整合蛋白质组学分析和机器学习预测前列腺癌侵袭性。

IF 0.9 Q4 MATHEMATICS, INTERDISCIPLINARY APPLICATIONS
Stats Pub Date : 2024-09-01 Epub Date: 2024-08-21 DOI:10.3390/stats7030053
Sheila M Valle Cortés, Jaileene Pérez Morales, Mariely Nieves Plaza, Darielys Maldonado, Swizel M Tevenal Baez, Marc A Negrón Blas, Cayetana Lazcano Etchebarne, José Feliciano, Gilberto Ruiz Deyá, Juan C Santa Rosario, Pedro Santiago Cardona
{"title":"整合蛋白质组学分析和机器学习预测前列腺癌侵袭性。","authors":"Sheila M Valle Cortés, Jaileene Pérez Morales, Mariely Nieves Plaza, Darielys Maldonado, Swizel M Tevenal Baez, Marc A Negrón Blas, Cayetana Lazcano Etchebarne, José Feliciano, Gilberto Ruiz Deyá, Juan C Santa Rosario, Pedro Santiago Cardona","doi":"10.3390/stats7030053","DOIUrl":null,"url":null,"abstract":"<p><p>Prostate cancer (PCa) poses a significant challenge because of the difficulty in identifying aggressive tumors, leading to overtreatment and missed personalized therapies. Although only 8% of cases progress beyond the prostate, the accurate prediction of aggressiveness remains crucial. Thus, this study focused on studying retinoblastoma phosphorylated at Serine 249 (Phospho-Rb S249), N-cadherin, β-catenin, and E-cadherin as biomarkers for identifying aggressive PCa using a logistic regression model and a classification and regression tree (CART). Using immunohistochemistry (IHC), we targeted the expression of these biomarkers in PCa tissues and correlated their expression with clinicopathological data of the tumor. The results showed a negative correlation between E-cadherin and β-catenin with aggressive tumor behavior, whereas Phospho-Rb S249 and N-cadherin positively correlated with increased tumor aggressiveness. Furthermore, patients were stratified based on Gleason scores and E-cadherin staining patterns to evaluate their capability for early identification of aggressive PCa. Our findings suggest that the classification tree is the most effective method for measuring the utility of these biomarkers in clinical practice, incorporating β-catenin, tumor grade, and Gleason grade as relevant determinants for identifying patients with Gleason scores ≥ 4 + 3. This study could potentially benefit patients with aggressive PCa by enabling early disease detection and closer monitoring.</p>","PeriodicalId":93142,"journal":{"name":"Stats","volume":"7 3","pages":"875-893"},"PeriodicalIF":0.9000,"publicationDate":"2024-09-01","publicationTypes":"Journal Article","fieldsOfStudy":null,"isOpenAccess":false,"openAccessPdf":"https://www.ncbi.nlm.nih.gov/pmc/articles/PMC12494234/pdf/","citationCount":"0","resultStr":"{\"title\":\"Integrating Proteomic Analysis and Machine Learning to Predict Prostate Cancer Aggressiveness.\",\"authors\":\"Sheila M Valle Cortés, Jaileene Pérez Morales, Mariely Nieves Plaza, Darielys Maldonado, Swizel M Tevenal Baez, Marc A Negrón Blas, Cayetana Lazcano Etchebarne, José Feliciano, Gilberto Ruiz Deyá, Juan C Santa Rosario, Pedro Santiago Cardona\",\"doi\":\"10.3390/stats7030053\",\"DOIUrl\":null,\"url\":null,\"abstract\":\"<p><p>Prostate cancer (PCa) poses a significant challenge because of the difficulty in identifying aggressive tumors, leading to overtreatment and missed personalized therapies. Although only 8% of cases progress beyond the prostate, the accurate prediction of aggressiveness remains crucial. Thus, this study focused on studying retinoblastoma phosphorylated at Serine 249 (Phospho-Rb S249), N-cadherin, β-catenin, and E-cadherin as biomarkers for identifying aggressive PCa using a logistic regression model and a classification and regression tree (CART). Using immunohistochemistry (IHC), we targeted the expression of these biomarkers in PCa tissues and correlated their expression with clinicopathological data of the tumor. The results showed a negative correlation between E-cadherin and β-catenin with aggressive tumor behavior, whereas Phospho-Rb S249 and N-cadherin positively correlated with increased tumor aggressiveness. Furthermore, patients were stratified based on Gleason scores and E-cadherin staining patterns to evaluate their capability for early identification of aggressive PCa. Our findings suggest that the classification tree is the most effective method for measuring the utility of these biomarkers in clinical practice, incorporating β-catenin, tumor grade, and Gleason grade as relevant determinants for identifying patients with Gleason scores ≥ 4 + 3. This study could potentially benefit patients with aggressive PCa by enabling early disease detection and closer monitoring.</p>\",\"PeriodicalId\":93142,\"journal\":{\"name\":\"Stats\",\"volume\":\"7 3\",\"pages\":\"875-893\"},\"PeriodicalIF\":0.9000,\"publicationDate\":\"2024-09-01\",\"publicationTypes\":\"Journal Article\",\"fieldsOfStudy\":null,\"isOpenAccess\":false,\"openAccessPdf\":\"https://www.ncbi.nlm.nih.gov/pmc/articles/PMC12494234/pdf/\",\"citationCount\":\"0\",\"resultStr\":null,\"platform\":\"Semanticscholar\",\"paperid\":null,\"PeriodicalName\":\"Stats\",\"FirstCategoryId\":\"1085\",\"ListUrlMain\":\"https://doi.org/10.3390/stats7030053\",\"RegionNum\":0,\"RegionCategory\":null,\"ArticlePicture\":[],\"TitleCN\":null,\"AbstractTextCN\":null,\"PMCID\":null,\"EPubDate\":\"2024/8/21 0:00:00\",\"PubModel\":\"Epub\",\"JCR\":\"Q4\",\"JCRName\":\"MATHEMATICS, INTERDISCIPLINARY APPLICATIONS\",\"Score\":null,\"Total\":0}","platform":"Semanticscholar","paperid":null,"PeriodicalName":"Stats","FirstCategoryId":"1085","ListUrlMain":"https://doi.org/10.3390/stats7030053","RegionNum":0,"RegionCategory":null,"ArticlePicture":[],"TitleCN":null,"AbstractTextCN":null,"PMCID":null,"EPubDate":"2024/8/21 0:00:00","PubModel":"Epub","JCR":"Q4","JCRName":"MATHEMATICS, INTERDISCIPLINARY APPLICATIONS","Score":null,"Total":0}
引用次数: 0

摘要

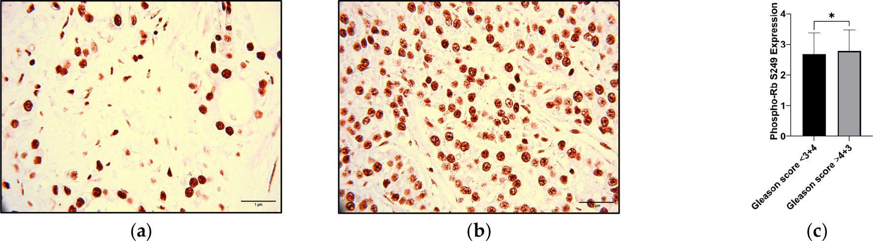
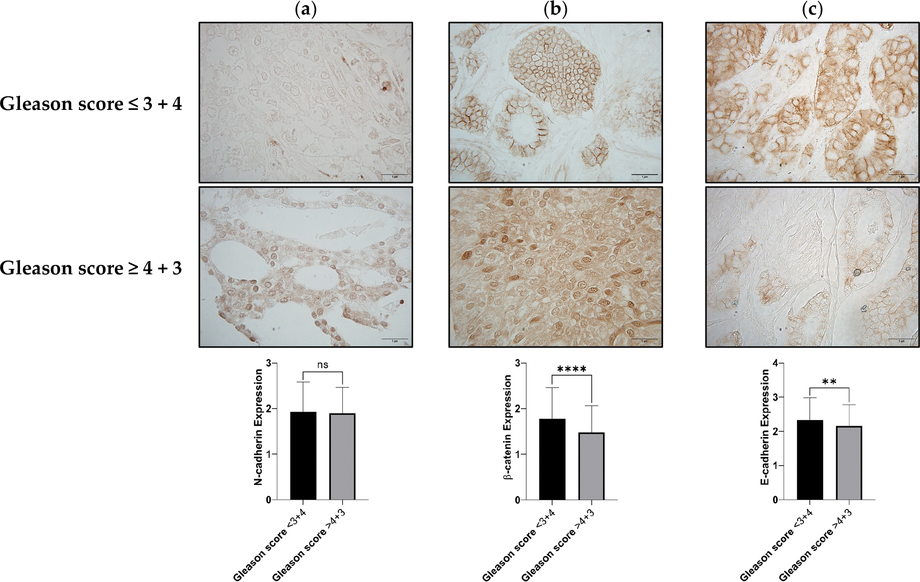
前列腺癌(PCa)面临着巨大的挑战,因为难以识别侵袭性肿瘤,导致过度治疗和错过个性化治疗。虽然只有8%的病例进展到前列腺以外,但对侵袭性的准确预测仍然至关重要。因此,本研究采用logistic回归模型和分类回归树(CART)研究了丝氨酸249 (Phospho-Rb S249)、N-cadherin、β-catenin和E-cadherin磷酸化的视网膜母细胞瘤作为识别侵袭性PCa的生物标志物。利用免疫组织化学(IHC),我们定位了这些生物标志物在PCa组织中的表达,并将它们的表达与肿瘤的临床病理数据联系起来。结果显示,E-cadherin和β-catenin与肿瘤侵袭性行为呈负相关,而Phospho-Rb S249和N-cadherin与肿瘤侵袭性增加呈正相关。此外,根据Gleason评分和E-cadherin染色模式对患者进行分层,以评估其早期识别侵袭性前列腺癌的能力。我们的研究结果表明,分类树是衡量这些生物标志物在临床实践中的效用的最有效方法,将β-catenin、肿瘤分级和Gleason分级作为识别Gleason评分≥4 + 3的患者的相关决定因素。这项研究可以通过早期疾病检测和更密切的监测,使侵袭性前列腺癌患者受益。
本文章由计算机程序翻译,如有差异,请以英文原文为准。

Integrating Proteomic Analysis and Machine Learning to Predict Prostate Cancer Aggressiveness.

Integrating Proteomic Analysis and Machine Learning to Predict Prostate Cancer Aggressiveness.

Integrating Proteomic Analysis and Machine Learning to Predict Prostate Cancer Aggressiveness.

Integrating Proteomic Analysis and Machine Learning to Predict Prostate Cancer Aggressiveness.

Prostate cancer (PCa) poses a significant challenge because of the difficulty in identifying aggressive tumors, leading to overtreatment and missed personalized therapies. Although only 8% of cases progress beyond the prostate, the accurate prediction of aggressiveness remains crucial. Thus, this study focused on studying retinoblastoma phosphorylated at Serine 249 (Phospho-Rb S249), N-cadherin, β-catenin, and E-cadherin as biomarkers for identifying aggressive PCa using a logistic regression model and a classification and regression tree (CART). Using immunohistochemistry (IHC), we targeted the expression of these biomarkers in PCa tissues and correlated their expression with clinicopathological data of the tumor. The results showed a negative correlation between E-cadherin and β-catenin with aggressive tumor behavior, whereas Phospho-Rb S249 and N-cadherin positively correlated with increased tumor aggressiveness. Furthermore, patients were stratified based on Gleason scores and E-cadherin staining patterns to evaluate their capability for early identification of aggressive PCa. Our findings suggest that the classification tree is the most effective method for measuring the utility of these biomarkers in clinical practice, incorporating β-catenin, tumor grade, and Gleason grade as relevant determinants for identifying patients with Gleason scores ≥ 4 + 3. This study could potentially benefit patients with aggressive PCa by enabling early disease detection and closer monitoring.

求助全文
通过发布文献求助,成功后即可免费获取论文全文。 去求助
来源期刊
CiteScore
0.60
自引率
0.00%
发文量
0
审稿时长
7 weeks
×
引用
GB/T 7714-2015
复制
MLA
复制
APA
复制
导出至
BibTeX EndNote RefMan NoteFirst NoteExpress
×
提示
您的信息不完整,为了账户安全,请先补充。
现在去补充
×
提示
您因"违规操作"
具体请查看互助需知
我知道了
×
提示
确定
请完成安全验证×
copy
已复制链接
快去分享给好友吧!
我知道了
右上角分享
点击右上角分享
0
联系我们:info@booksci.cn Book学术提供免费学术资源搜索服务,方便国内外学者检索中英文文献。致力于提供最便捷和优质的服务体验。 Copyright © 2023 布克学术 All rights reserved.
京ICP备2023020795号-1
ghs 京公网安备 11010802042870号
Book学术文献互助
Book学术文献互助群
群 号:604180095
Book学术官方微信