光子计数检测器计算机断层扫描在儿童心胸CT成像中的应用。

Radiology advances Pub Date : 2024-05-04 eCollection Date: 2024-07-01 DOI:10.1093/radadv/umae012
Marilyn J Siegel, Juan C Ramirez-Giraldo
{"title":"光子计数检测器计算机断层扫描在儿童心胸CT成像中的应用。","authors":"Marilyn J Siegel, Juan C Ramirez-Giraldo","doi":"10.1093/radadv/umae012","DOIUrl":null,"url":null,"abstract":"<p><p>Photon-counting detector computed tomography (PCD-CT) is the most recent advancement in CT technology and has the potential to change clinical practice. Unlike conventional energy-integrated-detector (EID) that uses a two-step process to convert X-rays into a digital signal, PCD-CT directly converts photon energies into electronic signal. The advantages of PCD-CT over EID-CT are higher spatial resolution, electronic noise reduction, higher contrast-to-noise ratio, improved radiation dose efficiency, and intrinsic spectral imaging. Successful implementation into clinical practice requires adaptations in CT protocols. In this review, we summarize the basic principles of PCD-CT and technical scanning factors followed by a discussion of its clinical benefits in pediatric pulmonary and cardiovascular imaging.</p>","PeriodicalId":519940,"journal":{"name":"Radiology advances","volume":"1 2","pages":"umae012"},"PeriodicalIF":0.0000,"publicationDate":"2024-05-04","publicationTypes":"Journal Article","fieldsOfStudy":null,"isOpenAccess":false,"openAccessPdf":"https://www.ncbi.nlm.nih.gov/pmc/articles/PMC12429202/pdf/","citationCount":"0","resultStr":"{\"title\":\"Photon counting detector computed tomography in pediatric cardiothoracic CT imaging.\",\"authors\":\"Marilyn J Siegel, Juan C Ramirez-Giraldo\",\"doi\":\"10.1093/radadv/umae012\",\"DOIUrl\":null,\"url\":null,\"abstract\":\"<p><p>Photon-counting detector computed tomography (PCD-CT) is the most recent advancement in CT technology and has the potential to change clinical practice. Unlike conventional energy-integrated-detector (EID) that uses a two-step process to convert X-rays into a digital signal, PCD-CT directly converts photon energies into electronic signal. The advantages of PCD-CT over EID-CT are higher spatial resolution, electronic noise reduction, higher contrast-to-noise ratio, improved radiation dose efficiency, and intrinsic spectral imaging. Successful implementation into clinical practice requires adaptations in CT protocols. In this review, we summarize the basic principles of PCD-CT and technical scanning factors followed by a discussion of its clinical benefits in pediatric pulmonary and cardiovascular imaging.</p>\",\"PeriodicalId\":519940,\"journal\":{\"name\":\"Radiology advances\",\"volume\":\"1 2\",\"pages\":\"umae012\"},\"PeriodicalIF\":0.0000,\"publicationDate\":\"2024-05-04\",\"publicationTypes\":\"Journal Article\",\"fieldsOfStudy\":null,\"isOpenAccess\":false,\"openAccessPdf\":\"https://www.ncbi.nlm.nih.gov/pmc/articles/PMC12429202/pdf/\",\"citationCount\":\"0\",\"resultStr\":null,\"platform\":\"Semanticscholar\",\"paperid\":null,\"PeriodicalName\":\"Radiology advances\",\"FirstCategoryId\":\"1085\",\"ListUrlMain\":\"https://doi.org/10.1093/radadv/umae012\",\"RegionNum\":0,\"RegionCategory\":null,\"ArticlePicture\":[],\"TitleCN\":null,\"AbstractTextCN\":null,\"PMCID\":null,\"EPubDate\":\"2024/7/1 0:00:00\",\"PubModel\":\"eCollection\",\"JCR\":\"\",\"JCRName\":\"\",\"Score\":null,\"Total\":0}","platform":"Semanticscholar","paperid":null,"PeriodicalName":"Radiology advances","FirstCategoryId":"1085","ListUrlMain":"https://doi.org/10.1093/radadv/umae012","RegionNum":0,"RegionCategory":null,"ArticlePicture":[],"TitleCN":null,"AbstractTextCN":null,"PMCID":null,"EPubDate":"2024/7/1 0:00:00","PubModel":"eCollection","JCR":"","JCRName":"","Score":null,"Total":0}
引用次数: 0

摘要

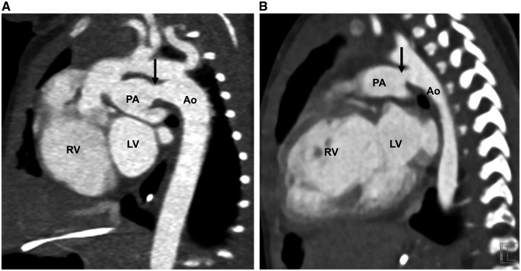
光子计数检测器计算机断层扫描(PCD-CT)是CT技术的最新进展,有可能改变临床实践。传统的能量集成探测器(EID)通过两步过程将x射线转换为数字信号,而pc - ct则直接将光子能量转换为电子信号。与EID-CT相比,PCD-CT的优势在于更高的空间分辨率、电子降噪、更高的对比噪声比、更高的辐射剂量效率和本征光谱成像。临床实践的成功实施需要对CT协议进行调整。在这篇综述中,我们总结了PCD-CT的基本原理和技术扫描因素,并讨论了其在儿童肺部和心血管成像中的临床应用。
本文章由计算机程序翻译,如有差异,请以英文原文为准。

Photon counting detector computed tomography in pediatric cardiothoracic CT imaging.

Photon counting detector computed tomography in pediatric cardiothoracic CT imaging.

Photon counting detector computed tomography in pediatric cardiothoracic CT imaging.

Photon counting detector computed tomography in pediatric cardiothoracic CT imaging.

Photon-counting detector computed tomography (PCD-CT) is the most recent advancement in CT technology and has the potential to change clinical practice. Unlike conventional energy-integrated-detector (EID) that uses a two-step process to convert X-rays into a digital signal, PCD-CT directly converts photon energies into electronic signal. The advantages of PCD-CT over EID-CT are higher spatial resolution, electronic noise reduction, higher contrast-to-noise ratio, improved radiation dose efficiency, and intrinsic spectral imaging. Successful implementation into clinical practice requires adaptations in CT protocols. In this review, we summarize the basic principles of PCD-CT and technical scanning factors followed by a discussion of its clinical benefits in pediatric pulmonary and cardiovascular imaging.

求助全文
通过发布文献求助,成功后即可免费获取论文全文。 去求助
来源期刊
自引率
0.00%
发文量
0
×
引用
GB/T 7714-2015
复制
MLA
复制
APA
复制
导出至
BibTeX EndNote RefMan NoteFirst NoteExpress
×
提示
您的信息不完整,为了账户安全,请先补充。
现在去补充
×
提示
您因"违规操作"
具体请查看互助需知
我知道了
×
提示
确定
请完成安全验证×
copy
已复制链接
快去分享给好友吧!
我知道了
右上角分享
点击右上角分享
0
联系我们:info@booksci.cn Book学术提供免费学术资源搜索服务,方便国内外学者检索中英文文献。致力于提供最便捷和优质的服务体验。 Copyright © 2023 布克学术 All rights reserved.
京ICP备2023020795号-1
ghs 京公网安备 11010802042870号
Book学术文献互助
Book学术文献互助群
群 号:604180095
Book学术官方微信