一例独特的非外伤性脾血肿可能引起腹内压力增加:一个病例报告。

IF 2 Q2 EMERGENCY MEDICINE
Yu Xian Wong, Yi Wen Mathew Yeo, Eleazar Ebreo
{"title":"一例独特的非外伤性脾血肿可能引起腹内压力增加:一个病例报告。","authors":"Yu Xian Wong, Yi Wen Mathew Yeo, Eleazar Ebreo","doi":"10.1186/s12245-025-00978-1","DOIUrl":null,"url":null,"abstract":"<p><strong>Background: </strong>The spleen is a highly vascular organ, and splenic haematoma is a complication most commonly due to abdominal trauma. Atraumatic splenic haematoma is much rarer and is often associated with underlying pathology such as coagulopathies, malignancies, anatomical abnormalities or use of anticoagulants. This case report highlights a unique case of atraumatic splenic haematoma in a young, healthy male, likely precipitated by increased intra-abdominal pressure from persistent cough and weightlifting. It presents a rare cause of atraumatic splenic haematoma that is not commonly documented in literature.</p><p><strong>Case presentation: </strong>The patient is a 21-year-old male, with no known chronic disease. He is a smoker and complained of a persistent cough for the past three months. He presented the day after a gym session, with sudden left hypochondrium tenderness with no history of trauma, vomiting or diarrhoea. Physical exam revealed normal vital signs and generalized involuntary guarding over the entire abdomen. Initial point-of-care ultrasound was negative for free fluid in the abdomen, but a repeat ultrasound three hours later turned positive. Computed tomography scans of the abdomen, pelvis and mesenteric angiogram were then performed. They revealed intraperitoneal blood, a Grade III splenic haematoma involving the superior pole of the spleen towards the inferior pole, but no active bleeding. The patient was admitted for close monitoring. Initial laboratory evaluation did not show any coagulopathy or infection. The patient remained hemodynamically stable throughout his inpatient stay, and was managed conservatively with rest, analgesia, and empirical antibiotics. Serial haemoglobin levels remained stable, and his symptoms resolved with analgesia. As he remained hemodynamically stable, no repeat imaging was performed inpatient. He was subsequently discharged with instructions to avoid strenuous activities for 4 to 6 weeks. An outpatient follow-up was arranged for him, to review symptoms and monitor haemoglobin level.</p><p><strong>Conclusion: </strong>This case highlights a rare case of atraumatic splenic haematoma, possibly related to increased intra-abdominal pressure from persistent coughing and weightlifting. Atraumatic splenic haematoma is rare and might be easily overlooked as a diagnosis in the emergency department. Emergency physicians should maintain a high index of suspicion for splenic injury in patients presenting with unexplained left hypochondrium pain, and bedside ultrasonography can aid in assessment and guide the need for further evaluation.</p>","PeriodicalId":13967,"journal":{"name":"International Journal of Emergency Medicine","volume":"18 1","pages":"176"},"PeriodicalIF":2.0000,"publicationDate":"2025-09-30","publicationTypes":"Journal Article","fieldsOfStudy":null,"isOpenAccess":false,"openAccessPdf":"https://www.ncbi.nlm.nih.gov/pmc/articles/PMC12486978/pdf/","citationCount":"0","resultStr":"{\"title\":\"A unique case of atraumatic splenic haematoma likely caused by increased intra-abdominal pressure: a case report.\",\"authors\":\"Yu Xian Wong, Yi Wen Mathew Yeo, Eleazar Ebreo\",\"doi\":\"10.1186/s12245-025-00978-1\",\"DOIUrl\":null,\"url\":null,\"abstract\":\"<p><strong>Background: </strong>The spleen is a highly vascular organ, and splenic haematoma is a complication most commonly due to abdominal trauma. Atraumatic splenic haematoma is much rarer and is often associated with underlying pathology such as coagulopathies, malignancies, anatomical abnormalities or use of anticoagulants. This case report highlights a unique case of atraumatic splenic haematoma in a young, healthy male, likely precipitated by increased intra-abdominal pressure from persistent cough and weightlifting. It presents a rare cause of atraumatic splenic haematoma that is not commonly documented in literature.</p><p><strong>Case presentation: </strong>The patient is a 21-year-old male, with no known chronic disease. He is a smoker and complained of a persistent cough for the past three months. He presented the day after a gym session, with sudden left hypochondrium tenderness with no history of trauma, vomiting or diarrhoea. Physical exam revealed normal vital signs and generalized involuntary guarding over the entire abdomen. Initial point-of-care ultrasound was negative for free fluid in the abdomen, but a repeat ultrasound three hours later turned positive. Computed tomography scans of the abdomen, pelvis and mesenteric angiogram were then performed. They revealed intraperitoneal blood, a Grade III splenic haematoma involving the superior pole of the spleen towards the inferior pole, but no active bleeding. The patient was admitted for close monitoring. Initial laboratory evaluation did not show any coagulopathy or infection. The patient remained hemodynamically stable throughout his inpatient stay, and was managed conservatively with rest, analgesia, and empirical antibiotics. Serial haemoglobin levels remained stable, and his symptoms resolved with analgesia. As he remained hemodynamically stable, no repeat imaging was performed inpatient. He was subsequently discharged with instructions to avoid strenuous activities for 4 to 6 weeks. An outpatient follow-up was arranged for him, to review symptoms and monitor haemoglobin level.</p><p><strong>Conclusion: </strong>This case highlights a rare case of atraumatic splenic haematoma, possibly related to increased intra-abdominal pressure from persistent coughing and weightlifting. Atraumatic splenic haematoma is rare and might be easily overlooked as a diagnosis in the emergency department. Emergency physicians should maintain a high index of suspicion for splenic injury in patients presenting with unexplained left hypochondrium pain, and bedside ultrasonography can aid in assessment and guide the need for further evaluation.</p>\",\"PeriodicalId\":13967,\"journal\":{\"name\":\"International Journal of Emergency Medicine\",\"volume\":\"18 1\",\"pages\":\"176\"},\"PeriodicalIF\":2.0000,\"publicationDate\":\"2025-09-30\",\"publicationTypes\":\"Journal Article\",\"fieldsOfStudy\":null,\"isOpenAccess\":false,\"openAccessPdf\":\"https://www.ncbi.nlm.nih.gov/pmc/articles/PMC12486978/pdf/\",\"citationCount\":\"0\",\"resultStr\":null,\"platform\":\"Semanticscholar\",\"paperid\":null,\"PeriodicalName\":\"International Journal of Emergency Medicine\",\"FirstCategoryId\":\"1085\",\"ListUrlMain\":\"https://doi.org/10.1186/s12245-025-00978-1\",\"RegionNum\":0,\"RegionCategory\":null,\"ArticlePicture\":[],\"TitleCN\":null,\"AbstractTextCN\":null,\"PMCID\":null,\"EPubDate\":\"\",\"PubModel\":\"\",\"JCR\":\"Q2\",\"JCRName\":\"EMERGENCY MEDICINE\",\"Score\":null,\"Total\":0}","platform":"Semanticscholar","paperid":null,"PeriodicalName":"International Journal of Emergency Medicine","FirstCategoryId":"1085","ListUrlMain":"https://doi.org/10.1186/s12245-025-00978-1","RegionNum":0,"RegionCategory":null,"ArticlePicture":[],"TitleCN":null,"AbstractTextCN":null,"PMCID":null,"EPubDate":"","PubModel":"","JCR":"Q2","JCRName":"EMERGENCY MEDICINE","Score":null,"Total":0}
引用次数: 0

摘要

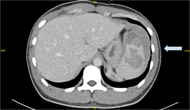
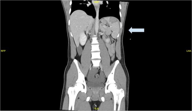
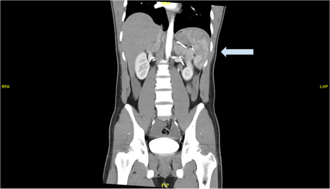
背景:脾脏是一个高度血管化的器官,脾血肿是腹部创伤最常见的并发症。非外伤性脾血肿非常罕见,通常与凝血功能障碍、恶性肿瘤、解剖异常或使用抗凝血剂等潜在病理有关。本病例报告强调了一个独特的病例的非外伤性脾血肿在一个年轻的,健康的男性,可能是由于持续咳嗽和举重增加腹内压力沉淀。它提出了一个罕见的原因,非外伤性脾血肿是不常见的文献记录。病例介绍:患者男,21岁,无已知慢性疾病。他吸烟,过去三个月来一直咳嗽。他在健身后的第二天出现,突然出现左胁痛,无外伤、呕吐或腹泻史。体格检查显示生命体征正常,整个腹部全身性不自觉守卫。最初的即时超声检查显示腹部游离液体呈阴性,但三小时后再次超声检查呈阳性。然后进行腹部、骨盆和肠系膜血管造影的计算机断层扫描。他们发现腹腔内出血,III级脾血肿累及脾上极向下极,但未见活动性出血。病人入院接受密切监护。最初的实验室评估没有显示任何凝血功能障碍或感染。患者在整个住院期间保持血流动力学稳定,并通过休息、镇痛和经验性抗生素进行保守管理。连续血红蛋白水平保持稳定,他的症状在镇痛后消失。由于患者血流动力学稳定,住院期间未进行重复影像学检查。他随后出院,并指示在4至6周内避免剧烈活动。安排门诊随访,回顾症状并监测血红蛋白水平。结论:本病例是一例罕见的非外伤性脾血肿,可能与持续咳嗽和举重引起的腹内压力增加有关。非外伤性脾血肿是罕见的,可能很容易被忽视的诊断在急诊科。急诊医师应对出现不明原因左肋软骨疼痛的患者保持高度怀疑,床边超声检查可以帮助评估并指导进一步评估的需要。
本文章由计算机程序翻译,如有差异,请以英文原文为准。

A unique case of atraumatic splenic haematoma likely caused by increased intra-abdominal pressure: a case report.

A unique case of atraumatic splenic haematoma likely caused by increased intra-abdominal pressure: a case report.

A unique case of atraumatic splenic haematoma likely caused by increased intra-abdominal pressure: a case report.

A unique case of atraumatic splenic haematoma likely caused by increased intra-abdominal pressure: a case report.

Background: The spleen is a highly vascular organ, and splenic haematoma is a complication most commonly due to abdominal trauma. Atraumatic splenic haematoma is much rarer and is often associated with underlying pathology such as coagulopathies, malignancies, anatomical abnormalities or use of anticoagulants. This case report highlights a unique case of atraumatic splenic haematoma in a young, healthy male, likely precipitated by increased intra-abdominal pressure from persistent cough and weightlifting. It presents a rare cause of atraumatic splenic haematoma that is not commonly documented in literature.

Case presentation: The patient is a 21-year-old male, with no known chronic disease. He is a smoker and complained of a persistent cough for the past three months. He presented the day after a gym session, with sudden left hypochondrium tenderness with no history of trauma, vomiting or diarrhoea. Physical exam revealed normal vital signs and generalized involuntary guarding over the entire abdomen. Initial point-of-care ultrasound was negative for free fluid in the abdomen, but a repeat ultrasound three hours later turned positive. Computed tomography scans of the abdomen, pelvis and mesenteric angiogram were then performed. They revealed intraperitoneal blood, a Grade III splenic haematoma involving the superior pole of the spleen towards the inferior pole, but no active bleeding. The patient was admitted for close monitoring. Initial laboratory evaluation did not show any coagulopathy or infection. The patient remained hemodynamically stable throughout his inpatient stay, and was managed conservatively with rest, analgesia, and empirical antibiotics. Serial haemoglobin levels remained stable, and his symptoms resolved with analgesia. As he remained hemodynamically stable, no repeat imaging was performed inpatient. He was subsequently discharged with instructions to avoid strenuous activities for 4 to 6 weeks. An outpatient follow-up was arranged for him, to review symptoms and monitor haemoglobin level.

Conclusion: This case highlights a rare case of atraumatic splenic haematoma, possibly related to increased intra-abdominal pressure from persistent coughing and weightlifting. Atraumatic splenic haematoma is rare and might be easily overlooked as a diagnosis in the emergency department. Emergency physicians should maintain a high index of suspicion for splenic injury in patients presenting with unexplained left hypochondrium pain, and bedside ultrasonography can aid in assessment and guide the need for further evaluation.

求助全文
通过发布文献求助,成功后即可免费获取论文全文。 去求助
来源期刊
CiteScore
4.60
自引率
0.00%
发文量
63
审稿时长
13 weeks
期刊介绍: The aim of the journal is to bring to light the various clinical advancements and research developments attained over the world and thus help the specialty forge ahead. It is directed towards physicians and medical personnel undergoing training or working within the field of Emergency Medicine. Medical students who are interested in pursuing a career in Emergency Medicine will also benefit from the journal. This is particularly useful for trainees in countries where the specialty is still in its infancy. Disciplines covered will include interesting clinical cases, the latest evidence-based practice and research developments in Emergency medicine including emergency pediatrics.
×
引用
GB/T 7714-2015
复制
MLA
复制
APA
复制
导出至
BibTeX EndNote RefMan NoteFirst NoteExpress
×
提示
您的信息不完整,为了账户安全,请先补充。
现在去补充
×
提示
您因"违规操作"
具体请查看互助需知
我知道了
×
提示
确定
请完成安全验证×
copy
已复制链接
快去分享给好友吧!
我知道了
右上角分享
点击右上角分享
0
联系我们:info@booksci.cn Book学术提供免费学术资源搜索服务,方便国内外学者检索中英文文献。致力于提供最便捷和优质的服务体验。 Copyright © 2023 布克学术 All rights reserved.
京ICP备2023020795号-1
ghs 京公网安备 11010802042870号
Book学术文献互助
Book学术文献互助群
群 号:604180095
Book学术官方微信