滑车外侧2位图像倾斜判断滑车发育不良所致髌骨不稳定的有效性。

IF 2.5 3区 医学 Q2 ORTHOPEDICS
Orthopaedic Journal of Sports Medicine Pub Date : 2025-10-06 eCollection Date: 2025-10-01 DOI:10.1177/23259671251371276
J Lee Pace, Tanner E James, Nicholas R Anable, Olubusola A Brimmo, John P Abt
{"title":"滑车外侧2位图像倾斜判断滑车发育不良所致髌骨不稳定的有效性。","authors":"J Lee Pace, Tanner E James, Nicholas R Anable, Olubusola A Brimmo, John P Abt","doi":"10.1177/23259671251371276","DOIUrl":null,"url":null,"abstract":"<p><strong>Background: </strong>Trochlear dysplasia is frequently seen in young patients and can be a cause of patellar instability (PI). A lateral trochlear inclination (LTI) of 11° or less has long been utilized to discriminate between patients with and without some degree of trochlear dysplasia that is likely to contribute to recurrent PI. The traditional methodology for this radiographic measure has been described via a single-image technique. Recently, a 2-image technique was introduced to better account for distal femoral orientation relative to proximal trochlear cartilage. However, further work is required to determine the validity of the 2-image LTI technique in introducing a new diagnostic threshold value for trochlear dysplasia.</p><p><strong>Purpose/hypothesis: </strong>The purpose of this study was to evaluate the validity of the novel 2-image LTI measurement technique in determining a diagnostic cut-off value for trochlear dysplasia that is likely to result in recurrent PI. It was hypothesized that this would yield a different value than the historical 11° cutoff determined through the single-image technique.</p><p><strong>Study design: </strong>Cohort study (Diagnosis); Level of evidence, 3.</p><p><strong>Methods: </strong>After institutional review board approval, medical records were retrospectively reviewed to form a PI group and a control (no PI) group. The 2-image LTI was first measured by 2 raters to determine intrarater and interrater reliability. A receiver operating characteristic curve was created to determine a diagnostic cut-off value. After applying this cutoff between the groups, the resultant sensitivity and specificity were calculated.</p><p><strong>Results: </strong>The 2-image LTI measurements demonstrated excellent intrarater and interrater reliability. The PI group had a mean LTI of 2.58°, while the control group had a mean LTI of 17.26°. A diagnostic threshold LTI value of 13.7° was determined, discriminating between patients with and without recurrent PI due to trochlear dysplasia, with a sensitivity of 0.889 and a specificity of 0.780. The area under the curve was 0.887.</p><p><strong>Conclusion: </strong>Utilizing the 2-image LTI measurement technique, a threshold value of 13.7° was determined as optimal for discerning between patients with and without trochlear dysplasia that is likely to lead to recurrent PI. This value can thus be used for accurate diagnoses of trochlear dysplasia, which can help to inform management, patient counseling, and research in the future.</p>","PeriodicalId":19646,"journal":{"name":"Orthopaedic Journal of Sports Medicine","volume":"13 10","pages":"23259671251371276"},"PeriodicalIF":2.5000,"publicationDate":"2025-10-06","publicationTypes":"Journal Article","fieldsOfStudy":null,"isOpenAccess":false,"openAccessPdf":"https://www.ncbi.nlm.nih.gov/pmc/articles/PMC12501464/pdf/","citationCount":"0","resultStr":"{\"title\":\"Validity of the 2-Image Lateral Trochlear Inclination to Determine Patellar Instability Due to Trochlear Dysplasia.\",\"authors\":\"J Lee Pace, Tanner E James, Nicholas R Anable, Olubusola A Brimmo, John P Abt\",\"doi\":\"10.1177/23259671251371276\",\"DOIUrl\":null,\"url\":null,\"abstract\":\"<p><strong>Background: </strong>Trochlear dysplasia is frequently seen in young patients and can be a cause of patellar instability (PI). A lateral trochlear inclination (LTI) of 11° or less has long been utilized to discriminate between patients with and without some degree of trochlear dysplasia that is likely to contribute to recurrent PI. The traditional methodology for this radiographic measure has been described via a single-image technique. Recently, a 2-image technique was introduced to better account for distal femoral orientation relative to proximal trochlear cartilage. However, further work is required to determine the validity of the 2-image LTI technique in introducing a new diagnostic threshold value for trochlear dysplasia.</p><p><strong>Purpose/hypothesis: </strong>The purpose of this study was to evaluate the validity of the novel 2-image LTI measurement technique in determining a diagnostic cut-off value for trochlear dysplasia that is likely to result in recurrent PI. It was hypothesized that this would yield a different value than the historical 11° cutoff determined through the single-image technique.</p><p><strong>Study design: </strong>Cohort study (Diagnosis); Level of evidence, 3.</p><p><strong>Methods: </strong>After institutional review board approval, medical records were retrospectively reviewed to form a PI group and a control (no PI) group. The 2-image LTI was first measured by 2 raters to determine intrarater and interrater reliability. A receiver operating characteristic curve was created to determine a diagnostic cut-off value. After applying this cutoff between the groups, the resultant sensitivity and specificity were calculated.</p><p><strong>Results: </strong>The 2-image LTI measurements demonstrated excellent intrarater and interrater reliability. The PI group had a mean LTI of 2.58°, while the control group had a mean LTI of 17.26°. A diagnostic threshold LTI value of 13.7° was determined, discriminating between patients with and without recurrent PI due to trochlear dysplasia, with a sensitivity of 0.889 and a specificity of 0.780. The area under the curve was 0.887.</p><p><strong>Conclusion: </strong>Utilizing the 2-image LTI measurement technique, a threshold value of 13.7° was determined as optimal for discerning between patients with and without trochlear dysplasia that is likely to lead to recurrent PI. This value can thus be used for accurate diagnoses of trochlear dysplasia, which can help to inform management, patient counseling, and research in the future.</p>\",\"PeriodicalId\":19646,\"journal\":{\"name\":\"Orthopaedic Journal of Sports Medicine\",\"volume\":\"13 10\",\"pages\":\"23259671251371276\"},\"PeriodicalIF\":2.5000,\"publicationDate\":\"2025-10-06\",\"publicationTypes\":\"Journal Article\",\"fieldsOfStudy\":null,\"isOpenAccess\":false,\"openAccessPdf\":\"https://www.ncbi.nlm.nih.gov/pmc/articles/PMC12501464/pdf/\",\"citationCount\":\"0\",\"resultStr\":null,\"platform\":\"Semanticscholar\",\"paperid\":null,\"PeriodicalName\":\"Orthopaedic Journal of Sports Medicine\",\"FirstCategoryId\":\"3\",\"ListUrlMain\":\"https://doi.org/10.1177/23259671251371276\",\"RegionNum\":3,\"RegionCategory\":\"医学\",\"ArticlePicture\":[],\"TitleCN\":null,\"AbstractTextCN\":null,\"PMCID\":null,\"EPubDate\":\"2025/10/1 0:00:00\",\"PubModel\":\"eCollection\",\"JCR\":\"Q2\",\"JCRName\":\"ORTHOPEDICS\",\"Score\":null,\"Total\":0}","platform":"Semanticscholar","paperid":null,"PeriodicalName":"Orthopaedic Journal of Sports Medicine","FirstCategoryId":"3","ListUrlMain":"https://doi.org/10.1177/23259671251371276","RegionNum":3,"RegionCategory":"医学","ArticlePicture":[],"TitleCN":null,"AbstractTextCN":null,"PMCID":null,"EPubDate":"2025/10/1 0:00:00","PubModel":"eCollection","JCR":"Q2","JCRName":"ORTHOPEDICS","Score":null,"Total":0}
引用次数: 0

摘要

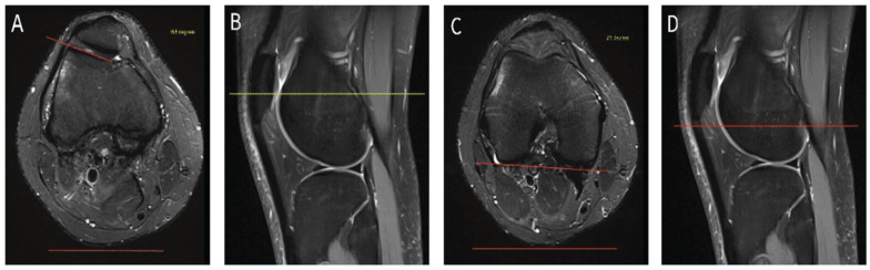
背景:滑车发育不良常见于年轻患者,可引起髌骨不稳定(PI)。滑车外侧倾斜度(LTI)为11°或更小,长期以来被用来区分患有或没有某种程度滑车发育不良的患者,因为滑车发育不良可能导致PI复发。这种放射测量的传统方法是通过单图像技术来描述的。最近,引入了一种双图像技术来更好地解释股骨远端相对于近端滑车软骨的方向。然而,需要进一步的工作来确定2图像LTI技术在引入滑车发育不良的新诊断阈值方面的有效性。目的/假设:本研究的目的是评估新型2图像LTI测量技术在确定滑车发育不良诊断截止值方面的有效性,该诊断截止值可能导致复发性PI。假设这将产生不同于通过单图像技术确定的历史11°截止值的值。研究设计:队列研究(诊断);证据水平,3。方法:经机构审查委员会批准,回顾性审查病历,分为PI组和对照组(无PI组)。2图像LTI首先由2个评分者测量,以确定评分者内部和内部的信度。建立了一个接受者工作特征曲线来确定诊断截止值。在组间应用此截止值后,计算结果的敏感性和特异性。结果:两幅图像的LTI测量显示出良好的内部和内部可靠性。PI组LTI均值为2.58°,对照组LTI均值为17.26°。确定诊断阈值LTI为13.7°,区分滑车发育不良引起的PI复发和非复发患者,敏感性为0.889,特异性为0.780。曲线下面积为0.887。结论:利用双图像LTI测量技术,确定了13.7°的阈值是区分滑车发育不良患者和非滑车发育不良患者可能导致PI复发的最佳阈值。因此,该值可用于滑车发育不良的准确诊断,有助于为今后的治疗、患者咨询和研究提供信息。
本文章由计算机程序翻译,如有差异,请以英文原文为准。

Validity of the 2-Image Lateral Trochlear Inclination to Determine Patellar Instability Due to Trochlear Dysplasia.

Validity of the 2-Image Lateral Trochlear Inclination to Determine Patellar Instability Due to Trochlear Dysplasia.

Validity of the 2-Image Lateral Trochlear Inclination to Determine Patellar Instability Due to Trochlear Dysplasia.

Validity of the 2-Image Lateral Trochlear Inclination to Determine Patellar Instability Due to Trochlear Dysplasia.

Background: Trochlear dysplasia is frequently seen in young patients and can be a cause of patellar instability (PI). A lateral trochlear inclination (LTI) of 11° or less has long been utilized to discriminate between patients with and without some degree of trochlear dysplasia that is likely to contribute to recurrent PI. The traditional methodology for this radiographic measure has been described via a single-image technique. Recently, a 2-image technique was introduced to better account for distal femoral orientation relative to proximal trochlear cartilage. However, further work is required to determine the validity of the 2-image LTI technique in introducing a new diagnostic threshold value for trochlear dysplasia.

Purpose/hypothesis: The purpose of this study was to evaluate the validity of the novel 2-image LTI measurement technique in determining a diagnostic cut-off value for trochlear dysplasia that is likely to result in recurrent PI. It was hypothesized that this would yield a different value than the historical 11° cutoff determined through the single-image technique.

Study design: Cohort study (Diagnosis); Level of evidence, 3.

Methods: After institutional review board approval, medical records were retrospectively reviewed to form a PI group and a control (no PI) group. The 2-image LTI was first measured by 2 raters to determine intrarater and interrater reliability. A receiver operating characteristic curve was created to determine a diagnostic cut-off value. After applying this cutoff between the groups, the resultant sensitivity and specificity were calculated.

Results: The 2-image LTI measurements demonstrated excellent intrarater and interrater reliability. The PI group had a mean LTI of 2.58°, while the control group had a mean LTI of 17.26°. A diagnostic threshold LTI value of 13.7° was determined, discriminating between patients with and without recurrent PI due to trochlear dysplasia, with a sensitivity of 0.889 and a specificity of 0.780. The area under the curve was 0.887.

Conclusion: Utilizing the 2-image LTI measurement technique, a threshold value of 13.7° was determined as optimal for discerning between patients with and without trochlear dysplasia that is likely to lead to recurrent PI. This value can thus be used for accurate diagnoses of trochlear dysplasia, which can help to inform management, patient counseling, and research in the future.

求助全文
通过发布文献求助,成功后即可免费获取论文全文。 去求助
来源期刊
Orthopaedic Journal of Sports Medicine
Orthopaedic Journal of Sports Medicine Medicine-Orthopedics and Sports Medicine
CiteScore
4.30
自引率
7.70%
发文量
876
审稿时长
12 weeks
期刊介绍: The Orthopaedic Journal of Sports Medicine (OJSM), developed by the American Orthopaedic Society for Sports Medicine (AOSSM), is a global, peer-reviewed, open access journal that combines the interests of researchers and clinical practitioners across orthopaedic sports medicine, arthroscopy, and knee arthroplasty. Topics include original research in the areas of: -Orthopaedic Sports Medicine, including surgical and nonsurgical treatment of orthopaedic sports injuries -Arthroscopic Surgery (Shoulder/Elbow/Wrist/Hip/Knee/Ankle/Foot) -Relevant translational research -Sports traumatology/epidemiology -Knee and shoulder arthroplasty The OJSM also publishes relevant systematic reviews and meta-analyses. This journal is a member of the Committee on Publication Ethics (COPE).
×
引用
GB/T 7714-2015
复制
MLA
复制
APA
复制
导出至
BibTeX EndNote RefMan NoteFirst NoteExpress
×
提示
您的信息不完整,为了账户安全,请先补充。
现在去补充
×
提示
您因"违规操作"
具体请查看互助需知
我知道了
×
提示
确定
请完成安全验证×
copy
已复制链接
快去分享给好友吧!
我知道了
右上角分享
点击右上角分享
0
联系我们:info@booksci.cn Book学术提供免费学术资源搜索服务,方便国内外学者检索中英文文献。致力于提供最便捷和优质的服务体验。 Copyright © 2023 布克学术 All rights reserved.
京ICP备2023020795号-1
ghs 京公网安备 11010802042870号
Book学术文献互助
Book学术文献互助群
群 号:604180095
Book学术官方微信