病例报告:甲羟戊酸激酶缺乏:缺血性中风的一个未被诊断的原因-一个新的遗传变异的特征。

IF 5.9 2区 医学 Q1 IMMUNOLOGY
Frontiers in Immunology Pub Date : 2025-10-03 eCollection Date: 2025-01-01 DOI:10.3389/fimmu.2025.1651819
Lyna-Nour Hamidi, Jack Christopher Drda, Meriem Belhocine, Hannah-Laure Elfassy, Stéphanie Ducharme-Bénard, Maxime Chayer-Lanthier, Bushra Sultana, Sylvain Lanthier
{"title":"病例报告:甲羟戊酸激酶缺乏:缺血性中风的一个未被诊断的原因-一个新的遗传变异的特征。","authors":"Lyna-Nour Hamidi, Jack Christopher Drda, Meriem Belhocine, Hannah-Laure Elfassy, Stéphanie Ducharme-Bénard, Maxime Chayer-Lanthier, Bushra Sultana, Sylvain Lanthier","doi":"10.3389/fimmu.2025.1651819","DOIUrl":null,"url":null,"abstract":"<p><p>Mevalonate kinase deficiency (MKD) is an inherited autoinflammatory syndrome resulting from impaired isoprenoid biosynthesis due to biallelic mevalonate kinase (<i>MVK</i>) mutations. This metabolic defect leads to dysregulated innate immunity, particularly excessive interleukin-1β release. While typically presenting in childhood with periodic fevers, expanding evidence links MKD to heterogeneous adult phenotypes with immune-mediated end-organ damage. We report an adult male presenting with leg pain and finger cyanosis followed by acute ischemic stroke, macular rash, and lymphadenopathies. He exhibited classical markers of innate immune activation, including persistent elevation of C-reactive protein. Genetic testing identified compound heterozygosity for the known <i>MVK</i> pathogenic variant c.1129G>A (V377I) and a novel missense variant, c.1049A>C (Q350P). Structural modeling of Q350P revealed disruption of the GHMP kinase domain, predicted to destabilize mevalonate kinase conformation and impair its function. The measurement of mevalonate kinase activity in lymphocytes was at 55% (normal >60%). Interleukin-1β blockade with canakinumab was initiated, and the blood markers of inflammation normalized, further supporting a central role for innate immune dysregulation. This case highlights a novel <i>MVK</i> missense variant (Q350P) with subnormal mevalonate kinase activity. The patient's compound heterozygous state with partially preserved mevalonate kinase activity may explain the attenuated systemic features and the delayed clinical onset. Remarkably, ischemic stroke was part of the initial presentation, suggesting that mevalonate kinase deficiency can manifest primarily through thrombo-inflammatory complications in adulthood, even in the absence of recurrent febrile episodes. This expands the phenotypic spectrum of MKD and underscores the need to consider adult-onset autoinflammatory syndromes in the differential diagnosis of cryptogenic ischemic strokes with markers of systemic inflammation. It also supports the utility of cytokine-targeted therapies in such contexts.</p>","PeriodicalId":12622,"journal":{"name":"Frontiers in Immunology","volume":"16 ","pages":"1651819"},"PeriodicalIF":5.9000,"publicationDate":"2025-10-03","publicationTypes":"Journal Article","fieldsOfStudy":null,"isOpenAccess":false,"openAccessPdf":"https://www.ncbi.nlm.nih.gov/pmc/articles/PMC12531262/pdf/","citationCount":"0","resultStr":"{\"title\":\"Case Report: Mevalonate kinase deficiency: an underdiagnosed cause of ischemic stroke-characterization of a novel genetic variant.\",\"authors\":\"Lyna-Nour Hamidi, Jack Christopher Drda, Meriem Belhocine, Hannah-Laure Elfassy, Stéphanie Ducharme-Bénard, Maxime Chayer-Lanthier, Bushra Sultana, Sylvain Lanthier\",\"doi\":\"10.3389/fimmu.2025.1651819\",\"DOIUrl\":null,\"url\":null,\"abstract\":\"<p><p>Mevalonate kinase deficiency (MKD) is an inherited autoinflammatory syndrome resulting from impaired isoprenoid biosynthesis due to biallelic mevalonate kinase (<i>MVK</i>) mutations. This metabolic defect leads to dysregulated innate immunity, particularly excessive interleukin-1β release. While typically presenting in childhood with periodic fevers, expanding evidence links MKD to heterogeneous adult phenotypes with immune-mediated end-organ damage. We report an adult male presenting with leg pain and finger cyanosis followed by acute ischemic stroke, macular rash, and lymphadenopathies. He exhibited classical markers of innate immune activation, including persistent elevation of C-reactive protein. Genetic testing identified compound heterozygosity for the known <i>MVK</i> pathogenic variant c.1129G>A (V377I) and a novel missense variant, c.1049A>C (Q350P). Structural modeling of Q350P revealed disruption of the GHMP kinase domain, predicted to destabilize mevalonate kinase conformation and impair its function. The measurement of mevalonate kinase activity in lymphocytes was at 55% (normal >60%). Interleukin-1β blockade with canakinumab was initiated, and the blood markers of inflammation normalized, further supporting a central role for innate immune dysregulation. This case highlights a novel <i>MVK</i> missense variant (Q350P) with subnormal mevalonate kinase activity. The patient's compound heterozygous state with partially preserved mevalonate kinase activity may explain the attenuated systemic features and the delayed clinical onset. Remarkably, ischemic stroke was part of the initial presentation, suggesting that mevalonate kinase deficiency can manifest primarily through thrombo-inflammatory complications in adulthood, even in the absence of recurrent febrile episodes. This expands the phenotypic spectrum of MKD and underscores the need to consider adult-onset autoinflammatory syndromes in the differential diagnosis of cryptogenic ischemic strokes with markers of systemic inflammation. It also supports the utility of cytokine-targeted therapies in such contexts.</p>\",\"PeriodicalId\":12622,\"journal\":{\"name\":\"Frontiers in Immunology\",\"volume\":\"16 \",\"pages\":\"1651819\"},\"PeriodicalIF\":5.9000,\"publicationDate\":\"2025-10-03\",\"publicationTypes\":\"Journal Article\",\"fieldsOfStudy\":null,\"isOpenAccess\":false,\"openAccessPdf\":\"https://www.ncbi.nlm.nih.gov/pmc/articles/PMC12531262/pdf/\",\"citationCount\":\"0\",\"resultStr\":null,\"platform\":\"Semanticscholar\",\"paperid\":null,\"PeriodicalName\":\"Frontiers in Immunology\",\"FirstCategoryId\":\"3\",\"ListUrlMain\":\"https://doi.org/10.3389/fimmu.2025.1651819\",\"RegionNum\":2,\"RegionCategory\":\"医学\",\"ArticlePicture\":[],\"TitleCN\":null,\"AbstractTextCN\":null,\"PMCID\":null,\"EPubDate\":\"2025/1/1 0:00:00\",\"PubModel\":\"eCollection\",\"JCR\":\"Q1\",\"JCRName\":\"IMMUNOLOGY\",\"Score\":null,\"Total\":0}","platform":"Semanticscholar","paperid":null,"PeriodicalName":"Frontiers in Immunology","FirstCategoryId":"3","ListUrlMain":"https://doi.org/10.3389/fimmu.2025.1651819","RegionNum":2,"RegionCategory":"医学","ArticlePicture":[],"TitleCN":null,"AbstractTextCN":null,"PMCID":null,"EPubDate":"2025/1/1 0:00:00","PubModel":"eCollection","JCR":"Q1","JCRName":"IMMUNOLOGY","Score":null,"Total":0}
引用次数: 0

摘要

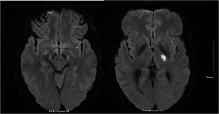
甲羟戊酸激酶缺乏症(MKD)是一种遗传性自身炎症综合征,由双等位基因甲羟戊酸激酶(MVK)突变导致类异戊二烯生物合成受损。这种代谢缺陷导致先天免疫失调,特别是白细胞介素-1β释放过多。虽然通常在儿童时期表现为周期性发烧,但越来越多的证据将MKD与异质成人表型与免疫介导的终末器官损伤联系起来。我们报告一个成年男性的腿部疼痛和手指发绀,随后急性缺血性中风,黄斑皮疹,和淋巴结病。他表现出固有免疫激活的经典标记,包括c反应蛋白的持续升高。基因检测发现已知的MVK致病变异C . 1129g >A (V377I)和一种新的错义变异C . 1049a >C (Q350P)具有复合杂合性。Q350P的结构建模显示GHMP激酶结构域的破坏,预测会破坏甲羟戊酸激酶构象并损害其功能。淋巴细胞甲羟戊酸激酶活性为55%(正常为60%)。用canakinumab阻断白细胞介素-1β开始,炎症的血液标记物正常化,进一步支持先天免疫失调的核心作用。该病例突出了一种新的MVK错义变体(Q350P),其甲戊酸激酶活性低于正常水平。患者的复合杂合状态和部分保留的甲戊酸激酶活性可能解释了减弱的全身特征和延迟的临床发作。值得注意的是,缺血性中风是最初表现的一部分,这表明甲羟戊酸激酶缺乏主要表现为成年期的血栓炎性并发症,即使在没有反复发热发作的情况下。这扩大了MKD的表型谱,并强调了在与全身性炎症标志物的隐源性缺血性卒中的鉴别诊断中考虑成人发病的自身炎症综合征的必要性。它还支持细胞因子靶向治疗在这种情况下的效用。
本文章由计算机程序翻译,如有差异,请以英文原文为准。

Case Report: Mevalonate kinase deficiency: an underdiagnosed cause of ischemic stroke-characterization of a novel genetic variant.

Case Report: Mevalonate kinase deficiency: an underdiagnosed cause of ischemic stroke-characterization of a novel genetic variant.

Case Report: Mevalonate kinase deficiency: an underdiagnosed cause of ischemic stroke-characterization of a novel genetic variant.

Case Report: Mevalonate kinase deficiency: an underdiagnosed cause of ischemic stroke-characterization of a novel genetic variant.

Mevalonate kinase deficiency (MKD) is an inherited autoinflammatory syndrome resulting from impaired isoprenoid biosynthesis due to biallelic mevalonate kinase (MVK) mutations. This metabolic defect leads to dysregulated innate immunity, particularly excessive interleukin-1β release. While typically presenting in childhood with periodic fevers, expanding evidence links MKD to heterogeneous adult phenotypes with immune-mediated end-organ damage. We report an adult male presenting with leg pain and finger cyanosis followed by acute ischemic stroke, macular rash, and lymphadenopathies. He exhibited classical markers of innate immune activation, including persistent elevation of C-reactive protein. Genetic testing identified compound heterozygosity for the known MVK pathogenic variant c.1129G>A (V377I) and a novel missense variant, c.1049A>C (Q350P). Structural modeling of Q350P revealed disruption of the GHMP kinase domain, predicted to destabilize mevalonate kinase conformation and impair its function. The measurement of mevalonate kinase activity in lymphocytes was at 55% (normal >60%). Interleukin-1β blockade with canakinumab was initiated, and the blood markers of inflammation normalized, further supporting a central role for innate immune dysregulation. This case highlights a novel MVK missense variant (Q350P) with subnormal mevalonate kinase activity. The patient's compound heterozygous state with partially preserved mevalonate kinase activity may explain the attenuated systemic features and the delayed clinical onset. Remarkably, ischemic stroke was part of the initial presentation, suggesting that mevalonate kinase deficiency can manifest primarily through thrombo-inflammatory complications in adulthood, even in the absence of recurrent febrile episodes. This expands the phenotypic spectrum of MKD and underscores the need to consider adult-onset autoinflammatory syndromes in the differential diagnosis of cryptogenic ischemic strokes with markers of systemic inflammation. It also supports the utility of cytokine-targeted therapies in such contexts.

求助全文
通过发布文献求助,成功后即可免费获取论文全文。 去求助
来源期刊
CiteScore
9.80
自引率
11.00%
发文量
7153
审稿时长
14 weeks
期刊介绍: Frontiers in Immunology is a leading journal in its field, publishing rigorously peer-reviewed research across basic, translational and clinical immunology. This multidisciplinary open-access journal is at the forefront of disseminating and communicating scientific knowledge and impactful discoveries to researchers, academics, clinicians and the public worldwide. Frontiers in Immunology is the official Journal of the International Union of Immunological Societies (IUIS). Encompassing the entire field of Immunology, this journal welcomes papers that investigate basic mechanisms of immune system development and function, with a particular emphasis given to the description of the clinical and immunological phenotype of human immune disorders, and on the definition of their molecular basis.
×
引用
GB/T 7714-2015
复制
MLA
复制
APA
复制
导出至
BibTeX EndNote RefMan NoteFirst NoteExpress
×
提示
您的信息不完整,为了账户安全,请先补充。
现在去补充
×
提示
您因"违规操作"
具体请查看互助需知
我知道了
×
提示
确定
请完成安全验证×
copy
已复制链接
快去分享给好友吧!
我知道了
右上角分享
点击右上角分享
0
联系我们:info@booksci.cn Book学术提供免费学术资源搜索服务,方便国内外学者检索中英文文献。致力于提供最便捷和优质的服务体验。 Copyright © 2023 布克学术 All rights reserved.
京ICP备2023020795号-1
ghs 京公网安备 11010802042870号
Book学术文献互助
Book学术文献互助群
群 号:604180095
Book学术官方微信