评估后齿状突倾斜:考虑脊柱侧凸。

IF 1.3 Q2 OTORHINOLARYNGOLOGY
Neel Raja, Elias Petrou, Sonal Saran, Hasaam Uldin, Morgan Jones, Fahid Rasul, Kapil Shirodkar, Shashank Chapala, Rajesh Botchu
{"title":"评估后齿状突倾斜:考虑脊柱侧凸。","authors":"Neel Raja, Elias Petrou, Sonal Saran, Hasaam Uldin, Morgan Jones, Fahid Rasul, Kapil Shirodkar, Shashank Chapala, Rajesh Botchu","doi":"10.4103/jcvjs.jcvjs_89_25","DOIUrl":null,"url":null,"abstract":"<p><strong>Objective: </strong>The odontoid process is an important anatomical structure providing a balance of mobility and stability at the craniocervical junction, with structural and biomechanical associations, and morphology that can be quantified with various measurements. The odontoid tilt angle is a measurement that must be accurately performed and can guide further investigations.</p><p><strong>Materials and methods: </strong>Retrospective analysis of 100 cervical spinal magnetic resonance imaging was performed on patients investigated for neck pain, with a known history of scoliosis, and compared with 50 control patients. Posterior odontoid tilt and Cobb angles were measured by a musculoskeletal radiology fellow and a fellowship-trained musculoskeletal radiologist with more than 10 years of experience, with descriptive statistics then performed on the measurements.</p><p><strong>Results: </strong>One hundred and thirty-two patients met the inclusion criteria, across both the scoliosis and control groups. 9 (18%) patients from the control group demonstrated posterior odontoid tilt, compared with 35 (43%) of patients in the scoliosis group. A range of scoliosis curve morphologies were demonstrated: 62 thoracolumbar, 10 thoracic, 9 lumbar, and 1 cervicothoracic, with average Cobb angles of 24.3°, 26.9°, 23.4, and 54°, respectively. There was good interobserver agreement for both measurements and a statistically significant difference in the posterior odontoid tilt measurements between groups (99% confidence interval, <i>P</i> = 0.0064).</p><p><strong>Conclusion: </strong>We recommend opportunistically assessing for the posterior odontoid tilt (Leaning odontoid tower of BRUMES (Botchu; Raja Rasul; Uldin; Morgan;Elias; Sonal, Shashank, Shirodkar). In cases with a posterior tilt angle >5°, we recommend whole spine imaging to assess for scoliosis in the thoracolumbar spine.</p>","PeriodicalId":51721,"journal":{"name":"Journal of Craniovertebral Junction and Spine","volume":"16 3","pages":"278-283"},"PeriodicalIF":1.3000,"publicationDate":"2025-07-01","publicationTypes":"Journal Article","fieldsOfStudy":null,"isOpenAccess":false,"openAccessPdf":"https://www.ncbi.nlm.nih.gov/pmc/articles/PMC12459940/pdf/","citationCount":"0","resultStr":"{\"title\":\"Assessment of posterior odontoid tilt: Think scoliosis.\",\"authors\":\"Neel Raja, Elias Petrou, Sonal Saran, Hasaam Uldin, Morgan Jones, Fahid Rasul, Kapil Shirodkar, Shashank Chapala, Rajesh Botchu\",\"doi\":\"10.4103/jcvjs.jcvjs_89_25\",\"DOIUrl\":null,\"url\":null,\"abstract\":\"<p><strong>Objective: </strong>The odontoid process is an important anatomical structure providing a balance of mobility and stability at the craniocervical junction, with structural and biomechanical associations, and morphology that can be quantified with various measurements. The odontoid tilt angle is a measurement that must be accurately performed and can guide further investigations.</p><p><strong>Materials and methods: </strong>Retrospective analysis of 100 cervical spinal magnetic resonance imaging was performed on patients investigated for neck pain, with a known history of scoliosis, and compared with 50 control patients. Posterior odontoid tilt and Cobb angles were measured by a musculoskeletal radiology fellow and a fellowship-trained musculoskeletal radiologist with more than 10 years of experience, with descriptive statistics then performed on the measurements.</p><p><strong>Results: </strong>One hundred and thirty-two patients met the inclusion criteria, across both the scoliosis and control groups. 9 (18%) patients from the control group demonstrated posterior odontoid tilt, compared with 35 (43%) of patients in the scoliosis group. A range of scoliosis curve morphologies were demonstrated: 62 thoracolumbar, 10 thoracic, 9 lumbar, and 1 cervicothoracic, with average Cobb angles of 24.3°, 26.9°, 23.4, and 54°, respectively. There was good interobserver agreement for both measurements and a statistically significant difference in the posterior odontoid tilt measurements between groups (99% confidence interval, <i>P</i> = 0.0064).</p><p><strong>Conclusion: </strong>We recommend opportunistically assessing for the posterior odontoid tilt (Leaning odontoid tower of BRUMES (Botchu; Raja Rasul; Uldin; Morgan;Elias; Sonal, Shashank, Shirodkar). In cases with a posterior tilt angle >5°, we recommend whole spine imaging to assess for scoliosis in the thoracolumbar spine.</p>\",\"PeriodicalId\":51721,\"journal\":{\"name\":\"Journal of Craniovertebral Junction and Spine\",\"volume\":\"16 3\",\"pages\":\"278-283\"},\"PeriodicalIF\":1.3000,\"publicationDate\":\"2025-07-01\",\"publicationTypes\":\"Journal Article\",\"fieldsOfStudy\":null,\"isOpenAccess\":false,\"openAccessPdf\":\"https://www.ncbi.nlm.nih.gov/pmc/articles/PMC12459940/pdf/\",\"citationCount\":\"0\",\"resultStr\":null,\"platform\":\"Semanticscholar\",\"paperid\":null,\"PeriodicalName\":\"Journal of Craniovertebral Junction and Spine\",\"FirstCategoryId\":\"1085\",\"ListUrlMain\":\"https://doi.org/10.4103/jcvjs.jcvjs_89_25\",\"RegionNum\":0,\"RegionCategory\":null,\"ArticlePicture\":[],\"TitleCN\":null,\"AbstractTextCN\":null,\"PMCID\":null,\"EPubDate\":\"2025/9/18 0:00:00\",\"PubModel\":\"Epub\",\"JCR\":\"Q2\",\"JCRName\":\"OTORHINOLARYNGOLOGY\",\"Score\":null,\"Total\":0}","platform":"Semanticscholar","paperid":null,"PeriodicalName":"Journal of Craniovertebral Junction and Spine","FirstCategoryId":"1085","ListUrlMain":"https://doi.org/10.4103/jcvjs.jcvjs_89_25","RegionNum":0,"RegionCategory":null,"ArticlePicture":[],"TitleCN":null,"AbstractTextCN":null,"PMCID":null,"EPubDate":"2025/9/18 0:00:00","PubModel":"Epub","JCR":"Q2","JCRName":"OTORHINOLARYNGOLOGY","Score":null,"Total":0}
引用次数: 0

摘要

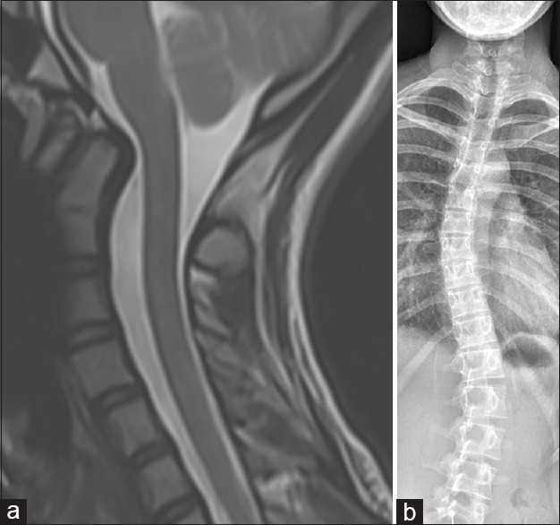
目的:齿状突是一个重要的解剖结构,在颅颈交界处提供了流动性和稳定性的平衡,具有结构和生物力学相关性,并且可以通过各种测量来量化形态学。齿状突倾斜角度是一个必须准确执行的测量,可以指导进一步的调查。材料与方法:回顾性分析100例有脊柱侧凸病史的颈部疼痛患者的颈椎磁共振成像,并与50例对照患者进行比较。后齿状突倾斜和Cobb角由一名肌肉骨骼放射学研究员和一名具有10年以上经验的肌肉骨骼放射学研究员进行测量,然后对测量结果进行描述性统计。结果:脊柱侧凸组和对照组共132例患者符合纳入标准。对照组中有9例(18%)患者出现齿状突后倾,而脊柱侧凸组中有35例(43%)患者出现齿状突后倾。脊柱侧凸曲线形态多样:62个胸腰椎、10个胸椎、9个腰椎和1个颈胸椎,平均Cobb角分别为24.3°、26.9°、23.4°和54°。两组测量结果的观察者间一致性很好,两组间后齿状突倾斜测量结果的差异具有统计学意义(99%置信区间,P = 0.0064)。结论:我们建议对后齿状突倾斜进行机会性评估(BRUMES (Botchu; Raja Rasul; Uldin; Morgan;Elias; Sonal, Shashank, Shirodkar)的斜齿状突塔)。对于后倾角为bb50°的病例,我们推荐全脊柱成像来评估胸腰椎侧凸。
本文章由计算机程序翻译,如有差异,请以英文原文为准。

Assessment of posterior odontoid tilt: Think scoliosis.

Assessment of posterior odontoid tilt: Think scoliosis.

Assessment of posterior odontoid tilt: Think scoliosis.

Assessment of posterior odontoid tilt: Think scoliosis.

Objective: The odontoid process is an important anatomical structure providing a balance of mobility and stability at the craniocervical junction, with structural and biomechanical associations, and morphology that can be quantified with various measurements. The odontoid tilt angle is a measurement that must be accurately performed and can guide further investigations.

Materials and methods: Retrospective analysis of 100 cervical spinal magnetic resonance imaging was performed on patients investigated for neck pain, with a known history of scoliosis, and compared with 50 control patients. Posterior odontoid tilt and Cobb angles were measured by a musculoskeletal radiology fellow and a fellowship-trained musculoskeletal radiologist with more than 10 years of experience, with descriptive statistics then performed on the measurements.

Results: One hundred and thirty-two patients met the inclusion criteria, across both the scoliosis and control groups. 9 (18%) patients from the control group demonstrated posterior odontoid tilt, compared with 35 (43%) of patients in the scoliosis group. A range of scoliosis curve morphologies were demonstrated: 62 thoracolumbar, 10 thoracic, 9 lumbar, and 1 cervicothoracic, with average Cobb angles of 24.3°, 26.9°, 23.4, and 54°, respectively. There was good interobserver agreement for both measurements and a statistically significant difference in the posterior odontoid tilt measurements between groups (99% confidence interval, P = 0.0064).

Conclusion: We recommend opportunistically assessing for the posterior odontoid tilt (Leaning odontoid tower of BRUMES (Botchu; Raja Rasul; Uldin; Morgan;Elias; Sonal, Shashank, Shirodkar). In cases with a posterior tilt angle >5°, we recommend whole spine imaging to assess for scoliosis in the thoracolumbar spine.

求助全文
通过发布文献求助,成功后即可免费获取论文全文。 去求助
来源期刊
CiteScore
1.90
自引率
9.10%
发文量
57
审稿时长
12 weeks
×
引用
GB/T 7714-2015
复制
MLA
复制
APA
复制
导出至
BibTeX EndNote RefMan NoteFirst NoteExpress
×
提示
您的信息不完整,为了账户安全,请先补充。
现在去补充
×
提示
您因"违规操作"
具体请查看互助需知
我知道了
×
提示
确定
请完成安全验证×
copy
已复制链接
快去分享给好友吧!
我知道了
右上角分享
点击右上角分享
0
联系我们:info@booksci.cn Book学术提供免费学术资源搜索服务,方便国内外学者检索中英文文献。致力于提供最便捷和优质的服务体验。 Copyright © 2023 布克学术 All rights reserved.
京ICP备2023020795号-1
ghs 京公网安备 11010802042870号
Book学术文献互助
Book学术文献互助群
群 号:604180095
Book学术官方微信