甲基苯丙胺滥用者血管收缩致节段性脾和左肾梗死1例。

IF 2 Q2 EMERGENCY MEDICINE
Alireza Javidan, Mahdi Rezai, Reza Mosaddegh, Najmeh Zarei Jelyani, Raha Latifaltojar
{"title":"甲基苯丙胺滥用者血管收缩致节段性脾和左肾梗死1例。","authors":"Alireza Javidan, Mahdi Rezai, Reza Mosaddegh, Najmeh Zarei Jelyani, Raha Latifaltojar","doi":"10.1186/s12245-025-01011-1","DOIUrl":null,"url":null,"abstract":"<p><strong>Background: </strong>Methamphetamine is one of the most used illicit drugs worldwide that affects different systems of the body by an immediate and sustained increase of monoamines. Its effect on the central nervous system (CNS) and neurotoxic effects are best known. There are also many reports of its effects on vasoconstriction in some peripheral and large caliber arteries, which results in different organ and limb disturbances.</p><p><strong>Case presentation: </strong>We report a rare case of a man with simultaneous spleen and left kidney infarction captured on contrast-enhanced computed tomographyeffects, without evidence of thrombosis or atherosclerosis, findings strongly suggestive of methamphetamine-induced vasospasm. The patient's abdominal pain improved under observation within days without apparent tissue loss or organ failure. Unfortunately, the patient passed away as a result of bradycardia and cardiac arrest.</p><p><strong>Conclusion: </strong>This very rare case highlights the potentially severe vasospastic complications of methamphetamine abuse, which may result in multiorgan infarction. The fatal outcome in this patient was primarily due to underlying cardiac disease and endocarditis, although methamphetamine-associated cardiovascular strain could not be excluded as a contributor. Clinicians should consider vascular events in methamphetamine users presenting with atypical abdominal pain or any signs of organ dysfunction.</p>","PeriodicalId":13967,"journal":{"name":"International Journal of Emergency Medicine","volume":"18 1","pages":"170"},"PeriodicalIF":2.0000,"publicationDate":"2025-09-26","publicationTypes":"Journal Article","fieldsOfStudy":null,"isOpenAccess":false,"openAccessPdf":"https://www.ncbi.nlm.nih.gov/pmc/articles/PMC12465942/pdf/","citationCount":"0","resultStr":"{\"title\":\"Segmental spleen and left kidney infarction induced by vasoconstriction in a methamphetamine abuser patient: a case report.\",\"authors\":\"Alireza Javidan, Mahdi Rezai, Reza Mosaddegh, Najmeh Zarei Jelyani, Raha Latifaltojar\",\"doi\":\"10.1186/s12245-025-01011-1\",\"DOIUrl\":null,\"url\":null,\"abstract\":\"<p><strong>Background: </strong>Methamphetamine is one of the most used illicit drugs worldwide that affects different systems of the body by an immediate and sustained increase of monoamines. Its effect on the central nervous system (CNS) and neurotoxic effects are best known. There are also many reports of its effects on vasoconstriction in some peripheral and large caliber arteries, which results in different organ and limb disturbances.</p><p><strong>Case presentation: </strong>We report a rare case of a man with simultaneous spleen and left kidney infarction captured on contrast-enhanced computed tomographyeffects, without evidence of thrombosis or atherosclerosis, findings strongly suggestive of methamphetamine-induced vasospasm. The patient's abdominal pain improved under observation within days without apparent tissue loss or organ failure. Unfortunately, the patient passed away as a result of bradycardia and cardiac arrest.</p><p><strong>Conclusion: </strong>This very rare case highlights the potentially severe vasospastic complications of methamphetamine abuse, which may result in multiorgan infarction. The fatal outcome in this patient was primarily due to underlying cardiac disease and endocarditis, although methamphetamine-associated cardiovascular strain could not be excluded as a contributor. Clinicians should consider vascular events in methamphetamine users presenting with atypical abdominal pain or any signs of organ dysfunction.</p>\",\"PeriodicalId\":13967,\"journal\":{\"name\":\"International Journal of Emergency Medicine\",\"volume\":\"18 1\",\"pages\":\"170\"},\"PeriodicalIF\":2.0000,\"publicationDate\":\"2025-09-26\",\"publicationTypes\":\"Journal Article\",\"fieldsOfStudy\":null,\"isOpenAccess\":false,\"openAccessPdf\":\"https://www.ncbi.nlm.nih.gov/pmc/articles/PMC12465942/pdf/\",\"citationCount\":\"0\",\"resultStr\":null,\"platform\":\"Semanticscholar\",\"paperid\":null,\"PeriodicalName\":\"International Journal of Emergency Medicine\",\"FirstCategoryId\":\"1085\",\"ListUrlMain\":\"https://doi.org/10.1186/s12245-025-01011-1\",\"RegionNum\":0,\"RegionCategory\":null,\"ArticlePicture\":[],\"TitleCN\":null,\"AbstractTextCN\":null,\"PMCID\":null,\"EPubDate\":\"\",\"PubModel\":\"\",\"JCR\":\"Q2\",\"JCRName\":\"EMERGENCY MEDICINE\",\"Score\":null,\"Total\":0}","platform":"Semanticscholar","paperid":null,"PeriodicalName":"International Journal of Emergency Medicine","FirstCategoryId":"1085","ListUrlMain":"https://doi.org/10.1186/s12245-025-01011-1","RegionNum":0,"RegionCategory":null,"ArticlePicture":[],"TitleCN":null,"AbstractTextCN":null,"PMCID":null,"EPubDate":"","PubModel":"","JCR":"Q2","JCRName":"EMERGENCY MEDICINE","Score":null,"Total":0}
引用次数: 0

摘要

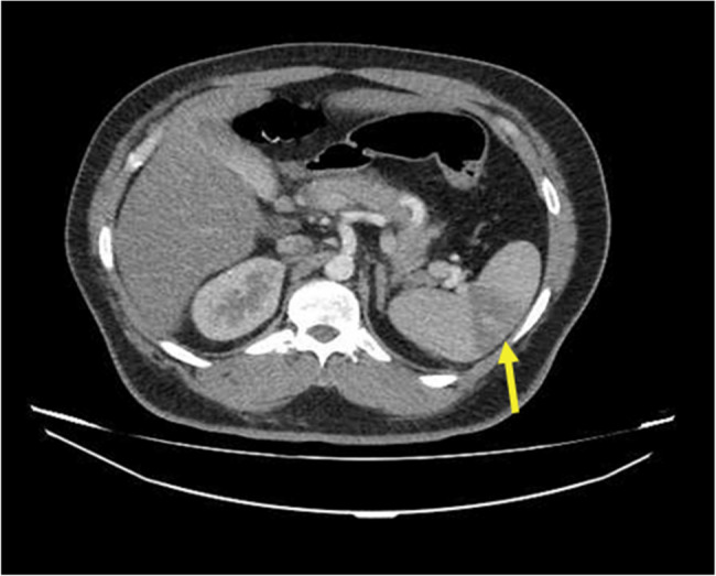
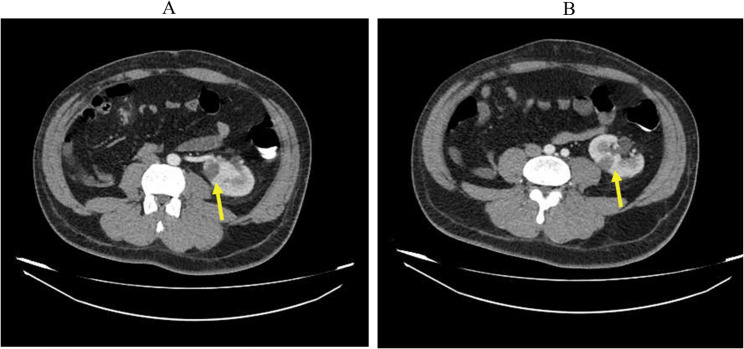
背景:甲基苯丙胺是世界上使用最多的非法药物之一,它通过立即和持续增加单胺来影响身体的不同系统。其对中枢神经系统(CNS)的影响和神经毒性作用最为人所知。也有许多报道称其对一些外周动脉和大口径动脉的血管收缩作用,从而导致不同器官和肢体的紊乱。病例介绍:我们报告一例罕见的男性脾和左肾同时梗死的病例,对比增强计算机断层扫描显示,没有血栓形成或动脉粥样硬化的证据,结果强烈提示甲基苯丙胺引起的血管痉挛。在观察下,病人的腹痛在几天内得到改善,没有明显的组织损失或器官衰竭。不幸的是,病人因心动过缓和心脏骤停而去世。结论:这一罕见病例突出了甲基苯丙胺滥用可能导致的严重血管痉挛并发症,可能导致多器官梗死。该患者的致命结果主要是由于潜在的心脏疾病和心内膜炎,尽管不能排除甲基苯丙胺相关的心血管菌株是一个因素。临床医生应考虑血管事件甲基苯丙胺使用者表现为非典型腹痛或任何器官功能障碍的迹象。
本文章由计算机程序翻译,如有差异,请以英文原文为准。

Segmental spleen and left kidney infarction induced by vasoconstriction in a methamphetamine abuser patient: a case report.

Segmental spleen and left kidney infarction induced by vasoconstriction in a methamphetamine abuser patient: a case report.

Segmental spleen and left kidney infarction induced by vasoconstriction in a methamphetamine abuser patient: a case report.

Background: Methamphetamine is one of the most used illicit drugs worldwide that affects different systems of the body by an immediate and sustained increase of monoamines. Its effect on the central nervous system (CNS) and neurotoxic effects are best known. There are also many reports of its effects on vasoconstriction in some peripheral and large caliber arteries, which results in different organ and limb disturbances.

Case presentation: We report a rare case of a man with simultaneous spleen and left kidney infarction captured on contrast-enhanced computed tomographyeffects, without evidence of thrombosis or atherosclerosis, findings strongly suggestive of methamphetamine-induced vasospasm. The patient's abdominal pain improved under observation within days without apparent tissue loss or organ failure. Unfortunately, the patient passed away as a result of bradycardia and cardiac arrest.

Conclusion: This very rare case highlights the potentially severe vasospastic complications of methamphetamine abuse, which may result in multiorgan infarction. The fatal outcome in this patient was primarily due to underlying cardiac disease and endocarditis, although methamphetamine-associated cardiovascular strain could not be excluded as a contributor. Clinicians should consider vascular events in methamphetamine users presenting with atypical abdominal pain or any signs of organ dysfunction.

求助全文
通过发布文献求助,成功后即可免费获取论文全文。 去求助
来源期刊
CiteScore
4.60
自引率
0.00%
发文量
63
审稿时长
13 weeks
期刊介绍: The aim of the journal is to bring to light the various clinical advancements and research developments attained over the world and thus help the specialty forge ahead. It is directed towards physicians and medical personnel undergoing training or working within the field of Emergency Medicine. Medical students who are interested in pursuing a career in Emergency Medicine will also benefit from the journal. This is particularly useful for trainees in countries where the specialty is still in its infancy. Disciplines covered will include interesting clinical cases, the latest evidence-based practice and research developments in Emergency medicine including emergency pediatrics.
×
引用
GB/T 7714-2015
复制
MLA
复制
APA
复制
导出至
BibTeX EndNote RefMan NoteFirst NoteExpress
×
提示
您的信息不完整,为了账户安全,请先补充。
现在去补充
×
提示
您因"违规操作"
具体请查看互助需知
我知道了
×
提示
确定
请完成安全验证×
copy
已复制链接
快去分享给好友吧!
我知道了
右上角分享
点击右上角分享
0
联系我们:info@booksci.cn Book学术提供免费学术资源搜索服务,方便国内外学者检索中英文文献。致力于提供最便捷和优质的服务体验。 Copyright © 2023 布克学术 All rights reserved.
京ICP备2023020795号-1
ghs 京公网安备 11010802042870号
Book学术文献互助
Book学术文献互助群
群 号:604180095
Book学术官方微信