脑膜炎奈瑟菌所致孤立性动眼神经麻痹1例并文献复习。

IF 2 Q2 EMERGENCY MEDICINE
Sadia Zafar, Hessa Al Delail, Mahmoud Ghanaim
{"title":"脑膜炎奈瑟菌所致孤立性动眼神经麻痹1例并文献复习。","authors":"Sadia Zafar, Hessa Al Delail, Mahmoud Ghanaim","doi":"10.1186/s12245-025-00980-7","DOIUrl":null,"url":null,"abstract":"<p><p>Bacterial meningitis remains a significant cause of morbidity and mortality worldwide, despite advances in prevention and treatment. Prompt diagnosis and appropriate management are crucial for optimal patient outcomes. This case report describes a 22-year-old Bangladeshi male who presented to the emergency department with headache, neck pain, vomiting, and left eye ptosis, ultimately diagnosed with Neisseria meningitidis meningitis. This case highlights the rare but significant complication of oculomotor nerve palsy associated with this infection. We also present a literature review discussing the incidence, pathophysiology, and clinical implications of cranial nerve involvement in bacterial meningitis, focusing on N. meningitidis, and explore the diagnostic challenges posed by overlapping clinical presentations of bacterial and tuberculous meningitis, particularly in resource-limited settings.</p>","PeriodicalId":13967,"journal":{"name":"International Journal of Emergency Medicine","volume":"18 1","pages":"188"},"PeriodicalIF":2.0000,"publicationDate":"2025-10-02","publicationTypes":"Journal Article","fieldsOfStudy":null,"isOpenAccess":false,"openAccessPdf":"https://www.ncbi.nlm.nih.gov/pmc/articles/PMC12490151/pdf/","citationCount":"0","resultStr":"{\"title\":\"Isolated oculomotor nerve palsy in Neisseria meningitidis meningitis: a case report and literature review.\",\"authors\":\"Sadia Zafar, Hessa Al Delail, Mahmoud Ghanaim\",\"doi\":\"10.1186/s12245-025-00980-7\",\"DOIUrl\":null,\"url\":null,\"abstract\":\"<p><p>Bacterial meningitis remains a significant cause of morbidity and mortality worldwide, despite advances in prevention and treatment. Prompt diagnosis and appropriate management are crucial for optimal patient outcomes. This case report describes a 22-year-old Bangladeshi male who presented to the emergency department with headache, neck pain, vomiting, and left eye ptosis, ultimately diagnosed with Neisseria meningitidis meningitis. This case highlights the rare but significant complication of oculomotor nerve palsy associated with this infection. We also present a literature review discussing the incidence, pathophysiology, and clinical implications of cranial nerve involvement in bacterial meningitis, focusing on N. meningitidis, and explore the diagnostic challenges posed by overlapping clinical presentations of bacterial and tuberculous meningitis, particularly in resource-limited settings.</p>\",\"PeriodicalId\":13967,\"journal\":{\"name\":\"International Journal of Emergency Medicine\",\"volume\":\"18 1\",\"pages\":\"188\"},\"PeriodicalIF\":2.0000,\"publicationDate\":\"2025-10-02\",\"publicationTypes\":\"Journal Article\",\"fieldsOfStudy\":null,\"isOpenAccess\":false,\"openAccessPdf\":\"https://www.ncbi.nlm.nih.gov/pmc/articles/PMC12490151/pdf/\",\"citationCount\":\"0\",\"resultStr\":null,\"platform\":\"Semanticscholar\",\"paperid\":null,\"PeriodicalName\":\"International Journal of Emergency Medicine\",\"FirstCategoryId\":\"1085\",\"ListUrlMain\":\"https://doi.org/10.1186/s12245-025-00980-7\",\"RegionNum\":0,\"RegionCategory\":null,\"ArticlePicture\":[],\"TitleCN\":null,\"AbstractTextCN\":null,\"PMCID\":null,\"EPubDate\":\"\",\"PubModel\":\"\",\"JCR\":\"Q2\",\"JCRName\":\"EMERGENCY MEDICINE\",\"Score\":null,\"Total\":0}","platform":"Semanticscholar","paperid":null,"PeriodicalName":"International Journal of Emergency Medicine","FirstCategoryId":"1085","ListUrlMain":"https://doi.org/10.1186/s12245-025-00980-7","RegionNum":0,"RegionCategory":null,"ArticlePicture":[],"TitleCN":null,"AbstractTextCN":null,"PMCID":null,"EPubDate":"","PubModel":"","JCR":"Q2","JCRName":"EMERGENCY MEDICINE","Score":null,"Total":0}
引用次数: 0

摘要

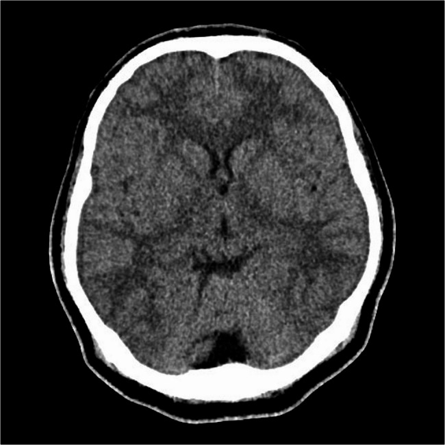
尽管在预防和治疗方面取得了进展,细菌性脑膜炎仍然是世界范围内发病率和死亡率的一个重要原因。及时诊断和适当的管理对患者的最佳预后至关重要。本病例报告描述了一名22岁的孟加拉国男性,因头痛、颈部疼痛、呕吐和左眼上睑下垂到急诊室就诊,最终被诊断为脑膜炎奈瑟菌脑膜炎。这个病例强调了罕见但重要的并发症动眼神经麻痹与这种感染有关。我们还发表了一篇文献综述,讨论了细菌性脑膜炎的发病率、病理生理学和脑神经受累的临床意义,重点是脑膜炎奈瑟菌,并探讨了细菌性脑膜炎和结核性脑膜炎重叠临床表现所带来的诊断挑战,特别是在资源有限的情况下。
本文章由计算机程序翻译,如有差异,请以英文原文为准。

Isolated oculomotor nerve palsy in Neisseria meningitidis meningitis: a case report and literature review.

Isolated oculomotor nerve palsy in Neisseria meningitidis meningitis: a case report and literature review.

Isolated oculomotor nerve palsy in Neisseria meningitidis meningitis: a case report and literature review.

Bacterial meningitis remains a significant cause of morbidity and mortality worldwide, despite advances in prevention and treatment. Prompt diagnosis and appropriate management are crucial for optimal patient outcomes. This case report describes a 22-year-old Bangladeshi male who presented to the emergency department with headache, neck pain, vomiting, and left eye ptosis, ultimately diagnosed with Neisseria meningitidis meningitis. This case highlights the rare but significant complication of oculomotor nerve palsy associated with this infection. We also present a literature review discussing the incidence, pathophysiology, and clinical implications of cranial nerve involvement in bacterial meningitis, focusing on N. meningitidis, and explore the diagnostic challenges posed by overlapping clinical presentations of bacterial and tuberculous meningitis, particularly in resource-limited settings.

求助全文
通过发布文献求助,成功后即可免费获取论文全文。 去求助
来源期刊
CiteScore
4.60
自引率
0.00%
发文量
63
审稿时长
13 weeks
期刊介绍: The aim of the journal is to bring to light the various clinical advancements and research developments attained over the world and thus help the specialty forge ahead. It is directed towards physicians and medical personnel undergoing training or working within the field of Emergency Medicine. Medical students who are interested in pursuing a career in Emergency Medicine will also benefit from the journal. This is particularly useful for trainees in countries where the specialty is still in its infancy. Disciplines covered will include interesting clinical cases, the latest evidence-based practice and research developments in Emergency medicine including emergency pediatrics.
×
引用
GB/T 7714-2015
复制
MLA
复制
APA
复制
导出至
BibTeX EndNote RefMan NoteFirst NoteExpress
×
提示
您的信息不完整,为了账户安全,请先补充。
现在去补充
×
提示
您因"违规操作"
具体请查看互助需知
我知道了
×
提示
确定
请完成安全验证×
copy
已复制链接
快去分享给好友吧!
我知道了
右上角分享
点击右上角分享
0
联系我们:info@booksci.cn Book学术提供免费学术资源搜索服务,方便国内外学者检索中英文文献。致力于提供最便捷和优质的服务体验。 Copyright © 2023 布克学术 All rights reserved.
京ICP备2023020795号-1
ghs 京公网安备 11010802042870号
Book学术文献互助
Book学术文献互助群
群 号:604180095
Book学术官方微信