靶向治疗和免疫治疗在胃肠道转移性GNET/透明细胞肉瘤(CCS)中的作用:1例报告。

IF 3 3区 生物学 Q3 BIOCHEMISTRY & MOLECULAR BIOLOGY
Raluca Ioana Mihaila, Andreea Veronica Lazescu, Daniela Luminița Zob, Dana Lucia Stanculeanu
{"title":"靶向治疗和免疫治疗在胃肠道转移性GNET/透明细胞肉瘤(CCS)中的作用:1例报告。","authors":"Raluca Ioana Mihaila, Andreea Veronica Lazescu, Daniela Luminița Zob, Dana Lucia Stanculeanu","doi":"10.3390/cimb47090706","DOIUrl":null,"url":null,"abstract":"<p><p><b>Background</b>: Gastrointestinal neuroectodermal tumour (GNET), also known as clear cell sarcoma (CCS) of the gastrointestinal tract, is a rare neural crest-derived malignancy characterized by EWSR1-ATF1 or EWSR1-CREB1 fusions. Due to its rarity, there is limited evidence and no established guidelines for standard management. GNET is aggressive, with high rates of local recurrence, metastasis, and mortality. <b>Case Presentation</b>: We report the case of a 46-year-old woman with a family history of gastrointestinal cancers who was diagnosed in 2020 with an intestinal GNET. She underwent a segmental enterectomy as the first step of multimodal therapy. After three years of follow-up, she developed hepatic and peritoneal metastases. In November 2023, she began combined therapy with the anti-VEGF tyrosine kinase inhibitor cabozantinib and the immune checkpoint inhibitor nivolumab. The patient has maintained stable disease for 18 months with good tolerance and no adverse events. Molecular analysis of the tumour, which showed an EWSR1-CREB1 fusion, supported the selection of targeted therapy and immunotherapy as the preferred treatment approach. <b>Conclusions</b>: Immunotherapy and targeted therapy show promise for GNET/CCS treatment, but clinical standards are lacking, and evidence comes primarily from case reports. Additional data are needed to determine the best sequence and combination of therapies for this very rare disease.</p>","PeriodicalId":10839,"journal":{"name":"Current Issues in Molecular Biology","volume":"47 9","pages":""},"PeriodicalIF":3.0000,"publicationDate":"2025-09-01","publicationTypes":"Journal Article","fieldsOfStudy":null,"isOpenAccess":false,"openAccessPdf":"https://www.ncbi.nlm.nih.gov/pmc/articles/PMC12468834/pdf/","citationCount":"0","resultStr":"{\"title\":\"The Role of Targeted Therapy and Immunotherapy in Metastatic GNET/Clear Cell Sarcoma (CCS) of the Gastrointestinal Tract: A Case Report.\",\"authors\":\"Raluca Ioana Mihaila, Andreea Veronica Lazescu, Daniela Luminița Zob, Dana Lucia Stanculeanu\",\"doi\":\"10.3390/cimb47090706\",\"DOIUrl\":null,\"url\":null,\"abstract\":\"<p><p><b>Background</b>: Gastrointestinal neuroectodermal tumour (GNET), also known as clear cell sarcoma (CCS) of the gastrointestinal tract, is a rare neural crest-derived malignancy characterized by EWSR1-ATF1 or EWSR1-CREB1 fusions. Due to its rarity, there is limited evidence and no established guidelines for standard management. GNET is aggressive, with high rates of local recurrence, metastasis, and mortality. <b>Case Presentation</b>: We report the case of a 46-year-old woman with a family history of gastrointestinal cancers who was diagnosed in 2020 with an intestinal GNET. She underwent a segmental enterectomy as the first step of multimodal therapy. After three years of follow-up, she developed hepatic and peritoneal metastases. In November 2023, she began combined therapy with the anti-VEGF tyrosine kinase inhibitor cabozantinib and the immune checkpoint inhibitor nivolumab. The patient has maintained stable disease for 18 months with good tolerance and no adverse events. Molecular analysis of the tumour, which showed an EWSR1-CREB1 fusion, supported the selection of targeted therapy and immunotherapy as the preferred treatment approach. <b>Conclusions</b>: Immunotherapy and targeted therapy show promise for GNET/CCS treatment, but clinical standards are lacking, and evidence comes primarily from case reports. Additional data are needed to determine the best sequence and combination of therapies for this very rare disease.</p>\",\"PeriodicalId\":10839,\"journal\":{\"name\":\"Current Issues in Molecular Biology\",\"volume\":\"47 9\",\"pages\":\"\"},\"PeriodicalIF\":3.0000,\"publicationDate\":\"2025-09-01\",\"publicationTypes\":\"Journal Article\",\"fieldsOfStudy\":null,\"isOpenAccess\":false,\"openAccessPdf\":\"https://www.ncbi.nlm.nih.gov/pmc/articles/PMC12468834/pdf/\",\"citationCount\":\"0\",\"resultStr\":null,\"platform\":\"Semanticscholar\",\"paperid\":null,\"PeriodicalName\":\"Current Issues in Molecular Biology\",\"FirstCategoryId\":\"99\",\"ListUrlMain\":\"https://doi.org/10.3390/cimb47090706\",\"RegionNum\":3,\"RegionCategory\":\"生物学\",\"ArticlePicture\":[],\"TitleCN\":null,\"AbstractTextCN\":null,\"PMCID\":null,\"EPubDate\":\"\",\"PubModel\":\"\",\"JCR\":\"Q3\",\"JCRName\":\"BIOCHEMISTRY & MOLECULAR BIOLOGY\",\"Score\":null,\"Total\":0}","platform":"Semanticscholar","paperid":null,"PeriodicalName":"Current Issues in Molecular Biology","FirstCategoryId":"99","ListUrlMain":"https://doi.org/10.3390/cimb47090706","RegionNum":3,"RegionCategory":"生物学","ArticlePicture":[],"TitleCN":null,"AbstractTextCN":null,"PMCID":null,"EPubDate":"","PubModel":"","JCR":"Q3","JCRName":"BIOCHEMISTRY & MOLECULAR BIOLOGY","Score":null,"Total":0}
引用次数: 0

摘要

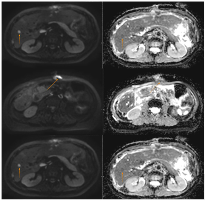
背景:胃肠道神经外胚层肿瘤(GNET),也称为胃肠道透明细胞肉瘤(CCS),是一种罕见的神经嵴源性恶性肿瘤,其特征为EWSR1-ATF1或EWSR1-CREB1融合。由于其罕见性,证据有限,没有标准管理的既定指南。GNET具有侵袭性,局部复发、转移和死亡率高。病例介绍:我们报告了一名46岁的女性,她有胃肠道癌症家族史,于2020年被诊断出患有肠道GNET。她接受了段性肠切除术作为多模式治疗的第一步。经过三年的随访,她出现了肝脏和腹膜转移。2023年11月,她开始联合使用抗vegf酪氨酸激酶抑制剂cabozantinib和免疫检查点抑制剂nivolumab。患者病情稳定18个月,耐受性良好,无不良事件发生。肿瘤的分子分析显示EWSR1-CREB1融合,支持选择靶向治疗和免疫治疗作为首选治疗方法。结论:免疫治疗和靶向治疗显示出GNET/CCS治疗的前景,但缺乏临床标准,证据主要来自病例报告。需要更多的数据来确定这种非常罕见疾病的最佳治疗顺序和组合。
本文章由计算机程序翻译,如有差异,请以英文原文为准。

The Role of Targeted Therapy and Immunotherapy in Metastatic GNET/Clear Cell Sarcoma (CCS) of the Gastrointestinal Tract: A Case Report.

The Role of Targeted Therapy and Immunotherapy in Metastatic GNET/Clear Cell Sarcoma (CCS) of the Gastrointestinal Tract: A Case Report.

The Role of Targeted Therapy and Immunotherapy in Metastatic GNET/Clear Cell Sarcoma (CCS) of the Gastrointestinal Tract: A Case Report.

The Role of Targeted Therapy and Immunotherapy in Metastatic GNET/Clear Cell Sarcoma (CCS) of the Gastrointestinal Tract: A Case Report.

Background: Gastrointestinal neuroectodermal tumour (GNET), also known as clear cell sarcoma (CCS) of the gastrointestinal tract, is a rare neural crest-derived malignancy characterized by EWSR1-ATF1 or EWSR1-CREB1 fusions. Due to its rarity, there is limited evidence and no established guidelines for standard management. GNET is aggressive, with high rates of local recurrence, metastasis, and mortality. Case Presentation: We report the case of a 46-year-old woman with a family history of gastrointestinal cancers who was diagnosed in 2020 with an intestinal GNET. She underwent a segmental enterectomy as the first step of multimodal therapy. After three years of follow-up, she developed hepatic and peritoneal metastases. In November 2023, she began combined therapy with the anti-VEGF tyrosine kinase inhibitor cabozantinib and the immune checkpoint inhibitor nivolumab. The patient has maintained stable disease for 18 months with good tolerance and no adverse events. Molecular analysis of the tumour, which showed an EWSR1-CREB1 fusion, supported the selection of targeted therapy and immunotherapy as the preferred treatment approach. Conclusions: Immunotherapy and targeted therapy show promise for GNET/CCS treatment, but clinical standards are lacking, and evidence comes primarily from case reports. Additional data are needed to determine the best sequence and combination of therapies for this very rare disease.

求助全文
通过发布文献求助,成功后即可免费获取论文全文。 去求助
来源期刊
Current Issues in Molecular Biology
Current Issues in Molecular Biology 生物-生化研究方法
CiteScore
2.90
自引率
3.20%
发文量
380
审稿时长
>12 weeks
期刊介绍: Current Issues in Molecular Biology (CIMB) is a peer-reviewed journal publishing review articles and minireviews in all areas of molecular biology and microbiology. Submitted articles are subject to an Article Processing Charge (APC) and are open access immediately upon publication. All manuscripts undergo a peer-review process.
×
引用
GB/T 7714-2015
复制
MLA
复制
APA
复制
导出至
BibTeX EndNote RefMan NoteFirst NoteExpress
×
提示
您的信息不完整,为了账户安全,请先补充。
现在去补充
×
提示
您因"违规操作"
具体请查看互助需知
我知道了
×
提示
确定
请完成安全验证×
copy
已复制链接
快去分享给好友吧!
我知道了
右上角分享
点击右上角分享
0
联系我们:info@booksci.cn Book学术提供免费学术资源搜索服务,方便国内外学者检索中英文文献。致力于提供最便捷和优质的服务体验。 Copyright © 2023 布克学术 All rights reserved.
京ICP备2023020795号-1
ghs 京公网安备 11010802042870号
Book学术文献互助
Book学术文献互助群
群 号:604180095
Book学术官方微信