SARS-CoV-2 δ和组粒变体改变滋养细胞融合和合体滋养细胞动力学:对胎盘易损性的新见解

IF 9.6 1区 生物学 Q1 CELL BIOLOGY
Manel Essaidi-Laziosi, Catia Alvarez, Michal Yaron, Pascale Sattonnet-Roche, Kenneth Adea, Mélanie Cornut, Christine Wuillemin, Meriem Bekliz, Yoann Sarmiento, Chloe Gibson, Laurent Kaiser, Anne-Laure Rougemont, Isabella Eckerle, Marie Cohen
{"title":"SARS-CoV-2 δ和组粒变体改变滋养细胞融合和合体滋养细胞动力学:对胎盘易损性的新见解","authors":"Manel Essaidi-Laziosi, Catia Alvarez, Michal Yaron, Pascale Sattonnet-Roche, Kenneth Adea, Mélanie Cornut, Christine Wuillemin, Meriem Bekliz, Yoann Sarmiento, Chloe Gibson, Laurent Kaiser, Anne-Laure Rougemont, Isabella Eckerle, Marie Cohen","doi":"10.1038/s41419-025-08016-x","DOIUrl":null,"url":null,"abstract":"<p><p>Pregnancy is associated with an increased risk of severe COVID-19. In addition, SARS-CoV-2 infection during gestation has been linked to adverse obstetrical outcomes and placental abnormalities. Nevertheless, the susceptibility of early trophoblast cells to SARS-CoV-2 and the potential consequences of infection on trophoblast function remain unclear. In this study, we assessed the permissiveness of first trimester trophoblast cells to SARS-CoV-2 infection and its impact on trophoblast cells fusion. To address this, we isolated primary cytotrophoblast (CTB) cells from first trimester human placentas and allow their differentiation into STB in vitro. These cells were infected with SARS-CoV-2 variants of concern, including Delta and Omicron (BA.1, BA.2, BA.5). Viral replication was assessed by RT-qPCR and immunofluorescence, while host cell responses, including expression of viral entry receptors and innate immunity genes, were measured by RT-qPCR. Trophoblast fusion was evaluated by staining and calculating the fusion index. In parallel, placental tissues from SARS-CoV-2-infected pregnancies were analyzed by immunohistochemistry to quantify syncytial knots (SK) formation in vivo. Our results demonstrate that both first trimester CTB and STB are permissive to SARS-CoV-2 infection in a variant- and donor-dependent manners, with Delta exhibiting higher replication efficiency compared to Omicron variants. In STB, viral replication did not correlate with the induction of entry receptors or type III interferon responses. However, in CTB, viral replication was significantly associated with enhanced cell fusion. In parallel, an increased number of SK was observed in infected placental areas in vivo compared to non-infected regions from the same placenta and to gestational age-matched controls. Altogether, these in vitro and in vivo results suggest that SARS-CoV-2 infection in early pregnancy may alter STB turnover, potentially contributing to placental dysfunction and adverse pregnancy outcomes.</p>","PeriodicalId":9734,"journal":{"name":"Cell Death & Disease","volume":"16 1","pages":"718"},"PeriodicalIF":9.6000,"publicationDate":"2025-10-07","publicationTypes":"Journal Article","fieldsOfStudy":null,"isOpenAccess":false,"openAccessPdf":"https://www.ncbi.nlm.nih.gov/pmc/articles/PMC12504560/pdf/","citationCount":"0","resultStr":"{\"title\":\"SARS-CoV-2 delta and omicron variants alter trophoblast cell fusion and syncytiotrophoblast dynamics: new insights into placental vulnerability.\",\"authors\":\"Manel Essaidi-Laziosi, Catia Alvarez, Michal Yaron, Pascale Sattonnet-Roche, Kenneth Adea, Mélanie Cornut, Christine Wuillemin, Meriem Bekliz, Yoann Sarmiento, Chloe Gibson, Laurent Kaiser, Anne-Laure Rougemont, Isabella Eckerle, Marie Cohen\",\"doi\":\"10.1038/s41419-025-08016-x\",\"DOIUrl\":null,\"url\":null,\"abstract\":\"<p><p>Pregnancy is associated with an increased risk of severe COVID-19. In addition, SARS-CoV-2 infection during gestation has been linked to adverse obstetrical outcomes and placental abnormalities. Nevertheless, the susceptibility of early trophoblast cells to SARS-CoV-2 and the potential consequences of infection on trophoblast function remain unclear. In this study, we assessed the permissiveness of first trimester trophoblast cells to SARS-CoV-2 infection and its impact on trophoblast cells fusion. To address this, we isolated primary cytotrophoblast (CTB) cells from first trimester human placentas and allow their differentiation into STB in vitro. These cells were infected with SARS-CoV-2 variants of concern, including Delta and Omicron (BA.1, BA.2, BA.5). Viral replication was assessed by RT-qPCR and immunofluorescence, while host cell responses, including expression of viral entry receptors and innate immunity genes, were measured by RT-qPCR. Trophoblast fusion was evaluated by staining and calculating the fusion index. In parallel, placental tissues from SARS-CoV-2-infected pregnancies were analyzed by immunohistochemistry to quantify syncytial knots (SK) formation in vivo. Our results demonstrate that both first trimester CTB and STB are permissive to SARS-CoV-2 infection in a variant- and donor-dependent manners, with Delta exhibiting higher replication efficiency compared to Omicron variants. In STB, viral replication did not correlate with the induction of entry receptors or type III interferon responses. However, in CTB, viral replication was significantly associated with enhanced cell fusion. In parallel, an increased number of SK was observed in infected placental areas in vivo compared to non-infected regions from the same placenta and to gestational age-matched controls. Altogether, these in vitro and in vivo results suggest that SARS-CoV-2 infection in early pregnancy may alter STB turnover, potentially contributing to placental dysfunction and adverse pregnancy outcomes.</p>\",\"PeriodicalId\":9734,\"journal\":{\"name\":\"Cell Death & Disease\",\"volume\":\"16 1\",\"pages\":\"718\"},\"PeriodicalIF\":9.6000,\"publicationDate\":\"2025-10-07\",\"publicationTypes\":\"Journal Article\",\"fieldsOfStudy\":null,\"isOpenAccess\":false,\"openAccessPdf\":\"https://www.ncbi.nlm.nih.gov/pmc/articles/PMC12504560/pdf/\",\"citationCount\":\"0\",\"resultStr\":null,\"platform\":\"Semanticscholar\",\"paperid\":null,\"PeriodicalName\":\"Cell Death & Disease\",\"FirstCategoryId\":\"99\",\"ListUrlMain\":\"https://doi.org/10.1038/s41419-025-08016-x\",\"RegionNum\":1,\"RegionCategory\":\"生物学\",\"ArticlePicture\":[],\"TitleCN\":null,\"AbstractTextCN\":null,\"PMCID\":null,\"EPubDate\":\"\",\"PubModel\":\"\",\"JCR\":\"Q1\",\"JCRName\":\"CELL BIOLOGY\",\"Score\":null,\"Total\":0}","platform":"Semanticscholar","paperid":null,"PeriodicalName":"Cell Death & Disease","FirstCategoryId":"99","ListUrlMain":"https://doi.org/10.1038/s41419-025-08016-x","RegionNum":1,"RegionCategory":"生物学","ArticlePicture":[],"TitleCN":null,"AbstractTextCN":null,"PMCID":null,"EPubDate":"","PubModel":"","JCR":"Q1","JCRName":"CELL BIOLOGY","Score":null,"Total":0}
引用次数: 0

摘要

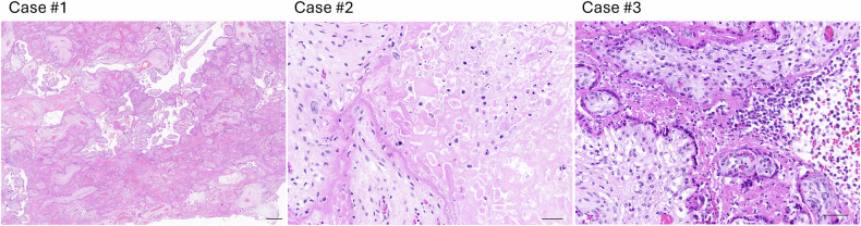
妊娠与严重COVID-19风险增加有关。此外,妊娠期感染SARS-CoV-2与不良的产科结局和胎盘异常有关。然而,早期滋养层细胞对SARS-CoV-2的易感性以及感染对滋养层细胞功能的潜在影响尚不清楚。在这项研究中,我们评估了妊娠早期滋养细胞对SARS-CoV-2感染的容性及其对滋养细胞融合的影响。为了解决这个问题,我们从妊娠早期的人胎盘中分离出原代细胞滋养细胞(CTB)细胞,并使其在体外分化为STB。这些细胞感染了相关的SARS-CoV-2变体,包括Delta和Omicron (BA.1, BA.2, BA.5)。采用RT-qPCR和免疫荧光技术评估病毒复制,同时采用RT-qPCR检测宿主细胞反应,包括病毒进入受体和先天免疫基因的表达。通过染色和计算融合指数来评估滋养细胞的融合。同时,通过免疫组织化学分析了感染sars - cov -2的孕妇的胎盘组织,以量化体内合胞结(SK)的形成。我们的研究结果表明,妊娠早期的CTB和STB都以变体和供体依赖的方式允许SARS-CoV-2感染,与Omicron变体相比,Delta表现出更高的复制效率。在STB中,病毒复制与诱导进入受体或III型干扰素反应无关。然而,在CTB中,病毒复制与增强的细胞融合显著相关。同时,与来自同一胎盘的未感染区域和胎龄匹配的对照组相比,在体内感染的胎盘区域中观察到SK的数量增加。总之,这些体外和体内结果表明,妊娠早期感染SARS-CoV-2可能会改变STB的转化,可能导致胎盘功能障碍和不良妊娠结局。
本文章由计算机程序翻译,如有差异,请以英文原文为准。

SARS-CoV-2 delta and omicron variants alter trophoblast cell fusion and syncytiotrophoblast dynamics: new insights into placental vulnerability.

SARS-CoV-2 delta and omicron variants alter trophoblast cell fusion and syncytiotrophoblast dynamics: new insights into placental vulnerability.

SARS-CoV-2 delta and omicron variants alter trophoblast cell fusion and syncytiotrophoblast dynamics: new insights into placental vulnerability.

SARS-CoV-2 delta and omicron variants alter trophoblast cell fusion and syncytiotrophoblast dynamics: new insights into placental vulnerability.

Pregnancy is associated with an increased risk of severe COVID-19. In addition, SARS-CoV-2 infection during gestation has been linked to adverse obstetrical outcomes and placental abnormalities. Nevertheless, the susceptibility of early trophoblast cells to SARS-CoV-2 and the potential consequences of infection on trophoblast function remain unclear. In this study, we assessed the permissiveness of first trimester trophoblast cells to SARS-CoV-2 infection and its impact on trophoblast cells fusion. To address this, we isolated primary cytotrophoblast (CTB) cells from first trimester human placentas and allow their differentiation into STB in vitro. These cells were infected with SARS-CoV-2 variants of concern, including Delta and Omicron (BA.1, BA.2, BA.5). Viral replication was assessed by RT-qPCR and immunofluorescence, while host cell responses, including expression of viral entry receptors and innate immunity genes, were measured by RT-qPCR. Trophoblast fusion was evaluated by staining and calculating the fusion index. In parallel, placental tissues from SARS-CoV-2-infected pregnancies were analyzed by immunohistochemistry to quantify syncytial knots (SK) formation in vivo. Our results demonstrate that both first trimester CTB and STB are permissive to SARS-CoV-2 infection in a variant- and donor-dependent manners, with Delta exhibiting higher replication efficiency compared to Omicron variants. In STB, viral replication did not correlate with the induction of entry receptors or type III interferon responses. However, in CTB, viral replication was significantly associated with enhanced cell fusion. In parallel, an increased number of SK was observed in infected placental areas in vivo compared to non-infected regions from the same placenta and to gestational age-matched controls. Altogether, these in vitro and in vivo results suggest that SARS-CoV-2 infection in early pregnancy may alter STB turnover, potentially contributing to placental dysfunction and adverse pregnancy outcomes.

求助全文
通过发布文献求助,成功后即可免费获取论文全文。 去求助
来源期刊
Cell Death & Disease
Cell Death & Disease CELL BIOLOGY-
CiteScore
15.10
自引率
2.20%
发文量
935
审稿时长
2 months
期刊介绍: Brought to readers by the editorial team of Cell Death & Differentiation, Cell Death & Disease is an online peer-reviewed journal specializing in translational cell death research. It covers a wide range of topics in experimental and internal medicine, including cancer, immunity, neuroscience, and now cancer metabolism. Cell Death & Disease seeks to encompass the breadth of translational implications of cell death, and topics of particular concentration will include, but are not limited to, the following: Experimental medicine Cancer Immunity Internal medicine Neuroscience Cancer metabolism
×
引用
GB/T 7714-2015
复制
MLA
复制
APA
复制
导出至
BibTeX EndNote RefMan NoteFirst NoteExpress
×
提示
您的信息不完整,为了账户安全,请先补充。
现在去补充
×
提示
您因"违规操作"
具体请查看互助需知
我知道了
×
提示
确定
请完成安全验证×
copy
已复制链接
快去分享给好友吧!
我知道了
右上角分享
点击右上角分享
0
联系我们:info@booksci.cn Book学术提供免费学术资源搜索服务,方便国内外学者检索中英文文献。致力于提供最便捷和优质的服务体验。 Copyright © 2023 布克学术 All rights reserved.
京ICP备2023020795号-1
ghs 京公网安备 11010802042870号
Book学术文献互助
Book学术文献互助群
群 号:604180095
Book学术官方微信