胸后凸与裂孔增大之间的关系:一项基于ct的研究,根据gerd相关的形态学标记进行解释。

IF 2.2 4区 医学 Q2 RADIOLOGY, NUCLEAR MEDICINE & MEDICAL IMAGING
Mustafa Mazıcan, Ismail Karluka, Davut Tuney
{"title":"胸后凸与裂孔增大之间的关系:一项基于ct的研究,根据gerd相关的形态学标记进行解释。","authors":"Mustafa Mazıcan, Ismail Karluka, Davut Tuney","doi":"10.3390/tomography11090098","DOIUrl":null,"url":null,"abstract":"<p><strong>Background: </strong>Thoracic kyphosis has been increasingly associated with altered intra-abdominal and diaphragmatic dynamics, potentially contributing to gastroesophageal reflux disease (GERD) and hiatal hernia (HH). While previous studies have shown a relationship between spinal deformities and GERD symptoms, these findings have been largely observational, with few morphometric analyses. No prior study has directly quantified the relationship between thoracic curvature and hiatal surface area (HSA) using standardized computed tomography (CT)-based methods. Furthermore, existing studies have typically focused on patients with visible hernias, limiting understanding of early, subclinical anatomical changes. This study addresses this gap by evaluating whether thoracic kyphosis is associated with measurable hiatal enlargement, even in the absence of overt HH.</p><p><strong>Methods: </strong>In this retrospective, single-center study, 100 adult patients (50 with thoracic kyphosis, defined as a Cobb angle of ≥50° and 50 age- and sex-matched controls) underwent multidetector CT (MDCT). Hiatal surface area (HSA) was measured on a standardized oblique axial plane aligned with the diaphragmatic crura. Correlation and multivariable regression analyses were performed to assess relationships between Cobb angle and HSA.</p><p><strong>Results: </strong>The kyphosis group showed significantly larger HSA than controls (5.14 ± 1.31 cm<sup>2</sup> vs. 3.59 ± 0.74 cm<sup>2</sup>; <i>p</i> < 0.001). A moderate positive correlation was found between Cobb angle and HSA (r = 0.336, <i>p</i> = 0.017). Multivariable analysis identified the Cobb angle as an independent predictor of HSA (β = 0.028; <i>p</i> = 0.017), while age and sex were not significant predictors. No overt herniation was present in any subject.</p><p><strong>Conclusions: </strong>This is the first CT-based morphometric study to demonstrate that thoracic kyphosis is associated with hiatal enlargement, even in the absence of overt herniation. These findings support the hypothesis that postural spinal deformities may predispose individuals to GERD by structurally remodeling the diaphragmatic hiatus.</p>","PeriodicalId":51330,"journal":{"name":"Tomography","volume":"11 9","pages":""},"PeriodicalIF":2.2000,"publicationDate":"2025-08-26","publicationTypes":"Journal Article","fieldsOfStudy":null,"isOpenAccess":false,"openAccessPdf":"https://www.ncbi.nlm.nih.gov/pmc/articles/PMC12473770/pdf/","citationCount":"0","resultStr":"{\"title\":\"Association Between Thoracic Kyphosis and Hiatal Enlargement: A CT-Based Study Interpreted in Light of GERD-Linked Morphological Markers.\",\"authors\":\"Mustafa Mazıcan, Ismail Karluka, Davut Tuney\",\"doi\":\"10.3390/tomography11090098\",\"DOIUrl\":null,\"url\":null,\"abstract\":\"<p><strong>Background: </strong>Thoracic kyphosis has been increasingly associated with altered intra-abdominal and diaphragmatic dynamics, potentially contributing to gastroesophageal reflux disease (GERD) and hiatal hernia (HH). While previous studies have shown a relationship between spinal deformities and GERD symptoms, these findings have been largely observational, with few morphometric analyses. No prior study has directly quantified the relationship between thoracic curvature and hiatal surface area (HSA) using standardized computed tomography (CT)-based methods. Furthermore, existing studies have typically focused on patients with visible hernias, limiting understanding of early, subclinical anatomical changes. This study addresses this gap by evaluating whether thoracic kyphosis is associated with measurable hiatal enlargement, even in the absence of overt HH.</p><p><strong>Methods: </strong>In this retrospective, single-center study, 100 adult patients (50 with thoracic kyphosis, defined as a Cobb angle of ≥50° and 50 age- and sex-matched controls) underwent multidetector CT (MDCT). Hiatal surface area (HSA) was measured on a standardized oblique axial plane aligned with the diaphragmatic crura. Correlation and multivariable regression analyses were performed to assess relationships between Cobb angle and HSA.</p><p><strong>Results: </strong>The kyphosis group showed significantly larger HSA than controls (5.14 ± 1.31 cm<sup>2</sup> vs. 3.59 ± 0.74 cm<sup>2</sup>; <i>p</i> < 0.001). A moderate positive correlation was found between Cobb angle and HSA (r = 0.336, <i>p</i> = 0.017). Multivariable analysis identified the Cobb angle as an independent predictor of HSA (β = 0.028; <i>p</i> = 0.017), while age and sex were not significant predictors. No overt herniation was present in any subject.</p><p><strong>Conclusions: </strong>This is the first CT-based morphometric study to demonstrate that thoracic kyphosis is associated with hiatal enlargement, even in the absence of overt herniation. These findings support the hypothesis that postural spinal deformities may predispose individuals to GERD by structurally remodeling the diaphragmatic hiatus.</p>\",\"PeriodicalId\":51330,\"journal\":{\"name\":\"Tomography\",\"volume\":\"11 9\",\"pages\":\"\"},\"PeriodicalIF\":2.2000,\"publicationDate\":\"2025-08-26\",\"publicationTypes\":\"Journal Article\",\"fieldsOfStudy\":null,\"isOpenAccess\":false,\"openAccessPdf\":\"https://www.ncbi.nlm.nih.gov/pmc/articles/PMC12473770/pdf/\",\"citationCount\":\"0\",\"resultStr\":null,\"platform\":\"Semanticscholar\",\"paperid\":null,\"PeriodicalName\":\"Tomography\",\"FirstCategoryId\":\"3\",\"ListUrlMain\":\"https://doi.org/10.3390/tomography11090098\",\"RegionNum\":4,\"RegionCategory\":\"医学\",\"ArticlePicture\":[],\"TitleCN\":null,\"AbstractTextCN\":null,\"PMCID\":null,\"EPubDate\":\"\",\"PubModel\":\"\",\"JCR\":\"Q2\",\"JCRName\":\"RADIOLOGY, NUCLEAR MEDICINE & MEDICAL IMAGING\",\"Score\":null,\"Total\":0}","platform":"Semanticscholar","paperid":null,"PeriodicalName":"Tomography","FirstCategoryId":"3","ListUrlMain":"https://doi.org/10.3390/tomography11090098","RegionNum":4,"RegionCategory":"医学","ArticlePicture":[],"TitleCN":null,"AbstractTextCN":null,"PMCID":null,"EPubDate":"","PubModel":"","JCR":"Q2","JCRName":"RADIOLOGY, NUCLEAR MEDICINE & MEDICAL IMAGING","Score":null,"Total":0}
引用次数: 0

摘要

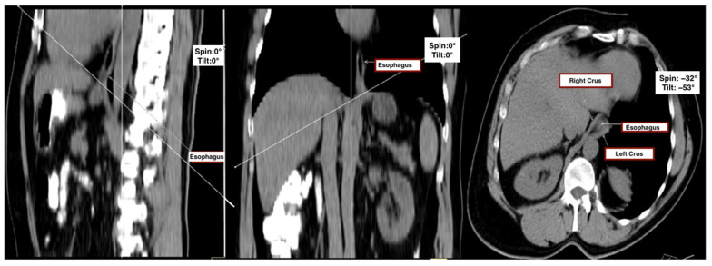
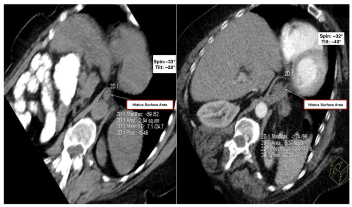
背景:胸后凸越来越多地与腹内和膈肌动力学改变相关,可能导致胃食管反流病(GERD)和裂孔疝(HH)。虽然先前的研究表明脊柱畸形与胃食管反流症状之间存在关系,但这些发现主要是观察性的,很少有形态计量学分析。之前没有研究使用标准化的计算机断层扫描(CT)方法直接量化胸曲度和裂孔表面积(HSA)之间的关系。此外,现有的研究通常集中在可见疝患者身上,限制了对早期亚临床解剖学变化的理解。本研究通过评估胸后凸是否与可测量的裂孔扩大相关来解决这一差距,即使在没有明显HH的情况下。方法:在这项回顾性的单中心研究中,100名成年患者(50名患有胸后凸,定义为Cobb角≥50°,50名年龄和性别匹配的对照组)接受了多探测器CT (MDCT)检查。裂孔表面积(HSA)在与膈脚对齐的标准斜轴平面上测量。采用相关分析和多变量回归分析评估Cobb角与HSA之间的关系。结果:后凸组HSA明显高于对照组(5.14±1.31 cm2 vs. 3.59±0.74 cm2; p < 0.001)。Cobb角与HSA呈中度正相关(r = 0.336, p = 0.017)。多变量分析发现Cobb角是HSA的独立预测因子(β = 0.028; p = 0.017),而年龄和性别不是显著的预测因子。所有受试者均未见明显的疝出。结论:这是第一个基于ct的形态计量学研究,证明胸后凸与裂孔扩大有关,即使没有明显的突出。这些发现支持了体位性脊柱畸形可能通过结构重塑膈肌裂孔使个体易患胃食管反流的假设。
本文章由计算机程序翻译,如有差异,请以英文原文为准。

Association Between Thoracic Kyphosis and Hiatal Enlargement: A CT-Based Study Interpreted in Light of GERD-Linked Morphological Markers.

Association Between Thoracic Kyphosis and Hiatal Enlargement: A CT-Based Study Interpreted in Light of GERD-Linked Morphological Markers.

Association Between Thoracic Kyphosis and Hiatal Enlargement: A CT-Based Study Interpreted in Light of GERD-Linked Morphological Markers.

Background: Thoracic kyphosis has been increasingly associated with altered intra-abdominal and diaphragmatic dynamics, potentially contributing to gastroesophageal reflux disease (GERD) and hiatal hernia (HH). While previous studies have shown a relationship between spinal deformities and GERD symptoms, these findings have been largely observational, with few morphometric analyses. No prior study has directly quantified the relationship between thoracic curvature and hiatal surface area (HSA) using standardized computed tomography (CT)-based methods. Furthermore, existing studies have typically focused on patients with visible hernias, limiting understanding of early, subclinical anatomical changes. This study addresses this gap by evaluating whether thoracic kyphosis is associated with measurable hiatal enlargement, even in the absence of overt HH.

Methods: In this retrospective, single-center study, 100 adult patients (50 with thoracic kyphosis, defined as a Cobb angle of ≥50° and 50 age- and sex-matched controls) underwent multidetector CT (MDCT). Hiatal surface area (HSA) was measured on a standardized oblique axial plane aligned with the diaphragmatic crura. Correlation and multivariable regression analyses were performed to assess relationships between Cobb angle and HSA.

Results: The kyphosis group showed significantly larger HSA than controls (5.14 ± 1.31 cm2 vs. 3.59 ± 0.74 cm2; p < 0.001). A moderate positive correlation was found between Cobb angle and HSA (r = 0.336, p = 0.017). Multivariable analysis identified the Cobb angle as an independent predictor of HSA (β = 0.028; p = 0.017), while age and sex were not significant predictors. No overt herniation was present in any subject.

Conclusions: This is the first CT-based morphometric study to demonstrate that thoracic kyphosis is associated with hiatal enlargement, even in the absence of overt herniation. These findings support the hypothesis that postural spinal deformities may predispose individuals to GERD by structurally remodeling the diaphragmatic hiatus.

求助全文
通过发布文献求助,成功后即可免费获取论文全文。 去求助
来源期刊
Tomography
Tomography Medicine-Radiology, Nuclear Medicine and Imaging
CiteScore
2.70
自引率
10.50%
发文量
222
期刊介绍: TomographyTM publishes basic (technical and pre-clinical) and clinical scientific articles which involve the advancement of imaging technologies. Tomography encompasses studies that use single or multiple imaging modalities including for example CT, US, PET, SPECT, MR and hyperpolarization technologies, as well as optical modalities (i.e. bioluminescence, photoacoustic, endomicroscopy, fiber optic imaging and optical computed tomography) in basic sciences, engineering, preclinical and clinical medicine. Tomography also welcomes studies involving exploration and refinement of contrast mechanisms and image-derived metrics within and across modalities toward the development of novel imaging probes for image-based feedback and intervention. The use of imaging in biology and medicine provides unparalleled opportunities to noninvasively interrogate tissues to obtain real-time dynamic and quantitative information required for diagnosis and response to interventions and to follow evolving pathological conditions. As multi-modal studies and the complexities of imaging technologies themselves are ever increasing to provide advanced information to scientists and clinicians. Tomography provides a unique publication venue allowing investigators the opportunity to more precisely communicate integrated findings related to the diverse and heterogeneous features associated with underlying anatomical, physiological, functional, metabolic and molecular genetic activities of normal and diseased tissue. Thus Tomography publishes peer-reviewed articles which involve the broad use of imaging of any tissue and disease type including both preclinical and clinical investigations. In addition, hardware/software along with chemical and molecular probe advances are welcome as they are deemed to significantly contribute towards the long-term goal of improving the overall impact of imaging on scientific and clinical discovery.
×
引用
GB/T 7714-2015
复制
MLA
复制
APA
复制
导出至
BibTeX EndNote RefMan NoteFirst NoteExpress
×
提示
您的信息不完整,为了账户安全,请先补充。
现在去补充
×
提示
您因"违规操作"
具体请查看互助需知
我知道了
×
提示
确定
请完成安全验证×
copy
已复制链接
快去分享给好友吧!
我知道了
右上角分享
点击右上角分享
0
联系我们:info@booksci.cn Book学术提供免费学术资源搜索服务,方便国内外学者检索中英文文献。致力于提供最便捷和优质的服务体验。 Copyright © 2023 布克学术 All rights reserved.
京ICP备2023020795号-1
ghs 京公网安备 11010802042870号
Book学术文献互助
Book学术文献互助群
群 号:604180095
Book学术官方微信