重新思考垂体微腺瘤的MRI方案:优先采用非对比成像进行安全随访。

IF 2.2 4区 医学 Q2 RADIOLOGY, NUCLEAR MEDICINE & MEDICAL IMAGING
Fariba Zarei, Farideh Nematollahi, Asadolah Jalil, Banafsheh Zeinali-Rafsanjani, Mahdi Saeedi-Moghadam
{"title":"重新思考垂体微腺瘤的MRI方案:优先采用非对比成像进行安全随访。","authors":"Fariba Zarei, Farideh Nematollahi, Asadolah Jalil, Banafsheh Zeinali-Rafsanjani, Mahdi Saeedi-Moghadam","doi":"10.3390/tomography11090105","DOIUrl":null,"url":null,"abstract":"<p><strong>Introduction and objectives: </strong>Dynamic contrast-enhanced magnetic resonance imaging (DCE-MRI) has been used as a gold standard in diagnosing and following pituitary microadenomas. However, the use of gadolinium-based contrast agents (GBCAs) involves a potential risk of long-term retention in tissues and adverse reactions. This study aimed to evaluate the sensitivity of non-contrast MRI (T1W and T2W sequences) in follow-up imaging of pituitary microadenomas, attempting a comparison with DCE-MRI, assessing tumor stability over time.</p><p><strong>Materials and methods: </strong>We retrospectively reviewed 300 pituitary MRI scans between 2020 and 2024. Included were patients with confirmed microadenomas (≤10 mm). Non-contrast (T1W/T2W) and DCE-MRI sequences were analyzed by an experienced radiologist blinded to any clinical information. Detection rates and changes in tumor size were evaluated.</p><p><strong>Results: </strong>Detection rates for 79 microadenomas were 55.7% for T1W, 70.9% for T2W, and 88.6% for DCE-MRI. There was no significant tumor growth during the follow-up (mean size 4.80 ± 2.3 mm vs. 4.81 ± 2.4 mm, <i>p</i> > 0.5).</p><p><strong>Conclusions: </strong>While still more sensitive for the primary diagnosis, the non-contrast MRI was able to visualize the majority of detected microadenomas, and significant growth was ruled out, thus supporting the case to omit gadolinium from follow-up imaging in stable cases. This may translate to lower costs and decreased patient risk from contrast-related hazards.</p>","PeriodicalId":51330,"journal":{"name":"Tomography","volume":"11 9","pages":""},"PeriodicalIF":2.2000,"publicationDate":"2025-09-12","publicationTypes":"Journal Article","fieldsOfStudy":null,"isOpenAccess":false,"openAccessPdf":"https://www.ncbi.nlm.nih.gov/pmc/articles/PMC12473812/pdf/","citationCount":"0","resultStr":"{\"title\":\"Rethinking MRI Protocols for Pituitary Microadenomas: Prioritizing Non-Contrast Imaging for Safe Follow-Up.\",\"authors\":\"Fariba Zarei, Farideh Nematollahi, Asadolah Jalil, Banafsheh Zeinali-Rafsanjani, Mahdi Saeedi-Moghadam\",\"doi\":\"10.3390/tomography11090105\",\"DOIUrl\":null,\"url\":null,\"abstract\":\"<p><strong>Introduction and objectives: </strong>Dynamic contrast-enhanced magnetic resonance imaging (DCE-MRI) has been used as a gold standard in diagnosing and following pituitary microadenomas. However, the use of gadolinium-based contrast agents (GBCAs) involves a potential risk of long-term retention in tissues and adverse reactions. This study aimed to evaluate the sensitivity of non-contrast MRI (T1W and T2W sequences) in follow-up imaging of pituitary microadenomas, attempting a comparison with DCE-MRI, assessing tumor stability over time.</p><p><strong>Materials and methods: </strong>We retrospectively reviewed 300 pituitary MRI scans between 2020 and 2024. Included were patients with confirmed microadenomas (≤10 mm). Non-contrast (T1W/T2W) and DCE-MRI sequences were analyzed by an experienced radiologist blinded to any clinical information. Detection rates and changes in tumor size were evaluated.</p><p><strong>Results: </strong>Detection rates for 79 microadenomas were 55.7% for T1W, 70.9% for T2W, and 88.6% for DCE-MRI. There was no significant tumor growth during the follow-up (mean size 4.80 ± 2.3 mm vs. 4.81 ± 2.4 mm, <i>p</i> > 0.5).</p><p><strong>Conclusions: </strong>While still more sensitive for the primary diagnosis, the non-contrast MRI was able to visualize the majority of detected microadenomas, and significant growth was ruled out, thus supporting the case to omit gadolinium from follow-up imaging in stable cases. This may translate to lower costs and decreased patient risk from contrast-related hazards.</p>\",\"PeriodicalId\":51330,\"journal\":{\"name\":\"Tomography\",\"volume\":\"11 9\",\"pages\":\"\"},\"PeriodicalIF\":2.2000,\"publicationDate\":\"2025-09-12\",\"publicationTypes\":\"Journal Article\",\"fieldsOfStudy\":null,\"isOpenAccess\":false,\"openAccessPdf\":\"https://www.ncbi.nlm.nih.gov/pmc/articles/PMC12473812/pdf/\",\"citationCount\":\"0\",\"resultStr\":null,\"platform\":\"Semanticscholar\",\"paperid\":null,\"PeriodicalName\":\"Tomography\",\"FirstCategoryId\":\"3\",\"ListUrlMain\":\"https://doi.org/10.3390/tomography11090105\",\"RegionNum\":4,\"RegionCategory\":\"医学\",\"ArticlePicture\":[],\"TitleCN\":null,\"AbstractTextCN\":null,\"PMCID\":null,\"EPubDate\":\"\",\"PubModel\":\"\",\"JCR\":\"Q2\",\"JCRName\":\"RADIOLOGY, NUCLEAR MEDICINE & MEDICAL IMAGING\",\"Score\":null,\"Total\":0}","platform":"Semanticscholar","paperid":null,"PeriodicalName":"Tomography","FirstCategoryId":"3","ListUrlMain":"https://doi.org/10.3390/tomography11090105","RegionNum":4,"RegionCategory":"医学","ArticlePicture":[],"TitleCN":null,"AbstractTextCN":null,"PMCID":null,"EPubDate":"","PubModel":"","JCR":"Q2","JCRName":"RADIOLOGY, NUCLEAR MEDICINE & MEDICAL IMAGING","Score":null,"Total":0}
引用次数: 0

摘要

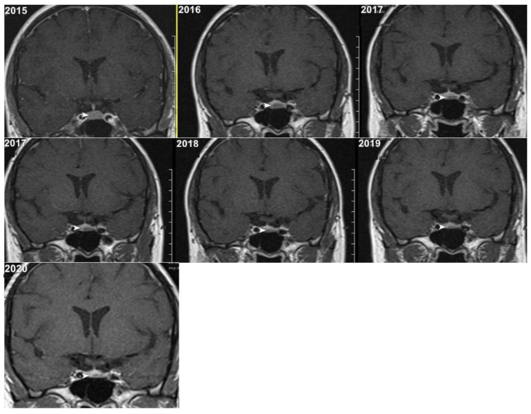
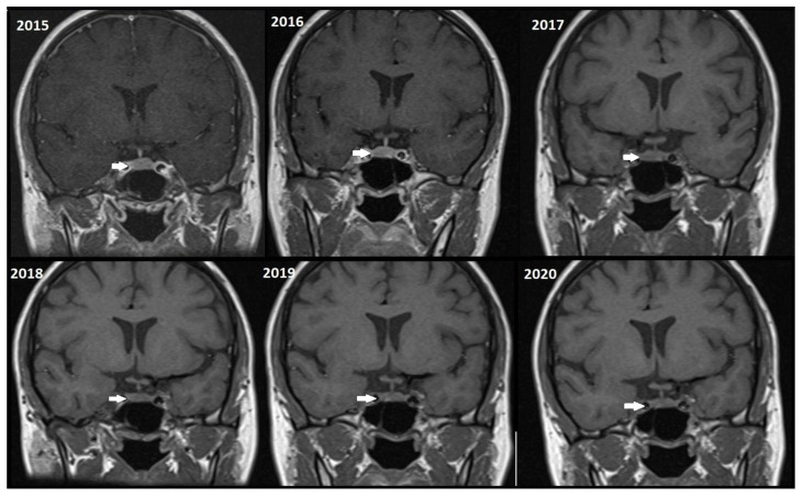
简介和目的:动态对比增强磁共振成像(DCE-MRI)已被用作诊断和跟踪垂体微腺瘤的金标准。然而,钆基造影剂(gbca)的使用存在长期滞留组织和不良反应的潜在风险。本研究旨在评估非对比MRI (T1W和T2W序列)在垂体微腺瘤随访成像中的敏感性,并试图与DCE-MRI进行比较,评估肿瘤随时间的稳定性。材料和方法:我们回顾性分析了2020年至2024年间300例垂体MRI扫描。纳入确诊的微腺瘤(≤10 mm)患者。非对比(T1W/T2W)和DCE-MRI序列由经验丰富的放射科医生对任何临床信息进行分析。评估检出率和肿瘤大小的变化。结果:79例微腺瘤T1W检出率为55.7%,T2W检出率为70.9%,DCE-MRI检出率为88.6%。随访期间未见明显肿瘤生长(平均大小4.80±2.3 mm vs. 4.81±2.4 mm, p < 0.05)。结论:虽然对早期诊断更为敏感,但非对比MRI能够显示大多数检测到的微腺瘤,并排除明显生长的病例,因此支持在稳定病例的随访影像学中省略钆。这可能转化为更低的成本和降低患者的风险,从对比相关的危害。
本文章由计算机程序翻译,如有差异,请以英文原文为准。

Rethinking MRI Protocols for Pituitary Microadenomas: Prioritizing Non-Contrast Imaging for Safe Follow-Up.

Rethinking MRI Protocols for Pituitary Microadenomas: Prioritizing Non-Contrast Imaging for Safe Follow-Up.

Rethinking MRI Protocols for Pituitary Microadenomas: Prioritizing Non-Contrast Imaging for Safe Follow-Up.

Rethinking MRI Protocols for Pituitary Microadenomas: Prioritizing Non-Contrast Imaging for Safe Follow-Up.

Introduction and objectives: Dynamic contrast-enhanced magnetic resonance imaging (DCE-MRI) has been used as a gold standard in diagnosing and following pituitary microadenomas. However, the use of gadolinium-based contrast agents (GBCAs) involves a potential risk of long-term retention in tissues and adverse reactions. This study aimed to evaluate the sensitivity of non-contrast MRI (T1W and T2W sequences) in follow-up imaging of pituitary microadenomas, attempting a comparison with DCE-MRI, assessing tumor stability over time.

Materials and methods: We retrospectively reviewed 300 pituitary MRI scans between 2020 and 2024. Included were patients with confirmed microadenomas (≤10 mm). Non-contrast (T1W/T2W) and DCE-MRI sequences were analyzed by an experienced radiologist blinded to any clinical information. Detection rates and changes in tumor size were evaluated.

Results: Detection rates for 79 microadenomas were 55.7% for T1W, 70.9% for T2W, and 88.6% for DCE-MRI. There was no significant tumor growth during the follow-up (mean size 4.80 ± 2.3 mm vs. 4.81 ± 2.4 mm, p > 0.5).

Conclusions: While still more sensitive for the primary diagnosis, the non-contrast MRI was able to visualize the majority of detected microadenomas, and significant growth was ruled out, thus supporting the case to omit gadolinium from follow-up imaging in stable cases. This may translate to lower costs and decreased patient risk from contrast-related hazards.

求助全文
通过发布文献求助,成功后即可免费获取论文全文。 去求助
来源期刊
Tomography
Tomography Medicine-Radiology, Nuclear Medicine and Imaging
CiteScore
2.70
自引率
10.50%
发文量
222
期刊介绍: TomographyTM publishes basic (technical and pre-clinical) and clinical scientific articles which involve the advancement of imaging technologies. Tomography encompasses studies that use single or multiple imaging modalities including for example CT, US, PET, SPECT, MR and hyperpolarization technologies, as well as optical modalities (i.e. bioluminescence, photoacoustic, endomicroscopy, fiber optic imaging and optical computed tomography) in basic sciences, engineering, preclinical and clinical medicine. Tomography also welcomes studies involving exploration and refinement of contrast mechanisms and image-derived metrics within and across modalities toward the development of novel imaging probes for image-based feedback and intervention. The use of imaging in biology and medicine provides unparalleled opportunities to noninvasively interrogate tissues to obtain real-time dynamic and quantitative information required for diagnosis and response to interventions and to follow evolving pathological conditions. As multi-modal studies and the complexities of imaging technologies themselves are ever increasing to provide advanced information to scientists and clinicians. Tomography provides a unique publication venue allowing investigators the opportunity to more precisely communicate integrated findings related to the diverse and heterogeneous features associated with underlying anatomical, physiological, functional, metabolic and molecular genetic activities of normal and diseased tissue. Thus Tomography publishes peer-reviewed articles which involve the broad use of imaging of any tissue and disease type including both preclinical and clinical investigations. In addition, hardware/software along with chemical and molecular probe advances are welcome as they are deemed to significantly contribute towards the long-term goal of improving the overall impact of imaging on scientific and clinical discovery.
×
引用
GB/T 7714-2015
复制
MLA
复制
APA
复制
导出至
BibTeX EndNote RefMan NoteFirst NoteExpress
×
提示
您的信息不完整,为了账户安全,请先补充。
现在去补充
×
提示
您因"违规操作"
具体请查看互助需知
我知道了
×
提示
确定
请完成安全验证×
copy
已复制链接
快去分享给好友吧!
我知道了
右上角分享
点击右上角分享
0
联系我们:info@booksci.cn Book学术提供免费学术资源搜索服务,方便国内外学者检索中英文文献。致力于提供最便捷和优质的服务体验。 Copyright © 2023 布克学术 All rights reserved.
京ICP备2023020795号-1
ghs 京公网安备 11010802042870号
Book学术文献互助
Book学术文献互助群
群 号:604180095
Book学术官方微信