一种脂质体制剂增强内皮细胞和角质形成细胞中烟酰胺腺嘌呤二核苷酸(NAD+)的抗衰老特性。

IF 3 3区 生物学 Q3 BIOCHEMISTRY & MOLECULAR BIOLOGY
Stefano Ministrini, Luca Liberale, Hanns-Eberhard Erle, Giuseppe Percoco, Ali Tfayli, Ali Assi, Ivan Kapitonov, Isabel Greiner, Giovanni Guido Camici
{"title":"一种脂质体制剂增强内皮细胞和角质形成细胞中烟酰胺腺嘌呤二核苷酸(NAD+)的抗衰老特性。","authors":"Stefano Ministrini, Luca Liberale, Hanns-Eberhard Erle, Giuseppe Percoco, Ali Tfayli, Ali Assi, Ivan Kapitonov, Isabel Greiner, Giovanni Guido Camici","doi":"10.3390/cimb47090722","DOIUrl":null,"url":null,"abstract":"<p><p>Nicotinamide adenine-dinucleotide (NAD<sup>+</sup>) supplementation is a promising strategy to delay cellular aging in different areas, including cosmetic dermatology. However, low bioavailability and stability of NAD<sup>+</sup> formulations are the main factors limiting its effectiveness as an anti-aging treatment. In light of the above, a liposomal formulation of NAD<sup>+</sup> (LF-NAD<sup>+</sup>) was tested in this study and compared to NAD<sup>+</sup> alone in primary human aortic endothelial cells (HAECs) and primary human epidermal keratinocytes (HEKas). Intracellular NAD<sup>+</sup> was measured using a colorimetric assay. Cell survival was derived from lactate dehydrogenase release in supernatants. Cell senescence was measured by senescence-associated β-galactosidase staining. Molecular mechanisms underlying the reported effects were analyzed by Western blot. Skin penetration of NAD<sup>+</sup> was measured ex vivo in skin explants, using infrared spectroscopy. Compared to control NAD<sup>+</sup> alone, the LF-NAD<sup>+</sup> formulation increased the intracellular NAD<sup>+</sup> content and cell survival in HAECs, but not in HEKas. Instead, a significant reduction in the number of senescent cells was observed in both HAECs and HEKas. LF-NAD<sup>+</sup> treatment was associated with a reduced expression of <i>p16</i> in both HAECs and HEKas, and to a significant reduction in p21 in HEKas alone. Finally, LF-NAD<sup>+</sup> increases the skin penetration of the active substance NAD<sup>+</sup> by 30% compared to the application of NAD<sup>+</sup> alone. LF-NAD<sup>+</sup>, enhances the anti-aging effects of NAD<sup>+</sup> on vascular and skin cells. Such in vitro findings might indicate a potential anti-aging role in the microcirculation and in the epidermidis.</p>","PeriodicalId":10839,"journal":{"name":"Current Issues in Molecular Biology","volume":"47 9","pages":""},"PeriodicalIF":3.0000,"publicationDate":"2025-09-05","publicationTypes":"Journal Article","fieldsOfStudy":null,"isOpenAccess":false,"openAccessPdf":"https://www.ncbi.nlm.nih.gov/pmc/articles/PMC12468054/pdf/","citationCount":"0","resultStr":"{\"title\":\"A Liposomal Formulation Enhances the Anti-Senescence Properties of Nicotinamide Adenine-Dinucleotide (NAD<sup>+</sup>) in Endothelial Cells and Keratinocytes.\",\"authors\":\"Stefano Ministrini, Luca Liberale, Hanns-Eberhard Erle, Giuseppe Percoco, Ali Tfayli, Ali Assi, Ivan Kapitonov, Isabel Greiner, Giovanni Guido Camici\",\"doi\":\"10.3390/cimb47090722\",\"DOIUrl\":null,\"url\":null,\"abstract\":\"<p><p>Nicotinamide adenine-dinucleotide (NAD<sup>+</sup>) supplementation is a promising strategy to delay cellular aging in different areas, including cosmetic dermatology. However, low bioavailability and stability of NAD<sup>+</sup> formulations are the main factors limiting its effectiveness as an anti-aging treatment. In light of the above, a liposomal formulation of NAD<sup>+</sup> (LF-NAD<sup>+</sup>) was tested in this study and compared to NAD<sup>+</sup> alone in primary human aortic endothelial cells (HAECs) and primary human epidermal keratinocytes (HEKas). Intracellular NAD<sup>+</sup> was measured using a colorimetric assay. Cell survival was derived from lactate dehydrogenase release in supernatants. Cell senescence was measured by senescence-associated β-galactosidase staining. Molecular mechanisms underlying the reported effects were analyzed by Western blot. Skin penetration of NAD<sup>+</sup> was measured ex vivo in skin explants, using infrared spectroscopy. Compared to control NAD<sup>+</sup> alone, the LF-NAD<sup>+</sup> formulation increased the intracellular NAD<sup>+</sup> content and cell survival in HAECs, but not in HEKas. Instead, a significant reduction in the number of senescent cells was observed in both HAECs and HEKas. LF-NAD<sup>+</sup> treatment was associated with a reduced expression of <i>p16</i> in both HAECs and HEKas, and to a significant reduction in p21 in HEKas alone. Finally, LF-NAD<sup>+</sup> increases the skin penetration of the active substance NAD<sup>+</sup> by 30% compared to the application of NAD<sup>+</sup> alone. LF-NAD<sup>+</sup>, enhances the anti-aging effects of NAD<sup>+</sup> on vascular and skin cells. Such in vitro findings might indicate a potential anti-aging role in the microcirculation and in the epidermidis.</p>\",\"PeriodicalId\":10839,\"journal\":{\"name\":\"Current Issues in Molecular Biology\",\"volume\":\"47 9\",\"pages\":\"\"},\"PeriodicalIF\":3.0000,\"publicationDate\":\"2025-09-05\",\"publicationTypes\":\"Journal Article\",\"fieldsOfStudy\":null,\"isOpenAccess\":false,\"openAccessPdf\":\"https://www.ncbi.nlm.nih.gov/pmc/articles/PMC12468054/pdf/\",\"citationCount\":\"0\",\"resultStr\":null,\"platform\":\"Semanticscholar\",\"paperid\":null,\"PeriodicalName\":\"Current Issues in Molecular Biology\",\"FirstCategoryId\":\"99\",\"ListUrlMain\":\"https://doi.org/10.3390/cimb47090722\",\"RegionNum\":3,\"RegionCategory\":\"生物学\",\"ArticlePicture\":[],\"TitleCN\":null,\"AbstractTextCN\":null,\"PMCID\":null,\"EPubDate\":\"\",\"PubModel\":\"\",\"JCR\":\"Q3\",\"JCRName\":\"BIOCHEMISTRY & MOLECULAR BIOLOGY\",\"Score\":null,\"Total\":0}","platform":"Semanticscholar","paperid":null,"PeriodicalName":"Current Issues in Molecular Biology","FirstCategoryId":"99","ListUrlMain":"https://doi.org/10.3390/cimb47090722","RegionNum":3,"RegionCategory":"生物学","ArticlePicture":[],"TitleCN":null,"AbstractTextCN":null,"PMCID":null,"EPubDate":"","PubModel":"","JCR":"Q3","JCRName":"BIOCHEMISTRY & MOLECULAR BIOLOGY","Score":null,"Total":0}
引用次数: 0

摘要

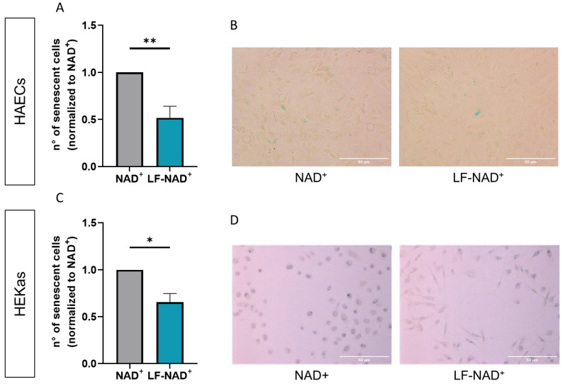
烟酰胺腺嘌呤二核苷酸(NAD+)补充是一种有希望的策略,以延缓细胞老化在不同领域,包括美容皮肤科。然而,低生物利用度和NAD+制剂的稳定性是限制其作为抗衰老治疗效果的主要因素。鉴于上述,本研究测试了NAD+的脂质体配方(LF-NAD+),并将其与原发性人主动脉内皮细胞(HAECs)和原发性人表皮角质形成细胞(heka)中的单独NAD+进行了比较。用比色法测定细胞内NAD+。细胞存活率来源于上清液中乳酸脱氢酶的释放。衰老相关β-半乳糖苷酶染色测定细胞衰老程度。Western blot分析了所报道的效应的分子机制。采用红外光谱法测定NAD+在皮肤外植体中的皮肤渗透。与单独对照NAD+相比,LF-NAD+制剂增加了HAECs细胞内NAD+含量和细胞存活率,但在heka中没有。相反,在haec和heka中都观察到衰老细胞数量的显著减少。LF-NAD+治疗与HAECs和heka中p16的表达降低有关,并且仅与heka中p21的显著降低有关。最后,与单独使用NAD+相比,LF-NAD+使活性物质NAD+的皮肤渗透性提高了30%。LF-NAD+,增强NAD+对血管和皮肤细胞的抗衰老作用。这样的体外研究结果可能表明在微循环和表皮中具有潜在的抗衰老作用。
本文章由计算机程序翻译,如有差异,请以英文原文为准。

A Liposomal Formulation Enhances the Anti-Senescence Properties of Nicotinamide Adenine-Dinucleotide (NAD<sup>+</sup>) in Endothelial Cells and Keratinocytes.

A Liposomal Formulation Enhances the Anti-Senescence Properties of Nicotinamide Adenine-Dinucleotide (NAD<sup>+</sup>) in Endothelial Cells and Keratinocytes.

A Liposomal Formulation Enhances the Anti-Senescence Properties of Nicotinamide Adenine-Dinucleotide (NAD<sup>+</sup>) in Endothelial Cells and Keratinocytes.

A Liposomal Formulation Enhances the Anti-Senescence Properties of Nicotinamide Adenine-Dinucleotide (NAD+) in Endothelial Cells and Keratinocytes.

Nicotinamide adenine-dinucleotide (NAD+) supplementation is a promising strategy to delay cellular aging in different areas, including cosmetic dermatology. However, low bioavailability and stability of NAD+ formulations are the main factors limiting its effectiveness as an anti-aging treatment. In light of the above, a liposomal formulation of NAD+ (LF-NAD+) was tested in this study and compared to NAD+ alone in primary human aortic endothelial cells (HAECs) and primary human epidermal keratinocytes (HEKas). Intracellular NAD+ was measured using a colorimetric assay. Cell survival was derived from lactate dehydrogenase release in supernatants. Cell senescence was measured by senescence-associated β-galactosidase staining. Molecular mechanisms underlying the reported effects were analyzed by Western blot. Skin penetration of NAD+ was measured ex vivo in skin explants, using infrared spectroscopy. Compared to control NAD+ alone, the LF-NAD+ formulation increased the intracellular NAD+ content and cell survival in HAECs, but not in HEKas. Instead, a significant reduction in the number of senescent cells was observed in both HAECs and HEKas. LF-NAD+ treatment was associated with a reduced expression of p16 in both HAECs and HEKas, and to a significant reduction in p21 in HEKas alone. Finally, LF-NAD+ increases the skin penetration of the active substance NAD+ by 30% compared to the application of NAD+ alone. LF-NAD+, enhances the anti-aging effects of NAD+ on vascular and skin cells. Such in vitro findings might indicate a potential anti-aging role in the microcirculation and in the epidermidis.

求助全文
通过发布文献求助,成功后即可免费获取论文全文。 去求助
来源期刊
Current Issues in Molecular Biology
Current Issues in Molecular Biology 生物-生化研究方法
CiteScore
2.90
自引率
3.20%
发文量
380
审稿时长
>12 weeks
期刊介绍: Current Issues in Molecular Biology (CIMB) is a peer-reviewed journal publishing review articles and minireviews in all areas of molecular biology and microbiology. Submitted articles are subject to an Article Processing Charge (APC) and are open access immediately upon publication. All manuscripts undergo a peer-review process.
×
引用
GB/T 7714-2015
复制
MLA
复制
APA
复制
导出至
BibTeX EndNote RefMan NoteFirst NoteExpress
×
提示
您的信息不完整,为了账户安全,请先补充。
现在去补充
×
提示
您因"违规操作"
具体请查看互助需知
我知道了
×
提示
确定
请完成安全验证×
copy
已复制链接
快去分享给好友吧!
我知道了
右上角分享
点击右上角分享
0
联系我们:info@booksci.cn Book学术提供免费学术资源搜索服务,方便国内外学者检索中英文文献。致力于提供最便捷和优质的服务体验。 Copyright © 2023 布克学术 All rights reserved.
京ICP备2023020795号-1
ghs 京公网安备 11010802042870号
Book学术文献互助
Book学术文献互助群
群 号:604180095
Book学术官方微信