",\"PeriodicalId\":89565,\"journal\":{\"name\":\"Integrative medicine insights\",\"volume\":\"6 \",\"pages\":\"13-7\"},\"PeriodicalIF\":0.0000,\"publicationDate\":\"2011-01-01\",\"publicationTypes\":\"Journal Article\",\"fieldsOfStudy\":null,\"isOpenAccess\":false,\"openAccessPdf\":\"https://sci-hub-pdf.com/10.4137/IMI.S7884\",\"citationCount\":\"6\",\"resultStr\":null,\"platform\":\"Semanticscholar\",\"paperid\":null,\"PeriodicalName\":\"Integrative medicine insights\",\"FirstCategoryId\":\"1085\",\"ListUrlMain\":\"https://doi.org/10.4137/IMI.S7884\",\"RegionNum\":0,\"RegionCategory\":null,\"ArticlePicture\":[],\"TitleCN\":null,\"AbstractTextCN\":null,\"PMCID\":null,\"EPubDate\":\"2011/11/3 0:00:00\",\"PubModel\":\"Epub\",\"JCR\":\"\",\"JCRName\":\"\",\"Score\":null,\"Total\":0}","platform":"Semanticscholar","paperid":null,"PeriodicalName":"Integrative medicine insights","FirstCategoryId":"1085","ListUrlMain":"https://doi.org/10.4137/IMI.S7884","RegionNum":0,"RegionCategory":null,"ArticlePicture":[],"TitleCN":null,"AbstractTextCN":null,"PMCID":null,"EPubDate":"2011/11/3 0:00:00","PubModel":"Epub","JCR":"","JCRName":"","Score":null,"Total":0}
引用次数: 6

摘要

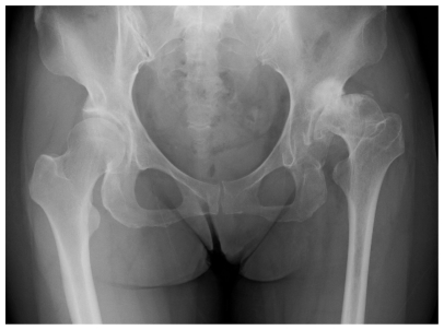
我们报告了一位52岁的女性终末期髋关节骨关节炎伴髋臼发育不良,其生活质量(QOL)通过Kampo治疗得到改善。42岁时,患者出现左髋关节疼痛,髋关节x线检查诊断为早期髋关节骨关节炎。因此,她服用非甾体抗炎药,并接受保守治疗,如饮食和肌肉训练。然而,髋关节疼痛增加,日常生活活动(ADL)在50岁时下降,尽管她继续接受保守治疗。在她52岁时,她向我科咨询日本东方(汉布)医学。邮政寿险局公式;keishikaryojutsubbuto (12Tab/day: Kuracie Co. Ltd.)Boiougito (7.5 g/d: Kuracie Co. Ltd.)。日本),被管理。治疗3个月后,左髋关节疼痛(视觉模拟评分法)减轻,ADL改善。一年后,她的关节症状没有加重,Harris髋关节评分和髋关节骨关节炎的临床评价标准都有所改善。这种疾病的病程取决于患者的生活方式,而Kampo制剂可能提供安全、有效的补充治疗。
本文章由计算机程序翻译,如有差异,请以英文原文为准。

Effect of kampo medicine on pain and range of motion of osteoarthritis of the hip accompanied by acetabular dysplasia: case report and literature review.

Effect of kampo medicine on pain and range of motion of osteoarthritis of the hip accompanied by acetabular dysplasia: case report and literature review.

We report a 52-year-old female with end-stage osteoarthritis of the hip accompanied by acetabular dysplasia in whom quality of life (QOL) was improved by Kampo treatment.When she was 42 years old, she developed pain in the left hip joint, and early-stage OA of the hip was diagnosed by hip joint x-ray. Therefore, she took NSAIDs, and received conservative therapies such as diet and muscle training. However, pain in the hip joint increased and her activity of daily life (ADL) decreased at the age of 50, although she continued to receive the conservative therapies. At the age of 52, she consulted our department requesting Japanese Oriental (Kampo) Medicine. Kampo formulae; Keishikaryojutsubuto (12Tab/day: Kuracie Co. Ltd. Japan), and Boiougito (7.5 g/day: Kuracie Co. Ltd. Japan), were administered. Treatment for 3 months resulted in a decrease in the left hip joint pain using visual analogue scale (VAS) and improvement of her ADL. One year later, her joint symptoms have not increased, and both the Harris hip score and the clinical evaluation criteria of osteoarthritis of the hip have improved.The course of this disease varies depending on the lifestyle of the patient, and Kampo formulations may offer safe, potent supplemental treatment.

求助全文
通过发布文献求助,成功后即可免费获取论文全文。 去求助
来源期刊
自引率
0.00%
发文量
0
×
引用
GB/T 7714-2015
复制
MLA
复制
APA
复制
导出至
BibTeX EndNote RefMan NoteFirst NoteExpress
×
提示
您的信息不完整,为了账户安全,请先补充。
现在去补充
×
提示
您因"违规操作"
具体请查看互助需知
我知道了
×
提示
确定
请完成安全验证×
copy
已复制链接
快去分享给好友吧!
我知道了
右上角分享
点击右上角分享
0
联系我们:info@booksci.cn Book学术提供免费学术资源搜索服务,方便国内外学者检索中英文文献。致力于提供最便捷和优质的服务体验。 Copyright © 2023 布克学术 All rights reserved.
京ICP备2023020795号-1
ghs 京公网安备 11010802042870号
Book学术文献互助
Book学术文献互助群
群 号:604180095
Book学术官方微信