溃疡性结肠炎患者对整合素抑制剂治疗反应的组织学预测因素。

Q2 Medicine
Inflammatory Intestinal Diseases Pub Date : 2025-08-28 eCollection Date: 2025-01-01 DOI:10.1159/000547013
Takuya Kimizuka, Atsushi Yoshida, Fumiaki Ueno, Yutaka Endo, Yo Kato, Katsuyoshi Matsuoka, Tadakazu Hisamatsu, Toshifumi Hibi
{"title":"溃疡性结肠炎患者对整合素抑制剂治疗反应的组织学预测因素。","authors":"Takuya Kimizuka, Atsushi Yoshida, Fumiaki Ueno, Yutaka Endo, Yo Kato, Katsuyoshi Matsuoka, Tadakazu Hisamatsu, Toshifumi Hibi","doi":"10.1159/000547013","DOIUrl":null,"url":null,"abstract":"<p><strong>Introduction: </strong>It is crucial to predict the effectiveness of advanced therapies before their administration in ulcerative colitis (UC). Only a few studies have revealed predictive histological factors. Here, we sought to determine whether conventional histology of pretreatment endoscopic biopsy specimens can predict the response to integrin inhibitors.</p><p><strong>Methods: </strong>In the present single-center retrospective study, we examined histopathological findings before initiating an integrin inhibitor. Primary response (PR) was defined as a ≥3-point decrease in the partial Mayo score at 14 weeks. Logistic regression was used to identify the factors predictive for a PR.</p><p><strong>Results: </strong>We analyzed 21 biological and Janus kinase inhibitor-naïve patients with UC. The median baseline Mayo score was 7 (IQR, 6-8), and the C-reactive protein was 0.36 (IQR, 0.11-0.74). Histological findings included large lymphoid follicles (LF) in 61.9% (13/21), basal plasma cell infiltration in 52.4% (11/21), and eosinophilic infiltration (EO) in 42.9% (9/21). PR at 14 weeks was achieved in 57.1% (12/21). Among PR patients, LF was present in 91.7% (11/12), BP in 41.7% (5/12), and EO in 25.0% (3/12). PR was observed in 76.9% (10/13) of LF-positive patients vs. 12.5% (1/8) of LF-negative patients (<i>p</i> = 0.01). LF was significantly associated with the response to integrin inhibitors, whereas BP and EO were not.</p><p><strong>Conclusion: </strong>The presence of LF in biopsy specimens predicts the response to integrin inhibitors in patients with UC. Conventional histological examinations may aid in predicting therapeutic responses to advanced therapies.</p>","PeriodicalId":13605,"journal":{"name":"Inflammatory Intestinal Diseases","volume":"10 1","pages":"224-232"},"PeriodicalIF":0.0000,"publicationDate":"2025-08-28","publicationTypes":"Journal Article","fieldsOfStudy":null,"isOpenAccess":false,"openAccessPdf":"https://www.ncbi.nlm.nih.gov/pmc/articles/PMC12503538/pdf/","citationCount":"0","resultStr":"{\"title\":\"Histological Predictors for Therapeutic Response to Integrin Inhibitors in Patients with Ulcerative Colitis.\",\"authors\":\"Takuya Kimizuka, Atsushi Yoshida, Fumiaki Ueno, Yutaka Endo, Yo Kato, Katsuyoshi Matsuoka, Tadakazu Hisamatsu, Toshifumi Hibi\",\"doi\":\"10.1159/000547013\",\"DOIUrl\":null,\"url\":null,\"abstract\":\"<p><strong>Introduction: </strong>It is crucial to predict the effectiveness of advanced therapies before their administration in ulcerative colitis (UC). Only a few studies have revealed predictive histological factors. Here, we sought to determine whether conventional histology of pretreatment endoscopic biopsy specimens can predict the response to integrin inhibitors.</p><p><strong>Methods: </strong>In the present single-center retrospective study, we examined histopathological findings before initiating an integrin inhibitor. Primary response (PR) was defined as a ≥3-point decrease in the partial Mayo score at 14 weeks. Logistic regression was used to identify the factors predictive for a PR.</p><p><strong>Results: </strong>We analyzed 21 biological and Janus kinase inhibitor-naïve patients with UC. The median baseline Mayo score was 7 (IQR, 6-8), and the C-reactive protein was 0.36 (IQR, 0.11-0.74). Histological findings included large lymphoid follicles (LF) in 61.9% (13/21), basal plasma cell infiltration in 52.4% (11/21), and eosinophilic infiltration (EO) in 42.9% (9/21). PR at 14 weeks was achieved in 57.1% (12/21). Among PR patients, LF was present in 91.7% (11/12), BP in 41.7% (5/12), and EO in 25.0% (3/12). PR was observed in 76.9% (10/13) of LF-positive patients vs. 12.5% (1/8) of LF-negative patients (<i>p</i> = 0.01). LF was significantly associated with the response to integrin inhibitors, whereas BP and EO were not.</p><p><strong>Conclusion: </strong>The presence of LF in biopsy specimens predicts the response to integrin inhibitors in patients with UC. Conventional histological examinations may aid in predicting therapeutic responses to advanced therapies.</p>\",\"PeriodicalId\":13605,\"journal\":{\"name\":\"Inflammatory Intestinal Diseases\",\"volume\":\"10 1\",\"pages\":\"224-232\"},\"PeriodicalIF\":0.0000,\"publicationDate\":\"2025-08-28\",\"publicationTypes\":\"Journal Article\",\"fieldsOfStudy\":null,\"isOpenAccess\":false,\"openAccessPdf\":\"https://www.ncbi.nlm.nih.gov/pmc/articles/PMC12503538/pdf/\",\"citationCount\":\"0\",\"resultStr\":null,\"platform\":\"Semanticscholar\",\"paperid\":null,\"PeriodicalName\":\"Inflammatory Intestinal Diseases\",\"FirstCategoryId\":\"1085\",\"ListUrlMain\":\"https://doi.org/10.1159/000547013\",\"RegionNum\":0,\"RegionCategory\":null,\"ArticlePicture\":[],\"TitleCN\":null,\"AbstractTextCN\":null,\"PMCID\":null,\"EPubDate\":\"2025/1/1 0:00:00\",\"PubModel\":\"eCollection\",\"JCR\":\"Q2\",\"JCRName\":\"Medicine\",\"Score\":null,\"Total\":0}","platform":"Semanticscholar","paperid":null,"PeriodicalName":"Inflammatory Intestinal Diseases","FirstCategoryId":"1085","ListUrlMain":"https://doi.org/10.1159/000547013","RegionNum":0,"RegionCategory":null,"ArticlePicture":[],"TitleCN":null,"AbstractTextCN":null,"PMCID":null,"EPubDate":"2025/1/1 0:00:00","PubModel":"eCollection","JCR":"Q2","JCRName":"Medicine","Score":null,"Total":0}
引用次数: 0

摘要

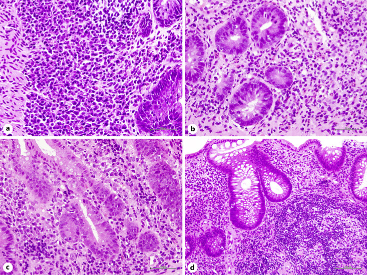
引言:在溃疡性结肠炎(UC)的治疗中,预测先进疗法的有效性至关重要。只有少数研究揭示了可预测的组织学因素。在这里,我们试图确定预处理内镜活检标本的常规组织学是否可以预测对整合素抑制剂的反应。方法:在本单中心回顾性研究中,我们在开始使用整合素抑制剂之前检查了组织病理学结果。主要缓解(PR)定义为14周时部分Mayo评分下降≥3分。结果:我们分析了21例UC生物学和Janus激酶inhibitor-naïve患者。Mayo评分中位基线为7 (IQR, 6-8), c反应蛋白为0.36 (IQR, 0.11-0.74)。组织学表现为大淋巴滤泡(LF)占61.9%(13/21),基底浆细胞浸润占52.4%(11/21),嗜酸性粒细胞浸润占42.9%(9/21)。14周PR达到57.1%(12/21)。PR患者中,91.7%(11/12)存在LF, 41.7%(5/12)存在BP, 25.0%(3/12)存在EO。lf阳性患者的PR发生率为76.9%(10/13),而lf阴性患者的PR发生率为12.5% (1/8)(p = 0.01)。LF与整合素抑制剂的反应显著相关,而BP和EO则没有。结论:活检标本中LF的存在预示着UC患者对整合素抑制剂的反应。常规组织学检查有助于预测对先进疗法的治疗反应。
本文章由计算机程序翻译,如有差异,请以英文原文为准。

Histological Predictors for Therapeutic Response to Integrin Inhibitors in Patients with Ulcerative Colitis.

Histological Predictors for Therapeutic Response to Integrin Inhibitors in Patients with Ulcerative Colitis.

Histological Predictors for Therapeutic Response to Integrin Inhibitors in Patients with Ulcerative Colitis.

Histological Predictors for Therapeutic Response to Integrin Inhibitors in Patients with Ulcerative Colitis.

Introduction: It is crucial to predict the effectiveness of advanced therapies before their administration in ulcerative colitis (UC). Only a few studies have revealed predictive histological factors. Here, we sought to determine whether conventional histology of pretreatment endoscopic biopsy specimens can predict the response to integrin inhibitors.

Methods: In the present single-center retrospective study, we examined histopathological findings before initiating an integrin inhibitor. Primary response (PR) was defined as a ≥3-point decrease in the partial Mayo score at 14 weeks. Logistic regression was used to identify the factors predictive for a PR.

Results: We analyzed 21 biological and Janus kinase inhibitor-naïve patients with UC. The median baseline Mayo score was 7 (IQR, 6-8), and the C-reactive protein was 0.36 (IQR, 0.11-0.74). Histological findings included large lymphoid follicles (LF) in 61.9% (13/21), basal plasma cell infiltration in 52.4% (11/21), and eosinophilic infiltration (EO) in 42.9% (9/21). PR at 14 weeks was achieved in 57.1% (12/21). Among PR patients, LF was present in 91.7% (11/12), BP in 41.7% (5/12), and EO in 25.0% (3/12). PR was observed in 76.9% (10/13) of LF-positive patients vs. 12.5% (1/8) of LF-negative patients (p = 0.01). LF was significantly associated with the response to integrin inhibitors, whereas BP and EO were not.

Conclusion: The presence of LF in biopsy specimens predicts the response to integrin inhibitors in patients with UC. Conventional histological examinations may aid in predicting therapeutic responses to advanced therapies.

求助全文
通过发布文献求助,成功后即可免费获取论文全文。 去求助
来源期刊
Inflammatory Intestinal Diseases
Inflammatory Intestinal Diseases Medicine-Gastroenterology
CiteScore
4.50
自引率
0.00%
发文量
6
审稿时长
20 weeks
×
引用
GB/T 7714-2015
复制
MLA
复制
APA
复制
导出至
BibTeX EndNote RefMan NoteFirst NoteExpress
×
提示
您的信息不完整,为了账户安全,请先补充。
现在去补充
×
提示
您因"违规操作"
具体请查看互助需知
我知道了
×
提示
确定
请完成安全验证×
copy
已复制链接
快去分享给好友吧!
我知道了
右上角分享
点击右上角分享
0
联系我们:info@booksci.cn Book学术提供免费学术资源搜索服务,方便国内外学者检索中英文文献。致力于提供最便捷和优质的服务体验。 Copyright © 2023 布克学术 All rights reserved.
京ICP备2023020795号-1
ghs 京公网安备 11010802042870号
Book学术文献互助
Book学术文献互助群
群 号:604180095
Book学术官方微信