炎性嵌套性睾丸性索肿瘤的临床病理特征及分子遗传学分析:1例报告并文献复习。

IF 2.9 4区 医学 Q3 ENDOCRINOLOGY & METABOLISM
Yan Wang, Yun Xi, Meijuan Wu
{"title":"炎性嵌套性睾丸性索肿瘤的临床病理特征及分子遗传学分析:1例报告并文献复习。","authors":"Yan Wang, Yun Xi, Meijuan Wu","doi":"10.1007/s12672-025-03704-8","DOIUrl":null,"url":null,"abstract":"<p><strong>Background: </strong>Inflammatory and nested testicular sex cord tumor (IN-SCT) is a newly defined and rare variant of sex cord-stromal tumors, characterized by EWSR1::ATF1 gene fusion, prominent inflammatory infiltration, and aggressive behavior, often leading to misdiagnosis as lymphoma or seminoma. This study aims to systematically analyze the clinicopathological and molecular features of IN-SCT through a case report and comprehensive literature review, exploring its diagnostic pitfalls and therapeutic strategies.</p><p><strong>Case presentation: </strong>A 36-year-old male presented with painless left testicular enlargement. Ultrasound revealed a 6.0 × 5.0 × 3.3 cm heterogeneous mass with irregular vascularity. Initial pathological evaluation after radical orchiectomy at an outside hospital favored a diagnosis of seminoma. However, external consultation raised suspicion of ALK-negative anaplastic large cell lymphoma (ALCL) based on CD30 immunoreactivity. Further histopathological examination at our institution revealed tumor cells arranged in nests and solid patterns, with extensive inflammatory infiltration. Immunohistochemistry (IHC) demonstrated weak positivity for inhibin-α and diffuse positivity for CD30. Fluorescence in situ hybridization (FISH) confirmed EWSR1 gene rearrangement, leading to a final diagnosis of IN-SCT.</p><p><strong>Treatment and outcome: </strong>The patient underwent six cycles of platinum-based chemotherapy following orchiectomy. No evidence of recurrence was observed at the 10-month follow-up.</p><p><strong>Conclusion: </strong>IN-SCT is a diagnostically challenging tumor characterized by the triad of inflammatory stroma, EWSR1::ATF1 fusion, and aggressive clinical behavior. Accurate recognition of its unique features supports its classification as a distinct entity. Surgical excision followed by adjuvant chemotherapy may benefit patients with advanced disease. The distinct molecular profile of IN-SCT may provide future directions for targeted therapy and diagnostic refinement.</p>","PeriodicalId":11148,"journal":{"name":"Discover. Oncology","volume":"16 1","pages":"1902"},"PeriodicalIF":2.9000,"publicationDate":"2025-10-15","publicationTypes":"Journal Article","fieldsOfStudy":null,"isOpenAccess":false,"openAccessPdf":"https://www.ncbi.nlm.nih.gov/pmc/articles/PMC12528643/pdf/","citationCount":"0","resultStr":"{\"title\":\"Clinicopathological characteristics and molecular genetic analysis of inflammatory and nested testicular sex cord tumor: a case report and literature review.\",\"authors\":\"Yan Wang, Yun Xi, Meijuan Wu\",\"doi\":\"10.1007/s12672-025-03704-8\",\"DOIUrl\":null,\"url\":null,\"abstract\":\"<p><strong>Background: </strong>Inflammatory and nested testicular sex cord tumor (IN-SCT) is a newly defined and rare variant of sex cord-stromal tumors, characterized by EWSR1::ATF1 gene fusion, prominent inflammatory infiltration, and aggressive behavior, often leading to misdiagnosis as lymphoma or seminoma. This study aims to systematically analyze the clinicopathological and molecular features of IN-SCT through a case report and comprehensive literature review, exploring its diagnostic pitfalls and therapeutic strategies.</p><p><strong>Case presentation: </strong>A 36-year-old male presented with painless left testicular enlargement. Ultrasound revealed a 6.0 × 5.0 × 3.3 cm heterogeneous mass with irregular vascularity. Initial pathological evaluation after radical orchiectomy at an outside hospital favored a diagnosis of seminoma. However, external consultation raised suspicion of ALK-negative anaplastic large cell lymphoma (ALCL) based on CD30 immunoreactivity. Further histopathological examination at our institution revealed tumor cells arranged in nests and solid patterns, with extensive inflammatory infiltration. Immunohistochemistry (IHC) demonstrated weak positivity for inhibin-α and diffuse positivity for CD30. Fluorescence in situ hybridization (FISH) confirmed EWSR1 gene rearrangement, leading to a final diagnosis of IN-SCT.</p><p><strong>Treatment and outcome: </strong>The patient underwent six cycles of platinum-based chemotherapy following orchiectomy. No evidence of recurrence was observed at the 10-month follow-up.</p><p><strong>Conclusion: </strong>IN-SCT is a diagnostically challenging tumor characterized by the triad of inflammatory stroma, EWSR1::ATF1 fusion, and aggressive clinical behavior. Accurate recognition of its unique features supports its classification as a distinct entity. Surgical excision followed by adjuvant chemotherapy may benefit patients with advanced disease. The distinct molecular profile of IN-SCT may provide future directions for targeted therapy and diagnostic refinement.</p>\",\"PeriodicalId\":11148,\"journal\":{\"name\":\"Discover. Oncology\",\"volume\":\"16 1\",\"pages\":\"1902\"},\"PeriodicalIF\":2.9000,\"publicationDate\":\"2025-10-15\",\"publicationTypes\":\"Journal Article\",\"fieldsOfStudy\":null,\"isOpenAccess\":false,\"openAccessPdf\":\"https://www.ncbi.nlm.nih.gov/pmc/articles/PMC12528643/pdf/\",\"citationCount\":\"0\",\"resultStr\":null,\"platform\":\"Semanticscholar\",\"paperid\":null,\"PeriodicalName\":\"Discover. Oncology\",\"FirstCategoryId\":\"3\",\"ListUrlMain\":\"https://doi.org/10.1007/s12672-025-03704-8\",\"RegionNum\":4,\"RegionCategory\":\"医学\",\"ArticlePicture\":[],\"TitleCN\":null,\"AbstractTextCN\":null,\"PMCID\":null,\"EPubDate\":\"\",\"PubModel\":\"\",\"JCR\":\"Q3\",\"JCRName\":\"ENDOCRINOLOGY & METABOLISM\",\"Score\":null,\"Total\":0}","platform":"Semanticscholar","paperid":null,"PeriodicalName":"Discover. Oncology","FirstCategoryId":"3","ListUrlMain":"https://doi.org/10.1007/s12672-025-03704-8","RegionNum":4,"RegionCategory":"医学","ArticlePicture":[],"TitleCN":null,"AbstractTextCN":null,"PMCID":null,"EPubDate":"","PubModel":"","JCR":"Q3","JCRName":"ENDOCRINOLOGY & METABOLISM","Score":null,"Total":0}
引用次数: 0

摘要

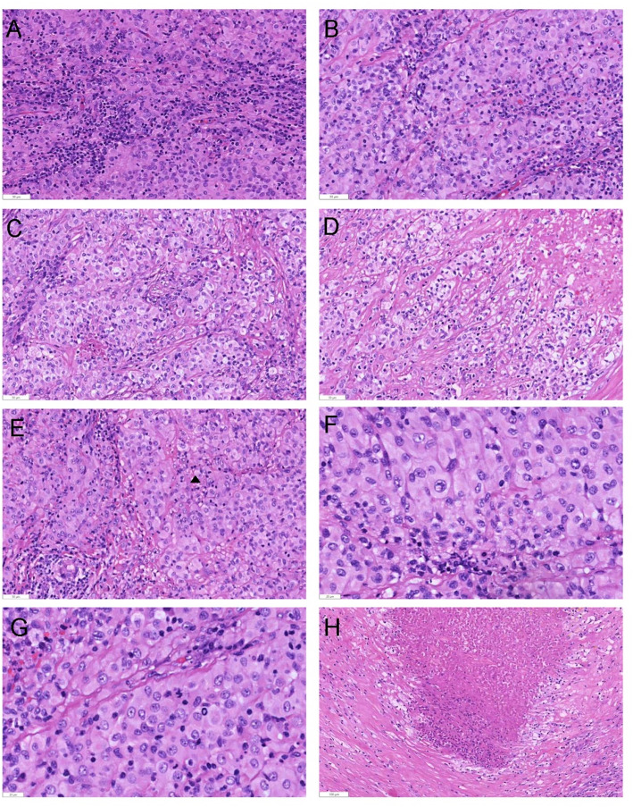
背景:炎性嵌套性睾丸性索肿瘤(IN-SCT)是一种新定义的罕见的性索间质肿瘤,其特征为EWSR1::ATF1基因融合、明显的炎症浸润和侵袭性行为,常导致误诊为淋巴瘤或精原细胞瘤。本研究旨在通过病例报告和综合文献综述,系统分析IN-SCT的临床病理和分子特征,探讨其诊断陷阱和治疗策略。病例介绍:36岁男性,左侧睾丸无痛肿大。超声示6.0 × 5.0 × 3.3 cm不均匀肿块,血管不规则。外院根治性睾丸切除术后的初步病理评估倾向于精原细胞瘤的诊断。然而,基于CD30免疫反应性,外部会诊提出了alk阴性间变性大细胞淋巴瘤(ALCL)的怀疑。在本院进一步的组织病理学检查显示肿瘤细胞呈巢状和实状排列,并伴有广泛的炎症浸润。免疫组化(IHC)显示抑制素-α弱阳性,CD30弥漫性阳性。荧光原位杂交(FISH)证实EWSR1基因重排,最终诊断为in - sct。治疗和结果:患者在睾丸切除术后接受了6个周期的铂类化疗。随访10个月无复发迹象。结论:IN-SCT是一种诊断上具有挑战性的肿瘤,其特征是炎症基质、EWSR1::ATF1融合和侵袭性临床行为。对其独特特征的准确识别有助于将其分类为一个独特的实体。手术切除后辅助化疗可能有利于晚期疾病患者。IN-SCT独特的分子特征可能为靶向治疗和诊断改进提供未来的方向。
本文章由计算机程序翻译,如有差异,请以英文原文为准。

Clinicopathological characteristics and molecular genetic analysis of inflammatory and nested testicular sex cord tumor: a case report and literature review.

Clinicopathological characteristics and molecular genetic analysis of inflammatory and nested testicular sex cord tumor: a case report and literature review.

Clinicopathological characteristics and molecular genetic analysis of inflammatory and nested testicular sex cord tumor: a case report and literature review.

Clinicopathological characteristics and molecular genetic analysis of inflammatory and nested testicular sex cord tumor: a case report and literature review.

Background: Inflammatory and nested testicular sex cord tumor (IN-SCT) is a newly defined and rare variant of sex cord-stromal tumors, characterized by EWSR1::ATF1 gene fusion, prominent inflammatory infiltration, and aggressive behavior, often leading to misdiagnosis as lymphoma or seminoma. This study aims to systematically analyze the clinicopathological and molecular features of IN-SCT through a case report and comprehensive literature review, exploring its diagnostic pitfalls and therapeutic strategies.

Case presentation: A 36-year-old male presented with painless left testicular enlargement. Ultrasound revealed a 6.0 × 5.0 × 3.3 cm heterogeneous mass with irregular vascularity. Initial pathological evaluation after radical orchiectomy at an outside hospital favored a diagnosis of seminoma. However, external consultation raised suspicion of ALK-negative anaplastic large cell lymphoma (ALCL) based on CD30 immunoreactivity. Further histopathological examination at our institution revealed tumor cells arranged in nests and solid patterns, with extensive inflammatory infiltration. Immunohistochemistry (IHC) demonstrated weak positivity for inhibin-α and diffuse positivity for CD30. Fluorescence in situ hybridization (FISH) confirmed EWSR1 gene rearrangement, leading to a final diagnosis of IN-SCT.

Treatment and outcome: The patient underwent six cycles of platinum-based chemotherapy following orchiectomy. No evidence of recurrence was observed at the 10-month follow-up.

Conclusion: IN-SCT is a diagnostically challenging tumor characterized by the triad of inflammatory stroma, EWSR1::ATF1 fusion, and aggressive clinical behavior. Accurate recognition of its unique features supports its classification as a distinct entity. Surgical excision followed by adjuvant chemotherapy may benefit patients with advanced disease. The distinct molecular profile of IN-SCT may provide future directions for targeted therapy and diagnostic refinement.

求助全文
通过发布文献求助,成功后即可免费获取论文全文。 去求助
来源期刊
Discover. Oncology
Discover. Oncology Medicine-Endocrinology, Diabetes and Metabolism
CiteScore
2.40
自引率
9.10%
发文量
122
审稿时长
5 weeks
×
引用
GB/T 7714-2015
复制
MLA
复制
APA
复制
导出至
BibTeX EndNote RefMan NoteFirst NoteExpress
×
提示
您的信息不完整,为了账户安全,请先补充。
现在去补充
×
提示
您因"违规操作"
具体请查看互助需知
我知道了
×
提示
确定
请完成安全验证×
copy
已复制链接
快去分享给好友吧!
我知道了
右上角分享
点击右上角分享
0
联系我们:info@booksci.cn Book学术提供免费学术资源搜索服务,方便国内外学者检索中英文文献。致力于提供最便捷和优质的服务体验。 Copyright © 2023 布克学术 All rights reserved.
京ICP备2023020795号-1
ghs 京公网安备 11010802042870号
Book学术文献互助
Book学术文献互助群
群 号:604180095
Book学术官方微信