创伤后尿道出血伴动脉海绵瘘,经导管栓塞治疗:附2例报告。

IF 1.5 Q3 CARDIAC & CARDIOVASCULAR SYSTEMS
Stijn De Bondt, Steven Joniau, Maarten Albersen, Geert Maleux
{"title":"创伤后尿道出血伴动脉海绵瘘,经导管栓塞治疗:附2例报告。","authors":"Stijn De Bondt, Steven Joniau, Maarten Albersen, Geert Maleux","doi":"10.1186/s42155-025-00593-4","DOIUrl":null,"url":null,"abstract":"<p><strong>Background: </strong>Urethral bleeding can be related to iatrogenic and non-iatrogenic trauma; selective internal iliac angiography may identify contrast extravasation with or without a pseudoaneurysm at the level of the distal internal pudendal or bulbourethral artery. Here, we describe another, yet unreported vascular lesion of the bulbourethral artery related to urethral injury.</p><p><strong>Case presentation: </strong>Two patients with a iatrogenic and non-iatrogenic urethral bleeding respectively are presented. Conservative management, including Foley catheter placement and endoscopic management were unsuccessful. Selective internal pudendal angiography revealed an arteriospongious fistula without clear contrast extravasation into the urethral lumen; super-selective embolization with microcoils and non-adhesive liquid embolics was safely performed and successfully stopped the bleeding. The postinterventional course was uneventful and both patients recovered without sequelae.</p><p><strong>Conclusions: </strong>Traumatic urethral bleeding might be related to an arteriospongious fistula which can be successfully managed with super-selective coil and liquid embolic embolization.</p>","PeriodicalId":52351,"journal":{"name":"CVIR Endovascular","volume":"8 1","pages":"77"},"PeriodicalIF":1.5000,"publicationDate":"2025-10-02","publicationTypes":"Journal Article","fieldsOfStudy":null,"isOpenAccess":false,"openAccessPdf":"https://www.ncbi.nlm.nih.gov/pmc/articles/PMC12491119/pdf/","citationCount":"0","resultStr":"{\"title\":\"Posttraumatic urethral hemorrhage associated with an arteriospongious fistula and managed with catheter-directed embolization: a report of 2 cases.\",\"authors\":\"Stijn De Bondt, Steven Joniau, Maarten Albersen, Geert Maleux\",\"doi\":\"10.1186/s42155-025-00593-4\",\"DOIUrl\":null,\"url\":null,\"abstract\":\"<p><strong>Background: </strong>Urethral bleeding can be related to iatrogenic and non-iatrogenic trauma; selective internal iliac angiography may identify contrast extravasation with or without a pseudoaneurysm at the level of the distal internal pudendal or bulbourethral artery. Here, we describe another, yet unreported vascular lesion of the bulbourethral artery related to urethral injury.</p><p><strong>Case presentation: </strong>Two patients with a iatrogenic and non-iatrogenic urethral bleeding respectively are presented. Conservative management, including Foley catheter placement and endoscopic management were unsuccessful. Selective internal pudendal angiography revealed an arteriospongious fistula without clear contrast extravasation into the urethral lumen; super-selective embolization with microcoils and non-adhesive liquid embolics was safely performed and successfully stopped the bleeding. The postinterventional course was uneventful and both patients recovered without sequelae.</p><p><strong>Conclusions: </strong>Traumatic urethral bleeding might be related to an arteriospongious fistula which can be successfully managed with super-selective coil and liquid embolic embolization.</p>\",\"PeriodicalId\":52351,\"journal\":{\"name\":\"CVIR Endovascular\",\"volume\":\"8 1\",\"pages\":\"77\"},\"PeriodicalIF\":1.5000,\"publicationDate\":\"2025-10-02\",\"publicationTypes\":\"Journal Article\",\"fieldsOfStudy\":null,\"isOpenAccess\":false,\"openAccessPdf\":\"https://www.ncbi.nlm.nih.gov/pmc/articles/PMC12491119/pdf/\",\"citationCount\":\"0\",\"resultStr\":null,\"platform\":\"Semanticscholar\",\"paperid\":null,\"PeriodicalName\":\"CVIR Endovascular\",\"FirstCategoryId\":\"1085\",\"ListUrlMain\":\"https://doi.org/10.1186/s42155-025-00593-4\",\"RegionNum\":0,\"RegionCategory\":null,\"ArticlePicture\":[],\"TitleCN\":null,\"AbstractTextCN\":null,\"PMCID\":null,\"EPubDate\":\"\",\"PubModel\":\"\",\"JCR\":\"Q3\",\"JCRName\":\"CARDIAC & CARDIOVASCULAR SYSTEMS\",\"Score\":null,\"Total\":0}","platform":"Semanticscholar","paperid":null,"PeriodicalName":"CVIR Endovascular","FirstCategoryId":"1085","ListUrlMain":"https://doi.org/10.1186/s42155-025-00593-4","RegionNum":0,"RegionCategory":null,"ArticlePicture":[],"TitleCN":null,"AbstractTextCN":null,"PMCID":null,"EPubDate":"","PubModel":"","JCR":"Q3","JCRName":"CARDIAC & CARDIOVASCULAR SYSTEMS","Score":null,"Total":0}
引用次数: 0

摘要

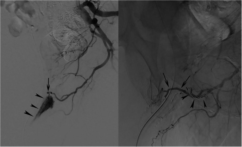
背景:尿道出血可能与医源性和非医源性创伤有关;选择性髂内血管造影可以鉴别在阴部内动脉或球尿道动脉远端水平有或没有假性动脉瘤的造影剂外渗。在这里,我们描述了另一个尚未报道的与尿道损伤有关的球尿道动脉血管病变。病例介绍:本文报告两例分别为医源性和非医源性尿道出血的患者。保守治疗包括Foley置管和内镜治疗均未成功。选择性阴部内血管造影显示一动海绵状瘘,未见造影剂明显外渗尿道腔;采用微线圈和非粘性液体栓塞进行超选择性栓塞,安全成功止血。介入后疗程顺利,两名患者均无后遗症。结论:外伤性尿道出血可能与动脉海绵瘘有关,可采用超选择性线圈和液体栓塞治疗。
本文章由计算机程序翻译,如有差异,请以英文原文为准。

Posttraumatic urethral hemorrhage associated with an arteriospongious fistula and managed with catheter-directed embolization: a report of 2 cases.

Posttraumatic urethral hemorrhage associated with an arteriospongious fistula and managed with catheter-directed embolization: a report of 2 cases.

Posttraumatic urethral hemorrhage associated with an arteriospongious fistula and managed with catheter-directed embolization: a report of 2 cases.

Posttraumatic urethral hemorrhage associated with an arteriospongious fistula and managed with catheter-directed embolization: a report of 2 cases.

Background: Urethral bleeding can be related to iatrogenic and non-iatrogenic trauma; selective internal iliac angiography may identify contrast extravasation with or without a pseudoaneurysm at the level of the distal internal pudendal or bulbourethral artery. Here, we describe another, yet unreported vascular lesion of the bulbourethral artery related to urethral injury.

Case presentation: Two patients with a iatrogenic and non-iatrogenic urethral bleeding respectively are presented. Conservative management, including Foley catheter placement and endoscopic management were unsuccessful. Selective internal pudendal angiography revealed an arteriospongious fistula without clear contrast extravasation into the urethral lumen; super-selective embolization with microcoils and non-adhesive liquid embolics was safely performed and successfully stopped the bleeding. The postinterventional course was uneventful and both patients recovered without sequelae.

Conclusions: Traumatic urethral bleeding might be related to an arteriospongious fistula which can be successfully managed with super-selective coil and liquid embolic embolization.

求助全文
通过发布文献求助,成功后即可免费获取论文全文。 去求助
来源期刊
CVIR Endovascular
CVIR Endovascular Medicine-Radiology, Nuclear Medicine and Imaging
CiteScore
2.30
自引率
0.00%
发文量
59
×
引用
GB/T 7714-2015
复制
MLA
复制
APA
复制
导出至
BibTeX EndNote RefMan NoteFirst NoteExpress
×
提示
您的信息不完整,为了账户安全,请先补充。
现在去补充
×
提示
您因"违规操作"
具体请查看互助需知
我知道了
×
提示
确定
请完成安全验证×
copy
已复制链接
快去分享给好友吧!
我知道了
右上角分享
点击右上角分享
0
联系我们:info@booksci.cn Book学术提供免费学术资源搜索服务,方便国内外学者检索中英文文献。致力于提供最便捷和优质的服务体验。 Copyright © 2023 布克学术 All rights reserved.
京ICP备2023020795号-1
ghs 京公网安备 11010802042870号
Book学术文献互助
Book学术文献互助群
群 号:604180095
Book学术官方微信