基于深度学习的腮腺癌术后近距离放疗靶体积自动分割模型。

IF 1.1 4区 医学 Q4 ONCOLOGY
Journal of Contemporary Brachytherapy Pub Date : 2025-08-01 Epub Date: 2025-08-28 DOI:10.5114/jcb.2025.153913
Zhen-Yu Li, Jing-Hua Yue, Wen-Jie Wu, Bo Liu, Jie Zhang
{"title":"基于深度学习的腮腺癌术后近距离放疗靶体积自动分割模型。","authors":"Zhen-Yu Li, Jing-Hua Yue, Wen-Jie Wu, Bo Liu, Jie Zhang","doi":"10.5114/jcb.2025.153913","DOIUrl":null,"url":null,"abstract":"<p><strong>Purpose: </strong>Timely and accurate delineation of the clinical target volume (CTV) in brachytherapy after parotid cancer surgery plays a crucial role in tailored delivery of radiation doses. This study aimed to develop and evaluate a deep learning-based model for auto-segmentation of the CTVs in postoperative adjuvant brachytherapy for patients with parotid gland cancer, addressing the challenge of achieving consistent, high-quality CTV delineations efficiently.</p><p><strong>Material and methods: </strong>Using clinical imaging data from 326 patients with parotid gland carcinoma treated at Peking University School and Hospital of Stomatology between 2017 and 2023, we established a training dataset of 213 cases, a validation set of 53 cases, and a test set of 60 cases. The CTVs on the images were segmented using 3D Res-UNet, a deep learning model, and compared against manual delineations performed by experienced radiation oncologists. The performance of 3D Res-UNet was optimized through a comprehensive preprocessing and training process tailored to the dataset's characteristics.</p><p><strong>Results: </strong>The deep learning model yielded a significant improvement in segmentation efficiency. The deep learning model generated initial CTV contours in 9.4 seconds of computational time. Subsequent expert review and minor adjustments required an average of 11.9 minutes, substantially shorter than the 46.7 minutes needed for fully manual delineation. Quantitative analysis showed that the Dice similarity coefficient (DSC) of automatic segmentation by 3D Res-UNet was 0.709, which improved to 0.924 after expert review. Qualitative evaluation by senior oncologists further affirmed the clinical acceptability of the automatically segmented CTVs.</p><p><strong>Conclusions: </strong>Automatic contouring with physician review enabled high-accuracy and rapid CTV generation, reducing the overall delineation workload by more than 30 minutes. Consequently, the proposed deep-learning model functions as a useful support tool that streamlines postoperative adjuvant brachytherapy planning for parotid gland cancer and lessens the burden on radiation oncologists, thereby contributing to improved patient care.</p>","PeriodicalId":51305,"journal":{"name":"Journal of Contemporary Brachytherapy","volume":"17 4","pages":"232-241"},"PeriodicalIF":1.1000,"publicationDate":"2025-08-01","publicationTypes":"Journal Article","fieldsOfStudy":null,"isOpenAccess":false,"openAccessPdf":"https://www.ncbi.nlm.nih.gov/pmc/articles/PMC12489543/pdf/","citationCount":"0","resultStr":"{\"title\":\"Deep learning-based auto-segmentation model for clinical target volume delineation in brachytherapy after parotid cancer surgery.\",\"authors\":\"Zhen-Yu Li, Jing-Hua Yue, Wen-Jie Wu, Bo Liu, Jie Zhang\",\"doi\":\"10.5114/jcb.2025.153913\",\"DOIUrl\":null,\"url\":null,\"abstract\":\"<p><strong>Purpose: </strong>Timely and accurate delineation of the clinical target volume (CTV) in brachytherapy after parotid cancer surgery plays a crucial role in tailored delivery of radiation doses. This study aimed to develop and evaluate a deep learning-based model for auto-segmentation of the CTVs in postoperative adjuvant brachytherapy for patients with parotid gland cancer, addressing the challenge of achieving consistent, high-quality CTV delineations efficiently.</p><p><strong>Material and methods: </strong>Using clinical imaging data from 326 patients with parotid gland carcinoma treated at Peking University School and Hospital of Stomatology between 2017 and 2023, we established a training dataset of 213 cases, a validation set of 53 cases, and a test set of 60 cases. The CTVs on the images were segmented using 3D Res-UNet, a deep learning model, and compared against manual delineations performed by experienced radiation oncologists. The performance of 3D Res-UNet was optimized through a comprehensive preprocessing and training process tailored to the dataset's characteristics.</p><p><strong>Results: </strong>The deep learning model yielded a significant improvement in segmentation efficiency. The deep learning model generated initial CTV contours in 9.4 seconds of computational time. Subsequent expert review and minor adjustments required an average of 11.9 minutes, substantially shorter than the 46.7 minutes needed for fully manual delineation. Quantitative analysis showed that the Dice similarity coefficient (DSC) of automatic segmentation by 3D Res-UNet was 0.709, which improved to 0.924 after expert review. Qualitative evaluation by senior oncologists further affirmed the clinical acceptability of the automatically segmented CTVs.</p><p><strong>Conclusions: </strong>Automatic contouring with physician review enabled high-accuracy and rapid CTV generation, reducing the overall delineation workload by more than 30 minutes. Consequently, the proposed deep-learning model functions as a useful support tool that streamlines postoperative adjuvant brachytherapy planning for parotid gland cancer and lessens the burden on radiation oncologists, thereby contributing to improved patient care.</p>\",\"PeriodicalId\":51305,\"journal\":{\"name\":\"Journal of Contemporary Brachytherapy\",\"volume\":\"17 4\",\"pages\":\"232-241\"},\"PeriodicalIF\":1.1000,\"publicationDate\":\"2025-08-01\",\"publicationTypes\":\"Journal Article\",\"fieldsOfStudy\":null,\"isOpenAccess\":false,\"openAccessPdf\":\"https://www.ncbi.nlm.nih.gov/pmc/articles/PMC12489543/pdf/\",\"citationCount\":\"0\",\"resultStr\":null,\"platform\":\"Semanticscholar\",\"paperid\":null,\"PeriodicalName\":\"Journal of Contemporary Brachytherapy\",\"FirstCategoryId\":\"3\",\"ListUrlMain\":\"https://doi.org/10.5114/jcb.2025.153913\",\"RegionNum\":4,\"RegionCategory\":\"医学\",\"ArticlePicture\":[],\"TitleCN\":null,\"AbstractTextCN\":null,\"PMCID\":null,\"EPubDate\":\"2025/8/28 0:00:00\",\"PubModel\":\"Epub\",\"JCR\":\"Q4\",\"JCRName\":\"ONCOLOGY\",\"Score\":null,\"Total\":0}","platform":"Semanticscholar","paperid":null,"PeriodicalName":"Journal of Contemporary Brachytherapy","FirstCategoryId":"3","ListUrlMain":"https://doi.org/10.5114/jcb.2025.153913","RegionNum":4,"RegionCategory":"医学","ArticlePicture":[],"TitleCN":null,"AbstractTextCN":null,"PMCID":null,"EPubDate":"2025/8/28 0:00:00","PubModel":"Epub","JCR":"Q4","JCRName":"ONCOLOGY","Score":null,"Total":0}
引用次数: 0

摘要

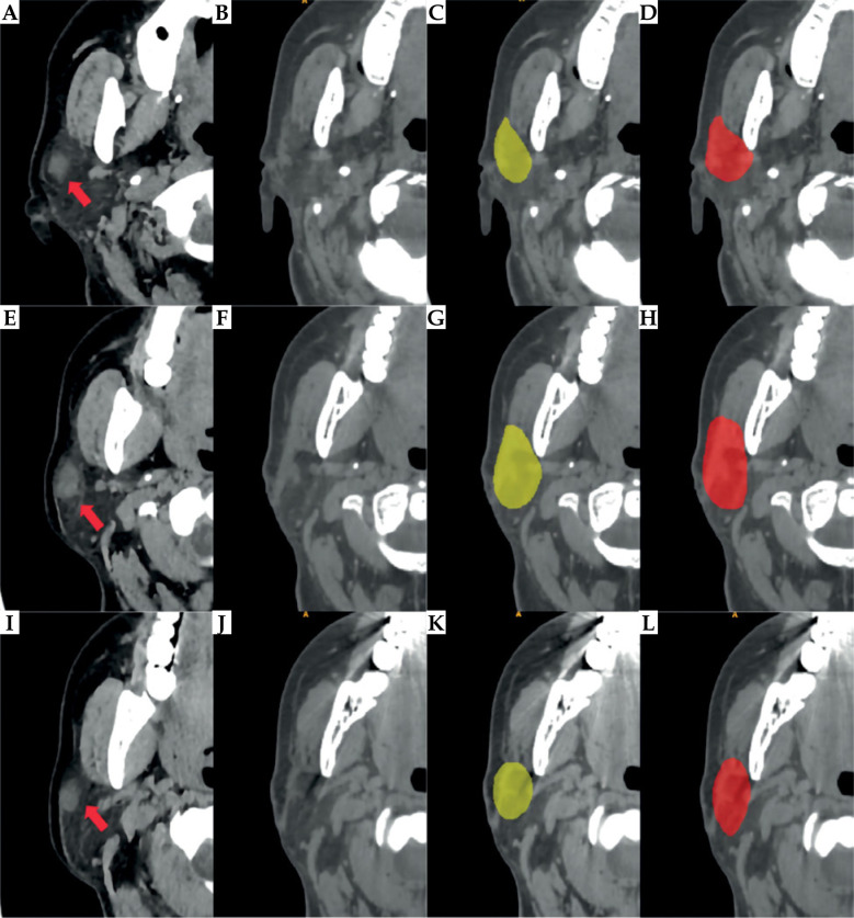
目的:在腮腺癌手术后近距离放疗中,及时准确地确定临床靶体积(CTV)对放疗剂量的精准施放起着至关重要的作用。本研究旨在开发和评估一种基于深度学习的模型,用于腮腺癌患者术后辅助近距离放疗中CTV的自动分割,以解决有效实现一致、高质量CTV描绘的挑战。材料与方法:利用2017 - 2023年北京大学口腔医学院附属医院治疗的326例腮腺癌患者的临床影像资料,建立了213例腮腺癌的训练数据集、53例腮腺癌的验证数据集和60例腮腺癌的测试数据集。使用3D Res-UNet(一种深度学习模型)对图像上的ctv进行分割,并与经验丰富的放射肿瘤学家进行的手动描绘进行比较。3D Res-UNet的性能通过针对数据集特征的综合预处理和训练过程进行优化。结果:深度学习模型显著提高了分割效率。深度学习模型在9.4秒的计算时间内生成了初始CTV轮廓。随后的专家审查和小调整平均需要11.9分钟,大大缩短了完全手动描述所需的46.7分钟。定量分析表明,3D Res-UNet自动分割的Dice相似系数(DSC)为0.709,经专家评审后提高到0.924。资深肿瘤学家的定性评价进一步肯定了自动分割ctv的临床可接受性。结论:在医生审查下的自动轮廓能够实现高精度和快速的CTV生成,减少了超过30分钟的总体描绘工作量。因此,所提出的深度学习模型作为一种有用的支持工具,简化了腮腺癌术后辅助近距离放疗计划,减轻了放射肿瘤学家的负担,从而有助于改善患者护理。
本文章由计算机程序翻译,如有差异,请以英文原文为准。

Deep learning-based auto-segmentation model for clinical target volume delineation in brachytherapy after parotid cancer surgery.

Deep learning-based auto-segmentation model for clinical target volume delineation in brachytherapy after parotid cancer surgery.

Deep learning-based auto-segmentation model for clinical target volume delineation in brachytherapy after parotid cancer surgery.

Deep learning-based auto-segmentation model for clinical target volume delineation in brachytherapy after parotid cancer surgery.

Purpose: Timely and accurate delineation of the clinical target volume (CTV) in brachytherapy after parotid cancer surgery plays a crucial role in tailored delivery of radiation doses. This study aimed to develop and evaluate a deep learning-based model for auto-segmentation of the CTVs in postoperative adjuvant brachytherapy for patients with parotid gland cancer, addressing the challenge of achieving consistent, high-quality CTV delineations efficiently.

Material and methods: Using clinical imaging data from 326 patients with parotid gland carcinoma treated at Peking University School and Hospital of Stomatology between 2017 and 2023, we established a training dataset of 213 cases, a validation set of 53 cases, and a test set of 60 cases. The CTVs on the images were segmented using 3D Res-UNet, a deep learning model, and compared against manual delineations performed by experienced radiation oncologists. The performance of 3D Res-UNet was optimized through a comprehensive preprocessing and training process tailored to the dataset's characteristics.

Results: The deep learning model yielded a significant improvement in segmentation efficiency. The deep learning model generated initial CTV contours in 9.4 seconds of computational time. Subsequent expert review and minor adjustments required an average of 11.9 minutes, substantially shorter than the 46.7 minutes needed for fully manual delineation. Quantitative analysis showed that the Dice similarity coefficient (DSC) of automatic segmentation by 3D Res-UNet was 0.709, which improved to 0.924 after expert review. Qualitative evaluation by senior oncologists further affirmed the clinical acceptability of the automatically segmented CTVs.

Conclusions: Automatic contouring with physician review enabled high-accuracy and rapid CTV generation, reducing the overall delineation workload by more than 30 minutes. Consequently, the proposed deep-learning model functions as a useful support tool that streamlines postoperative adjuvant brachytherapy planning for parotid gland cancer and lessens the burden on radiation oncologists, thereby contributing to improved patient care.

求助全文
通过发布文献求助,成功后即可免费获取论文全文。 去求助
来源期刊
Journal of Contemporary Brachytherapy
Journal of Contemporary Brachytherapy ONCOLOGY-RADIOLOGY, NUCLEAR MEDICINE & MEDICAL IMAGING
CiteScore
2.40
自引率
14.30%
发文量
54
审稿时长
16 weeks
期刊介绍: The “Journal of Contemporary Brachytherapy” is an international and multidisciplinary journal that will publish papers of original research as well as reviews of articles. Main subjects of the journal include: clinical brachytherapy, combined modality treatment, advances in radiobiology, hyperthermia and tumour biology, as well as physical aspects relevant to brachytherapy, particularly in the field of imaging, dosimetry and radiation therapy planning. Original contributions will include experimental studies of combined modality treatment, tumor sensitization and normal tissue protection, molecular radiation biology, and clinical investigations of cancer treatment in brachytherapy. Another field of interest will be the educational part of the journal.
×
引用
GB/T 7714-2015
复制
MLA
复制
APA
复制
导出至
BibTeX EndNote RefMan NoteFirst NoteExpress
×
提示
您的信息不完整,为了账户安全,请先补充。
现在去补充
×
提示
您因"违规操作"
具体请查看互助需知
我知道了
×
提示
确定
请完成安全验证×
copy
已复制链接
快去分享给好友吧!
我知道了
右上角分享
点击右上角分享
0
联系我们:info@booksci.cn Book学术提供免费学术资源搜索服务,方便国内外学者检索中英文文献。致力于提供最便捷和优质的服务体验。 Copyright © 2023 布克学术 All rights reserved.
京ICP备2023020795号-1
ghs 京公网安备 11010802042870号
Book学术文献互助
Book学术文献互助群
群 号:604180095
Book学术官方微信