交联羧甲基纤维素和丝蛋白在角膜再上皮化中的作用:一个案例系列。

IF 2.9 3区 医学 Q1 MEDICINE, GENERAL & INTERNAL
Francesco Boselli, Fabio Scarinci, Romina Fasciani
{"title":"交联羧甲基纤维素和丝蛋白在角膜再上皮化中的作用:一个案例系列。","authors":"Francesco Boselli, Fabio Scarinci, Romina Fasciani","doi":"10.3390/jcm14186600","DOIUrl":null,"url":null,"abstract":"<p><p><b>Background/Objectives:</b> Corneal re-epithelialization is a critical process following surgical procedures such as photorefractive keratectomy (PRK), phototherapeutic keratectomy (PTK), and corneal UV cross-linking (CXL), as well as cases of corneal abrasion. Delayed epithelial healing can lead to increased discomfort, a higher risk of infection, and suboptimal visual outcomes. This retrospective case series aims to evaluate the efficacy of a novel ophthalmic solution containing cross-linked carboxymethyl cellulose (CX-CMC) and silk proteins in promoting corneal re-epithelialization and improving post-surgical recovery. <b>Patients and methods:</b> A total of 15 patients who underwent PRK, PTK, or CXL or who presented with corneal abrasions were included in the study. Along with standard post-surgical treatment, patients received CX-CMC and silk protein-based eye drops (CORDEV, Ophtagon, Rome, Italy) six times a day. Corneal epithelial thickness was assessed using topography at follow-up visits. <b>Results:</b> Corneal re-epithelialization was observed in all subjects within 24 to 48 h post-procedure. The mean corneal epithelial thickness at 48 h was 73.21 µm, which falls within the typical range of a proliferating corneal epithelium. <b>Conclusions</b>: The CX-CMC and silk protein-based formulation accelerated corneal healing, achieving rapid epithelial recovery. This novel ophthalmic solution offers a promising alternative to conventional post-surgical treatments, potentially improving patient outcomes by reducing healing time, minimising discomfort, and lowering the risk of complications associated with delayed re-epithelialization.</p>","PeriodicalId":15533,"journal":{"name":"Journal of Clinical Medicine","volume":"14 18","pages":""},"PeriodicalIF":2.9000,"publicationDate":"2025-09-19","publicationTypes":"Journal Article","fieldsOfStudy":null,"isOpenAccess":false,"openAccessPdf":"https://www.ncbi.nlm.nih.gov/pmc/articles/PMC12470781/pdf/","citationCount":"0","resultStr":"{\"title\":\"Cross-Linked Carboxymethyl Cellulose and Silk Proteins in Corneal Re-Epithelialization: A Case Series.\",\"authors\":\"Francesco Boselli, Fabio Scarinci, Romina Fasciani\",\"doi\":\"10.3390/jcm14186600\",\"DOIUrl\":null,\"url\":null,\"abstract\":\"<p><p><b>Background/Objectives:</b> Corneal re-epithelialization is a critical process following surgical procedures such as photorefractive keratectomy (PRK), phototherapeutic keratectomy (PTK), and corneal UV cross-linking (CXL), as well as cases of corneal abrasion. Delayed epithelial healing can lead to increased discomfort, a higher risk of infection, and suboptimal visual outcomes. This retrospective case series aims to evaluate the efficacy of a novel ophthalmic solution containing cross-linked carboxymethyl cellulose (CX-CMC) and silk proteins in promoting corneal re-epithelialization and improving post-surgical recovery. <b>Patients and methods:</b> A total of 15 patients who underwent PRK, PTK, or CXL or who presented with corneal abrasions were included in the study. Along with standard post-surgical treatment, patients received CX-CMC and silk protein-based eye drops (CORDEV, Ophtagon, Rome, Italy) six times a day. Corneal epithelial thickness was assessed using topography at follow-up visits. <b>Results:</b> Corneal re-epithelialization was observed in all subjects within 24 to 48 h post-procedure. The mean corneal epithelial thickness at 48 h was 73.21 µm, which falls within the typical range of a proliferating corneal epithelium. <b>Conclusions</b>: The CX-CMC and silk protein-based formulation accelerated corneal healing, achieving rapid epithelial recovery. This novel ophthalmic solution offers a promising alternative to conventional post-surgical treatments, potentially improving patient outcomes by reducing healing time, minimising discomfort, and lowering the risk of complications associated with delayed re-epithelialization.</p>\",\"PeriodicalId\":15533,\"journal\":{\"name\":\"Journal of Clinical Medicine\",\"volume\":\"14 18\",\"pages\":\"\"},\"PeriodicalIF\":2.9000,\"publicationDate\":\"2025-09-19\",\"publicationTypes\":\"Journal Article\",\"fieldsOfStudy\":null,\"isOpenAccess\":false,\"openAccessPdf\":\"https://www.ncbi.nlm.nih.gov/pmc/articles/PMC12470781/pdf/\",\"citationCount\":\"0\",\"resultStr\":null,\"platform\":\"Semanticscholar\",\"paperid\":null,\"PeriodicalName\":\"Journal of Clinical Medicine\",\"FirstCategoryId\":\"3\",\"ListUrlMain\":\"https://doi.org/10.3390/jcm14186600\",\"RegionNum\":3,\"RegionCategory\":\"医学\",\"ArticlePicture\":[],\"TitleCN\":null,\"AbstractTextCN\":null,\"PMCID\":null,\"EPubDate\":\"\",\"PubModel\":\"\",\"JCR\":\"Q1\",\"JCRName\":\"MEDICINE, GENERAL & INTERNAL\",\"Score\":null,\"Total\":0}","platform":"Semanticscholar","paperid":null,"PeriodicalName":"Journal of Clinical Medicine","FirstCategoryId":"3","ListUrlMain":"https://doi.org/10.3390/jcm14186600","RegionNum":3,"RegionCategory":"医学","ArticlePicture":[],"TitleCN":null,"AbstractTextCN":null,"PMCID":null,"EPubDate":"","PubModel":"","JCR":"Q1","JCRName":"MEDICINE, GENERAL & INTERNAL","Score":null,"Total":0}
引用次数: 0

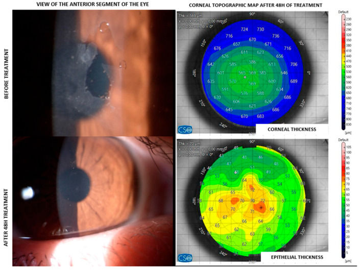
摘要

背景/目的:角膜再上皮化是角膜屈光性角膜切除术(PRK)、光疗性角膜切除术(PTK)、角膜UV交联(CXL)等手术以及角膜磨损病例后的关键过程。上皮愈合延迟可导致不适增加、感染风险增加和视力不佳。本回顾性病例系列旨在评估一种含有交联羧甲基纤维素(CX-CMC)和丝蛋白的新型眼科溶液在促进角膜再上皮化和改善术后恢复方面的疗效。患者和方法:共有15例患者接受了PRK、PTK或CXL,或出现角膜磨损。除了标准的术后治疗外,患者每天接受6次CX-CMC和丝蛋白滴眼液(CORDEV, Ophtagon, Rome, Italy)。随访时使用地形图评估角膜上皮厚度。结果:所有受试者在术后24 ~ 48小时内均观察到角膜再上皮化。48 h时的平均角膜上皮厚度为73.21µm,属于典型的角膜上皮增生范围。结论:CX-CMC和丝蛋白基制剂可促进角膜愈合,实现快速上皮恢复。这种新颖的眼科解决方案为传统的术后治疗提供了一个有希望的替代方案,通过缩短愈合时间、减少不适和降低延迟再上皮化相关并发症的风险,有可能改善患者的预后。
本文章由计算机程序翻译,如有差异,请以英文原文为准。

Cross-Linked Carboxymethyl Cellulose and Silk Proteins in Corneal Re-Epithelialization: A Case Series.

Cross-Linked Carboxymethyl Cellulose and Silk Proteins in Corneal Re-Epithelialization: A Case Series.

Cross-Linked Carboxymethyl Cellulose and Silk Proteins in Corneal Re-Epithelialization: A Case Series.

Background/Objectives: Corneal re-epithelialization is a critical process following surgical procedures such as photorefractive keratectomy (PRK), phototherapeutic keratectomy (PTK), and corneal UV cross-linking (CXL), as well as cases of corneal abrasion. Delayed epithelial healing can lead to increased discomfort, a higher risk of infection, and suboptimal visual outcomes. This retrospective case series aims to evaluate the efficacy of a novel ophthalmic solution containing cross-linked carboxymethyl cellulose (CX-CMC) and silk proteins in promoting corneal re-epithelialization and improving post-surgical recovery. Patients and methods: A total of 15 patients who underwent PRK, PTK, or CXL or who presented with corneal abrasions were included in the study. Along with standard post-surgical treatment, patients received CX-CMC and silk protein-based eye drops (CORDEV, Ophtagon, Rome, Italy) six times a day. Corneal epithelial thickness was assessed using topography at follow-up visits. Results: Corneal re-epithelialization was observed in all subjects within 24 to 48 h post-procedure. The mean corneal epithelial thickness at 48 h was 73.21 µm, which falls within the typical range of a proliferating corneal epithelium. Conclusions: The CX-CMC and silk protein-based formulation accelerated corneal healing, achieving rapid epithelial recovery. This novel ophthalmic solution offers a promising alternative to conventional post-surgical treatments, potentially improving patient outcomes by reducing healing time, minimising discomfort, and lowering the risk of complications associated with delayed re-epithelialization.

求助全文
通过发布文献求助,成功后即可免费获取论文全文。 去求助
来源期刊
Journal of Clinical Medicine
Journal of Clinical Medicine MEDICINE, GENERAL & INTERNAL-
CiteScore
5.70
自引率
7.70%
发文量
6468
审稿时长
16.32 days
期刊介绍: Journal of Clinical Medicine (ISSN 2077-0383), is an international scientific open access journal, providing a platform for advances in health care/clinical practices, the study of direct observation of patients and general medical research. This multi-disciplinary journal is aimed at a wide audience of medical researchers and healthcare professionals. Unique features of this journal: manuscripts regarding original research and ideas will be particularly welcomed.JCM also accepts reviews, communications, and short notes. There is no limit to publication length: our aim is to encourage scientists to publish their experimental and theoretical results in as much detail as possible.
×
引用
GB/T 7714-2015
复制
MLA
复制
APA
复制
导出至
BibTeX EndNote RefMan NoteFirst NoteExpress
×
提示
您的信息不完整,为了账户安全,请先补充。
现在去补充
×
提示
您因"违规操作"
具体请查看互助需知
我知道了
×
提示
确定
请完成安全验证×
copy
已复制链接
快去分享给好友吧!
我知道了
右上角分享
点击右上角分享
0
联系我们:info@booksci.cn Book学术提供免费学术资源搜索服务,方便国内外学者检索中英文文献。致力于提供最便捷和优质的服务体验。 Copyright © 2023 布克学术 All rights reserved.
京ICP备2023020795号-1
ghs 京公网安备 11010802042870号
Book学术文献互助
Book学术文献互助群
群 号:604180095
Book学术官方微信