NSG小鼠颅内胶质母细胞瘤PDX模型的建立

IF 1.7 4区 化学 Q4 BIOCHEMISTRY & MOLECULAR BIOLOGY
N. V. Antipova, D. A. Bondarenko, D. V. Mazur, A. A. Isakova, M. E. Gasparian, O. I. Patsap, V. M. Pavlov, E. S. Mikhailov, N. A. Goryacheva, D. I. Rzhevsky, S. G. Semushina, D. A. Dolgikh, A. N. Murashev, A. V. Yagolovich
{"title":"NSG小鼠颅内胶质母细胞瘤PDX模型的建立","authors":"N. V. Antipova,&nbsp;D. A. Bondarenko,&nbsp;D. V. Mazur,&nbsp;A. A. Isakova,&nbsp;M. E. Gasparian,&nbsp;O. I. Patsap,&nbsp;V. M. Pavlov,&nbsp;E. S. Mikhailov,&nbsp;N. A. Goryacheva,&nbsp;D. I. Rzhevsky,&nbsp;S. G. Semushina,&nbsp;D. A. Dolgikh,&nbsp;A. N. Murashev,&nbsp;A. V. Yagolovich","doi":"10.1134/S1068162025602514","DOIUrl":null,"url":null,"abstract":"<p><b>Objective:</b> Establishment of an orthotopic intracranial model from human glioblastoma cell culture in immunodeficient mice is important both for studying the invasiveness and aggressiveness of tumor cells and for developing a reliable model for assessing the effectiveness of new drugs for glioblastoma therapy. The aim of this work was to perform a comparative study of tumorigenicity of established and primary patient-derived glioblastoma cells during subcutaneous and orthotopic intracranial xenotransplantation into immunodeficient NSG mice. <b>Methods:</b> The glioblastoma cell line U87MG and primary patient-derived glioblastoma cells (022 culture) were characterized in terms of morphology and molecular subtype. The expression of specific markers was analyzed by RNA-seq. Cells were xenografted into immunodeficient NSG mice either subcutaneously or orthotopically into the corpus striatum. Tumors were examined using immunohistochemical staining for glial markers. <b>Results and Discussion:</b> It was shown that in both groups of animals with orthotopic xenografts, tumors grew both deep into the brain tissue and on the brain surface, and in the case of the primary 022 culture, growth toward the ventricles was also noted. Morphologically, primary 022 cells had an epithelioid morphology, while U87MG cells were more sarcomatoid. Importantly, the U87MG cell line was tumorigenic in both localizations. However, the primary 022 culture formed tumors only during intracranial, but not during subcutaneous xenotransplantation, which indicates the neurospecificity of this model. <b>Conclusions:</b> The primary patient-derived glioblastoma culture 022 may serve as a more relevant model of glioblastoma compared to the U87MG cell line-based model.</p>","PeriodicalId":758,"journal":{"name":"Russian Journal of Bioorganic Chemistry","volume":"51 5","pages":"2034 - 2040"},"PeriodicalIF":1.7000,"publicationDate":"2025-09-28","publicationTypes":"Journal Article","fieldsOfStudy":null,"isOpenAccess":false,"openAccessPdf":"","citationCount":"0","resultStr":"{\"title\":\"Development of an Experimental Intracranial PDX Model of Human Glioblastoma in NSG Mice\",\"authors\":\"N. V. Antipova,&nbsp;D. A. Bondarenko,&nbsp;D. V. Mazur,&nbsp;A. A. Isakova,&nbsp;M. E. Gasparian,&nbsp;O. I. Patsap,&nbsp;V. M. Pavlov,&nbsp;E. S. Mikhailov,&nbsp;N. A. Goryacheva,&nbsp;D. I. Rzhevsky,&nbsp;S. G. Semushina,&nbsp;D. A. Dolgikh,&nbsp;A. N. Murashev,&nbsp;A. V. Yagolovich\",\"doi\":\"10.1134/S1068162025602514\",\"DOIUrl\":null,\"url\":null,\"abstract\":\"<p><b>Objective:</b> Establishment of an orthotopic intracranial model from human glioblastoma cell culture in immunodeficient mice is important both for studying the invasiveness and aggressiveness of tumor cells and for developing a reliable model for assessing the effectiveness of new drugs for glioblastoma therapy. The aim of this work was to perform a comparative study of tumorigenicity of established and primary patient-derived glioblastoma cells during subcutaneous and orthotopic intracranial xenotransplantation into immunodeficient NSG mice. <b>Methods:</b> The glioblastoma cell line U87MG and primary patient-derived glioblastoma cells (022 culture) were characterized in terms of morphology and molecular subtype. The expression of specific markers was analyzed by RNA-seq. Cells were xenografted into immunodeficient NSG mice either subcutaneously or orthotopically into the corpus striatum. Tumors were examined using immunohistochemical staining for glial markers. <b>Results and Discussion:</b> It was shown that in both groups of animals with orthotopic xenografts, tumors grew both deep into the brain tissue and on the brain surface, and in the case of the primary 022 culture, growth toward the ventricles was also noted. Morphologically, primary 022 cells had an epithelioid morphology, while U87MG cells were more sarcomatoid. Importantly, the U87MG cell line was tumorigenic in both localizations. However, the primary 022 culture formed tumors only during intracranial, but not during subcutaneous xenotransplantation, which indicates the neurospecificity of this model. <b>Conclusions:</b> The primary patient-derived glioblastoma culture 022 may serve as a more relevant model of glioblastoma compared to the U87MG cell line-based model.</p>\",\"PeriodicalId\":758,\"journal\":{\"name\":\"Russian Journal of Bioorganic Chemistry\",\"volume\":\"51 5\",\"pages\":\"2034 - 2040\"},\"PeriodicalIF\":1.7000,\"publicationDate\":\"2025-09-28\",\"publicationTypes\":\"Journal Article\",\"fieldsOfStudy\":null,\"isOpenAccess\":false,\"openAccessPdf\":\"\",\"citationCount\":\"0\",\"resultStr\":null,\"platform\":\"Semanticscholar\",\"paperid\":null,\"PeriodicalName\":\"Russian Journal of Bioorganic Chemistry\",\"FirstCategoryId\":\"92\",\"ListUrlMain\":\"https://link.springer.com/article/10.1134/S1068162025602514\",\"RegionNum\":4,\"RegionCategory\":\"化学\",\"ArticlePicture\":[],\"TitleCN\":null,\"AbstractTextCN\":null,\"PMCID\":null,\"EPubDate\":\"\",\"PubModel\":\"\",\"JCR\":\"Q4\",\"JCRName\":\"BIOCHEMISTRY & MOLECULAR BIOLOGY\",\"Score\":null,\"Total\":0}","platform":"Semanticscholar","paperid":null,"PeriodicalName":"Russian Journal of Bioorganic Chemistry","FirstCategoryId":"92","ListUrlMain":"https://link.springer.com/article/10.1134/S1068162025602514","RegionNum":4,"RegionCategory":"化学","ArticlePicture":[],"TitleCN":null,"AbstractTextCN":null,"PMCID":null,"EPubDate":"","PubModel":"","JCR":"Q4","JCRName":"BIOCHEMISTRY & MOLECULAR BIOLOGY","Score":null,"Total":0}
引用次数: 0

摘要

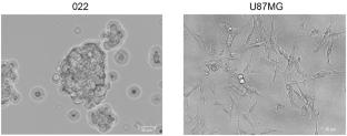
目的:利用人胶质母细胞瘤细胞培养物在免疫缺陷小鼠中建立原位颅内模型,对研究肿瘤细胞的侵袭性和侵袭性以及建立可靠的模型来评估治疗胶质母细胞瘤新药的有效性具有重要意义。本研究的目的是对免疫缺陷NSG小鼠皮下和原位颅内异种移植过程中已建立的和原发的患者来源的胶质母细胞瘤细胞的致瘤性进行比较研究。方法:对胶质母细胞瘤细胞系U87MG和原发患者源性胶质母细胞瘤细胞(022培养)进行形态学和分子分型分析。通过RNA-seq分析特异性标记的表达。将细胞移植到免疫缺陷NSG小鼠的纹状体皮下或原位。肿瘤采用免疫组织化学染色检测神经胶质标志物。结果和讨论:结果表明,在两组原位异种移植物动物中,肿瘤都生长到脑组织深处和脑表面,并且在原代022培养的情况下,也注意到肿瘤向脑室生长。形态学上,原代022细胞具有上皮样形态,而U87MG细胞更具有肉瘤样形态。重要的是,U87MG细胞系在两种定位中都具有致瘤性。然而,原代022培养只在颅内形成肿瘤,而在皮下异种移植中没有形成肿瘤,这表明该模型具有神经特异性。结论:与基于U87MG细胞系的胶质母细胞瘤模型相比,原发性患者源性胶质母细胞瘤培养物022可能是一种更相关的胶质母细胞瘤模型。
本文章由计算机程序翻译,如有差异,请以英文原文为准。

Development of an Experimental Intracranial PDX Model of Human Glioblastoma in NSG Mice

Development of an Experimental Intracranial PDX Model of Human Glioblastoma in NSG Mice

Objective: Establishment of an orthotopic intracranial model from human glioblastoma cell culture in immunodeficient mice is important both for studying the invasiveness and aggressiveness of tumor cells and for developing a reliable model for assessing the effectiveness of new drugs for glioblastoma therapy. The aim of this work was to perform a comparative study of tumorigenicity of established and primary patient-derived glioblastoma cells during subcutaneous and orthotopic intracranial xenotransplantation into immunodeficient NSG mice. Methods: The glioblastoma cell line U87MG and primary patient-derived glioblastoma cells (022 culture) were characterized in terms of morphology and molecular subtype. The expression of specific markers was analyzed by RNA-seq. Cells were xenografted into immunodeficient NSG mice either subcutaneously or orthotopically into the corpus striatum. Tumors were examined using immunohistochemical staining for glial markers. Results and Discussion: It was shown that in both groups of animals with orthotopic xenografts, tumors grew both deep into the brain tissue and on the brain surface, and in the case of the primary 022 culture, growth toward the ventricles was also noted. Morphologically, primary 022 cells had an epithelioid morphology, while U87MG cells were more sarcomatoid. Importantly, the U87MG cell line was tumorigenic in both localizations. However, the primary 022 culture formed tumors only during intracranial, but not during subcutaneous xenotransplantation, which indicates the neurospecificity of this model. Conclusions: The primary patient-derived glioblastoma culture 022 may serve as a more relevant model of glioblastoma compared to the U87MG cell line-based model.

求助全文
通过发布文献求助,成功后即可免费获取论文全文。 去求助
来源期刊
Russian Journal of Bioorganic Chemistry
Russian Journal of Bioorganic Chemistry 生物-生化与分子生物学
CiteScore
1.80
自引率
10.00%
发文量
118
审稿时长
3 months
期刊介绍: Russian Journal of Bioorganic Chemistry publishes reviews and original experimental and theoretical studies on the structure, function, structure–activity relationships, and synthesis of biopolymers, such as proteins, nucleic acids, polysaccharides, mixed biopolymers, and their complexes, and low-molecular-weight biologically active compounds (peptides, sugars, lipids, antibiotics, etc.). The journal also covers selected aspects of neuro- and immunochemistry, biotechnology, and ecology.
×
引用
GB/T 7714-2015
复制
MLA
复制
APA
复制
导出至
BibTeX EndNote RefMan NoteFirst NoteExpress
×
提示
您的信息不完整,为了账户安全,请先补充。
现在去补充
×
提示
您因"违规操作"
具体请查看互助需知
我知道了
×
提示
确定
请完成安全验证×
copy
已复制链接
快去分享给好友吧!
我知道了
右上角分享
点击右上角分享
0
联系我们:info@booksci.cn Book学术提供免费学术资源搜索服务,方便国内外学者检索中英文文献。致力于提供最便捷和优质的服务体验。 Copyright © 2023 布克学术 All rights reserved.
京ICP备2023020795号-1
ghs 京公网安备 11010802042870号
Book学术文献互助
Book学术文献互助群
群 号:604180095
Book学术官方微信