创伤性横膈膜破裂的微创治疗。

CRSLS : MIS case reports from SLS Pub Date : 2025-09-24 eCollection Date: 2025-07-01 DOI:10.4293/CRSLS.2025.00071
Mustafa Yılmaz, Cansu Zerey, Hilmi Bozkurt
{"title":"创伤性横膈膜破裂的微创治疗。","authors":"Mustafa Yılmaz, Cansu Zerey, Hilmi Bozkurt","doi":"10.4293/CRSLS.2025.00071","DOIUrl":null,"url":null,"abstract":"<p><strong>Background: </strong>Diaphragmatic rupture is a rare but potentially life-threatening injury that can result from blunt or penetrating trauma. Timely diagnosis is critical to prevent serious complications, yet clinical and radiological assessments are often inconclusive.</p><p><strong>Case presentation: </strong>We report the case of a 39-year-old male patient who sustained blunt thoracoabdominal trauma in a motor vehicle accident. The patient presented with respiratory distress and generalized abdominal tenderness. Imaging revealed a left diaphragmatic defect with herniation of abdominal organs into the thoracic cavity.</p><p><strong>Surgical technique: </strong>The patient underwent diagnostic laparoscopy, which confirmed an 8 × 5 cm defect in the left diaphragmatic dome with herniation of the stomach and omentum. The herniated organs were reduced, and the defect was repaired tension-free using intracorporeal 0-silk sutures. A 28-Fr intercostal drainage tube and a 12-Fr abdominal drain were placed.</p><p><strong>Outcome: </strong>The postoperative course was uneventful. A chest x-ray on postoperative day one confirmed normal diaphragm position and re-expansion of the lung. The patient recovered without complications.</p><p><strong>Conclusion: </strong>Laparoscopy provides a minimally invasive and effective diagnostic and therapeutic option for diaphragmatic rupture following blunt trauma. In appropriately selected cases, it offers favorable outcomes with reduced morbidity.</p>","PeriodicalId":72723,"journal":{"name":"CRSLS : MIS case reports from SLS","volume":"12 3","pages":""},"PeriodicalIF":0.0000,"publicationDate":"2025-09-24","publicationTypes":"Journal Article","fieldsOfStudy":null,"isOpenAccess":false,"openAccessPdf":"https://www.ncbi.nlm.nih.gov/pmc/articles/PMC12458920/pdf/","citationCount":"0","resultStr":"{\"title\":\"Minimally Invasive Treatment of Traumatic Diaphragm Rupture.\",\"authors\":\"Mustafa Yılmaz, Cansu Zerey, Hilmi Bozkurt\",\"doi\":\"10.4293/CRSLS.2025.00071\",\"DOIUrl\":null,\"url\":null,\"abstract\":\"<p><strong>Background: </strong>Diaphragmatic rupture is a rare but potentially life-threatening injury that can result from blunt or penetrating trauma. Timely diagnosis is critical to prevent serious complications, yet clinical and radiological assessments are often inconclusive.</p><p><strong>Case presentation: </strong>We report the case of a 39-year-old male patient who sustained blunt thoracoabdominal trauma in a motor vehicle accident. The patient presented with respiratory distress and generalized abdominal tenderness. Imaging revealed a left diaphragmatic defect with herniation of abdominal organs into the thoracic cavity.</p><p><strong>Surgical technique: </strong>The patient underwent diagnostic laparoscopy, which confirmed an 8 × 5 cm defect in the left diaphragmatic dome with herniation of the stomach and omentum. The herniated organs were reduced, and the defect was repaired tension-free using intracorporeal 0-silk sutures. A 28-Fr intercostal drainage tube and a 12-Fr abdominal drain were placed.</p><p><strong>Outcome: </strong>The postoperative course was uneventful. A chest x-ray on postoperative day one confirmed normal diaphragm position and re-expansion of the lung. The patient recovered without complications.</p><p><strong>Conclusion: </strong>Laparoscopy provides a minimally invasive and effective diagnostic and therapeutic option for diaphragmatic rupture following blunt trauma. In appropriately selected cases, it offers favorable outcomes with reduced morbidity.</p>\",\"PeriodicalId\":72723,\"journal\":{\"name\":\"CRSLS : MIS case reports from SLS\",\"volume\":\"12 3\",\"pages\":\"\"},\"PeriodicalIF\":0.0000,\"publicationDate\":\"2025-09-24\",\"publicationTypes\":\"Journal Article\",\"fieldsOfStudy\":null,\"isOpenAccess\":false,\"openAccessPdf\":\"https://www.ncbi.nlm.nih.gov/pmc/articles/PMC12458920/pdf/\",\"citationCount\":\"0\",\"resultStr\":null,\"platform\":\"Semanticscholar\",\"paperid\":null,\"PeriodicalName\":\"CRSLS : MIS case reports from SLS\",\"FirstCategoryId\":\"1085\",\"ListUrlMain\":\"https://doi.org/10.4293/CRSLS.2025.00071\",\"RegionNum\":0,\"RegionCategory\":null,\"ArticlePicture\":[],\"TitleCN\":null,\"AbstractTextCN\":null,\"PMCID\":null,\"EPubDate\":\"2025/7/1 0:00:00\",\"PubModel\":\"eCollection\",\"JCR\":\"\",\"JCRName\":\"\",\"Score\":null,\"Total\":0}","platform":"Semanticscholar","paperid":null,"PeriodicalName":"CRSLS : MIS case reports from SLS","FirstCategoryId":"1085","ListUrlMain":"https://doi.org/10.4293/CRSLS.2025.00071","RegionNum":0,"RegionCategory":null,"ArticlePicture":[],"TitleCN":null,"AbstractTextCN":null,"PMCID":null,"EPubDate":"2025/7/1 0:00:00","PubModel":"eCollection","JCR":"","JCRName":"","Score":null,"Total":0}
引用次数: 0

摘要

背景:横膈膜破裂是一种罕见但可能危及生命的损伤,可由钝性或穿透性创伤引起。及时诊断是预防严重并发症的关键,但临床和放射学评估往往不确定。病例介绍:我们报告的情况下,一个39岁的男性患者持续钝性胸腹外伤在一个机动车辆事故。患者表现为呼吸窘迫和全身腹部压痛。影像显示左膈缺损伴腹部脏器疝入胸腔。手术技术:患者行诊断性腹腔镜检查,证实左侧膈穹窿有一个8 × 5 cm的缺损,并伴有胃和网膜突出。将疝出的脏器复位,采用无张力体内0丝缝合修复缺损。放置28fr肋间引流管和12fr腹腔引流管。结果:术后过程平稳。术后第一天胸部x光片证实膈位置正常,肺再次扩张。病人康复无并发症。结论:腹腔镜为钝性创伤后膈破裂提供了一种微创、有效的诊断和治疗选择。在适当选择的病例中,它提供了良好的结果,降低了发病率。
本文章由计算机程序翻译,如有差异,请以英文原文为准。

Minimally Invasive Treatment of Traumatic Diaphragm Rupture.

Minimally Invasive Treatment of Traumatic Diaphragm Rupture.

Minimally Invasive Treatment of Traumatic Diaphragm Rupture.

Minimally Invasive Treatment of Traumatic Diaphragm Rupture.

Background: Diaphragmatic rupture is a rare but potentially life-threatening injury that can result from blunt or penetrating trauma. Timely diagnosis is critical to prevent serious complications, yet clinical and radiological assessments are often inconclusive.

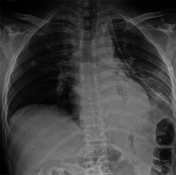
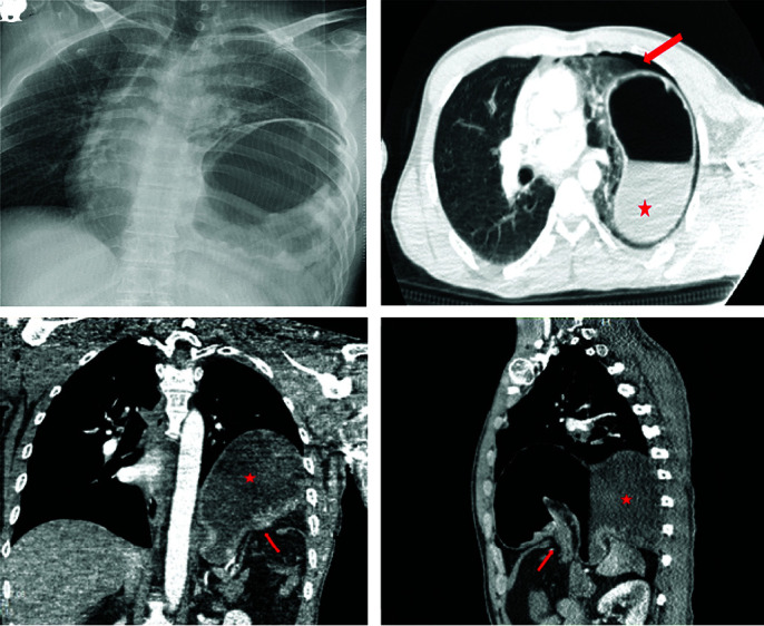
Case presentation: We report the case of a 39-year-old male patient who sustained blunt thoracoabdominal trauma in a motor vehicle accident. The patient presented with respiratory distress and generalized abdominal tenderness. Imaging revealed a left diaphragmatic defect with herniation of abdominal organs into the thoracic cavity.

Surgical technique: The patient underwent diagnostic laparoscopy, which confirmed an 8 × 5 cm defect in the left diaphragmatic dome with herniation of the stomach and omentum. The herniated organs were reduced, and the defect was repaired tension-free using intracorporeal 0-silk sutures. A 28-Fr intercostal drainage tube and a 12-Fr abdominal drain were placed.

Outcome: The postoperative course was uneventful. A chest x-ray on postoperative day one confirmed normal diaphragm position and re-expansion of the lung. The patient recovered without complications.

Conclusion: Laparoscopy provides a minimally invasive and effective diagnostic and therapeutic option for diaphragmatic rupture following blunt trauma. In appropriately selected cases, it offers favorable outcomes with reduced morbidity.

求助全文
通过发布文献求助,成功后即可免费获取论文全文。 去求助
来源期刊
自引率
0.00%
发文量
0
×
引用
GB/T 7714-2015
复制
MLA
复制
APA
复制
导出至
BibTeX EndNote RefMan NoteFirst NoteExpress
×
提示
您的信息不完整,为了账户安全,请先补充。
现在去补充
×
提示
您因"违规操作"
具体请查看互助需知
我知道了
×
提示
确定
请完成安全验证×
copy
已复制链接
快去分享给好友吧!
我知道了
右上角分享
点击右上角分享
0
联系我们:info@booksci.cn Book学术提供免费学术资源搜索服务,方便国内外学者检索中英文文献。致力于提供最便捷和优质的服务体验。 Copyright © 2023 布克学术 All rights reserved.
京ICP备2023020795号-1
ghs 京公网安备 11010802042870号
Book学术文献互助
Book学术文献互助群
群 号:604180095
Book学术官方微信