利用双能CT的电子密度和z有效图检测肺栓塞,无需静脉造影剂。

Radiology advances Pub Date : 2024-10-24 eCollection Date: 2024-09-01 DOI:10.1093/radadv/umae025
Tommaso D'Angelo, Simone Barbera, Velio Ascenti, Giuseppe Cicero, Simone Terrani, Damiano Caruso, Andrea Laghi, Federico Fontana, Massimo Venturini, Filippo Piacentino, Christian Booz, Thomas J Vogl, Ibrahim Yel, Maria Adele Marino, Silvio Mazziotti, Giorgio Ascenti
{"title":"利用双能CT的电子密度和z有效图检测肺栓塞,无需静脉造影剂。","authors":"Tommaso D'Angelo, Simone Barbera, Velio Ascenti, Giuseppe Cicero, Simone Terrani, Damiano Caruso, Andrea Laghi, Federico Fontana, Massimo Venturini, Filippo Piacentino, Christian Booz, Thomas J Vogl, Ibrahim Yel, Maria Adele Marino, Silvio Mazziotti, Giorgio Ascenti","doi":"10.1093/radadv/umae025","DOIUrl":null,"url":null,"abstract":"<p><strong>Purpose: </strong>This study aims to evaluate the feasibility of using electron density (ED) maps combined with Z-effective (Zeff) images obtained from unenhanced dual-layer dual-energy CT (dl-DECT) scans of the chest for the detection of pulmonary embolism (PE).</p><p><strong>Materials and methods: </strong>A retrospective analysis was conducted on consecutive patients who underwent for contrast-enhanced chest CT (CECT) clinically suspected of PE or acute aortic syndrome. These scans were performed on a single dl-DECT scanner between October 2021 and November 2023. To distinguish emboli from circulating blood, color-coded maps were generated from the ED dataset superimposed on Zeff images, which were acquired from the unenhanced phase. Two radiologists with different levels of expertise independently assessed the presence of PE in the generated ED-Zeff maps, blinded to CECT results, which served as the reference standard. Diagnostic accuracy of ED-Zeff maps was assessed for each reader.</p><p><strong>Results: </strong>The final study cohort comprised 150 patients, with 92 males (mean age: 68 ± 10 years, range: 47-93 years) and 58 females (mean age: 66 ± 15 years, range 38-89 years). ED-Zeff maps demonstrated high diagnostic performance, yielding accuracy, sensitivity, and specificity, respectively, of 86.67% (113/150, 95% CI, 80.16%-91.66%), 85% (17/20, 95% CI, 79.89%-92.19%), and 86.92% (113/130, 95% CI, 79.89%-92.19%). Ed-Zeff maps were able to identify PE in 85% of positive cases. Cohen's kappa coefficient indicated excellent intra- and interobserver agreement (κ ≥ 0.9).</p><p><strong>Conclusion: </strong>ED maps combined with Zeff images from unenhanced dl-DECT scans represent a feasible tool for detecting PE and may prove useful in evaluating patients with contraindications to iodinated contrast.</p>","PeriodicalId":519940,"journal":{"name":"Radiology advances","volume":"1 3","pages":"umae025"},"PeriodicalIF":0.0000,"publicationDate":"2024-10-24","publicationTypes":"Journal Article","fieldsOfStudy":null,"isOpenAccess":false,"openAccessPdf":"https://www.ncbi.nlm.nih.gov/pmc/articles/PMC12429230/pdf/","citationCount":"0","resultStr":"{\"title\":\"Pulmonary embolism detection without intravenous contrast using electron density and Z-effective maps from dual-energy CT.\",\"authors\":\"Tommaso D'Angelo, Simone Barbera, Velio Ascenti, Giuseppe Cicero, Simone Terrani, Damiano Caruso, Andrea Laghi, Federico Fontana, Massimo Venturini, Filippo Piacentino, Christian Booz, Thomas J Vogl, Ibrahim Yel, Maria Adele Marino, Silvio Mazziotti, Giorgio Ascenti\",\"doi\":\"10.1093/radadv/umae025\",\"DOIUrl\":null,\"url\":null,\"abstract\":\"<p><strong>Purpose: </strong>This study aims to evaluate the feasibility of using electron density (ED) maps combined with Z-effective (Zeff) images obtained from unenhanced dual-layer dual-energy CT (dl-DECT) scans of the chest for the detection of pulmonary embolism (PE).</p><p><strong>Materials and methods: </strong>A retrospective analysis was conducted on consecutive patients who underwent for contrast-enhanced chest CT (CECT) clinically suspected of PE or acute aortic syndrome. These scans were performed on a single dl-DECT scanner between October 2021 and November 2023. To distinguish emboli from circulating blood, color-coded maps were generated from the ED dataset superimposed on Zeff images, which were acquired from the unenhanced phase. Two radiologists with different levels of expertise independently assessed the presence of PE in the generated ED-Zeff maps, blinded to CECT results, which served as the reference standard. Diagnostic accuracy of ED-Zeff maps was assessed for each reader.</p><p><strong>Results: </strong>The final study cohort comprised 150 patients, with 92 males (mean age: 68 ± 10 years, range: 47-93 years) and 58 females (mean age: 66 ± 15 years, range 38-89 years). ED-Zeff maps demonstrated high diagnostic performance, yielding accuracy, sensitivity, and specificity, respectively, of 86.67% (113/150, 95% CI, 80.16%-91.66%), 85% (17/20, 95% CI, 79.89%-92.19%), and 86.92% (113/130, 95% CI, 79.89%-92.19%). Ed-Zeff maps were able to identify PE in 85% of positive cases. Cohen's kappa coefficient indicated excellent intra- and interobserver agreement (κ ≥ 0.9).</p><p><strong>Conclusion: </strong>ED maps combined with Zeff images from unenhanced dl-DECT scans represent a feasible tool for detecting PE and may prove useful in evaluating patients with contraindications to iodinated contrast.</p>\",\"PeriodicalId\":519940,\"journal\":{\"name\":\"Radiology advances\",\"volume\":\"1 3\",\"pages\":\"umae025\"},\"PeriodicalIF\":0.0000,\"publicationDate\":\"2024-10-24\",\"publicationTypes\":\"Journal Article\",\"fieldsOfStudy\":null,\"isOpenAccess\":false,\"openAccessPdf\":\"https://www.ncbi.nlm.nih.gov/pmc/articles/PMC12429230/pdf/\",\"citationCount\":\"0\",\"resultStr\":null,\"platform\":\"Semanticscholar\",\"paperid\":null,\"PeriodicalName\":\"Radiology advances\",\"FirstCategoryId\":\"1085\",\"ListUrlMain\":\"https://doi.org/10.1093/radadv/umae025\",\"RegionNum\":0,\"RegionCategory\":null,\"ArticlePicture\":[],\"TitleCN\":null,\"AbstractTextCN\":null,\"PMCID\":null,\"EPubDate\":\"2024/9/1 0:00:00\",\"PubModel\":\"eCollection\",\"JCR\":\"\",\"JCRName\":\"\",\"Score\":null,\"Total\":0}","platform":"Semanticscholar","paperid":null,"PeriodicalName":"Radiology advances","FirstCategoryId":"1085","ListUrlMain":"https://doi.org/10.1093/radadv/umae025","RegionNum":0,"RegionCategory":null,"ArticlePicture":[],"TitleCN":null,"AbstractTextCN":null,"PMCID":null,"EPubDate":"2024/9/1 0:00:00","PubModel":"eCollection","JCR":"","JCRName":"","Score":null,"Total":0}
引用次数: 0

摘要

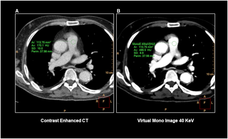
目的:本研究旨在评估利用电子密度(ED)图结合未增强双层双能CT (dl-DECT)扫描胸部获得的z有效(Zeff)图像检测肺栓塞(PE)的可行性。材料与方法:回顾性分析临床怀疑PE或急性主动脉综合征的连续行胸部CT (CECT)增强扫描患者。这些扫描在2021年10月至2023年11月期间在一台dl-DECT扫描仪上进行。为了区分栓子和循环血液,将ED数据集叠加在从未增强阶段获得的Zeff图像上生成彩色编码图。两名具有不同专业水平的放射科医生独立评估了生成的ED-Zeff图中PE的存在,对作为参考标准的CECT结果不知情。对每个阅读器的ED-Zeff图的诊断准确性进行评估。结果:最终研究队列包括150例患者,其中男性92例(平均年龄68±10岁,范围47-93岁),女性58例(平均年龄66±15岁,范围38-89岁)。ED-Zeff图谱表现出较高的诊断性能,准确度、敏感性和特异性分别为86.67% (113/150,95% CI, 80.16%-91.66%)、85% (17/20,95% CI, 79.89%-92.19%)和86.92% (113/130,95% CI, 79.89%-92.19%)。Ed-Zeff图谱能够在85%的阳性病例中识别出PE。Cohen’s kappa系数表明观察者内部和观察者之间的一致性很好(κ≥0.9)。结论:ED图结合未增强dl-DECT扫描的Zeff图像是一种检测PE的可行工具,可能在评估有碘造影剂禁忌症的患者时有用。
本文章由计算机程序翻译,如有差异,请以英文原文为准。

Pulmonary embolism detection without intravenous contrast using electron density and Z-effective maps from dual-energy CT.

Pulmonary embolism detection without intravenous contrast using electron density and Z-effective maps from dual-energy CT.

Pulmonary embolism detection without intravenous contrast using electron density and Z-effective maps from dual-energy CT.

Pulmonary embolism detection without intravenous contrast using electron density and Z-effective maps from dual-energy CT.

Purpose: This study aims to evaluate the feasibility of using electron density (ED) maps combined with Z-effective (Zeff) images obtained from unenhanced dual-layer dual-energy CT (dl-DECT) scans of the chest for the detection of pulmonary embolism (PE).

Materials and methods: A retrospective analysis was conducted on consecutive patients who underwent for contrast-enhanced chest CT (CECT) clinically suspected of PE or acute aortic syndrome. These scans were performed on a single dl-DECT scanner between October 2021 and November 2023. To distinguish emboli from circulating blood, color-coded maps were generated from the ED dataset superimposed on Zeff images, which were acquired from the unenhanced phase. Two radiologists with different levels of expertise independently assessed the presence of PE in the generated ED-Zeff maps, blinded to CECT results, which served as the reference standard. Diagnostic accuracy of ED-Zeff maps was assessed for each reader.

Results: The final study cohort comprised 150 patients, with 92 males (mean age: 68 ± 10 years, range: 47-93 years) and 58 females (mean age: 66 ± 15 years, range 38-89 years). ED-Zeff maps demonstrated high diagnostic performance, yielding accuracy, sensitivity, and specificity, respectively, of 86.67% (113/150, 95% CI, 80.16%-91.66%), 85% (17/20, 95% CI, 79.89%-92.19%), and 86.92% (113/130, 95% CI, 79.89%-92.19%). Ed-Zeff maps were able to identify PE in 85% of positive cases. Cohen's kappa coefficient indicated excellent intra- and interobserver agreement (κ ≥ 0.9).

Conclusion: ED maps combined with Zeff images from unenhanced dl-DECT scans represent a feasible tool for detecting PE and may prove useful in evaluating patients with contraindications to iodinated contrast.

求助全文
通过发布文献求助,成功后即可免费获取论文全文。 去求助
来源期刊
自引率
0.00%
发文量
0
×
引用
GB/T 7714-2015
复制
MLA
复制
APA
复制
导出至
BibTeX EndNote RefMan NoteFirst NoteExpress
×
提示
您的信息不完整,为了账户安全,请先补充。
现在去补充
×
提示
您因"违规操作"
具体请查看互助需知
我知道了
×
提示
确定
请完成安全验证×
copy
已复制链接
快去分享给好友吧!
我知道了
右上角分享
点击右上角分享
0
联系我们:info@booksci.cn Book学术提供免费学术资源搜索服务,方便国内外学者检索中英文文献。致力于提供最便捷和优质的服务体验。 Copyright © 2023 布克学术 All rights reserved.
京ICP备2023020795号-1
ghs 京公网安备 11010802042870号
Book学术文献互助
Book学术文献互助群
群 号:604180095
Book学术官方微信