用于胶质瘤治疗的新型 PBEF1/Visfatin/NMPRTase 抑制剂的虚拟筛选、鉴定和实验测试。

Nagasuma Chandra, Raghu Bhagavat, Eshita Sharma, P Sreekanthreddy, Kumaravel Somasundaram
{"title":"用于胶质瘤治疗的新型 PBEF1/Visfatin/NMPRTase 抑制剂的虚拟筛选、鉴定和实验测试。","authors":"Nagasuma Chandra, Raghu Bhagavat, Eshita Sharma, P Sreekanthreddy, Kumaravel Somasundaram","doi":"10.1186/2043-9113-1-5","DOIUrl":null,"url":null,"abstract":"<p><strong>Background: </strong>Pre-B-cell colony enhancing factor 1 gene (PBEF1) encodes nicotinamide phosphoribosyltransferase (NMPRTase), which catalyses the rate limiting step in the salvage pathway of NAD+ metabolism in mammalian cells. PBEF1 transcript and protein levels have been shown to be elevated in glioblastoma and a chemical inhibitor of NMPRTase has been shown to specifically inhibit cancer cells.</p><p><strong>Methods: </strong>Virtual screening using docking was used to screen a library of more than 13,000 chemical compounds. A shortlisted set of compounds were tested for their inhibition activity in vitro by an NMPRTase enzyme assay. Further, the ability of the compounds to inhibit glioma cell proliferation was carried out.</p><p><strong>Results: </strong>Virtual screening resulted in short listing of 34 possible ligands, of which six were tested experimentally, using the NMPRTase enzyme inhibition assay and further with the glioma cell viability assays. Of these, two compounds were found to be significantly efficacious in inhibiting the conversion of nicotinamide to NAD+, and out of which, one compound, 3-amino-2-benzyl-7-nitro-4-(2-quinolyl-)-1,2-dihydroisoquinolin-1-one, was found to inhibit the growth of a PBEF1 over expressing glioma derived cell line U87 as well.</p><p><strong>Conclusions: </strong>Thus, a novel inhibitor has been identified through a structure based drug discovery approach and is further supported by experimental evidence.</p>","PeriodicalId":73663,"journal":{"name":"Journal of clinical bioinformatics","volume":" ","pages":"5"},"PeriodicalIF":0.0000,"publicationDate":"2011-01-20","publicationTypes":"Journal Article","fieldsOfStudy":null,"isOpenAccess":false,"openAccessPdf":"https://www.ncbi.nlm.nih.gov/pmc/articles/PMC3143896/pdf/","citationCount":"0","resultStr":"{\"title\":\"Virtual screening, identification and experimental testing of novel inhibitors of PBEF1/Visfatin/NMPRTase for glioma therapy.\",\"authors\":\"Nagasuma Chandra, Raghu Bhagavat, Eshita Sharma, P Sreekanthreddy, Kumaravel Somasundaram\",\"doi\":\"10.1186/2043-9113-1-5\",\"DOIUrl\":null,\"url\":null,\"abstract\":\"<p><strong>Background: </strong>Pre-B-cell colony enhancing factor 1 gene (PBEF1) encodes nicotinamide phosphoribosyltransferase (NMPRTase), which catalyses the rate limiting step in the salvage pathway of NAD+ metabolism in mammalian cells. PBEF1 transcript and protein levels have been shown to be elevated in glioblastoma and a chemical inhibitor of NMPRTase has been shown to specifically inhibit cancer cells.</p><p><strong>Methods: </strong>Virtual screening using docking was used to screen a library of more than 13,000 chemical compounds. A shortlisted set of compounds were tested for their inhibition activity in vitro by an NMPRTase enzyme assay. Further, the ability of the compounds to inhibit glioma cell proliferation was carried out.</p><p><strong>Results: </strong>Virtual screening resulted in short listing of 34 possible ligands, of which six were tested experimentally, using the NMPRTase enzyme inhibition assay and further with the glioma cell viability assays. Of these, two compounds were found to be significantly efficacious in inhibiting the conversion of nicotinamide to NAD+, and out of which, one compound, 3-amino-2-benzyl-7-nitro-4-(2-quinolyl-)-1,2-dihydroisoquinolin-1-one, was found to inhibit the growth of a PBEF1 over expressing glioma derived cell line U87 as well.</p><p><strong>Conclusions: </strong>Thus, a novel inhibitor has been identified through a structure based drug discovery approach and is further supported by experimental evidence.</p>\",\"PeriodicalId\":73663,\"journal\":{\"name\":\"Journal of clinical bioinformatics\",\"volume\":\" \",\"pages\":\"5\"},\"PeriodicalIF\":0.0000,\"publicationDate\":\"2011-01-20\",\"publicationTypes\":\"Journal Article\",\"fieldsOfStudy\":null,\"isOpenAccess\":false,\"openAccessPdf\":\"https://www.ncbi.nlm.nih.gov/pmc/articles/PMC3143896/pdf/\",\"citationCount\":\"0\",\"resultStr\":null,\"platform\":\"Semanticscholar\",\"paperid\":null,\"PeriodicalName\":\"Journal of clinical bioinformatics\",\"FirstCategoryId\":\"1085\",\"ListUrlMain\":\"https://doi.org/10.1186/2043-9113-1-5\",\"RegionNum\":0,\"RegionCategory\":null,\"ArticlePicture\":[],\"TitleCN\":null,\"AbstractTextCN\":null,\"PMCID\":null,\"EPubDate\":\"\",\"PubModel\":\"\",\"JCR\":\"\",\"JCRName\":\"\",\"Score\":null,\"Total\":0}","platform":"Semanticscholar","paperid":null,"PeriodicalName":"Journal of clinical bioinformatics","FirstCategoryId":"1085","ListUrlMain":"https://doi.org/10.1186/2043-9113-1-5","RegionNum":0,"RegionCategory":null,"ArticlePicture":[],"TitleCN":null,"AbstractTextCN":null,"PMCID":null,"EPubDate":"","PubModel":"","JCR":"","JCRName":"","Score":null,"Total":0}
引用次数: 0

摘要

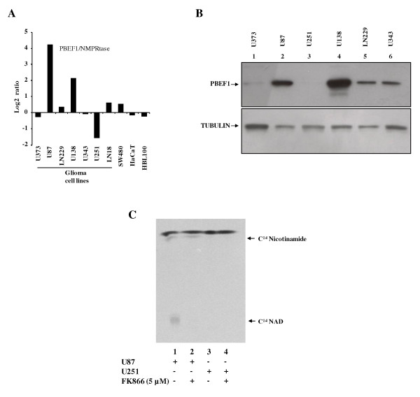
背景:前B细胞集落增强因子1基因(PBEF1)编码烟酰胺磷酸核糖转移酶(NMPRTase),该酶催化哺乳动物细胞中NAD+代谢挽救途径中的限速步骤。已证明胶质母细胞瘤中 PBEF1 的转录本和蛋白水平升高,NMPRTase 的化学抑制剂对癌细胞有特异性抑制作用:方法:利用对接虚拟筛选技术筛选了一个包含 13,000 多种化学化合物的化合物库。方法:利用对接虚拟筛选技术筛选了 13,000 多种化学化合物,并通过 NMPRTase 酶测定法测试了入围化合物的体外抑制活性。此外,还检测了这些化合物抑制胶质瘤细胞增殖的能力:虚拟筛选得出了 34 种可能的配体,其中 6 种通过 NMPRTase 酶抑制实验和胶质瘤细胞活力实验进行了实验测试。在这些化合物中,有两种化合物在抑制烟酰胺向 NAD+ 的转化方面具有显著功效,其中一种化合物,即 3-氨基-2-苄基-7-硝基-4-(2-喹啉基)-1,2-二氢异喹啉-1-酮,还能抑制过度表达 PBEF1 的胶质瘤衍生细胞系 U87 的生长:因此,通过基于结构的药物发现方法找到了一种新型抑制剂,并得到了实验证据的进一步支持。
本文章由计算机程序翻译,如有差异,请以英文原文为准。

Virtual screening, identification and experimental testing of novel inhibitors of PBEF1/Visfatin/NMPRTase for glioma therapy.

Virtual screening, identification and experimental testing of novel inhibitors of PBEF1/Visfatin/NMPRTase for glioma therapy.

Virtual screening, identification and experimental testing of novel inhibitors of PBEF1/Visfatin/NMPRTase for glioma therapy.

Virtual screening, identification and experimental testing of novel inhibitors of PBEF1/Visfatin/NMPRTase for glioma therapy.

Background: Pre-B-cell colony enhancing factor 1 gene (PBEF1) encodes nicotinamide phosphoribosyltransferase (NMPRTase), which catalyses the rate limiting step in the salvage pathway of NAD+ metabolism in mammalian cells. PBEF1 transcript and protein levels have been shown to be elevated in glioblastoma and a chemical inhibitor of NMPRTase has been shown to specifically inhibit cancer cells.

Methods: Virtual screening using docking was used to screen a library of more than 13,000 chemical compounds. A shortlisted set of compounds were tested for their inhibition activity in vitro by an NMPRTase enzyme assay. Further, the ability of the compounds to inhibit glioma cell proliferation was carried out.

Results: Virtual screening resulted in short listing of 34 possible ligands, of which six were tested experimentally, using the NMPRTase enzyme inhibition assay and further with the glioma cell viability assays. Of these, two compounds were found to be significantly efficacious in inhibiting the conversion of nicotinamide to NAD+, and out of which, one compound, 3-amino-2-benzyl-7-nitro-4-(2-quinolyl-)-1,2-dihydroisoquinolin-1-one, was found to inhibit the growth of a PBEF1 over expressing glioma derived cell line U87 as well.

Conclusions: Thus, a novel inhibitor has been identified through a structure based drug discovery approach and is further supported by experimental evidence.

求助全文
通过发布文献求助,成功后即可免费获取论文全文。 去求助
来源期刊
自引率
0.00%
发文量
0
×
引用
GB/T 7714-2015
复制
MLA
复制
APA
复制
导出至
BibTeX EndNote RefMan NoteFirst NoteExpress
×
提示
您的信息不完整,为了账户安全,请先补充。
现在去补充
×
提示
您因"违规操作"
具体请查看互助需知
我知道了
×
提示
确定
请完成安全验证×
copy
已复制链接
快去分享给好友吧!
我知道了
右上角分享
点击右上角分享
0
联系我们:info@booksci.cn Book学术提供免费学术资源搜索服务,方便国内外学者检索中英文文献。致力于提供最便捷和优质的服务体验。 Copyright © 2023 布克学术 All rights reserved.
京ICP备2023020795号-1
ghs 京公网安备 11010802042870号
Book学术文献互助
Book学术文献互助群
群 号:604180095
Book学术官方微信