一种用于加速并行脑MRI的图像域深度学习去噪技术:前瞻性临床评价。

Radiology advances Pub Date : 2024-08-14 eCollection Date: 2024-09-01 DOI:10.1093/radadv/umae022
Laura Onac, Lorand Dobai, Andrei Mouraviev, Mihai A Badila, Denise Yap, Samantha Kennedy, Annie Nguyen, Emi Gal, Daniel K Sodickson
{"title":"一种用于加速并行脑MRI的图像域深度学习去噪技术:前瞻性临床评价。","authors":"Laura Onac, Lorand Dobai, Andrei Mouraviev, Mihai A Badila, Denise Yap, Samantha Kennedy, Annie Nguyen, Emi Gal, Daniel K Sodickson","doi":"10.1093/radadv/umae022","DOIUrl":null,"url":null,"abstract":"<p><strong>Background: </strong>Parallel imaging can accelerate MRI acquisitions, but excessive accelerations can introduce amplified noise and aliasing artifacts.</p><p><strong>Purpose: </strong>To evaluate a vendor-agnostic AI-based approach to remove image degradation artifacts in highly accelerated MRI scans, improving image quality and reducing scan time.</p><p><strong>Materials and methods: </strong>Training was performed by retrospectively degrading standard accelerated images. Evaluation was performed with both retrospective and prospectively-collected highly accelerated images. Retrospective data were taken from ∼2000 MRI studies obtained between August 2016 and October 2022, and prospective data were collected in >200 subjects between June and November 2022, using scanners from multiple vendors and locations. Scan time data were collected from prospective studies and used to compute time savings per sequence and per protocol for each vendor. Images were evaluated qualitatively by 5 board-certified radiologists and quantitatively by assessing noise, contrast, and spatial resolution. Paired Wilcoxon signed-rank tests were used to compare model outputs to model inputs and low-acceleration images.</p><p><strong>Results: </strong>Images from 101 adults from 5 sites and 6 scanner models from different vendors were enrolled. 89% of imaged subjects had noteworthy imaging features or pathology. Model outputs were rated superior to model inputs (<i>P < .</i>001) and most were either non-inferior (<i>P</i> <sub>inf</sub> <i> > </i>.05) or superior (<i>P</i> <sub>sup</sub> <i> < </i>.05) to baseline images in qualitative metrics of image quality and feature visibility. Quantitative evaluation of signal-to-noise ratio and contrast-to-noise ratio improved for model outputs compared to inputs (<i>P < .</i>001) or baseline images (<i>P < .</i>005). Apparent resolution measured using the full width at half maximum or minimum was either enhanced (<i>P</i> <sub>sup</sub> <i> < </i>.05) or preserved (non-superior <i>P</i> <sub>sup</sub> <i> > </i>.05 and non-inferior <i>P</i> <sub>inf</sub> <i> > </i>.05). The scan time was reduced by an average of 29% (19%-41% per sequence).</p><p><strong>Conclusion: </strong>This vendor-agnostic AI-based method achieved robust scan time savings without loss of image quality, potentially allowing for reduced cost and improved patient experience.</p>","PeriodicalId":519940,"journal":{"name":"Radiology advances","volume":"1 3","pages":"umae022"},"PeriodicalIF":0.0000,"publicationDate":"2024-08-14","publicationTypes":"Journal Article","fieldsOfStudy":null,"isOpenAccess":false,"openAccessPdf":"https://www.ncbi.nlm.nih.gov/pmc/articles/PMC12481681/pdf/","citationCount":"0","resultStr":"{\"title\":\"An image-domain deep-learning denoising technique for accelerated parallel brain MRI: prospective clinical evaluation.\",\"authors\":\"Laura Onac, Lorand Dobai, Andrei Mouraviev, Mihai A Badila, Denise Yap, Samantha Kennedy, Annie Nguyen, Emi Gal, Daniel K Sodickson\",\"doi\":\"10.1093/radadv/umae022\",\"DOIUrl\":null,\"url\":null,\"abstract\":\"<p><strong>Background: </strong>Parallel imaging can accelerate MRI acquisitions, but excessive accelerations can introduce amplified noise and aliasing artifacts.</p><p><strong>Purpose: </strong>To evaluate a vendor-agnostic AI-based approach to remove image degradation artifacts in highly accelerated MRI scans, improving image quality and reducing scan time.</p><p><strong>Materials and methods: </strong>Training was performed by retrospectively degrading standard accelerated images. Evaluation was performed with both retrospective and prospectively-collected highly accelerated images. Retrospective data were taken from ∼2000 MRI studies obtained between August 2016 and October 2022, and prospective data were collected in >200 subjects between June and November 2022, using scanners from multiple vendors and locations. Scan time data were collected from prospective studies and used to compute time savings per sequence and per protocol for each vendor. Images were evaluated qualitatively by 5 board-certified radiologists and quantitatively by assessing noise, contrast, and spatial resolution. Paired Wilcoxon signed-rank tests were used to compare model outputs to model inputs and low-acceleration images.</p><p><strong>Results: </strong>Images from 101 adults from 5 sites and 6 scanner models from different vendors were enrolled. 89% of imaged subjects had noteworthy imaging features or pathology. Model outputs were rated superior to model inputs (<i>P < .</i>001) and most were either non-inferior (<i>P</i> <sub>inf</sub> <i> > </i>.05) or superior (<i>P</i> <sub>sup</sub> <i> < </i>.05) to baseline images in qualitative metrics of image quality and feature visibility. Quantitative evaluation of signal-to-noise ratio and contrast-to-noise ratio improved for model outputs compared to inputs (<i>P < .</i>001) or baseline images (<i>P < .</i>005). Apparent resolution measured using the full width at half maximum or minimum was either enhanced (<i>P</i> <sub>sup</sub> <i> < </i>.05) or preserved (non-superior <i>P</i> <sub>sup</sub> <i> > </i>.05 and non-inferior <i>P</i> <sub>inf</sub> <i> > </i>.05). The scan time was reduced by an average of 29% (19%-41% per sequence).</p><p><strong>Conclusion: </strong>This vendor-agnostic AI-based method achieved robust scan time savings without loss of image quality, potentially allowing for reduced cost and improved patient experience.</p>\",\"PeriodicalId\":519940,\"journal\":{\"name\":\"Radiology advances\",\"volume\":\"1 3\",\"pages\":\"umae022\"},\"PeriodicalIF\":0.0000,\"publicationDate\":\"2024-08-14\",\"publicationTypes\":\"Journal Article\",\"fieldsOfStudy\":null,\"isOpenAccess\":false,\"openAccessPdf\":\"https://www.ncbi.nlm.nih.gov/pmc/articles/PMC12481681/pdf/\",\"citationCount\":\"0\",\"resultStr\":null,\"platform\":\"Semanticscholar\",\"paperid\":null,\"PeriodicalName\":\"Radiology advances\",\"FirstCategoryId\":\"1085\",\"ListUrlMain\":\"https://doi.org/10.1093/radadv/umae022\",\"RegionNum\":0,\"RegionCategory\":null,\"ArticlePicture\":[],\"TitleCN\":null,\"AbstractTextCN\":null,\"PMCID\":null,\"EPubDate\":\"2024/9/1 0:00:00\",\"PubModel\":\"eCollection\",\"JCR\":\"\",\"JCRName\":\"\",\"Score\":null,\"Total\":0}","platform":"Semanticscholar","paperid":null,"PeriodicalName":"Radiology advances","FirstCategoryId":"1085","ListUrlMain":"https://doi.org/10.1093/radadv/umae022","RegionNum":0,"RegionCategory":null,"ArticlePicture":[],"TitleCN":null,"AbstractTextCN":null,"PMCID":null,"EPubDate":"2024/9/1 0:00:00","PubModel":"eCollection","JCR":"","JCRName":"","Score":null,"Total":0}
引用次数: 0

摘要

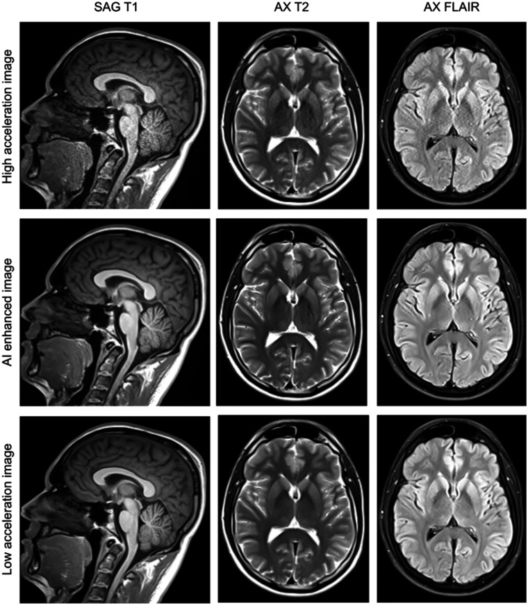
背景:并行成像可以加速MRI采集,但过度的加速会引入放大的噪声和混叠伪影。目的:评估一种与供应商无关的基于人工智能的方法,用于在高加速MRI扫描中去除图像退化伪影,提高图像质量并缩短扫描时间。材料和方法:通过回顾性退化标准加速图像进行训练。通过回顾性和前瞻性收集的高度加速图像进行评估。回顾性数据来自2016年8月至2022年10月期间获得的~ 2000项MRI研究,前瞻性数据来自2022年6月至11月期间来自多个供应商和地点的扫描仪。从前瞻性研究中收集扫描时间数据,并用于计算每个供应商的每个序列和每个协议节省的时间。图像由5名委员会认证的放射科医生进行定性评估,并通过评估噪声、对比度和空间分辨率进行定量评估。配对Wilcoxon符号秩检验用于比较模型输出与模型输入和低加速度图像。结果:来自5个站点和6种不同供应商的扫描仪型号的101名成年人的图像被纳入。89%的成像对象有显著的影像学特征或病理。模型输出被评为优于模型输入(P < 001),大多数模型输出要么不劣(P < 0.05)。05)或更优(P sup。05)在图像质量和特征可见性的定性度量中基线图像。与输入(p001)或基线图像(p005)相比,模型输出的信噪比和对比噪比的定量评估得到了改善。在半最大值或最小值时使用全宽度测量的表观分辨率要么增强(P sup),要么增强(P sup)。05)或保存(非优质P sup >)。P < 0.05,非劣P < 0.05)。扫描时间平均减少29%(每个序列19%-41%)。结论:这种与供应商无关的基于人工智能的方法在不损失图像质量的情况下节省了大量扫描时间,有可能降低成本并改善患者体验。
本文章由计算机程序翻译,如有差异,请以英文原文为准。

An image-domain deep-learning denoising technique for accelerated parallel brain MRI: prospective clinical evaluation.

An image-domain deep-learning denoising technique for accelerated parallel brain MRI: prospective clinical evaluation.

An image-domain deep-learning denoising technique for accelerated parallel brain MRI: prospective clinical evaluation.

An image-domain deep-learning denoising technique for accelerated parallel brain MRI: prospective clinical evaluation.

Background: Parallel imaging can accelerate MRI acquisitions, but excessive accelerations can introduce amplified noise and aliasing artifacts.

Purpose: To evaluate a vendor-agnostic AI-based approach to remove image degradation artifacts in highly accelerated MRI scans, improving image quality and reducing scan time.

Materials and methods: Training was performed by retrospectively degrading standard accelerated images. Evaluation was performed with both retrospective and prospectively-collected highly accelerated images. Retrospective data were taken from ∼2000 MRI studies obtained between August 2016 and October 2022, and prospective data were collected in >200 subjects between June and November 2022, using scanners from multiple vendors and locations. Scan time data were collected from prospective studies and used to compute time savings per sequence and per protocol for each vendor. Images were evaluated qualitatively by 5 board-certified radiologists and quantitatively by assessing noise, contrast, and spatial resolution. Paired Wilcoxon signed-rank tests were used to compare model outputs to model inputs and low-acceleration images.

Results: Images from 101 adults from 5 sites and 6 scanner models from different vendors were enrolled. 89% of imaged subjects had noteworthy imaging features or pathology. Model outputs were rated superior to model inputs (P < .001) and most were either non-inferior (P inf  > .05) or superior (P sup  < .05) to baseline images in qualitative metrics of image quality and feature visibility. Quantitative evaluation of signal-to-noise ratio and contrast-to-noise ratio improved for model outputs compared to inputs (P < .001) or baseline images (P < .005). Apparent resolution measured using the full width at half maximum or minimum was either enhanced (P sup  < .05) or preserved (non-superior P sup  > .05 and non-inferior P inf  > .05). The scan time was reduced by an average of 29% (19%-41% per sequence).

Conclusion: This vendor-agnostic AI-based method achieved robust scan time savings without loss of image quality, potentially allowing for reduced cost and improved patient experience.

求助全文
通过发布文献求助,成功后即可免费获取论文全文。 去求助
来源期刊
自引率
0.00%
发文量
0
×
引用
GB/T 7714-2015
复制
MLA
复制
APA
复制
导出至
BibTeX EndNote RefMan NoteFirst NoteExpress
×
提示
您的信息不完整,为了账户安全,请先补充。
现在去补充
×
提示
您因"违规操作"
具体请查看互助需知
我知道了
×
提示
确定
请完成安全验证×
copy
已复制链接
快去分享给好友吧!
我知道了
右上角分享
点击右上角分享
0
联系我们:info@booksci.cn Book学术提供免费学术资源搜索服务,方便国内外学者检索中英文文献。致力于提供最便捷和优质的服务体验。 Copyright © 2023 布克学术 All rights reserved.
京ICP备2023020795号-1
ghs 京公网安备 11010802042870号
Book学术文献互助
Book学术文献互助群
群 号:604180095
Book学术官方微信