皮肤黑色素瘤肥大细胞的表型和定量特征:与分期指标的相关性。

IF 3 3区 生物学 Q3 BIOCHEMISTRY & MOLECULAR BIOLOGY
Grigory Demyashkin, Dmitrii Atiakshin, Kirill Silakov, Vladimir Shchekin, Maxim Bobrov, Olga Abramova, Matvey Vadyukhin, Tatyana Borovaya, Ekaterina Blinova, Petr Shegay, Andrei Kaprin
{"title":"皮肤黑色素瘤肥大细胞的表型和定量特征:与分期指标的相关性。","authors":"Grigory Demyashkin, Dmitrii Atiakshin, Kirill Silakov, Vladimir Shchekin, Maxim Bobrov, Olga Abramova, Matvey Vadyukhin, Tatyana Borovaya, Ekaterina Blinova, Petr Shegay, Andrei Kaprin","doi":"10.3390/cimb47090752","DOIUrl":null,"url":null,"abstract":"<p><p><b>Background</b>: Mast cells, key effectors of the innate immune system, are known to participate in various stages of tumor progression, including inflammation, angiogenesis, and extracellular matrix remodeling. Their role in melanoma, particularly in relation to Breslow thickness, pT stage, and AJCC staging, remains unclear. This study aims to quantitatively and phenotypically assess mast cell infiltration in cutaneous melanoma at different stages of progression, focusing on Tryptase- and Chymase-positive subtypes. <b>Methods</b>: This retrospective multicenter study included 124 patients with cutaneous melanoma (AJCC 8th edition, stages IA-IIIC). Histological sections were stained with hematoxylin and eosin, and mast cells were visualized using toluidine blue and immunohistochemistry with anti-Tryptase and anti-Chymase antibodies. Mast cells were counted manually in intratumoral and peritumoral regions by two independent observers. Quantitative data were analyzed using non-parametric tests and presented as median [Q1-Q3]. <b>Results</b>: Histological examination of 124 melanoma samples confirmed typical features of cutaneous melanoma, with nodular melanoma being the most common subtype (68 cases, 54.8%) and the lower extremities identified as the predominant tumor location (47 cases, 37.9%). Toluidine blue staining verified the presence of mast cells in both intratumoral and peritumoral compartments, with the highest density observed in early-stage melanomas. Immunohistochemical analysis identified both Tryptase+ and Chymase+ mast cells. The intratumoral number of Tryptase+ cells declined from 17 [14-19] per HPF at AJCC stage IA to 6 [5-7] per HPF at stage IIIC, while Chymase+ mast cells decreased from 14 [11-16] per HPF to 2 [1-3] per HPF over the same stages. Peritumoral counts also showed a downward trend, although less pronounced. Overall, the most significant reduction was observed in Chymase+ mast cells, suggesting their potential role as markers of melanoma progression. <b>Conclusions</b>: This study highlights the dynamic changes in mast cell populations in cutaneous melanoma, with a pronounced decrease in Chymase<sup>+</sup> mast cells as the tumor progresses. Further research is needed to explore the mechanistic role of mast cells and their phenotypic shifts in melanoma progression.</p>","PeriodicalId":10839,"journal":{"name":"Current Issues in Molecular Biology","volume":"47 9","pages":""},"PeriodicalIF":3.0000,"publicationDate":"2025-09-12","publicationTypes":"Journal Article","fieldsOfStudy":null,"isOpenAccess":false,"openAccessPdf":"https://www.ncbi.nlm.nih.gov/pmc/articles/PMC12468969/pdf/","citationCount":"0","resultStr":"{\"title\":\"Phenotypic and Quantitative Characterization of Mast Cells in Cutaneous Melanoma: Correlation with Staging Metrics.\",\"authors\":\"Grigory Demyashkin, Dmitrii Atiakshin, Kirill Silakov, Vladimir Shchekin, Maxim Bobrov, Olga Abramova, Matvey Vadyukhin, Tatyana Borovaya, Ekaterina Blinova, Petr Shegay, Andrei Kaprin\",\"doi\":\"10.3390/cimb47090752\",\"DOIUrl\":null,\"url\":null,\"abstract\":\"<p><p><b>Background</b>: Mast cells, key effectors of the innate immune system, are known to participate in various stages of tumor progression, including inflammation, angiogenesis, and extracellular matrix remodeling. Their role in melanoma, particularly in relation to Breslow thickness, pT stage, and AJCC staging, remains unclear. This study aims to quantitatively and phenotypically assess mast cell infiltration in cutaneous melanoma at different stages of progression, focusing on Tryptase- and Chymase-positive subtypes. <b>Methods</b>: This retrospective multicenter study included 124 patients with cutaneous melanoma (AJCC 8th edition, stages IA-IIIC). Histological sections were stained with hematoxylin and eosin, and mast cells were visualized using toluidine blue and immunohistochemistry with anti-Tryptase and anti-Chymase antibodies. Mast cells were counted manually in intratumoral and peritumoral regions by two independent observers. Quantitative data were analyzed using non-parametric tests and presented as median [Q1-Q3]. <b>Results</b>: Histological examination of 124 melanoma samples confirmed typical features of cutaneous melanoma, with nodular melanoma being the most common subtype (68 cases, 54.8%) and the lower extremities identified as the predominant tumor location (47 cases, 37.9%). Toluidine blue staining verified the presence of mast cells in both intratumoral and peritumoral compartments, with the highest density observed in early-stage melanomas. Immunohistochemical analysis identified both Tryptase+ and Chymase+ mast cells. The intratumoral number of Tryptase+ cells declined from 17 [14-19] per HPF at AJCC stage IA to 6 [5-7] per HPF at stage IIIC, while Chymase+ mast cells decreased from 14 [11-16] per HPF to 2 [1-3] per HPF over the same stages. Peritumoral counts also showed a downward trend, although less pronounced. Overall, the most significant reduction was observed in Chymase+ mast cells, suggesting their potential role as markers of melanoma progression. <b>Conclusions</b>: This study highlights the dynamic changes in mast cell populations in cutaneous melanoma, with a pronounced decrease in Chymase<sup>+</sup> mast cells as the tumor progresses. Further research is needed to explore the mechanistic role of mast cells and their phenotypic shifts in melanoma progression.</p>\",\"PeriodicalId\":10839,\"journal\":{\"name\":\"Current Issues in Molecular Biology\",\"volume\":\"47 9\",\"pages\":\"\"},\"PeriodicalIF\":3.0000,\"publicationDate\":\"2025-09-12\",\"publicationTypes\":\"Journal Article\",\"fieldsOfStudy\":null,\"isOpenAccess\":false,\"openAccessPdf\":\"https://www.ncbi.nlm.nih.gov/pmc/articles/PMC12468969/pdf/\",\"citationCount\":\"0\",\"resultStr\":null,\"platform\":\"Semanticscholar\",\"paperid\":null,\"PeriodicalName\":\"Current Issues in Molecular Biology\",\"FirstCategoryId\":\"99\",\"ListUrlMain\":\"https://doi.org/10.3390/cimb47090752\",\"RegionNum\":3,\"RegionCategory\":\"生物学\",\"ArticlePicture\":[],\"TitleCN\":null,\"AbstractTextCN\":null,\"PMCID\":null,\"EPubDate\":\"\",\"PubModel\":\"\",\"JCR\":\"Q3\",\"JCRName\":\"BIOCHEMISTRY & MOLECULAR BIOLOGY\",\"Score\":null,\"Total\":0}","platform":"Semanticscholar","paperid":null,"PeriodicalName":"Current Issues in Molecular Biology","FirstCategoryId":"99","ListUrlMain":"https://doi.org/10.3390/cimb47090752","RegionNum":3,"RegionCategory":"生物学","ArticlePicture":[],"TitleCN":null,"AbstractTextCN":null,"PMCID":null,"EPubDate":"","PubModel":"","JCR":"Q3","JCRName":"BIOCHEMISTRY & MOLECULAR BIOLOGY","Score":null,"Total":0}
引用次数: 0

摘要

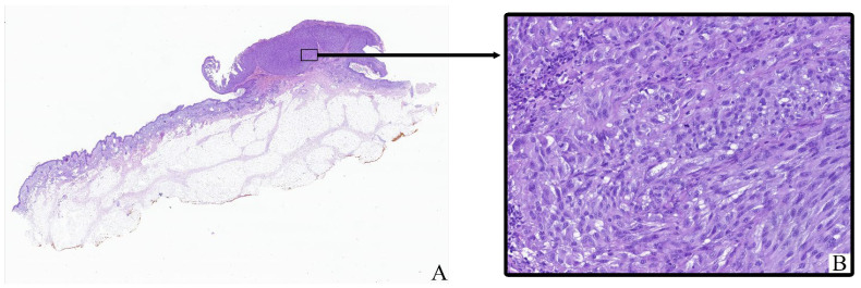
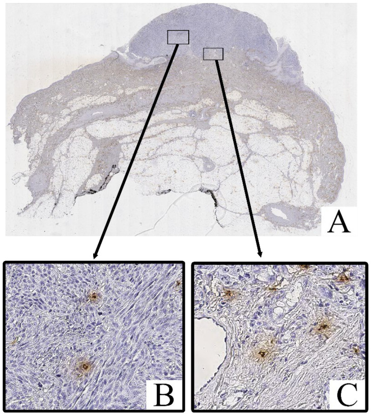
背景:肥大细胞是先天免疫系统的关键效应体,参与肿瘤进展的各个阶段,包括炎症、血管生成和细胞外基质重塑。它们在黑色素瘤中的作用,特别是与Breslow厚度、pT分期和AJCC分期的关系尚不清楚。本研究旨在定量和表型评估皮肤黑色素瘤不同进展阶段肥大细胞浸润,重点关注胰蛋白酶和乳糜酶阳性亚型。方法:本回顾性多中心研究纳入124例皮肤黑色素瘤患者(AJCC第8版,IA-IIIC期)。组织切片用苏木精和伊红染色,用甲苯胺蓝和抗胰蛋白酶和抗乳糜酶抗体免疫组织化学观察肥大细胞。由两名独立观察员在瘤内和瘤周手工计数肥大细胞。定量数据采用非参数检验进行分析,并以中位数[Q1-Q3]表示。结果:124例黑色素瘤标本的组织学检查证实了皮肤黑色素瘤的典型特征,结节性黑色素瘤是最常见的亚型(68例,54.8%),下肢为主要肿瘤部位(47例,37.9%)。甲苯胺蓝染色证实肥大细胞存在于瘤内和瘤周,在早期黑色素瘤中密度最高。免疫组化分析发现胰蛋白酶+和乳糜酶+肥大细胞。肿瘤内胰蛋白酶+细胞的数量从AJCC IA期的17个[14-19]/ HPF下降到IIIC期的6个[5-7]/ HPF,而Chymase+肥大细胞的数量从14个[11-16]/ HPF下降到2个[1-3]/ HPF。肿瘤周围的计数也呈下降趋势,尽管不那么明显。总的来说,在Chymase+肥大细胞中观察到最显著的减少,表明它们可能作为黑色素瘤进展的标志物。结论:本研究强调了皮肤黑色素瘤中肥大细胞群的动态变化,随着肿瘤的进展,Chymase+肥大细胞明显减少。肥大细胞及其表型变化在黑色素瘤进展中的机制作用有待进一步研究。
本文章由计算机程序翻译,如有差异,请以英文原文为准。

Phenotypic and Quantitative Characterization of Mast Cells in Cutaneous Melanoma: Correlation with Staging Metrics.

Phenotypic and Quantitative Characterization of Mast Cells in Cutaneous Melanoma: Correlation with Staging Metrics.

Phenotypic and Quantitative Characterization of Mast Cells in Cutaneous Melanoma: Correlation with Staging Metrics.

Phenotypic and Quantitative Characterization of Mast Cells in Cutaneous Melanoma: Correlation with Staging Metrics.

Background: Mast cells, key effectors of the innate immune system, are known to participate in various stages of tumor progression, including inflammation, angiogenesis, and extracellular matrix remodeling. Their role in melanoma, particularly in relation to Breslow thickness, pT stage, and AJCC staging, remains unclear. This study aims to quantitatively and phenotypically assess mast cell infiltration in cutaneous melanoma at different stages of progression, focusing on Tryptase- and Chymase-positive subtypes. Methods: This retrospective multicenter study included 124 patients with cutaneous melanoma (AJCC 8th edition, stages IA-IIIC). Histological sections were stained with hematoxylin and eosin, and mast cells were visualized using toluidine blue and immunohistochemistry with anti-Tryptase and anti-Chymase antibodies. Mast cells were counted manually in intratumoral and peritumoral regions by two independent observers. Quantitative data were analyzed using non-parametric tests and presented as median [Q1-Q3]. Results: Histological examination of 124 melanoma samples confirmed typical features of cutaneous melanoma, with nodular melanoma being the most common subtype (68 cases, 54.8%) and the lower extremities identified as the predominant tumor location (47 cases, 37.9%). Toluidine blue staining verified the presence of mast cells in both intratumoral and peritumoral compartments, with the highest density observed in early-stage melanomas. Immunohistochemical analysis identified both Tryptase+ and Chymase+ mast cells. The intratumoral number of Tryptase+ cells declined from 17 [14-19] per HPF at AJCC stage IA to 6 [5-7] per HPF at stage IIIC, while Chymase+ mast cells decreased from 14 [11-16] per HPF to 2 [1-3] per HPF over the same stages. Peritumoral counts also showed a downward trend, although less pronounced. Overall, the most significant reduction was observed in Chymase+ mast cells, suggesting their potential role as markers of melanoma progression. Conclusions: This study highlights the dynamic changes in mast cell populations in cutaneous melanoma, with a pronounced decrease in Chymase+ mast cells as the tumor progresses. Further research is needed to explore the mechanistic role of mast cells and their phenotypic shifts in melanoma progression.

求助全文
通过发布文献求助,成功后即可免费获取论文全文。 去求助
来源期刊
Current Issues in Molecular Biology
Current Issues in Molecular Biology 生物-生化研究方法
CiteScore
2.90
自引率
3.20%
发文量
380
审稿时长
>12 weeks
期刊介绍: Current Issues in Molecular Biology (CIMB) is a peer-reviewed journal publishing review articles and minireviews in all areas of molecular biology and microbiology. Submitted articles are subject to an Article Processing Charge (APC) and are open access immediately upon publication. All manuscripts undergo a peer-review process.
×
引用
GB/T 7714-2015
复制
MLA
复制
APA
复制
导出至
BibTeX EndNote RefMan NoteFirst NoteExpress
×
提示
您的信息不完整,为了账户安全,请先补充。
现在去补充
×
提示
您因"违规操作"
具体请查看互助需知
我知道了
×
提示
确定
请完成安全验证×
copy
已复制链接
快去分享给好友吧!
我知道了
右上角分享
点击右上角分享
0
联系我们:info@booksci.cn Book学术提供免费学术资源搜索服务,方便国内外学者检索中英文文献。致力于提供最便捷和优质的服务体验。 Copyright © 2023 布克学术 All rights reserved.
京ICP备2023020795号-1
ghs 京公网安备 11010802042870号
Book学术文献互助
Book学术文献互助群
群 号:604180095
Book学术官方微信