影像引导肿瘤消融在介入肿瘤学中的应用。

Radiology advances Pub Date : 2025-09-11 eCollection Date: 2025-09-01 DOI:10.1093/radadv/umaf033
Jung H Yun, Arian Mansur, Elahe Abbaspour, Seyed Sina Zakavi, Callum S Newton, David C Madoff, David Woodrum, Christos Georgiades, Paul Shyn, Aria F Olumi, Raul N Uppot, Sanjeeva Kalva, Nima Kokabi, Ripal Gandhi, Peiman Habibollahi, Nariman Nezami
{"title":"影像引导肿瘤消融在介入肿瘤学中的应用。","authors":"Jung H Yun, Arian Mansur, Elahe Abbaspour, Seyed Sina Zakavi, Callum S Newton, David C Madoff, David Woodrum, Christos Georgiades, Paul Shyn, Aria F Olumi, Raul N Uppot, Sanjeeva Kalva, Nima Kokabi, Ripal Gandhi, Peiman Habibollahi, Nariman Nezami","doi":"10.1093/radadv/umaf033","DOIUrl":null,"url":null,"abstract":"<p><p>Minimally invasive image-guided tumor ablation techniques have been established as safe, effective methods to treat a variety of unresectable soft tissue tumors. Standard thermal ablation methods include radiofrequency ablation, microwave ablation, and cryoablation. However, newer non-thermal and/or non-invasive ablation techniques are now available as alternative options to treat soft tissue tumors, particularly those that are near critical structures or otherwise susceptible to thermal energy sink effects. The 4 types of emerging ablation techniques discussed in this review are as follows: irreversible electroporation, pulsed electric field, high-intensity focused ultrasound, and histotripsy. While the clinical trials evaluating the safety and efficacy of these ablation techniques are in their early stages, initial results are promising in the treatment of various cancers at different stages. These include potential synergistic effects when combined with chemotherapy and immunotherapy.</p>","PeriodicalId":519940,"journal":{"name":"Radiology advances","volume":"2 5","pages":"umaf033"},"PeriodicalIF":0.0000,"publicationDate":"2025-09-11","publicationTypes":"Journal Article","fieldsOfStudy":null,"isOpenAccess":false,"openAccessPdf":"https://www.ncbi.nlm.nih.gov/pmc/articles/PMC12483156/pdf/","citationCount":"0","resultStr":"{\"title\":\"The growing armamentarium of image-guided tumor ablation in interventional oncology.\",\"authors\":\"Jung H Yun, Arian Mansur, Elahe Abbaspour, Seyed Sina Zakavi, Callum S Newton, David C Madoff, David Woodrum, Christos Georgiades, Paul Shyn, Aria F Olumi, Raul N Uppot, Sanjeeva Kalva, Nima Kokabi, Ripal Gandhi, Peiman Habibollahi, Nariman Nezami\",\"doi\":\"10.1093/radadv/umaf033\",\"DOIUrl\":null,\"url\":null,\"abstract\":\"<p><p>Minimally invasive image-guided tumor ablation techniques have been established as safe, effective methods to treat a variety of unresectable soft tissue tumors. Standard thermal ablation methods include radiofrequency ablation, microwave ablation, and cryoablation. However, newer non-thermal and/or non-invasive ablation techniques are now available as alternative options to treat soft tissue tumors, particularly those that are near critical structures or otherwise susceptible to thermal energy sink effects. The 4 types of emerging ablation techniques discussed in this review are as follows: irreversible electroporation, pulsed electric field, high-intensity focused ultrasound, and histotripsy. While the clinical trials evaluating the safety and efficacy of these ablation techniques are in their early stages, initial results are promising in the treatment of various cancers at different stages. These include potential synergistic effects when combined with chemotherapy and immunotherapy.</p>\",\"PeriodicalId\":519940,\"journal\":{\"name\":\"Radiology advances\",\"volume\":\"2 5\",\"pages\":\"umaf033\"},\"PeriodicalIF\":0.0000,\"publicationDate\":\"2025-09-11\",\"publicationTypes\":\"Journal Article\",\"fieldsOfStudy\":null,\"isOpenAccess\":false,\"openAccessPdf\":\"https://www.ncbi.nlm.nih.gov/pmc/articles/PMC12483156/pdf/\",\"citationCount\":\"0\",\"resultStr\":null,\"platform\":\"Semanticscholar\",\"paperid\":null,\"PeriodicalName\":\"Radiology advances\",\"FirstCategoryId\":\"1085\",\"ListUrlMain\":\"https://doi.org/10.1093/radadv/umaf033\",\"RegionNum\":0,\"RegionCategory\":null,\"ArticlePicture\":[],\"TitleCN\":null,\"AbstractTextCN\":null,\"PMCID\":null,\"EPubDate\":\"2025/9/1 0:00:00\",\"PubModel\":\"eCollection\",\"JCR\":\"\",\"JCRName\":\"\",\"Score\":null,\"Total\":0}","platform":"Semanticscholar","paperid":null,"PeriodicalName":"Radiology advances","FirstCategoryId":"1085","ListUrlMain":"https://doi.org/10.1093/radadv/umaf033","RegionNum":0,"RegionCategory":null,"ArticlePicture":[],"TitleCN":null,"AbstractTextCN":null,"PMCID":null,"EPubDate":"2025/9/1 0:00:00","PubModel":"eCollection","JCR":"","JCRName":"","Score":null,"Total":0}
引用次数: 0

摘要

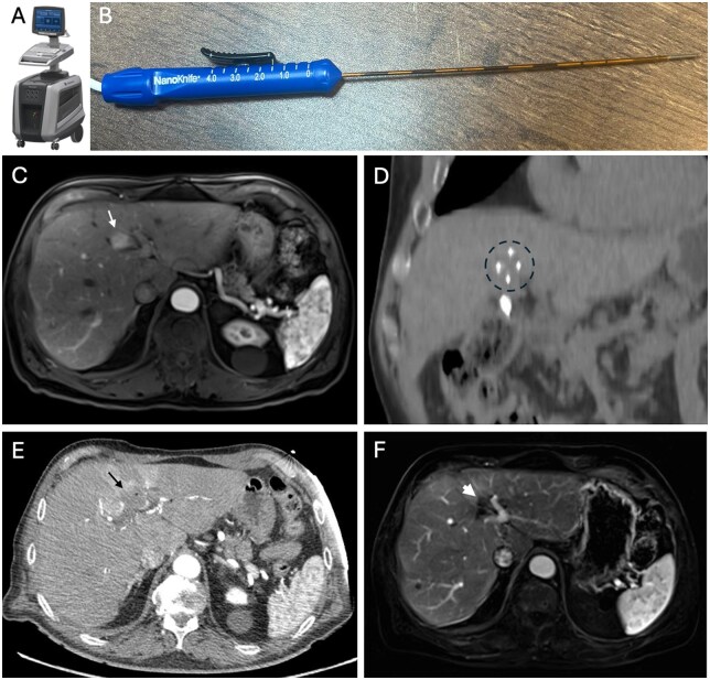
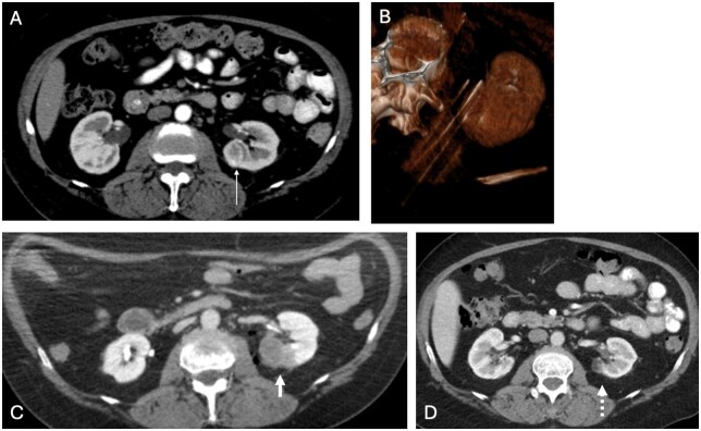
影像引导下的微创肿瘤消融技术是治疗各种不可切除软组织肿瘤的安全、有效的方法。标准的热消融方法包括射频消融、微波消融和冷冻消融。然而,新的非热和/或非侵入性消融技术现在可作为治疗软组织肿瘤的替代选择,特别是那些靠近关键结构或易受热能吸收效应影响的软组织肿瘤。本文讨论了四种新兴的消融技术:不可逆电穿孔、脉冲电场、高强度聚焦超声和组织切片法。虽然评估这些消融技术的安全性和有效性的临床试验还处于早期阶段,但初步结果在治疗不同阶段的各种癌症方面是有希望的。这些包括与化疗和免疫治疗联合使用时的潜在协同效应。
本文章由计算机程序翻译,如有差异,请以英文原文为准。

The growing armamentarium of image-guided tumor ablation in interventional oncology.

The growing armamentarium of image-guided tumor ablation in interventional oncology.

The growing armamentarium of image-guided tumor ablation in interventional oncology.

The growing armamentarium of image-guided tumor ablation in interventional oncology.

Minimally invasive image-guided tumor ablation techniques have been established as safe, effective methods to treat a variety of unresectable soft tissue tumors. Standard thermal ablation methods include radiofrequency ablation, microwave ablation, and cryoablation. However, newer non-thermal and/or non-invasive ablation techniques are now available as alternative options to treat soft tissue tumors, particularly those that are near critical structures or otherwise susceptible to thermal energy sink effects. The 4 types of emerging ablation techniques discussed in this review are as follows: irreversible electroporation, pulsed electric field, high-intensity focused ultrasound, and histotripsy. While the clinical trials evaluating the safety and efficacy of these ablation techniques are in their early stages, initial results are promising in the treatment of various cancers at different stages. These include potential synergistic effects when combined with chemotherapy and immunotherapy.

求助全文
通过发布文献求助,成功后即可免费获取论文全文。 去求助
来源期刊
自引率
0.00%
发文量
0
×
引用
GB/T 7714-2015
复制
MLA
复制
APA
复制
导出至
BibTeX EndNote RefMan NoteFirst NoteExpress
×
提示
您的信息不完整,为了账户安全,请先补充。
现在去补充
×
提示
您因"违规操作"
具体请查看互助需知
我知道了
×
提示
确定
请完成安全验证×
copy
已复制链接
快去分享给好友吧!
我知道了
右上角分享
点击右上角分享
0
联系我们:info@booksci.cn Book学术提供免费学术资源搜索服务,方便国内外学者检索中英文文献。致力于提供最便捷和优质的服务体验。 Copyright © 2023 布克学术 All rights reserved.
京ICP备2023020795号-1
ghs 京公网安备 11010802042870号
Book学术文献互助
Book学术文献互助群
群 号:604180095
Book学术官方微信