与百日咳感染相关的急性间质性肾炎1例报告及文献复习。

IF 0.9 Q4 UROLOGY & NEPHROLOGY
Case Reports in Nephrology and Dialysis Pub Date : 2025-07-12 eCollection Date: 2025-01-01 DOI:10.1159/000547404
Gabriel Sartori Pacini, Renata Asnis Schuchmann, Luis Henrique Vizioli, Lucas Gobetti da Luz, Illan George Balestrin, Karla Lais Pêgas, Milton Kalil, Maurício Lutzky
{"title":"与百日咳感染相关的急性间质性肾炎1例报告及文献复习。","authors":"Gabriel Sartori Pacini, Renata Asnis Schuchmann, Luis Henrique Vizioli, Lucas Gobetti da Luz, Illan George Balestrin, Karla Lais Pêgas, Milton Kalil, Maurício Lutzky","doi":"10.1159/000547404","DOIUrl":null,"url":null,"abstract":"<p><strong>Introduction: </strong>Whooping cough (pertussis) is an acute respiratory infection primarily caused by <i>Bordetella pertussis</i>, which predominantly affects children. While the disease commonly presents with upper respiratory symptoms, it can lead to severe complications such as pneumonia, encephalopathy, and even death. The association between respiratory infections and renal injury, specifically acute interstitial nephritis (AIN), remains poorly understood. This report describes a rare case of AIN in a patient with whooping cough.</p><p><strong>Case presentations: </strong>A 73-year-old male with a history of systemic arterial hypertension, dyslipidemia, and previous left nephrectomy presented with a 5-day history of fatigue, fever, cough, and nasal obstruction. Initial laboratory findings revealed mild leukocytosis and significantly elevated serum creatinine (5.17 mg/dL), with urinalysis showing leukocyturia and proteinuria. A respiratory infection panel confirmed <i>B. pertussis</i>, and the patient was treated with azithromycin. Despite improvement in respiratory symptoms, renal function remained impaired. Renal biopsy revealed moderate tubulointerstitial nephritis, and the patient was treated with prednisone, leading to gradual recovery of renal function, with serum creatinine decreasing to 2.3 mg/dL at discharge and 1.85 mg/dL 3 weeks later.</p><p><strong>Conclusion: </strong>This case highlights the potential renal complications of whooping cough, specifically AIN, a rarely reported association. Although respiratory infections such as pertussis are well known for pulmonary involvement, clinicians should be aware of the possibility of concurrent renal injury. Prompt recognition and appropriate treatment, including corticosteroids in the case of AIN, can lead to significant improvement in renal function. Further research is needed to better understand the mechanisms by which <i>B. pertussis</i> may cause renal damage.</p>","PeriodicalId":9599,"journal":{"name":"Case Reports in Nephrology and Dialysis","volume":"15 1","pages":"183-188"},"PeriodicalIF":0.9000,"publicationDate":"2025-07-12","publicationTypes":"Journal Article","fieldsOfStudy":null,"isOpenAccess":false,"openAccessPdf":"https://www.ncbi.nlm.nih.gov/pmc/articles/PMC12503482/pdf/","citationCount":"0","resultStr":"{\"title\":\"Acute Interstitial Nephritis Associated to Pertussis Infection: A Case Report and Review of the Literature.\",\"authors\":\"Gabriel Sartori Pacini, Renata Asnis Schuchmann, Luis Henrique Vizioli, Lucas Gobetti da Luz, Illan George Balestrin, Karla Lais Pêgas, Milton Kalil, Maurício Lutzky\",\"doi\":\"10.1159/000547404\",\"DOIUrl\":null,\"url\":null,\"abstract\":\"<p><strong>Introduction: </strong>Whooping cough (pertussis) is an acute respiratory infection primarily caused by <i>Bordetella pertussis</i>, which predominantly affects children. While the disease commonly presents with upper respiratory symptoms, it can lead to severe complications such as pneumonia, encephalopathy, and even death. The association between respiratory infections and renal injury, specifically acute interstitial nephritis (AIN), remains poorly understood. This report describes a rare case of AIN in a patient with whooping cough.</p><p><strong>Case presentations: </strong>A 73-year-old male with a history of systemic arterial hypertension, dyslipidemia, and previous left nephrectomy presented with a 5-day history of fatigue, fever, cough, and nasal obstruction. Initial laboratory findings revealed mild leukocytosis and significantly elevated serum creatinine (5.17 mg/dL), with urinalysis showing leukocyturia and proteinuria. A respiratory infection panel confirmed <i>B. pertussis</i>, and the patient was treated with azithromycin. Despite improvement in respiratory symptoms, renal function remained impaired. Renal biopsy revealed moderate tubulointerstitial nephritis, and the patient was treated with prednisone, leading to gradual recovery of renal function, with serum creatinine decreasing to 2.3 mg/dL at discharge and 1.85 mg/dL 3 weeks later.</p><p><strong>Conclusion: </strong>This case highlights the potential renal complications of whooping cough, specifically AIN, a rarely reported association. Although respiratory infections such as pertussis are well known for pulmonary involvement, clinicians should be aware of the possibility of concurrent renal injury. Prompt recognition and appropriate treatment, including corticosteroids in the case of AIN, can lead to significant improvement in renal function. Further research is needed to better understand the mechanisms by which <i>B. pertussis</i> may cause renal damage.</p>\",\"PeriodicalId\":9599,\"journal\":{\"name\":\"Case Reports in Nephrology and Dialysis\",\"volume\":\"15 1\",\"pages\":\"183-188\"},\"PeriodicalIF\":0.9000,\"publicationDate\":\"2025-07-12\",\"publicationTypes\":\"Journal Article\",\"fieldsOfStudy\":null,\"isOpenAccess\":false,\"openAccessPdf\":\"https://www.ncbi.nlm.nih.gov/pmc/articles/PMC12503482/pdf/\",\"citationCount\":\"0\",\"resultStr\":null,\"platform\":\"Semanticscholar\",\"paperid\":null,\"PeriodicalName\":\"Case Reports in Nephrology and Dialysis\",\"FirstCategoryId\":\"1085\",\"ListUrlMain\":\"https://doi.org/10.1159/000547404\",\"RegionNum\":0,\"RegionCategory\":null,\"ArticlePicture\":[],\"TitleCN\":null,\"AbstractTextCN\":null,\"PMCID\":null,\"EPubDate\":\"2025/1/1 0:00:00\",\"PubModel\":\"eCollection\",\"JCR\":\"Q4\",\"JCRName\":\"UROLOGY & NEPHROLOGY\",\"Score\":null,\"Total\":0}","platform":"Semanticscholar","paperid":null,"PeriodicalName":"Case Reports in Nephrology and Dialysis","FirstCategoryId":"1085","ListUrlMain":"https://doi.org/10.1159/000547404","RegionNum":0,"RegionCategory":null,"ArticlePicture":[],"TitleCN":null,"AbstractTextCN":null,"PMCID":null,"EPubDate":"2025/1/1 0:00:00","PubModel":"eCollection","JCR":"Q4","JCRName":"UROLOGY & NEPHROLOGY","Score":null,"Total":0}
引用次数: 0

摘要

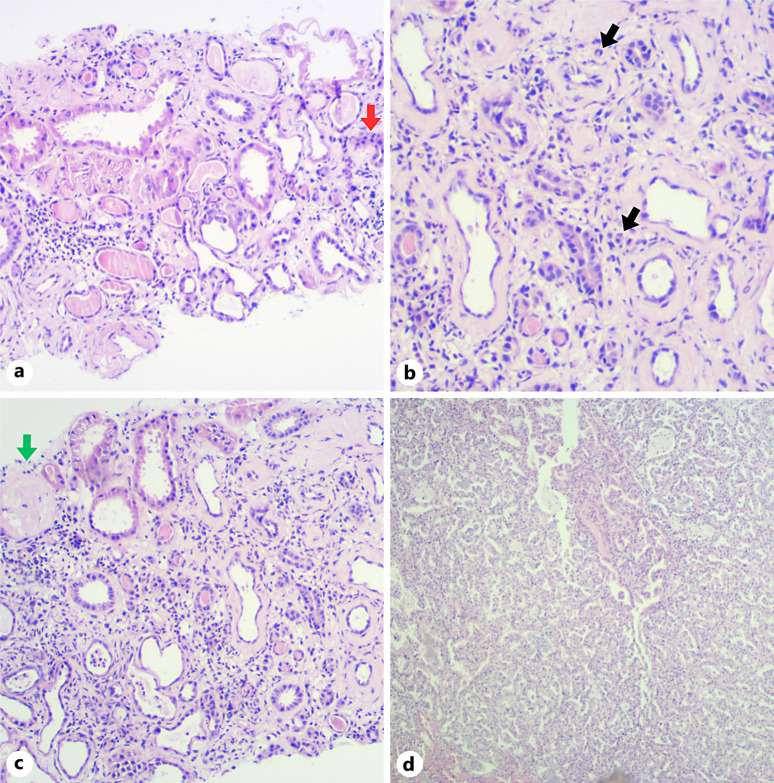
简介:百日咳(百日咳)是一种急性呼吸道感染,主要由百日咳博德泰拉引起,主要影响儿童。虽然这种疾病通常表现为上呼吸道症状,但它可能导致严重的并发症,如肺炎、脑病,甚至死亡。呼吸道感染和肾损伤之间的关系,特别是急性间质性肾炎(AIN),仍然知之甚少。本报告描述了一例罕见的百日咳患者的AIN病例。病例介绍:73岁男性,有全身性动脉高血压、血脂异常史,既往左肾切除术,有5天疲劳、发热、咳嗽和鼻塞病史。最初的实验室结果显示轻度白细胞增多,血清肌酐显著升高(5.17 mg/dL),尿液分析显示白细胞尿和蛋白尿。呼吸道感染小组确认为百日咳双歧杆菌,并给予患者阿奇霉素治疗。尽管呼吸道症状有所改善,但肾功能仍然受损。肾活检显示中度肾小管间质性肾炎,患者接受强的松治疗,肾功能逐渐恢复,出院时血清肌酐降至2.3 mg/dL, 3周后降至1.85 mg/dL。结论:该病例强调了百日咳的潜在肾脏并发症,特别是AIN,这是一种很少报道的关联。虽然呼吸道感染如百日咳是众所周知的肺部累及,临床医生应该意识到并发肾损伤的可能性。及时识别和适当治疗,包括在AIN病例中使用皮质类固醇,可导致肾功能的显着改善。需要进一步的研究来更好地了解百日咳引起肾脏损害的机制。
本文章由计算机程序翻译,如有差异,请以英文原文为准。

Acute Interstitial Nephritis Associated to Pertussis Infection: A Case Report and Review of the Literature.

Acute Interstitial Nephritis Associated to Pertussis Infection: A Case Report and Review of the Literature.

Acute Interstitial Nephritis Associated to Pertussis Infection: A Case Report and Review of the Literature.

Introduction: Whooping cough (pertussis) is an acute respiratory infection primarily caused by Bordetella pertussis, which predominantly affects children. While the disease commonly presents with upper respiratory symptoms, it can lead to severe complications such as pneumonia, encephalopathy, and even death. The association between respiratory infections and renal injury, specifically acute interstitial nephritis (AIN), remains poorly understood. This report describes a rare case of AIN in a patient with whooping cough.

Case presentations: A 73-year-old male with a history of systemic arterial hypertension, dyslipidemia, and previous left nephrectomy presented with a 5-day history of fatigue, fever, cough, and nasal obstruction. Initial laboratory findings revealed mild leukocytosis and significantly elevated serum creatinine (5.17 mg/dL), with urinalysis showing leukocyturia and proteinuria. A respiratory infection panel confirmed B. pertussis, and the patient was treated with azithromycin. Despite improvement in respiratory symptoms, renal function remained impaired. Renal biopsy revealed moderate tubulointerstitial nephritis, and the patient was treated with prednisone, leading to gradual recovery of renal function, with serum creatinine decreasing to 2.3 mg/dL at discharge and 1.85 mg/dL 3 weeks later.

Conclusion: This case highlights the potential renal complications of whooping cough, specifically AIN, a rarely reported association. Although respiratory infections such as pertussis are well known for pulmonary involvement, clinicians should be aware of the possibility of concurrent renal injury. Prompt recognition and appropriate treatment, including corticosteroids in the case of AIN, can lead to significant improvement in renal function. Further research is needed to better understand the mechanisms by which B. pertussis may cause renal damage.

求助全文
通过发布文献求助,成功后即可免费获取论文全文。 去求助
来源期刊
CiteScore
1.20
自引率
0.00%
发文量
36
审稿时长
10 weeks
期刊介绍: This peer-reviewed online-only journal publishes original case reports covering the entire spectrum of nephrology and dialysis, including genetic susceptibility, clinical presentation, diagnosis, treatment or prevention, toxicities of therapy, critical care, supportive care, quality-of-life and survival issues. The journal will also accept case reports dealing with the use of novel technologies, both in the arena of diagnosis and treatment. Supplementary material is welcomed.
×
引用
GB/T 7714-2015
复制
MLA
复制
APA
复制
导出至
BibTeX EndNote RefMan NoteFirst NoteExpress
×
提示
您的信息不完整,为了账户安全,请先补充。
现在去补充
×
提示
您因"违规操作"
具体请查看互助需知
我知道了
×
提示
确定
请完成安全验证×
copy
已复制链接
快去分享给好友吧!
我知道了
右上角分享
点击右上角分享
0
联系我们:info@booksci.cn Book学术提供免费学术资源搜索服务,方便国内外学者检索中英文文献。致力于提供最便捷和优质的服务体验。 Copyright © 2023 布克学术 All rights reserved.
京ICP备2023020795号-1
ghs 京公网安备 11010802042870号
Book学术文献互助
Book学术文献互助群
群 号:604180095
Book学术官方微信