使用Hugo™RAS系统的直肠癌机器人辅助全盆腔切除:第一例报告。

IF 2.9 3区 医学 Q1 MEDICINE, GENERAL & INTERNAL
Kosuke Hiramatsu, Shigeo Toda, Shuichiro Matoba, Daisuke Tomita, Yusuke Maeda, Naoto Okazaki, Yudai Fukui, Yutaka Hanaoka, Masashi Ueno, Suguru Oka, Tomoaki Eguchi, Hiroya Kuroyanagi
{"title":"使用Hugo™RAS系统的直肠癌机器人辅助全盆腔切除:第一例报告。","authors":"Kosuke Hiramatsu, Shigeo Toda, Shuichiro Matoba, Daisuke Tomita, Yusuke Maeda, Naoto Okazaki, Yudai Fukui, Yutaka Hanaoka, Masashi Ueno, Suguru Oka, Tomoaki Eguchi, Hiroya Kuroyanagi","doi":"10.3390/jcm14186603","DOIUrl":null,"url":null,"abstract":"<p><p><b>Introduction</b>: Total pelvic exenteration (TPE) is a radical procedure for advanced pelvic malignancies involving adjacent organs. The Hugo™ RAS System is a novel robotic platform, but its application in TPE has not previously been reported. We describe the first case of robotic-assisted TPE using Hugo™ RAS in a patient with locally advanced rectal cancer invading the prostate. <b>Methods</b>: A 69-year-old male with mucous and bloody stools was diagnosed with cT4b (prostate, levator ani muscle) N0M0 rectal cancer. After short-course radiotherapy (25 Gy/5 fractions), robotic-assisted TPE was performed. Port placement was planned to coincide with future colostomy and urostomy sites to minimize abdominal wall trauma. En bloc resection was achieved, followed by pelvic reconstruction with a gluteus maximus musculocutaneous flap and fascia lata autograft. Urinary diversion was completed with a robotic intracorporeal Wallace-type ileal conduit. <b>Results</b>: The operation lasted 17 h 56 min, with 175 mL blood loss. Postoperatively, Clavien-Dindo grade IIIa paralytic ileus occurred but was managed conservatively. Pathology revealed pT4b (prostate) N1a M0 disease with negative circumferential margin (11 mm). No recurrence was observed at 9 months. <b>Conclusions</b>: This case highlights the technical feasibility and safety of Hugo™ RAS-assisted TPE. Further clinical experience is needed to confirm reproducibility and oncologic safety.</p>","PeriodicalId":15533,"journal":{"name":"Journal of Clinical Medicine","volume":"14 18","pages":""},"PeriodicalIF":2.9000,"publicationDate":"2025-09-19","publicationTypes":"Journal Article","fieldsOfStudy":null,"isOpenAccess":false,"openAccessPdf":"https://www.ncbi.nlm.nih.gov/pmc/articles/PMC12471104/pdf/","citationCount":"0","resultStr":"{\"title\":\"Robotic-Assisted Total Pelvic Exenteration for Rectal Cancer Using the Hugo™ RAS System: First Case Report.\",\"authors\":\"Kosuke Hiramatsu, Shigeo Toda, Shuichiro Matoba, Daisuke Tomita, Yusuke Maeda, Naoto Okazaki, Yudai Fukui, Yutaka Hanaoka, Masashi Ueno, Suguru Oka, Tomoaki Eguchi, Hiroya Kuroyanagi\",\"doi\":\"10.3390/jcm14186603\",\"DOIUrl\":null,\"url\":null,\"abstract\":\"<p><p><b>Introduction</b>: Total pelvic exenteration (TPE) is a radical procedure for advanced pelvic malignancies involving adjacent organs. The Hugo™ RAS System is a novel robotic platform, but its application in TPE has not previously been reported. We describe the first case of robotic-assisted TPE using Hugo™ RAS in a patient with locally advanced rectal cancer invading the prostate. <b>Methods</b>: A 69-year-old male with mucous and bloody stools was diagnosed with cT4b (prostate, levator ani muscle) N0M0 rectal cancer. After short-course radiotherapy (25 Gy/5 fractions), robotic-assisted TPE was performed. Port placement was planned to coincide with future colostomy and urostomy sites to minimize abdominal wall trauma. En bloc resection was achieved, followed by pelvic reconstruction with a gluteus maximus musculocutaneous flap and fascia lata autograft. Urinary diversion was completed with a robotic intracorporeal Wallace-type ileal conduit. <b>Results</b>: The operation lasted 17 h 56 min, with 175 mL blood loss. Postoperatively, Clavien-Dindo grade IIIa paralytic ileus occurred but was managed conservatively. Pathology revealed pT4b (prostate) N1a M0 disease with negative circumferential margin (11 mm). No recurrence was observed at 9 months. <b>Conclusions</b>: This case highlights the technical feasibility and safety of Hugo™ RAS-assisted TPE. Further clinical experience is needed to confirm reproducibility and oncologic safety.</p>\",\"PeriodicalId\":15533,\"journal\":{\"name\":\"Journal of Clinical Medicine\",\"volume\":\"14 18\",\"pages\":\"\"},\"PeriodicalIF\":2.9000,\"publicationDate\":\"2025-09-19\",\"publicationTypes\":\"Journal Article\",\"fieldsOfStudy\":null,\"isOpenAccess\":false,\"openAccessPdf\":\"https://www.ncbi.nlm.nih.gov/pmc/articles/PMC12471104/pdf/\",\"citationCount\":\"0\",\"resultStr\":null,\"platform\":\"Semanticscholar\",\"paperid\":null,\"PeriodicalName\":\"Journal of Clinical Medicine\",\"FirstCategoryId\":\"3\",\"ListUrlMain\":\"https://doi.org/10.3390/jcm14186603\",\"RegionNum\":3,\"RegionCategory\":\"医学\",\"ArticlePicture\":[],\"TitleCN\":null,\"AbstractTextCN\":null,\"PMCID\":null,\"EPubDate\":\"\",\"PubModel\":\"\",\"JCR\":\"Q1\",\"JCRName\":\"MEDICINE, GENERAL & INTERNAL\",\"Score\":null,\"Total\":0}","platform":"Semanticscholar","paperid":null,"PeriodicalName":"Journal of Clinical Medicine","FirstCategoryId":"3","ListUrlMain":"https://doi.org/10.3390/jcm14186603","RegionNum":3,"RegionCategory":"医学","ArticlePicture":[],"TitleCN":null,"AbstractTextCN":null,"PMCID":null,"EPubDate":"","PubModel":"","JCR":"Q1","JCRName":"MEDICINE, GENERAL & INTERNAL","Score":null,"Total":0}
引用次数: 0

摘要

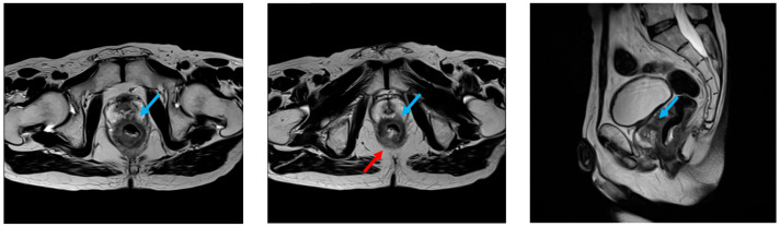
全盆腔切除(TPE)是一种根治性手术,用于晚期盆腔恶性肿瘤累及邻近器官。Hugo™RAS系统是一种新颖的机器人平台,但其在TPE中的应用此前尚未报道。我们描述了第一例使用Hugo™RAS进行机器人辅助TPE的患者,该患者局部晚期直肠癌侵犯前列腺。方法:69岁男性,以黏液及血便诊断为cT4b(前列腺提肛肌)N0M0直肠癌。在短期放疗(25 Gy/5次)后,进行机器人辅助TPE。端口放置计划与未来结肠造口和尿造口的位置一致,以尽量减少腹壁创伤。完成了整体切除,随后用臀大肌皮瓣和自体阔筋膜移植重建盆腔。通过机器人体内华莱士型回肠导管完成尿分流。结果:手术时间17 h 56 min,出血量175 mL。术后发生Clavien-Dindo IIIa级麻痹性肠梗阻,但予以保守处理。病理显示pT4b(前列腺)N1a M0病变,周缘阴性(11 mm)。9个月无复发。结论:该病例强调了Hugo™ras辅助TPE的技术可行性和安全性。需要进一步的临床经验来确认可重复性和肿瘤安全性。
本文章由计算机程序翻译,如有差异,请以英文原文为准。

Robotic-Assisted Total Pelvic Exenteration for Rectal Cancer Using the Hugo™ RAS System: First Case Report.

Robotic-Assisted Total Pelvic Exenteration for Rectal Cancer Using the Hugo™ RAS System: First Case Report.

Robotic-Assisted Total Pelvic Exenteration for Rectal Cancer Using the Hugo™ RAS System: First Case Report.

Robotic-Assisted Total Pelvic Exenteration for Rectal Cancer Using the Hugo™ RAS System: First Case Report.

Introduction: Total pelvic exenteration (TPE) is a radical procedure for advanced pelvic malignancies involving adjacent organs. The Hugo™ RAS System is a novel robotic platform, but its application in TPE has not previously been reported. We describe the first case of robotic-assisted TPE using Hugo™ RAS in a patient with locally advanced rectal cancer invading the prostate. Methods: A 69-year-old male with mucous and bloody stools was diagnosed with cT4b (prostate, levator ani muscle) N0M0 rectal cancer. After short-course radiotherapy (25 Gy/5 fractions), robotic-assisted TPE was performed. Port placement was planned to coincide with future colostomy and urostomy sites to minimize abdominal wall trauma. En bloc resection was achieved, followed by pelvic reconstruction with a gluteus maximus musculocutaneous flap and fascia lata autograft. Urinary diversion was completed with a robotic intracorporeal Wallace-type ileal conduit. Results: The operation lasted 17 h 56 min, with 175 mL blood loss. Postoperatively, Clavien-Dindo grade IIIa paralytic ileus occurred but was managed conservatively. Pathology revealed pT4b (prostate) N1a M0 disease with negative circumferential margin (11 mm). No recurrence was observed at 9 months. Conclusions: This case highlights the technical feasibility and safety of Hugo™ RAS-assisted TPE. Further clinical experience is needed to confirm reproducibility and oncologic safety.

求助全文
通过发布文献求助,成功后即可免费获取论文全文。 去求助
来源期刊
Journal of Clinical Medicine
Journal of Clinical Medicine MEDICINE, GENERAL & INTERNAL-
CiteScore
5.70
自引率
7.70%
发文量
6468
审稿时长
16.32 days
期刊介绍: Journal of Clinical Medicine (ISSN 2077-0383), is an international scientific open access journal, providing a platform for advances in health care/clinical practices, the study of direct observation of patients and general medical research. This multi-disciplinary journal is aimed at a wide audience of medical researchers and healthcare professionals. Unique features of this journal: manuscripts regarding original research and ideas will be particularly welcomed.JCM also accepts reviews, communications, and short notes. There is no limit to publication length: our aim is to encourage scientists to publish their experimental and theoretical results in as much detail as possible.
×
引用
GB/T 7714-2015
复制
MLA
复制
APA
复制
导出至
BibTeX EndNote RefMan NoteFirst NoteExpress
×
提示
您的信息不完整,为了账户安全,请先补充。
现在去补充
×
提示
您因"违规操作"
具体请查看互助需知
我知道了
×
提示
确定
请完成安全验证×
copy
已复制链接
快去分享给好友吧!
我知道了
右上角分享
点击右上角分享
0
联系我们:info@booksci.cn Book学术提供免费学术资源搜索服务,方便国内外学者检索中英文文献。致力于提供最便捷和优质的服务体验。 Copyright © 2023 布克学术 All rights reserved.
京ICP备2023020795号-1
ghs 京公网安备 11010802042870号
Book学术文献互助
Book学术文献互助群
群 号:604180095
Book学术官方微信