磷虾油通过抑制氧化应激和炎症途径减轻顺铂诱导的卵巢毒性。

IF 3 3区 生物学 Q3 BIOCHEMISTRY & MOLECULAR BIOLOGY
Erson Aksu, Oytun Erbas
{"title":"磷虾油通过抑制氧化应激和炎症途径减轻顺铂诱导的卵巢毒性。","authors":"Erson Aksu, Oytun Erbas","doi":"10.3390/cimb47090708","DOIUrl":null,"url":null,"abstract":"<p><p>Cisplatin remains a cornerstone chemotherapeutic agent; however, its off-target gonadotoxicity poses a significant risk for premature ovarian failure (POF) and infertility in young women. Strategies to preserve ovarian function during chemotherapy are critically needed. To investigate the protective effects of krill oil supplementation against cisplatin-induced ovarian damage in a rat model, with a focus on oxidative stress, inflammation, follicular dynamics, and stromal fibrosis. Twenty-one adult female Wistar albino rats were randomized into three groups: control, cisplatin-treated, and cisplatin + krill oil-treated. Ovarian toxicity was induced via intraperitoneal injection of cisplatin (2.5 mg/kg, twice weekly for four weeks). Krill oil (4 mL/kg/day) was administered orally during the same period. Ovarian histopathology, follicle counts (primordial, primary, secondary, tertiary), stromal fibrosis, and biochemical markers, including plasma anti-Müllerian hormone (AMH), malondialdehyde (MDA), tumor necrosis factor-alpha (TNF-α), interleukin-1 beta (IL-1β), and ovarian levels of nuclear factor erythroid 2-related factor 2 (Nrf2), Toll-like receptor 4 (TLR4), TNF-α, NOD-like receptor family pyrin domain containing 3 (NLRP3), and IL-1β were evaluated. Cisplatin significantly reduced primordial, primary, secondary, and tertiary follicle counts while increasing stromal fibrosis (<i>p</i> < 0.001). Krill oil co-treatment notably ameliorated follicular depletion-improving follicle counts by 38.16%, 54.74%, 62.5%, 40.43%, respectively-and reduced fibrosis (<i>p</i> = 0.017). Biochemically, cisplatin decreased AMH levels and Nrf2 expression while elevating MDA, TNF-α, TLR4, NLRP3, and IL-1β levels (<i>p</i> < 0.001). Krill oil supplementation restored AMH (<i>p</i> = 0.002) and Nrf2 (<i>p</i> = 0.003) levels, while reducing MDA (<i>p</i> = 0.009), NLRP3 (<i>p</i> < 0.001), ovarian IL-1β (<i>p</i> = 0.005), plasma IL-1β (<i>p</i> < 0.001), TLR4 (<i>p</i> = 0.001), plasma TNF-α (<i>p</i> = 0.001), and ovarian TNF-α (<i>p</i> < 0.001), compared to the cisplatin group. Krill oil exerts significant antioxidant and anti-inflammatory effects, offering a promising strategy to mitigate cisplatin-induced ovarian damage and preserve fertility in young cancer patients.</p>","PeriodicalId":10839,"journal":{"name":"Current Issues in Molecular Biology","volume":"47 9","pages":""},"PeriodicalIF":3.0000,"publicationDate":"2025-09-01","publicationTypes":"Journal Article","fieldsOfStudy":null,"isOpenAccess":false,"openAccessPdf":"https://www.ncbi.nlm.nih.gov/pmc/articles/PMC12468872/pdf/","citationCount":"0","resultStr":"{\"title\":\"Krill Oil Mitigates Cisplatin-Induced Ovarian Toxicity via Attenuation of Oxidative Stress and Inflammatory Pathways.\",\"authors\":\"Erson Aksu, Oytun Erbas\",\"doi\":\"10.3390/cimb47090708\",\"DOIUrl\":null,\"url\":null,\"abstract\":\"<p><p>Cisplatin remains a cornerstone chemotherapeutic agent; however, its off-target gonadotoxicity poses a significant risk for premature ovarian failure (POF) and infertility in young women. Strategies to preserve ovarian function during chemotherapy are critically needed. To investigate the protective effects of krill oil supplementation against cisplatin-induced ovarian damage in a rat model, with a focus on oxidative stress, inflammation, follicular dynamics, and stromal fibrosis. Twenty-one adult female Wistar albino rats were randomized into three groups: control, cisplatin-treated, and cisplatin + krill oil-treated. Ovarian toxicity was induced via intraperitoneal injection of cisplatin (2.5 mg/kg, twice weekly for four weeks). Krill oil (4 mL/kg/day) was administered orally during the same period. Ovarian histopathology, follicle counts (primordial, primary, secondary, tertiary), stromal fibrosis, and biochemical markers, including plasma anti-Müllerian hormone (AMH), malondialdehyde (MDA), tumor necrosis factor-alpha (TNF-α), interleukin-1 beta (IL-1β), and ovarian levels of nuclear factor erythroid 2-related factor 2 (Nrf2), Toll-like receptor 4 (TLR4), TNF-α, NOD-like receptor family pyrin domain containing 3 (NLRP3), and IL-1β were evaluated. Cisplatin significantly reduced primordial, primary, secondary, and tertiary follicle counts while increasing stromal fibrosis (<i>p</i> < 0.001). Krill oil co-treatment notably ameliorated follicular depletion-improving follicle counts by 38.16%, 54.74%, 62.5%, 40.43%, respectively-and reduced fibrosis (<i>p</i> = 0.017). Biochemically, cisplatin decreased AMH levels and Nrf2 expression while elevating MDA, TNF-α, TLR4, NLRP3, and IL-1β levels (<i>p</i> < 0.001). Krill oil supplementation restored AMH (<i>p</i> = 0.002) and Nrf2 (<i>p</i> = 0.003) levels, while reducing MDA (<i>p</i> = 0.009), NLRP3 (<i>p</i> < 0.001), ovarian IL-1β (<i>p</i> = 0.005), plasma IL-1β (<i>p</i> < 0.001), TLR4 (<i>p</i> = 0.001), plasma TNF-α (<i>p</i> = 0.001), and ovarian TNF-α (<i>p</i> < 0.001), compared to the cisplatin group. Krill oil exerts significant antioxidant and anti-inflammatory effects, offering a promising strategy to mitigate cisplatin-induced ovarian damage and preserve fertility in young cancer patients.</p>\",\"PeriodicalId\":10839,\"journal\":{\"name\":\"Current Issues in Molecular Biology\",\"volume\":\"47 9\",\"pages\":\"\"},\"PeriodicalIF\":3.0000,\"publicationDate\":\"2025-09-01\",\"publicationTypes\":\"Journal Article\",\"fieldsOfStudy\":null,\"isOpenAccess\":false,\"openAccessPdf\":\"https://www.ncbi.nlm.nih.gov/pmc/articles/PMC12468872/pdf/\",\"citationCount\":\"0\",\"resultStr\":null,\"platform\":\"Semanticscholar\",\"paperid\":null,\"PeriodicalName\":\"Current Issues in Molecular Biology\",\"FirstCategoryId\":\"99\",\"ListUrlMain\":\"https://doi.org/10.3390/cimb47090708\",\"RegionNum\":3,\"RegionCategory\":\"生物学\",\"ArticlePicture\":[],\"TitleCN\":null,\"AbstractTextCN\":null,\"PMCID\":null,\"EPubDate\":\"\",\"PubModel\":\"\",\"JCR\":\"Q3\",\"JCRName\":\"BIOCHEMISTRY & MOLECULAR BIOLOGY\",\"Score\":null,\"Total\":0}","platform":"Semanticscholar","paperid":null,"PeriodicalName":"Current Issues in Molecular Biology","FirstCategoryId":"99","ListUrlMain":"https://doi.org/10.3390/cimb47090708","RegionNum":3,"RegionCategory":"生物学","ArticlePicture":[],"TitleCN":null,"AbstractTextCN":null,"PMCID":null,"EPubDate":"","PubModel":"","JCR":"Q3","JCRName":"BIOCHEMISTRY & MOLECULAR BIOLOGY","Score":null,"Total":0}
引用次数: 0

摘要

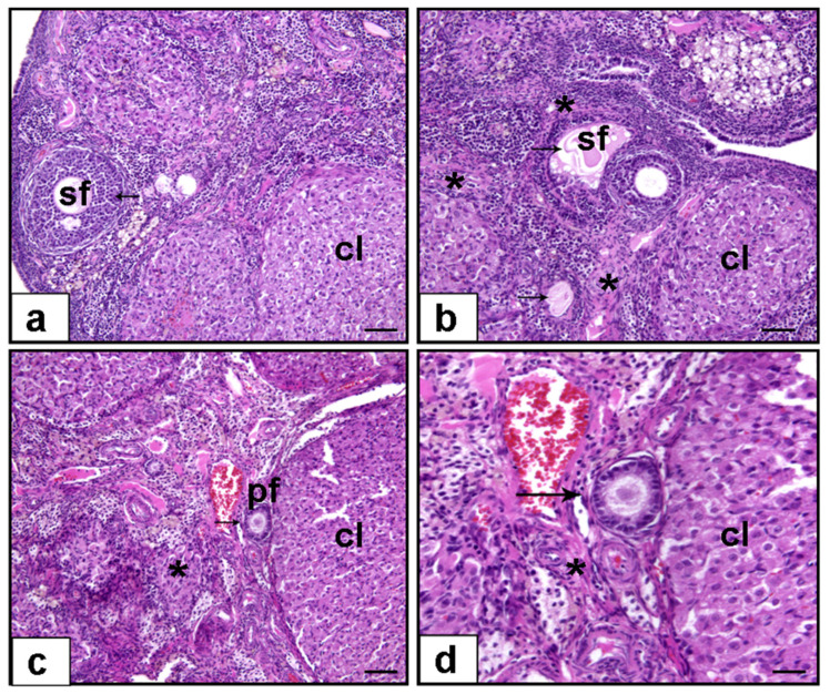
顺铂仍然是基础化疗药物;然而,它的脱靶性腺毒性对年轻女性卵巢早衰(POF)和不孕症有很大的风险。化疗期间保护卵巢功能的策略是非常必要的。在大鼠模型中,研究磷虾油补充对顺铂诱导的卵巢损伤的保护作用,重点关注氧化应激、炎症、卵泡动力学和间质纤维化。将21只成年雌性Wistar白化大鼠随机分为对照组、顺铂组和顺铂+磷虾油组。腹腔注射顺铂(2.5 mg/kg,每周2次,连续4周)诱导卵巢毒性。同期口服磷虾油(4 mL/kg/d)。评估卵巢组织病理学、卵泡计数(原始、原发性、继发性、三级)、间质纤维化和生化指标,包括血浆抗勒氏激素(AMH)、丙二醛(MDA)、肿瘤坏死因子α (TNF-α)、白细胞介素-1β (IL-1β),以及卵巢核因子-红细胞2相关因子2 (Nrf2)、toll样受体4 (TLR4)、TNF-α、nod样受体家族pyrin结构域3 (NLRP3)和IL-1β的水平。顺铂显著降低原始、原发性、继发性和三级卵泡计数,同时增加基质纤维化(p < 0.001)。磷虾油联合治疗显著改善了卵泡消耗,使卵泡计数分别提高38.16%、54.74%、62.5%和40.43%,并减少了纤维化(p = 0.017)。生化方面,顺铂降低AMH水平和Nrf2表达,升高MDA、TNF-α、TLR4、NLRP3和IL-1β水平(p < 0.001)。与顺铂组相比,添加磷虾油可恢复AMH (p = 0.002)和Nrf2 (p = 0.003)水平,降低MDA (p = 0.009)、NLRP3 (p < 0.001)、卵巢IL-1β (p = 0.005)、血浆IL-1β (p < 0.001)、TLR4 (p = 0.001)、血浆TNF-α (p = 0.001)和卵巢TNF-α (p < 0.001)。磷虾油具有显著的抗氧化和抗炎作用,为减轻顺铂诱导的卵巢损伤和保持年轻癌症患者的生育能力提供了一种有希望的策略。
本文章由计算机程序翻译,如有差异,请以英文原文为准。

Krill Oil Mitigates Cisplatin-Induced Ovarian Toxicity via Attenuation of Oxidative Stress and Inflammatory Pathways.

Krill Oil Mitigates Cisplatin-Induced Ovarian Toxicity via Attenuation of Oxidative Stress and Inflammatory Pathways.

Krill Oil Mitigates Cisplatin-Induced Ovarian Toxicity via Attenuation of Oxidative Stress and Inflammatory Pathways.

Krill Oil Mitigates Cisplatin-Induced Ovarian Toxicity via Attenuation of Oxidative Stress and Inflammatory Pathways.

Cisplatin remains a cornerstone chemotherapeutic agent; however, its off-target gonadotoxicity poses a significant risk for premature ovarian failure (POF) and infertility in young women. Strategies to preserve ovarian function during chemotherapy are critically needed. To investigate the protective effects of krill oil supplementation against cisplatin-induced ovarian damage in a rat model, with a focus on oxidative stress, inflammation, follicular dynamics, and stromal fibrosis. Twenty-one adult female Wistar albino rats were randomized into three groups: control, cisplatin-treated, and cisplatin + krill oil-treated. Ovarian toxicity was induced via intraperitoneal injection of cisplatin (2.5 mg/kg, twice weekly for four weeks). Krill oil (4 mL/kg/day) was administered orally during the same period. Ovarian histopathology, follicle counts (primordial, primary, secondary, tertiary), stromal fibrosis, and biochemical markers, including plasma anti-Müllerian hormone (AMH), malondialdehyde (MDA), tumor necrosis factor-alpha (TNF-α), interleukin-1 beta (IL-1β), and ovarian levels of nuclear factor erythroid 2-related factor 2 (Nrf2), Toll-like receptor 4 (TLR4), TNF-α, NOD-like receptor family pyrin domain containing 3 (NLRP3), and IL-1β were evaluated. Cisplatin significantly reduced primordial, primary, secondary, and tertiary follicle counts while increasing stromal fibrosis (p < 0.001). Krill oil co-treatment notably ameliorated follicular depletion-improving follicle counts by 38.16%, 54.74%, 62.5%, 40.43%, respectively-and reduced fibrosis (p = 0.017). Biochemically, cisplatin decreased AMH levels and Nrf2 expression while elevating MDA, TNF-α, TLR4, NLRP3, and IL-1β levels (p < 0.001). Krill oil supplementation restored AMH (p = 0.002) and Nrf2 (p = 0.003) levels, while reducing MDA (p = 0.009), NLRP3 (p < 0.001), ovarian IL-1β (p = 0.005), plasma IL-1β (p < 0.001), TLR4 (p = 0.001), plasma TNF-α (p = 0.001), and ovarian TNF-α (p < 0.001), compared to the cisplatin group. Krill oil exerts significant antioxidant and anti-inflammatory effects, offering a promising strategy to mitigate cisplatin-induced ovarian damage and preserve fertility in young cancer patients.

求助全文
通过发布文献求助,成功后即可免费获取论文全文。 去求助
来源期刊
Current Issues in Molecular Biology
Current Issues in Molecular Biology 生物-生化研究方法
CiteScore
2.90
自引率
3.20%
发文量
380
审稿时长
>12 weeks
期刊介绍: Current Issues in Molecular Biology (CIMB) is a peer-reviewed journal publishing review articles and minireviews in all areas of molecular biology and microbiology. Submitted articles are subject to an Article Processing Charge (APC) and are open access immediately upon publication. All manuscripts undergo a peer-review process.
×
引用
GB/T 7714-2015
复制
MLA
复制
APA
复制
导出至
BibTeX EndNote RefMan NoteFirst NoteExpress
×
提示
您的信息不完整,为了账户安全,请先补充。
现在去补充
×
提示
您因"违规操作"
具体请查看互助需知
我知道了
×
提示
确定
请完成安全验证×
copy
已复制链接
快去分享给好友吧!
我知道了
右上角分享
点击右上角分享
0
联系我们:info@booksci.cn Book学术提供免费学术资源搜索服务,方便国内外学者检索中英文文献。致力于提供最便捷和优质的服务体验。 Copyright © 2023 布克学术 All rights reserved.
京ICP备2023020795号-1
ghs 京公网安备 11010802042870号
Book学术文献互助
Book学术文献互助群
群 号:604180095
Book学术官方微信