立体定向体放疗治疗肝细胞癌伴右心房肿瘤血栓的疗效和安全性:一项双中心回顾性评价。

IF 3.3 2区 医学 Q2 ONCOLOGY
Yongjie Shui, Jia Yang, Xianzhi Zhao, Yang Yang, Chunshan Yu, Dongjun Dai, Liang Chen, Haiyan Chen, Di Chen, Xia Li, Lihong Liu, Qiaoying Tian, Yinglu Guo, Huojun Zhang, Qichun Wei
{"title":"立体定向体放疗治疗肝细胞癌伴右心房肿瘤血栓的疗效和安全性:一项双中心回顾性评价。","authors":"Yongjie Shui, Jia Yang, Xianzhi Zhao, Yang Yang, Chunshan Yu, Dongjun Dai, Liang Chen, Haiyan Chen, Di Chen, Xia Li, Lihong Liu, Qiaoying Tian, Yinglu Guo, Huojun Zhang, Qichun Wei","doi":"10.1186/s13014-025-02698-5","DOIUrl":null,"url":null,"abstract":"","PeriodicalId":49639,"journal":{"name":"Radiation Oncology","volume":"20 1","pages":"146"},"PeriodicalIF":3.3000,"publicationDate":"2025-09-30","publicationTypes":"Journal Article","fieldsOfStudy":null,"isOpenAccess":false,"openAccessPdf":"https://www.ncbi.nlm.nih.gov/pmc/articles/PMC12487014/pdf/","citationCount":"0","resultStr":"{\"title\":\"Efficacy and safety of stereotactic body radiotherapy for hepatocellular carcinoma with tumor thrombus in right atrium: a two-center retrospective review.\",\"authors\":\"Yongjie Shui, Jia Yang, Xianzhi Zhao, Yang Yang, Chunshan Yu, Dongjun Dai, Liang Chen, Haiyan Chen, Di Chen, Xia Li, Lihong Liu, Qiaoying Tian, Yinglu Guo, Huojun Zhang, Qichun Wei\",\"doi\":\"10.1186/s13014-025-02698-5\",\"DOIUrl\":null,\"url\":null,\"abstract\":\"\",\"PeriodicalId\":49639,\"journal\":{\"name\":\"Radiation Oncology\",\"volume\":\"20 1\",\"pages\":\"146\"},\"PeriodicalIF\":3.3000,\"publicationDate\":\"2025-09-30\",\"publicationTypes\":\"Journal Article\",\"fieldsOfStudy\":null,\"isOpenAccess\":false,\"openAccessPdf\":\"https://www.ncbi.nlm.nih.gov/pmc/articles/PMC12487014/pdf/\",\"citationCount\":\"0\",\"resultStr\":null,\"platform\":\"Semanticscholar\",\"paperid\":null,\"PeriodicalName\":\"Radiation Oncology\",\"FirstCategoryId\":\"3\",\"ListUrlMain\":\"https://doi.org/10.1186/s13014-025-02698-5\",\"RegionNum\":2,\"RegionCategory\":\"医学\",\"ArticlePicture\":[],\"TitleCN\":null,\"AbstractTextCN\":null,\"PMCID\":null,\"EPubDate\":\"\",\"PubModel\":\"\",\"JCR\":\"Q2\",\"JCRName\":\"ONCOLOGY\",\"Score\":null,\"Total\":0}","platform":"Semanticscholar","paperid":null,"PeriodicalName":"Radiation Oncology","FirstCategoryId":"3","ListUrlMain":"https://doi.org/10.1186/s13014-025-02698-5","RegionNum":2,"RegionCategory":"医学","ArticlePicture":[],"TitleCN":null,"AbstractTextCN":null,"PMCID":null,"EPubDate":"","PubModel":"","JCR":"Q2","JCRName":"ONCOLOGY","Score":null,"Total":0}
引用次数: 0

摘要

本文章由计算机程序翻译,如有差异,请以英文原文为准。

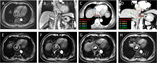
Efficacy and safety of stereotactic body radiotherapy for hepatocellular carcinoma with tumor thrombus in right atrium: a two-center retrospective review.

Efficacy and safety of stereotactic body radiotherapy for hepatocellular carcinoma with tumor thrombus in right atrium: a two-center retrospective review.
求助全文
通过发布文献求助,成功后即可免费获取论文全文。 去求助
来源期刊
Radiation Oncology
Radiation Oncology ONCOLOGY-RADIOLOGY, NUCLEAR MEDICINE & MEDICAL IMAGING
CiteScore
6.50
自引率
2.80%
发文量
181
审稿时长
3-6 weeks
期刊介绍: Radiation Oncology encompasses all aspects of research that impacts on the treatment of cancer using radiation. It publishes findings in molecular and cellular radiation biology, radiation physics, radiation technology, and clinical oncology.
×
引用
GB/T 7714-2015
复制
MLA
复制
APA
复制
导出至
BibTeX EndNote RefMan NoteFirst NoteExpress
×
提示
您的信息不完整,为了账户安全,请先补充。
现在去补充
×
提示
您因"违规操作"
具体请查看互助需知
我知道了
×
提示
确定
请完成安全验证×
copy
已复制链接
快去分享给好友吧!
我知道了
右上角分享
点击右上角分享
0
联系我们:info@booksci.cn Book学术提供免费学术资源搜索服务,方便国内外学者检索中英文文献。致力于提供最便捷和优质的服务体验。 Copyright © 2023 布克学术 All rights reserved.
京ICP备2023020795号-1
ghs 京公网安备 11010802042870号
Book学术文献互助
Book学术文献互助群
群 号:604180095
Book学术官方微信