基于深度学习的增强CT随机肺栓塞自动检测算法:一项多中心、多厂商的研究。

Radiology advances Pub Date : 2025-06-23 eCollection Date: 2025-07-01 DOI:10.1093/radadv/umaf021
Hana Farzaneh, Jacqueline Junn, Yasmina Chaibi, Angela Ayobi, Angelo Franciosini, Marlene Scudeler, Daniel Chow, Brent Weinberg
{"title":"基于深度学习的增强CT随机肺栓塞自动检测算法:一项多中心、多厂商的研究。","authors":"Hana Farzaneh, Jacqueline Junn, Yasmina Chaibi, Angela Ayobi, Angelo Franciosini, Marlene Scudeler, Daniel Chow, Brent Weinberg","doi":"10.1093/radadv/umaf021","DOIUrl":null,"url":null,"abstract":"<p><strong>Background: </strong>Incidenal pulmonary embolism (iPE) is increasingly detected on contrast-enhanced computed tomography (CECT) performed for non-PE indications, reflecting the growing volume and complexity of cross-sectional imaging. These findings, although unexpected, carry important clinical implications and may be underreported due to the primary diagnostic focus of the study. Artificial intelligence (AI) applications offer the potential to augment radiologist workflow bt training exams and highlighting cases suspicious for iPE, thereby improving detection accuracy and timeliness in routine clinical practice.</p><p><strong>Purpose: </strong>Likelihood of incidental pulmonary embolism (iPE) increases with increased body computed tomography CT) imaging. This study evaluates the diagnostic performance and effectiveness of triage of a standalone AI solution for detecting iPE in contrast-enhanced CT (CECT) exams obtained for non-PE clinical indications.</p><p><strong>Materials and methods: </strong>A commercially available deep learning-based software, CINA-iPE (Avicenna.AI, La Ciotat, France), analyzes CECT images to highlight suspected incidental PE cases. Consecutive retrospective CECTs from 5 clinical centers, not performed for PE evaluation, were collected until a selected balanced dataset between positive and negative cases was obtained. The reference standard was established by three independent U.S. board-certified radiologists reviewing the same images. Diagnostic performance and the time-to-notification (from data acquisition to processing of results) were computed.</p><p><strong>Results: </strong>A total of 381 anonymized CECT cases were acquired on 39 different scanner models from GE, Philips, Siemens, and Canon. The algorithm correctly identified 159/181 exams positive for PE (sensitivity 87.8% [95% CI: 82.2%-92.2%]) and 184/200 exams negative for PE (specificity 92.0% [95% CI: 87.3%-95.4%]), yielding an accuracy of 90.0% [95% CI: 86.6%-92.8%]. Of 16 detected false positive cases, 50% were complex CECTs subject to disagreement among the reference read radiologists. The device missed 22 pulmonary embolisms, with 45.5% of them being complex cases and subject to disagreement among reviewers. The time from data acquisition to processing results was 1.5 ± 0.5 (mean ± SD, 95% CI: 1.4%-1.5%) minutes.</p><p><strong>Conclusion: </strong>The CINA-iPE application accurately identified incidental PE in studies not performed specifically for evaluation of PE with high sensitivity and specificity. Automatically processed results were available to interpreting physicians within minutes, which could be used to prioritize interpretation of studies. This may be useful for increasing the accuracy or speed of detection of iPE.</p>","PeriodicalId":519940,"journal":{"name":"Radiology advances","volume":"2 4","pages":"umaf021"},"PeriodicalIF":0.0000,"publicationDate":"2025-06-23","publicationTypes":"Journal Article","fieldsOfStudy":null,"isOpenAccess":false,"openAccessPdf":"https://www.ncbi.nlm.nih.gov/pmc/articles/PMC12429201/pdf/","citationCount":"0","resultStr":"{\"title\":\"Deep learning-based algorithm for automatic detection of incidental pulmonary embolism on contrast-enhanced CT: a multicenter multivendor study.\",\"authors\":\"Hana Farzaneh, Jacqueline Junn, Yasmina Chaibi, Angela Ayobi, Angelo Franciosini, Marlene Scudeler, Daniel Chow, Brent Weinberg\",\"doi\":\"10.1093/radadv/umaf021\",\"DOIUrl\":null,\"url\":null,\"abstract\":\"<p><strong>Background: </strong>Incidenal pulmonary embolism (iPE) is increasingly detected on contrast-enhanced computed tomography (CECT) performed for non-PE indications, reflecting the growing volume and complexity of cross-sectional imaging. These findings, although unexpected, carry important clinical implications and may be underreported due to the primary diagnostic focus of the study. Artificial intelligence (AI) applications offer the potential to augment radiologist workflow bt training exams and highlighting cases suspicious for iPE, thereby improving detection accuracy and timeliness in routine clinical practice.</p><p><strong>Purpose: </strong>Likelihood of incidental pulmonary embolism (iPE) increases with increased body computed tomography CT) imaging. This study evaluates the diagnostic performance and effectiveness of triage of a standalone AI solution for detecting iPE in contrast-enhanced CT (CECT) exams obtained for non-PE clinical indications.</p><p><strong>Materials and methods: </strong>A commercially available deep learning-based software, CINA-iPE (Avicenna.AI, La Ciotat, France), analyzes CECT images to highlight suspected incidental PE cases. Consecutive retrospective CECTs from 5 clinical centers, not performed for PE evaluation, were collected until a selected balanced dataset between positive and negative cases was obtained. The reference standard was established by three independent U.S. board-certified radiologists reviewing the same images. Diagnostic performance and the time-to-notification (from data acquisition to processing of results) were computed.</p><p><strong>Results: </strong>A total of 381 anonymized CECT cases were acquired on 39 different scanner models from GE, Philips, Siemens, and Canon. The algorithm correctly identified 159/181 exams positive for PE (sensitivity 87.8% [95% CI: 82.2%-92.2%]) and 184/200 exams negative for PE (specificity 92.0% [95% CI: 87.3%-95.4%]), yielding an accuracy of 90.0% [95% CI: 86.6%-92.8%]. Of 16 detected false positive cases, 50% were complex CECTs subject to disagreement among the reference read radiologists. The device missed 22 pulmonary embolisms, with 45.5% of them being complex cases and subject to disagreement among reviewers. The time from data acquisition to processing results was 1.5 ± 0.5 (mean ± SD, 95% CI: 1.4%-1.5%) minutes.</p><p><strong>Conclusion: </strong>The CINA-iPE application accurately identified incidental PE in studies not performed specifically for evaluation of PE with high sensitivity and specificity. Automatically processed results were available to interpreting physicians within minutes, which could be used to prioritize interpretation of studies. This may be useful for increasing the accuracy or speed of detection of iPE.</p>\",\"PeriodicalId\":519940,\"journal\":{\"name\":\"Radiology advances\",\"volume\":\"2 4\",\"pages\":\"umaf021\"},\"PeriodicalIF\":0.0000,\"publicationDate\":\"2025-06-23\",\"publicationTypes\":\"Journal Article\",\"fieldsOfStudy\":null,\"isOpenAccess\":false,\"openAccessPdf\":\"https://www.ncbi.nlm.nih.gov/pmc/articles/PMC12429201/pdf/\",\"citationCount\":\"0\",\"resultStr\":null,\"platform\":\"Semanticscholar\",\"paperid\":null,\"PeriodicalName\":\"Radiology advances\",\"FirstCategoryId\":\"1085\",\"ListUrlMain\":\"https://doi.org/10.1093/radadv/umaf021\",\"RegionNum\":0,\"RegionCategory\":null,\"ArticlePicture\":[],\"TitleCN\":null,\"AbstractTextCN\":null,\"PMCID\":null,\"EPubDate\":\"2025/7/1 0:00:00\",\"PubModel\":\"eCollection\",\"JCR\":\"\",\"JCRName\":\"\",\"Score\":null,\"Total\":0}","platform":"Semanticscholar","paperid":null,"PeriodicalName":"Radiology advances","FirstCategoryId":"1085","ListUrlMain":"https://doi.org/10.1093/radadv/umaf021","RegionNum":0,"RegionCategory":null,"ArticlePicture":[],"TitleCN":null,"AbstractTextCN":null,"PMCID":null,"EPubDate":"2025/7/1 0:00:00","PubModel":"eCollection","JCR":"","JCRName":"","Score":null,"Total":0}
引用次数: 0

摘要

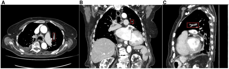
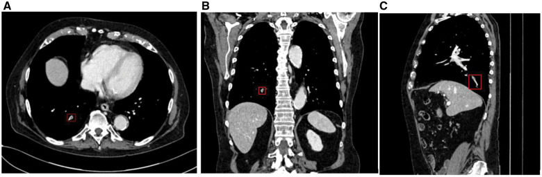
背景:在非pe适应症的对比增强计算机断层扫描(CECT)中越来越多地检测到偶发性肺栓塞(iPE),这反映了横断面成像的体积和复杂性的增加。这些发现虽然出乎意料,但具有重要的临床意义,并且由于研究的主要诊断重点可能被低估。人工智能(AI)应用提供了增加放射科医生工作流程的潜力,包括培训考试和突出iPE可疑病例,从而提高常规临床实践中的检测准确性和及时性。目的:偶发性肺栓塞(iPE)的可能性随着身体计算机断层扫描(CT)成像的增加而增加。本研究评估了在非pe临床适应症的对比增强CT (CECT)检查中检测iPE的独立AI解决方案的诊断性能和有效性。材料和方法:基于深度学习的商用软件CINA-iPE (Avicenna)。AI, La Ciotat, France)分析CECT图像以突出疑似偶发性PE病例。收集来自5个临床中心的连续回顾性cect,不进行PE评估,直到获得阳性和阴性病例之间的选定平衡数据集。参考标准是由三位独立的美国委员会认证的放射科医生审查相同的图像建立的。计算了诊断性能和通知时间(从数据采集到结果处理)。结果:在通用电气、飞利浦、西门子和佳能39种不同型号的扫描仪上共获得381例匿名CECT病例。该算法正确识别出159/181例PE阳性(敏感性87.8% [95% CI: 82.2%-92.2%])和184/200例PE阴性(特异性92.0% [95% CI: 87.3%-95.4%]),准确率为90.0% [95% CI: 86.6%-92.8%]。在16例检测到的假阳性病例中,50%是复杂的cect,参考阅读放射科医生意见不一。该设备漏诊了22例肺栓塞,其中45.5%是复杂病例,审稿人之间存在分歧。从数据采集到处理结果的时间为1.5±0.5分钟(mean±SD, 95% CI: 1.4% ~ 1.5%)。结论:CINA-iPE应用准确地识别了未专门评估PE的研究中的偶发性PE,具有高灵敏度和特异性。自动处理的结果可以在几分钟内提供给口译医生,这可以用来优先解释研究。这可能有助于提高iPE检测的准确性或速度。
本文章由计算机程序翻译,如有差异,请以英文原文为准。

Deep learning-based algorithm for automatic detection of incidental pulmonary embolism on contrast-enhanced CT: a multicenter multivendor study.

Deep learning-based algorithm for automatic detection of incidental pulmonary embolism on contrast-enhanced CT: a multicenter multivendor study.

Deep learning-based algorithm for automatic detection of incidental pulmonary embolism on contrast-enhanced CT: a multicenter multivendor study.

Deep learning-based algorithm for automatic detection of incidental pulmonary embolism on contrast-enhanced CT: a multicenter multivendor study.

Background: Incidenal pulmonary embolism (iPE) is increasingly detected on contrast-enhanced computed tomography (CECT) performed for non-PE indications, reflecting the growing volume and complexity of cross-sectional imaging. These findings, although unexpected, carry important clinical implications and may be underreported due to the primary diagnostic focus of the study. Artificial intelligence (AI) applications offer the potential to augment radiologist workflow bt training exams and highlighting cases suspicious for iPE, thereby improving detection accuracy and timeliness in routine clinical practice.

Purpose: Likelihood of incidental pulmonary embolism (iPE) increases with increased body computed tomography CT) imaging. This study evaluates the diagnostic performance and effectiveness of triage of a standalone AI solution for detecting iPE in contrast-enhanced CT (CECT) exams obtained for non-PE clinical indications.

Materials and methods: A commercially available deep learning-based software, CINA-iPE (Avicenna.AI, La Ciotat, France), analyzes CECT images to highlight suspected incidental PE cases. Consecutive retrospective CECTs from 5 clinical centers, not performed for PE evaluation, were collected until a selected balanced dataset between positive and negative cases was obtained. The reference standard was established by three independent U.S. board-certified radiologists reviewing the same images. Diagnostic performance and the time-to-notification (from data acquisition to processing of results) were computed.

Results: A total of 381 anonymized CECT cases were acquired on 39 different scanner models from GE, Philips, Siemens, and Canon. The algorithm correctly identified 159/181 exams positive for PE (sensitivity 87.8% [95% CI: 82.2%-92.2%]) and 184/200 exams negative for PE (specificity 92.0% [95% CI: 87.3%-95.4%]), yielding an accuracy of 90.0% [95% CI: 86.6%-92.8%]. Of 16 detected false positive cases, 50% were complex CECTs subject to disagreement among the reference read radiologists. The device missed 22 pulmonary embolisms, with 45.5% of them being complex cases and subject to disagreement among reviewers. The time from data acquisition to processing results was 1.5 ± 0.5 (mean ± SD, 95% CI: 1.4%-1.5%) minutes.

Conclusion: The CINA-iPE application accurately identified incidental PE in studies not performed specifically for evaluation of PE with high sensitivity and specificity. Automatically processed results were available to interpreting physicians within minutes, which could be used to prioritize interpretation of studies. This may be useful for increasing the accuracy or speed of detection of iPE.

求助全文
通过发布文献求助,成功后即可免费获取论文全文。 去求助
来源期刊
自引率
0.00%
发文量
0
×
引用
GB/T 7714-2015
复制
MLA
复制
APA
复制
导出至
BibTeX EndNote RefMan NoteFirst NoteExpress
×
提示
您的信息不完整,为了账户安全,请先补充。
现在去补充
×
提示
您因"违规操作"
具体请查看互助需知
我知道了
×
提示
确定
请完成安全验证×
copy
已复制链接
快去分享给好友吧!
我知道了
右上角分享
点击右上角分享
0
联系我们:info@booksci.cn Book学术提供免费学术资源搜索服务,方便国内外学者检索中英文文献。致力于提供最便捷和优质的服务体验。 Copyright © 2023 布克学术 All rights reserved.
京ICP备2023020795号-1
ghs 京公网安备 11010802042870号
Book学术文献互助
Book学术文献互助群
群 号:604180095
Book学术官方微信