基于物理的深度学习重建用于超快速临床3D流体衰减反转恢复脑MRI。

Radiology advances Pub Date : 2025-04-17 eCollection Date: 2025-05-01 DOI:10.1093/radadv/umaf016
Shohei Fujita, Dominik Nickel, Wei-Ching Lo, Bryan Clifford, Stephen Cauley, Sittaya Buathong, Azadeh Hajati, Florence L Chiang, John Conklin, Susie Y Huang
{"title":"基于物理的深度学习重建用于超快速临床3D流体衰减反转恢复脑MRI。","authors":"Shohei Fujita, Dominik Nickel, Wei-Ching Lo, Bryan Clifford, Stephen Cauley, Sittaya Buathong, Azadeh Hajati, Florence L Chiang, John Conklin, Susie Y Huang","doi":"10.1093/radadv/umaf016","DOIUrl":null,"url":null,"abstract":"<p><strong>Background: </strong>Physics-informed deep learning (DL) reconstructions show promise in accelerating MRI yet have not been extensively validated, particularly for 3D fluid-attenuated inversion recovery (FLAIR) sequence.</p><p><strong>Purpose: </strong>To evaluate the diagnostic quality and interchangeability of DL-based 3D FLAIR with a state-of-the-art acceleration technique (wave-controlled aliasing in parallel imaging [Wave-CAIPI] FLAIR) in a clinical setting with 3 T brain MRI.</p><p><strong>Materials and methods: </strong>Participants undergoing evaluation for demyelinating disease between October and December of 2023 were prospectively enrolled at a single center. For each participant, state-of-the-art Wave-CAIPI FLAIR and a resolution-matched 6-fold-under-sampled Cartesian FLAIR acquisition with DL reconstruction were performed at 3-T system (MAGNETOM Vida, Siemens Healthineers, Erlangen, Germany). Four neuroradiologists evaluated overall image quality, anatomic conspicuity, lesion conspicuity, and imaging artifacts. Lesion count, volume, and regional brain volume were compared between imaging methods. Inter-reader agreement was assessed using quadratic weighted Cohen's kappa and Kendall's correlation coefficient. Agreement of continuous metrics was evaluated using intraclass correlation coefficients (ICCs), linear regression, and Bland-Altman analysis. Interchangeability regarding the quantitative metrics was evaluated with individual equivalence index (IEI).</p><p><strong>Results: </strong>Totally, 88 participants (61 women [69%], 47 ± 13 years) were evaluated. DL-FLAIR reduced scan time (1:53 vs. 2:50) and showed higher overall image quality, anatomic conspicuity, lesion conspicuity, and imaging artifacts compared with state-of-the-art technique (all <i>P</i>s < .001). DL-FLAIR also demonstrated higher signal-to-noise ratio and contrast-to-noise ratio compared to Wave-CAIPI-FLAIR, with high agreement in lesion and regional brain volumes between both methods (ICC(2, k) range, 0.91 to 0.99). DL-FLAIR proved interchangeable with Wave-CAIPI-FLAIR for lesion count (IEI: 0.10, acceptable proportion: 0.977, 95% CI: [0.943, 1.000]) and for lesion volume (IEI: 0.32, acceptable proportion: 0.966, 95% CI: [0.930, 1.000]).</p><p><strong>Conclusion: </strong>Deep learning reconstruction of 3D-FLAIR provides higher image quality compared to a state-of-the-art technique with 30% less scan time while maintaining excellent agreement and interchangeability in quantitative evaluation.</p>","PeriodicalId":519940,"journal":{"name":"Radiology advances","volume":"2 3","pages":"umaf016"},"PeriodicalIF":0.0000,"publicationDate":"2025-04-17","publicationTypes":"Journal Article","fieldsOfStudy":null,"isOpenAccess":false,"openAccessPdf":"https://www.ncbi.nlm.nih.gov/pmc/articles/PMC12429252/pdf/","citationCount":"0","resultStr":"{\"title\":\"Physics-informed deep learning reconstruction for ultrafast clinical 3D fluid-attenuated inversion recovery brain MRI.\",\"authors\":\"Shohei Fujita, Dominik Nickel, Wei-Ching Lo, Bryan Clifford, Stephen Cauley, Sittaya Buathong, Azadeh Hajati, Florence L Chiang, John Conklin, Susie Y Huang\",\"doi\":\"10.1093/radadv/umaf016\",\"DOIUrl\":null,\"url\":null,\"abstract\":\"<p><strong>Background: </strong>Physics-informed deep learning (DL) reconstructions show promise in accelerating MRI yet have not been extensively validated, particularly for 3D fluid-attenuated inversion recovery (FLAIR) sequence.</p><p><strong>Purpose: </strong>To evaluate the diagnostic quality and interchangeability of DL-based 3D FLAIR with a state-of-the-art acceleration technique (wave-controlled aliasing in parallel imaging [Wave-CAIPI] FLAIR) in a clinical setting with 3 T brain MRI.</p><p><strong>Materials and methods: </strong>Participants undergoing evaluation for demyelinating disease between October and December of 2023 were prospectively enrolled at a single center. For each participant, state-of-the-art Wave-CAIPI FLAIR and a resolution-matched 6-fold-under-sampled Cartesian FLAIR acquisition with DL reconstruction were performed at 3-T system (MAGNETOM Vida, Siemens Healthineers, Erlangen, Germany). Four neuroradiologists evaluated overall image quality, anatomic conspicuity, lesion conspicuity, and imaging artifacts. Lesion count, volume, and regional brain volume were compared between imaging methods. Inter-reader agreement was assessed using quadratic weighted Cohen's kappa and Kendall's correlation coefficient. Agreement of continuous metrics was evaluated using intraclass correlation coefficients (ICCs), linear regression, and Bland-Altman analysis. Interchangeability regarding the quantitative metrics was evaluated with individual equivalence index (IEI).</p><p><strong>Results: </strong>Totally, 88 participants (61 women [69%], 47 ± 13 years) were evaluated. DL-FLAIR reduced scan time (1:53 vs. 2:50) and showed higher overall image quality, anatomic conspicuity, lesion conspicuity, and imaging artifacts compared with state-of-the-art technique (all <i>P</i>s < .001). DL-FLAIR also demonstrated higher signal-to-noise ratio and contrast-to-noise ratio compared to Wave-CAIPI-FLAIR, with high agreement in lesion and regional brain volumes between both methods (ICC(2, k) range, 0.91 to 0.99). DL-FLAIR proved interchangeable with Wave-CAIPI-FLAIR for lesion count (IEI: 0.10, acceptable proportion: 0.977, 95% CI: [0.943, 1.000]) and for lesion volume (IEI: 0.32, acceptable proportion: 0.966, 95% CI: [0.930, 1.000]).</p><p><strong>Conclusion: </strong>Deep learning reconstruction of 3D-FLAIR provides higher image quality compared to a state-of-the-art technique with 30% less scan time while maintaining excellent agreement and interchangeability in quantitative evaluation.</p>\",\"PeriodicalId\":519940,\"journal\":{\"name\":\"Radiology advances\",\"volume\":\"2 3\",\"pages\":\"umaf016\"},\"PeriodicalIF\":0.0000,\"publicationDate\":\"2025-04-17\",\"publicationTypes\":\"Journal Article\",\"fieldsOfStudy\":null,\"isOpenAccess\":false,\"openAccessPdf\":\"https://www.ncbi.nlm.nih.gov/pmc/articles/PMC12429252/pdf/\",\"citationCount\":\"0\",\"resultStr\":null,\"platform\":\"Semanticscholar\",\"paperid\":null,\"PeriodicalName\":\"Radiology advances\",\"FirstCategoryId\":\"1085\",\"ListUrlMain\":\"https://doi.org/10.1093/radadv/umaf016\",\"RegionNum\":0,\"RegionCategory\":null,\"ArticlePicture\":[],\"TitleCN\":null,\"AbstractTextCN\":null,\"PMCID\":null,\"EPubDate\":\"2025/5/1 0:00:00\",\"PubModel\":\"eCollection\",\"JCR\":\"\",\"JCRName\":\"\",\"Score\":null,\"Total\":0}","platform":"Semanticscholar","paperid":null,"PeriodicalName":"Radiology advances","FirstCategoryId":"1085","ListUrlMain":"https://doi.org/10.1093/radadv/umaf016","RegionNum":0,"RegionCategory":null,"ArticlePicture":[],"TitleCN":null,"AbstractTextCN":null,"PMCID":null,"EPubDate":"2025/5/1 0:00:00","PubModel":"eCollection","JCR":"","JCRName":"","Score":null,"Total":0}
引用次数: 0

摘要

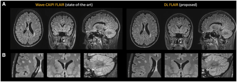
背景:基于物理的深度学习(DL)重建在加速MRI方面表现出了希望,但尚未得到广泛验证,特别是在3D流体衰减反转恢复(FLAIR)序列方面。目的:评价基于dl的3D FLAIR与最先进的加速技术(并行成像波控混叠[Wave-CAIPI] FLAIR)在临床3t脑MRI中的诊断质量和互换性。材料和方法:在2023年10月至12月期间接受脱髓鞘疾病评估的参与者被前瞻性地纳入单个中心。对于每个参与者,在3-T系统(MAGNETOM Vida, Siemens Healthineers, Erlangen, Germany)上进行了最先进的Wave-CAIPI FLAIR和分辨率匹配的6倍欠采样笛卡尔FLAIR采集和DL重建。四名神经放射学家评估了整体图像质量、解剖显著性、病变显著性和成像伪影。比较两种成像方法的病变计数、体积和区域脑体积。使用二次加权的Cohen’s kappa和Kendall’s相关系数来评估读者间的一致性。使用类内相关系数(ICCs)、线性回归和Bland-Altman分析评估连续指标的一致性。用个体等效指数(IEI)评价定量指标的互换性。结果:共纳入88例患者,其中女性61例(69%),47±13岁。与最先进的技术相比,DL-FLAIR缩短了扫描时间(1:53 vs. 2:50),并显示出更高的整体图像质量、解剖显著性、病变显著性和成像伪影(均p < 0.001)。与Wave-CAIPI-FLAIR相比,DL-FLAIR也表现出更高的信噪比和比噪比,两种方法在病变和区域脑容量方面具有很高的一致性(ICC(2, k)范围,0.91至0.99)。证明DL-FLAIR与Wave-CAIPI-FLAIR在病变计数(IEI: 0.10,可接受比例:0.977,95% CI:[0.943, 1.000])和病变体积(IEI: 0.32,可接受比例:0.966,95% CI:[0.930, 1.000])方面可互换。结论:与最先进的技术相比,3D-FLAIR的深度学习重建提供了更高的图像质量,扫描时间减少了30%,同时在定量评估中保持了良好的一致性和互换性。
本文章由计算机程序翻译,如有差异,请以英文原文为准。

Physics-informed deep learning reconstruction for ultrafast clinical 3D fluid-attenuated inversion recovery brain MRI.

Physics-informed deep learning reconstruction for ultrafast clinical 3D fluid-attenuated inversion recovery brain MRI.

Physics-informed deep learning reconstruction for ultrafast clinical 3D fluid-attenuated inversion recovery brain MRI.

Physics-informed deep learning reconstruction for ultrafast clinical 3D fluid-attenuated inversion recovery brain MRI.

Background: Physics-informed deep learning (DL) reconstructions show promise in accelerating MRI yet have not been extensively validated, particularly for 3D fluid-attenuated inversion recovery (FLAIR) sequence.

Purpose: To evaluate the diagnostic quality and interchangeability of DL-based 3D FLAIR with a state-of-the-art acceleration technique (wave-controlled aliasing in parallel imaging [Wave-CAIPI] FLAIR) in a clinical setting with 3 T brain MRI.

Materials and methods: Participants undergoing evaluation for demyelinating disease between October and December of 2023 were prospectively enrolled at a single center. For each participant, state-of-the-art Wave-CAIPI FLAIR and a resolution-matched 6-fold-under-sampled Cartesian FLAIR acquisition with DL reconstruction were performed at 3-T system (MAGNETOM Vida, Siemens Healthineers, Erlangen, Germany). Four neuroradiologists evaluated overall image quality, anatomic conspicuity, lesion conspicuity, and imaging artifacts. Lesion count, volume, and regional brain volume were compared between imaging methods. Inter-reader agreement was assessed using quadratic weighted Cohen's kappa and Kendall's correlation coefficient. Agreement of continuous metrics was evaluated using intraclass correlation coefficients (ICCs), linear regression, and Bland-Altman analysis. Interchangeability regarding the quantitative metrics was evaluated with individual equivalence index (IEI).

Results: Totally, 88 participants (61 women [69%], 47 ± 13 years) were evaluated. DL-FLAIR reduced scan time (1:53 vs. 2:50) and showed higher overall image quality, anatomic conspicuity, lesion conspicuity, and imaging artifacts compared with state-of-the-art technique (all Ps < .001). DL-FLAIR also demonstrated higher signal-to-noise ratio and contrast-to-noise ratio compared to Wave-CAIPI-FLAIR, with high agreement in lesion and regional brain volumes between both methods (ICC(2, k) range, 0.91 to 0.99). DL-FLAIR proved interchangeable with Wave-CAIPI-FLAIR for lesion count (IEI: 0.10, acceptable proportion: 0.977, 95% CI: [0.943, 1.000]) and for lesion volume (IEI: 0.32, acceptable proportion: 0.966, 95% CI: [0.930, 1.000]).

Conclusion: Deep learning reconstruction of 3D-FLAIR provides higher image quality compared to a state-of-the-art technique with 30% less scan time while maintaining excellent agreement and interchangeability in quantitative evaluation.

求助全文
通过发布文献求助,成功后即可免费获取论文全文。 去求助
来源期刊
自引率
0.00%
发文量
0
×
引用
GB/T 7714-2015
复制
MLA
复制
APA
复制
导出至
BibTeX EndNote RefMan NoteFirst NoteExpress
×
提示
您的信息不完整,为了账户安全,请先补充。
现在去补充
×
提示
您因"违规操作"
具体请查看互助需知
我知道了
×
提示
确定
请完成安全验证×
copy
已复制链接
快去分享给好友吧!
我知道了
右上角分享
点击右上角分享
0
联系我们:info@booksci.cn Book学术提供免费学术资源搜索服务,方便国内外学者检索中英文文献。致力于提供最便捷和优质的服务体验。 Copyright © 2023 布克学术 All rights reserved.
京ICP备2023020795号-1
ghs 京公网安备 11010802042870号
Book学术文献互助
Book学术文献互助群
群 号:604180095
Book学术官方微信