双‘A’型伴矿化皮质激素缺乏:Allgrove综合征的罕见表现。

IF 1.2 Q4 ENDOCRINOLOGY & METABOLISM
Clinical Pediatric Endocrinology Pub Date : 2025-10-01 Epub Date: 2025-07-17 DOI:10.1297/cpe.2025-0015
Arindam Ghosh, Saba Annigeri, Chakita Singh, Sunil Kumar Hemram
{"title":"双‘A’型伴矿化皮质激素缺乏:Allgrove综合征的罕见表现。","authors":"Arindam Ghosh, Saba Annigeri, Chakita Singh, Sunil Kumar Hemram","doi":"10.1297/cpe.2025-0015","DOIUrl":null,"url":null,"abstract":"<p><p>Allgrove syndrome (AS), an uncommon multisystem disorder, is characterized by the classic clinical triad of alacrimia, achalasia, and adrenal insufficiency, and is typically limited to glucocorticoid deficiency with preserved mineralocorticoid (MC) function. Here, we present the case of a 5-yr-old girl with alacrimia since birth, failure to thrive, and generalized hyperpigmentation for the past two years, who presented to the emergency department with an altered sensorium. Upon admission, the patient was found to have hypoglycemia and hyponatremia. After subsequent evaluation, the patient was diagnosed with phenotypically incomplete AS with mineralocorticoid insufficiency and harbored a novel homozygous mutation in exon 7 of the <i>AAAS</i> gene (c.618del; p.Ser207LeufsTer84). Treatment with hydrocortisone and fludrocortisone yielded remarkable outcomes. Given the variable presentations of this condition, a high index of clinical suspicion and awareness of atypical features are essential for early diagnosis and initiation of coordinated care to prevent unnecessary morbidity and mortality. When AS is suspected, molecular genetic testing should be performed to confirm the diagnosis, plan management, and provide genetic counseling.</p>","PeriodicalId":10678,"journal":{"name":"Clinical Pediatric Endocrinology","volume":"34 4","pages":"254-259"},"PeriodicalIF":1.2000,"publicationDate":"2025-10-01","publicationTypes":"Journal Article","fieldsOfStudy":null,"isOpenAccess":false,"openAccessPdf":"https://www.ncbi.nlm.nih.gov/pmc/articles/PMC12494399/pdf/","citationCount":"0","resultStr":"{\"title\":\"Double 'A' phenotypes with mineralocorticoid deficiency: A rare presentation of Allgrove syndrome.\",\"authors\":\"Arindam Ghosh, Saba Annigeri, Chakita Singh, Sunil Kumar Hemram\",\"doi\":\"10.1297/cpe.2025-0015\",\"DOIUrl\":null,\"url\":null,\"abstract\":\"<p><p>Allgrove syndrome (AS), an uncommon multisystem disorder, is characterized by the classic clinical triad of alacrimia, achalasia, and adrenal insufficiency, and is typically limited to glucocorticoid deficiency with preserved mineralocorticoid (MC) function. Here, we present the case of a 5-yr-old girl with alacrimia since birth, failure to thrive, and generalized hyperpigmentation for the past two years, who presented to the emergency department with an altered sensorium. Upon admission, the patient was found to have hypoglycemia and hyponatremia. After subsequent evaluation, the patient was diagnosed with phenotypically incomplete AS with mineralocorticoid insufficiency and harbored a novel homozygous mutation in exon 7 of the <i>AAAS</i> gene (c.618del; p.Ser207LeufsTer84). Treatment with hydrocortisone and fludrocortisone yielded remarkable outcomes. Given the variable presentations of this condition, a high index of clinical suspicion and awareness of atypical features are essential for early diagnosis and initiation of coordinated care to prevent unnecessary morbidity and mortality. When AS is suspected, molecular genetic testing should be performed to confirm the diagnosis, plan management, and provide genetic counseling.</p>\",\"PeriodicalId\":10678,\"journal\":{\"name\":\"Clinical Pediatric Endocrinology\",\"volume\":\"34 4\",\"pages\":\"254-259\"},\"PeriodicalIF\":1.2000,\"publicationDate\":\"2025-10-01\",\"publicationTypes\":\"Journal Article\",\"fieldsOfStudy\":null,\"isOpenAccess\":false,\"openAccessPdf\":\"https://www.ncbi.nlm.nih.gov/pmc/articles/PMC12494399/pdf/\",\"citationCount\":\"0\",\"resultStr\":null,\"platform\":\"Semanticscholar\",\"paperid\":null,\"PeriodicalName\":\"Clinical Pediatric Endocrinology\",\"FirstCategoryId\":\"1085\",\"ListUrlMain\":\"https://doi.org/10.1297/cpe.2025-0015\",\"RegionNum\":0,\"RegionCategory\":null,\"ArticlePicture\":[],\"TitleCN\":null,\"AbstractTextCN\":null,\"PMCID\":null,\"EPubDate\":\"2025/7/17 0:00:00\",\"PubModel\":\"Epub\",\"JCR\":\"Q4\",\"JCRName\":\"ENDOCRINOLOGY & METABOLISM\",\"Score\":null,\"Total\":0}","platform":"Semanticscholar","paperid":null,"PeriodicalName":"Clinical Pediatric Endocrinology","FirstCategoryId":"1085","ListUrlMain":"https://doi.org/10.1297/cpe.2025-0015","RegionNum":0,"RegionCategory":null,"ArticlePicture":[],"TitleCN":null,"AbstractTextCN":null,"PMCID":null,"EPubDate":"2025/7/17 0:00:00","PubModel":"Epub","JCR":"Q4","JCRName":"ENDOCRINOLOGY & METABOLISM","Score":null,"Total":0}
引用次数: 0

摘要

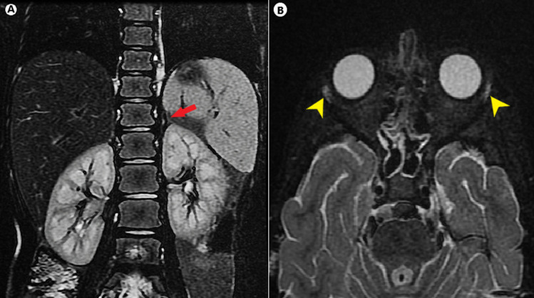
Allgrove综合征(AS)是一种罕见的多系统疾病,其特征是典型的alacrimia, achalasia和肾上腺功能不全的临床三联征,通常限于糖皮质激素缺乏并保留矿皮质激素(MC)功能。在这里,我们提出的情况下,5岁的女孩出生后,白斑,未能茁壮成长,并在过去的两年广泛性色素沉着,谁提出了一个改变的感觉急诊科。入院时发现患者有低血糖和低钠血症。经过随后的评估,患者被诊断为表型不完全性AS,伴有矿皮质激素不足,并在AAAS基因外显子7上携带一个新的纯合突变(c.618del; p.Ser207LeufsTer84)。氢化可的松和氟化可的松治疗效果显著。鉴于这种疾病的不同表现,临床怀疑的高指数和非典型特征的认识是必不可少的早期诊断和开始协调护理,以防止不必要的发病率和死亡率。当怀疑AS时,应进行分子基因检测,以确认诊断,计划管理,并提供遗传咨询。
本文章由计算机程序翻译,如有差异,请以英文原文为准。

Double 'A' phenotypes with mineralocorticoid deficiency: A rare presentation of Allgrove syndrome.

Double 'A' phenotypes with mineralocorticoid deficiency: A rare presentation of Allgrove syndrome.

Double 'A' phenotypes with mineralocorticoid deficiency: A rare presentation of Allgrove syndrome.

Double 'A' phenotypes with mineralocorticoid deficiency: A rare presentation of Allgrove syndrome.

Allgrove syndrome (AS), an uncommon multisystem disorder, is characterized by the classic clinical triad of alacrimia, achalasia, and adrenal insufficiency, and is typically limited to glucocorticoid deficiency with preserved mineralocorticoid (MC) function. Here, we present the case of a 5-yr-old girl with alacrimia since birth, failure to thrive, and generalized hyperpigmentation for the past two years, who presented to the emergency department with an altered sensorium. Upon admission, the patient was found to have hypoglycemia and hyponatremia. After subsequent evaluation, the patient was diagnosed with phenotypically incomplete AS with mineralocorticoid insufficiency and harbored a novel homozygous mutation in exon 7 of the AAAS gene (c.618del; p.Ser207LeufsTer84). Treatment with hydrocortisone and fludrocortisone yielded remarkable outcomes. Given the variable presentations of this condition, a high index of clinical suspicion and awareness of atypical features are essential for early diagnosis and initiation of coordinated care to prevent unnecessary morbidity and mortality. When AS is suspected, molecular genetic testing should be performed to confirm the diagnosis, plan management, and provide genetic counseling.

求助全文
通过发布文献求助,成功后即可免费获取论文全文。 去求助
来源期刊
Clinical Pediatric Endocrinology
Clinical Pediatric Endocrinology ENDOCRINOLOGY & METABOLISM-
CiteScore
2.40
自引率
7.10%
发文量
34
×
引用
GB/T 7714-2015
复制
MLA
复制
APA
复制
导出至
BibTeX EndNote RefMan NoteFirst NoteExpress
×
提示
您的信息不完整,为了账户安全,请先补充。
现在去补充
×
提示
您因"违规操作"
具体请查看互助需知
我知道了
×
提示
确定
请完成安全验证×
copy
已复制链接
快去分享给好友吧!
我知道了
右上角分享
点击右上角分享
0
联系我们:info@booksci.cn Book学术提供免费学术资源搜索服务,方便国内外学者检索中英文文献。致力于提供最便捷和优质的服务体验。 Copyright © 2023 布克学术 All rights reserved.
京ICP备2023020795号-1
ghs 京公网安备 11010802042870号
Book学术文献互助
Book学术文献互助群
群 号:604180095
Book学术官方微信