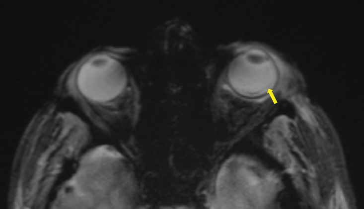
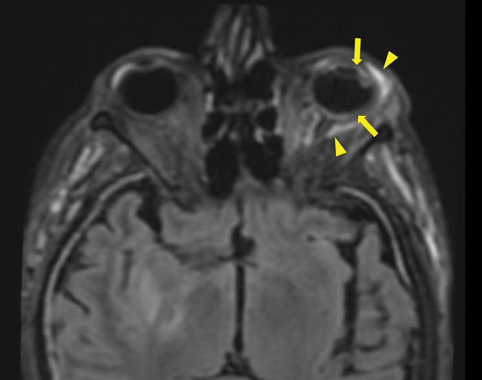
内源性眼内炎并发肺炎球菌脑膜炎的MRI表现。

IF 1.3 4区 医学 Q4 RADIOLOGY, NUCLEAR MEDICINE & MEDICAL IMAGING
Journal of the Belgian Society of Radiology Pub Date : 2025-09-23 eCollection Date: 2025-01-01 DOI:10.5334/jbsr.4047
Charlotte Steinier, Pierre-Antoine Poncelet
{"title":"内源性眼内炎并发肺炎球菌脑膜炎的MRI表现。","authors":"Charlotte Steinier, Pierre-Antoine Poncelet","doi":"10.5334/jbsr.4047","DOIUrl":null,"url":null,"abstract":"<p><p><i>Teaching point:</i> Endophthalmitis is an uncommon but severe complication of meningitis that can be visualized on MRI.</p>","PeriodicalId":55987,"journal":{"name":"Journal of the Belgian Society of Radiology","volume":"109 1","pages":"41"},"PeriodicalIF":1.3000,"publicationDate":"2025-09-23","publicationTypes":"Journal Article","fieldsOfStudy":null,"isOpenAccess":false,"openAccessPdf":"https://www.ncbi.nlm.nih.gov/pmc/articles/PMC12466337/pdf/","citationCount":"0","resultStr":"{\"title\":\"MRI Findings of Endogenous Endophthalmitis as a Complication of Pneumococcal Meningitis.\",\"authors\":\"Charlotte Steinier, Pierre-Antoine Poncelet\",\"doi\":\"10.5334/jbsr.4047\",\"DOIUrl\":null,\"url\":null,\"abstract\":\"<p><p><i>Teaching point:</i> Endophthalmitis is an uncommon but severe complication of meningitis that can be visualized on MRI.</p>\",\"PeriodicalId\":55987,\"journal\":{\"name\":\"Journal of the Belgian Society of Radiology\",\"volume\":\"109 1\",\"pages\":\"41\"},\"PeriodicalIF\":1.3000,\"publicationDate\":\"2025-09-23\",\"publicationTypes\":\"Journal Article\",\"fieldsOfStudy\":null,\"isOpenAccess\":false,\"openAccessPdf\":\"https://www.ncbi.nlm.nih.gov/pmc/articles/PMC12466337/pdf/\",\"citationCount\":\"0\",\"resultStr\":null,\"platform\":\"Semanticscholar\",\"paperid\":null,\"PeriodicalName\":\"Journal of the Belgian Society of Radiology\",\"FirstCategoryId\":\"3\",\"ListUrlMain\":\"https://doi.org/10.5334/jbsr.4047\",\"RegionNum\":4,\"RegionCategory\":\"医学\",\"ArticlePicture\":[],\"TitleCN\":null,\"AbstractTextCN\":null,\"PMCID\":null,\"EPubDate\":\"2025/1/1 0:00:00\",\"PubModel\":\"eCollection\",\"JCR\":\"Q4\",\"JCRName\":\"RADIOLOGY, NUCLEAR MEDICINE & MEDICAL IMAGING\",\"Score\":null,\"Total\":0}","platform":"Semanticscholar","paperid":null,"PeriodicalName":"Journal of the Belgian Society of Radiology","FirstCategoryId":"3","ListUrlMain":"https://doi.org/10.5334/jbsr.4047","RegionNum":4,"RegionCategory":"医学","ArticlePicture":[],"TitleCN":null,"AbstractTextCN":null,"PMCID":null,"EPubDate":"2025/1/1 0:00:00","PubModel":"eCollection","JCR":"Q4","JCRName":"RADIOLOGY, NUCLEAR MEDICINE & MEDICAL IMAGING","Score":null,"Total":0}
引用次数: 0

摘要

教学点:眼内炎是一种少见但严重的脑膜炎并发症,在MRI上可见。
本文章由计算机程序翻译,如有差异,请以英文原文为准。

MRI Findings of Endogenous Endophthalmitis as a Complication of Pneumococcal Meningitis.

MRI Findings of Endogenous Endophthalmitis as a Complication of Pneumococcal Meningitis.

MRI Findings of Endogenous Endophthalmitis as a Complication of Pneumococcal Meningitis.

MRI Findings of Endogenous Endophthalmitis as a Complication of Pneumococcal Meningitis.

Teaching point: Endophthalmitis is an uncommon but severe complication of meningitis that can be visualized on MRI.

求助全文
通过发布文献求助,成功后即可免费获取论文全文。 去求助
来源期刊
Journal of the Belgian Society of Radiology
Journal of the Belgian Society of Radiology Medicine-Radiology, Nuclear Medicine and Imaging
CiteScore
0.70
自引率
5.00%
发文量
96
期刊介绍: The purpose of the Journal of the Belgian Society of Radiology is the publication of articles dealing with diagnostic and interventional radiology, related imaging techniques, allied sciences, and continuing education.
×
引用
GB/T 7714-2015
复制
MLA
复制
APA
复制
导出至
BibTeX EndNote RefMan NoteFirst NoteExpress
×
提示
您的信息不完整,为了账户安全,请先补充。
现在去补充
×
提示
您因"违规操作"
具体请查看互助需知
我知道了
×
提示
确定
请完成安全验证×
copy
已复制链接
快去分享给好友吧!
我知道了
右上角分享
点击右上角分享
0
联系我们:info@booksci.cn Book学术提供免费学术资源搜索服务,方便国内外学者检索中英文文献。致力于提供最便捷和优质的服务体验。 Copyright © 2023 布克学术 All rights reserved.
京ICP备2023020795号-1
ghs 京公网安备 11010802042870号
Book学术文献互助
Book学术文献互助群
群 号:604180095
Book学术官方微信