基于深度学习的CT分割的Centiloid值:freesurfer的有效替代品。

IF 7.6 1区 医学 Q1 CLINICAL NEUROLOGY
Yeo Jun Yoon, Seungbeom Seo, Sangwon Lee, Hyunkeong Lim, Kyobin Choo, Daesung Kim, Hyunkyung Han, Minjae So, Hosung Kang, Seongjin Kang, Dongwoo Kim, Young-Gun Lee, Dongho Shin, Tae Joo Jeon, Mijin Yun
{"title":"基于深度学习的CT分割的Centiloid值:freesurfer的有效替代品。","authors":"Yeo Jun Yoon, Seungbeom Seo, Sangwon Lee, Hyunkeong Lim, Kyobin Choo, Daesung Kim, Hyunkyung Han, Minjae So, Hosung Kang, Seongjin Kang, Dongwoo Kim, Young-Gun Lee, Dongho Shin, Tae Joo Jeon, Mijin Yun","doi":"10.1186/s13195-025-01860-1","DOIUrl":null,"url":null,"abstract":"<p><strong>Background: </strong>Amyloid PET/CT is essential for quantifying amyloid-beta (Aβ) deposition in Alzheimer's disease (AD), with the Centiloid (CL) scale standardizing measurements across imaging centers. However, MRI-based CL pipelines face challenges: high cost, contraindications, and patient burden. To address these challenges, we developed a deep learning-based CT parcellation pipeline calibrated to the standard CL scale using CT images from PET/CT scans and evaluated its performance relative to standard pipelines.</p><p><strong>Methods: </strong>A total of 306 participants (23 young controls [YCs] and 283 patients) underwent 18 F-florbetaben (FBB) PET/CT and MRI. Based on visual assessment, 207 patients were classified as Aβ-positive and 76 as Aβ-negative. PET images were processed using the CT parcellation pipeline and compared to FreeSurfer (FS) and standard pipelines. Agreement was assessed via regression analyses. Effect size, variance, and ROC analyses were used to compare pipelines and determine the optimal CL threshold relative to visual Aβ assessment.</p><p><strong>Results: </strong>The CT parcellation showed high concordance with the FS and provided reliable CL quantification (R² = 0.99). Both pipelines demonstrated similar variance in YCs and effect sizes between YCs and ADCI. ROC analyses confirmed comparable accuracy and similar CL thresholds, supporting CT parcellation as a viable MRI-free alternative.</p><p><strong>Conclusions: </strong>Our findings indicate that the CT parcellation pipeline achieves a level of accuracy similar to FS in CL quantification, demonstrating its reliability as an MRI-free alternative. In PET/CT, CT and PET are acquired sequentially within the same session on a shared bed and headrest, which helps maintain consistent positioning and adequate spatial alignment, reducing registration errors and supporting more reliable and precise quantification.</p>","PeriodicalId":7516,"journal":{"name":"Alzheimer's Research & Therapy","volume":"17 1","pages":"212"},"PeriodicalIF":7.6000,"publicationDate":"2025-09-30","publicationTypes":"Journal Article","fieldsOfStudy":null,"isOpenAccess":false,"openAccessPdf":"https://www.ncbi.nlm.nih.gov/pmc/articles/PMC12482646/pdf/","citationCount":"0","resultStr":"{\"title\":\"Centiloid values from deep learning-based CT parcellation: a valid alternative to freesurfer.\",\"authors\":\"Yeo Jun Yoon, Seungbeom Seo, Sangwon Lee, Hyunkeong Lim, Kyobin Choo, Daesung Kim, Hyunkyung Han, Minjae So, Hosung Kang, Seongjin Kang, Dongwoo Kim, Young-Gun Lee, Dongho Shin, Tae Joo Jeon, Mijin Yun\",\"doi\":\"10.1186/s13195-025-01860-1\",\"DOIUrl\":null,\"url\":null,\"abstract\":\"<p><strong>Background: </strong>Amyloid PET/CT is essential for quantifying amyloid-beta (Aβ) deposition in Alzheimer's disease (AD), with the Centiloid (CL) scale standardizing measurements across imaging centers. However, MRI-based CL pipelines face challenges: high cost, contraindications, and patient burden. To address these challenges, we developed a deep learning-based CT parcellation pipeline calibrated to the standard CL scale using CT images from PET/CT scans and evaluated its performance relative to standard pipelines.</p><p><strong>Methods: </strong>A total of 306 participants (23 young controls [YCs] and 283 patients) underwent 18 F-florbetaben (FBB) PET/CT and MRI. Based on visual assessment, 207 patients were classified as Aβ-positive and 76 as Aβ-negative. PET images were processed using the CT parcellation pipeline and compared to FreeSurfer (FS) and standard pipelines. Agreement was assessed via regression analyses. Effect size, variance, and ROC analyses were used to compare pipelines and determine the optimal CL threshold relative to visual Aβ assessment.</p><p><strong>Results: </strong>The CT parcellation showed high concordance with the FS and provided reliable CL quantification (R² = 0.99). Both pipelines demonstrated similar variance in YCs and effect sizes between YCs and ADCI. ROC analyses confirmed comparable accuracy and similar CL thresholds, supporting CT parcellation as a viable MRI-free alternative.</p><p><strong>Conclusions: </strong>Our findings indicate that the CT parcellation pipeline achieves a level of accuracy similar to FS in CL quantification, demonstrating its reliability as an MRI-free alternative. In PET/CT, CT and PET are acquired sequentially within the same session on a shared bed and headrest, which helps maintain consistent positioning and adequate spatial alignment, reducing registration errors and supporting more reliable and precise quantification.</p>\",\"PeriodicalId\":7516,\"journal\":{\"name\":\"Alzheimer's Research & Therapy\",\"volume\":\"17 1\",\"pages\":\"212\"},\"PeriodicalIF\":7.6000,\"publicationDate\":\"2025-09-30\",\"publicationTypes\":\"Journal Article\",\"fieldsOfStudy\":null,\"isOpenAccess\":false,\"openAccessPdf\":\"https://www.ncbi.nlm.nih.gov/pmc/articles/PMC12482646/pdf/\",\"citationCount\":\"0\",\"resultStr\":null,\"platform\":\"Semanticscholar\",\"paperid\":null,\"PeriodicalName\":\"Alzheimer's Research & Therapy\",\"FirstCategoryId\":\"3\",\"ListUrlMain\":\"https://doi.org/10.1186/s13195-025-01860-1\",\"RegionNum\":1,\"RegionCategory\":\"医学\",\"ArticlePicture\":[],\"TitleCN\":null,\"AbstractTextCN\":null,\"PMCID\":null,\"EPubDate\":\"\",\"PubModel\":\"\",\"JCR\":\"Q1\",\"JCRName\":\"CLINICAL NEUROLOGY\",\"Score\":null,\"Total\":0}","platform":"Semanticscholar","paperid":null,"PeriodicalName":"Alzheimer's Research & Therapy","FirstCategoryId":"3","ListUrlMain":"https://doi.org/10.1186/s13195-025-01860-1","RegionNum":1,"RegionCategory":"医学","ArticlePicture":[],"TitleCN":null,"AbstractTextCN":null,"PMCID":null,"EPubDate":"","PubModel":"","JCR":"Q1","JCRName":"CLINICAL NEUROLOGY","Score":null,"Total":0}
引用次数: 0

摘要

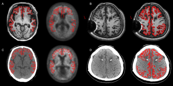
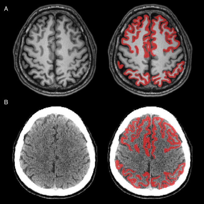
背景:淀粉样蛋白PET/CT对于量化阿尔茨海默病(AD)中淀粉样蛋白- β (Aβ)沉积至关重要,Centiloid (CL)量表标准化了跨成像中心的测量。然而,基于mri的CL管道面临着挑战:高成本、禁忌症和患者负担。为了解决这些挑战,我们开发了一种基于深度学习的CT分割管道,使用PET/CT扫描的CT图像校准到标准CL尺度,并评估其相对于标准管道的性能。方法:共有306名参与者(23名年轻对照[YCs]和283名患者)接受了18次F-florbetaben (FBB) PET/CT和MRI检查。经目测,a β阳性207例,a β阴性76例。PET图像使用CT包裹管道处理,并与FreeSurfer (FS)和标准管道进行比较。通过回归分析评估一致性。使用效应大小、方差和ROC分析来比较管道,并确定相对于视觉Aβ评估的最佳CL阈值。结果:CT分片与FS一致性高,定量CL可靠(R²= 0.99)。这两个管道在YCs和ADCI之间显示出相似的差异和效应大小。ROC分析证实了相当的准确性和相似的CL阈值,支持CT分割作为可行的无mri替代方法。结论:我们的研究结果表明,CT包裹管道在CL量化方面达到了与FS相似的准确度水平,证明了其作为无mri替代方案的可靠性。在PET/CT中,CT和PET在同一时间段内在共用床和头枕上依次获得,这有助于保持一致的定位和适当的空间对齐,减少配准误差,支持更可靠和精确的量化。
本文章由计算机程序翻译,如有差异,请以英文原文为准。

Centiloid values from deep learning-based CT parcellation: a valid alternative to freesurfer.

Centiloid values from deep learning-based CT parcellation: a valid alternative to freesurfer.

Centiloid values from deep learning-based CT parcellation: a valid alternative to freesurfer.

Centiloid values from deep learning-based CT parcellation: a valid alternative to freesurfer.

Background: Amyloid PET/CT is essential for quantifying amyloid-beta (Aβ) deposition in Alzheimer's disease (AD), with the Centiloid (CL) scale standardizing measurements across imaging centers. However, MRI-based CL pipelines face challenges: high cost, contraindications, and patient burden. To address these challenges, we developed a deep learning-based CT parcellation pipeline calibrated to the standard CL scale using CT images from PET/CT scans and evaluated its performance relative to standard pipelines.

Methods: A total of 306 participants (23 young controls [YCs] and 283 patients) underwent 18 F-florbetaben (FBB) PET/CT and MRI. Based on visual assessment, 207 patients were classified as Aβ-positive and 76 as Aβ-negative. PET images were processed using the CT parcellation pipeline and compared to FreeSurfer (FS) and standard pipelines. Agreement was assessed via regression analyses. Effect size, variance, and ROC analyses were used to compare pipelines and determine the optimal CL threshold relative to visual Aβ assessment.

Results: The CT parcellation showed high concordance with the FS and provided reliable CL quantification (R² = 0.99). Both pipelines demonstrated similar variance in YCs and effect sizes between YCs and ADCI. ROC analyses confirmed comparable accuracy and similar CL thresholds, supporting CT parcellation as a viable MRI-free alternative.

Conclusions: Our findings indicate that the CT parcellation pipeline achieves a level of accuracy similar to FS in CL quantification, demonstrating its reliability as an MRI-free alternative. In PET/CT, CT and PET are acquired sequentially within the same session on a shared bed and headrest, which helps maintain consistent positioning and adequate spatial alignment, reducing registration errors and supporting more reliable and precise quantification.

求助全文
通过发布文献求助,成功后即可免费获取论文全文。 去求助
来源期刊
Alzheimer's Research & Therapy
Alzheimer's Research & Therapy 医学-神经病学
CiteScore
13.10
自引率
3.30%
发文量
172
审稿时长
>12 weeks
期刊介绍: Alzheimer's Research & Therapy is an international peer-reviewed journal that focuses on translational research into Alzheimer's disease and other neurodegenerative diseases. It publishes open-access basic research, clinical trials, drug discovery and development studies, and epidemiologic studies. The journal also includes reviews, viewpoints, commentaries, debates, and reports. All articles published in Alzheimer's Research & Therapy are included in several reputable databases such as CAS, Current contents, DOAJ, Embase, Journal Citation Reports/Science Edition, MEDLINE, PubMed, PubMed Central, Science Citation Index Expanded (Web of Science) and Scopus.
×
引用
GB/T 7714-2015
复制
MLA
复制
APA
复制
导出至
BibTeX EndNote RefMan NoteFirst NoteExpress
×
提示
您的信息不完整,为了账户安全,请先补充。
现在去补充
×
提示
您因"违规操作"
具体请查看互助需知
我知道了
×
提示
确定
请完成安全验证×
copy
已复制链接
快去分享给好友吧!
我知道了
右上角分享
点击右上角分享
0
联系我们:info@booksci.cn Book学术提供免费学术资源搜索服务,方便国内外学者检索中英文文献。致力于提供最便捷和优质的服务体验。 Copyright © 2023 布克学术 All rights reserved.
京ICP备2023020795号-1
ghs 京公网安备 11010802042870号
Book学术文献互助
Book学术文献互助群
群 号:604180095
Book学术官方微信