颈动脉ct血管造影显示的小斑块与来源不明的栓塞性卒中的关系。

IF 3 Q2 CLINICAL NEUROLOGY
Junpei Nagasawa, Tatsuhiro Yokoyama, Makiko Ogawa, Ryuichi Okamoto, Mari Shibukawa, Junya Ebina, Takehisa Hirayama, Osamu Kano
{"title":"颈动脉ct血管造影显示的小斑块与来源不明的栓塞性卒中的关系。","authors":"Junpei Nagasawa, Tatsuhiro Yokoyama, Makiko Ogawa, Ryuichi Okamoto, Mari Shibukawa, Junya Ebina, Takehisa Hirayama, Osamu Kano","doi":"10.3390/neurolint17090148","DOIUrl":null,"url":null,"abstract":"<p><p><b>Objectives</b>: While traditionally, carotid plaques with significant stenosis have been considered major embolic sources, recent evidence suggests that even non-stenotic small plaques with a <50% stenosis rate may contribute to cerebral infarction. Herein, we evaluated the relationship between non-stenotic small plaques and embolic stroke of undetermined source (ESUS) using computed tomography angiography (CTA). <b>Materials and Methods</b>: We retrospectively reviewed our single-institutional database of hospitalized patients with stroke between April 2017 and December 2022 and enrolled them with ESUS. We evaluated the presence or absence of non-stenotic carotid artery plaque lesions ipsilateral and contralateral to the cerebral infarction lesion using CTA. A neurologist, blinded to the stroke side and all other clinical information, reviewed each CTA and viewed the axial and sagittal CTA source images. In each image, a line perpendicular to the vessel wall was drawn and the plaque diameter was measured. The largest part was considered as the maximum plaque diameter. <b>Results</b>: A total of 951 patients with stroke were hospitalized during the study period. Among these, 35 patients with unilateral anterior circulation ESUS were enrolled. Plaque prevalence > 3 mm was compared between the carotid artery on the ESUS side and contralateral carotid artery. The prevalences were 31% and 8% on the ESUS and contralateral sides, respectively. Plaques > 3 mm were often found on the ESUS side. <b>Conclusions</b>: Patients with ESUS were more likely to exhibit non-stenotic plaques of ≥3 mm in the infarcted carotid artery than in the contralateral carotid artery. Thus, small non-stenotic plaques may be the embolization source in ESUS, and CT angiography is useful for these evaluations.</p>","PeriodicalId":19130,"journal":{"name":"Neurology International","volume":"17 9","pages":""},"PeriodicalIF":3.0000,"publicationDate":"2025-09-14","publicationTypes":"Journal Article","fieldsOfStudy":null,"isOpenAccess":false,"openAccessPdf":"https://www.ncbi.nlm.nih.gov/pmc/articles/PMC12472282/pdf/","citationCount":"0","resultStr":"{\"title\":\"Association Between Carotid Artery Small Plaque on Computed Tomography Angiography and Embolic Stroke of Undetermined Source.\",\"authors\":\"Junpei Nagasawa, Tatsuhiro Yokoyama, Makiko Ogawa, Ryuichi Okamoto, Mari Shibukawa, Junya Ebina, Takehisa Hirayama, Osamu Kano\",\"doi\":\"10.3390/neurolint17090148\",\"DOIUrl\":null,\"url\":null,\"abstract\":\"<p><p><b>Objectives</b>: While traditionally, carotid plaques with significant stenosis have been considered major embolic sources, recent evidence suggests that even non-stenotic small plaques with a <50% stenosis rate may contribute to cerebral infarction. Herein, we evaluated the relationship between non-stenotic small plaques and embolic stroke of undetermined source (ESUS) using computed tomography angiography (CTA). <b>Materials and Methods</b>: We retrospectively reviewed our single-institutional database of hospitalized patients with stroke between April 2017 and December 2022 and enrolled them with ESUS. We evaluated the presence or absence of non-stenotic carotid artery plaque lesions ipsilateral and contralateral to the cerebral infarction lesion using CTA. A neurologist, blinded to the stroke side and all other clinical information, reviewed each CTA and viewed the axial and sagittal CTA source images. In each image, a line perpendicular to the vessel wall was drawn and the plaque diameter was measured. The largest part was considered as the maximum plaque diameter. <b>Results</b>: A total of 951 patients with stroke were hospitalized during the study period. Among these, 35 patients with unilateral anterior circulation ESUS were enrolled. Plaque prevalence > 3 mm was compared between the carotid artery on the ESUS side and contralateral carotid artery. The prevalences were 31% and 8% on the ESUS and contralateral sides, respectively. Plaques > 3 mm were often found on the ESUS side. <b>Conclusions</b>: Patients with ESUS were more likely to exhibit non-stenotic plaques of ≥3 mm in the infarcted carotid artery than in the contralateral carotid artery. Thus, small non-stenotic plaques may be the embolization source in ESUS, and CT angiography is useful for these evaluations.</p>\",\"PeriodicalId\":19130,\"journal\":{\"name\":\"Neurology International\",\"volume\":\"17 9\",\"pages\":\"\"},\"PeriodicalIF\":3.0000,\"publicationDate\":\"2025-09-14\",\"publicationTypes\":\"Journal Article\",\"fieldsOfStudy\":null,\"isOpenAccess\":false,\"openAccessPdf\":\"https://www.ncbi.nlm.nih.gov/pmc/articles/PMC12472282/pdf/\",\"citationCount\":\"0\",\"resultStr\":null,\"platform\":\"Semanticscholar\",\"paperid\":null,\"PeriodicalName\":\"Neurology International\",\"FirstCategoryId\":\"1085\",\"ListUrlMain\":\"https://doi.org/10.3390/neurolint17090148\",\"RegionNum\":0,\"RegionCategory\":null,\"ArticlePicture\":[],\"TitleCN\":null,\"AbstractTextCN\":null,\"PMCID\":null,\"EPubDate\":\"\",\"PubModel\":\"\",\"JCR\":\"Q2\",\"JCRName\":\"CLINICAL NEUROLOGY\",\"Score\":null,\"Total\":0}","platform":"Semanticscholar","paperid":null,"PeriodicalName":"Neurology International","FirstCategoryId":"1085","ListUrlMain":"https://doi.org/10.3390/neurolint17090148","RegionNum":0,"RegionCategory":null,"ArticlePicture":[],"TitleCN":null,"AbstractTextCN":null,"PMCID":null,"EPubDate":"","PubModel":"","JCR":"Q2","JCRName":"CLINICAL NEUROLOGY","Score":null,"Total":0}
引用次数: 0

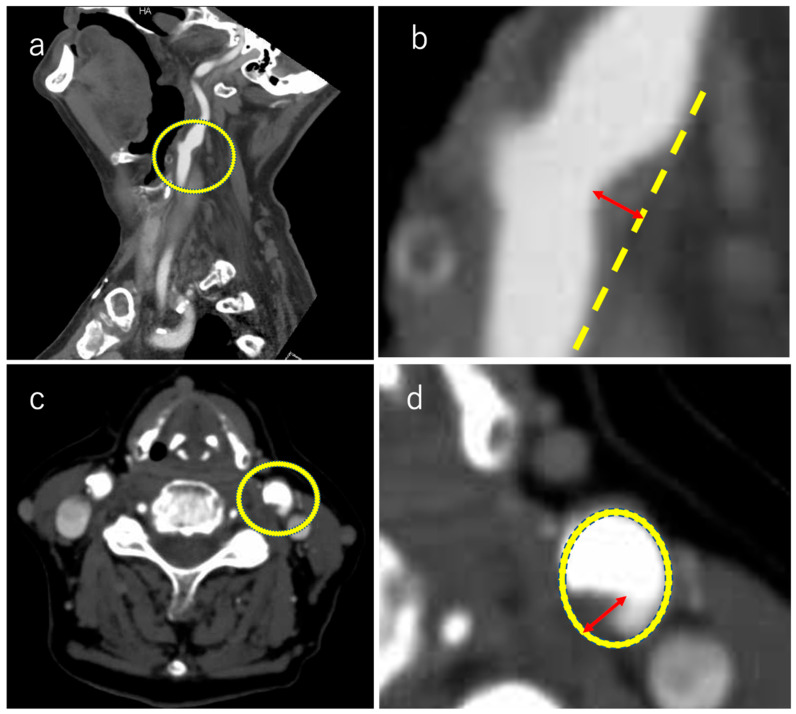
摘要

虽然传统上,颈动脉明显狭窄的斑块被认为是主要的栓塞来源,但最近的证据表明,即使是非狭窄的小斑块也存在栓塞。材料和方法:我们回顾性地回顾了2017年4月至2022年12月住院卒中患者的单一机构数据库,并将他们纳入ESUS。我们使用CTA评估脑梗死病灶同侧和对侧非狭窄性颈动脉斑块病变的存在或不存在。一位神经科医生,不知道中风侧和所有其他临床信息,检查了每个CTA,并查看了轴位和矢状位CTA源图像。在每张图像中,绘制一条垂直于血管壁的线,并测量斑块的直径。最大的部分被认为是最大的斑块直径。结果:研究期间共有951例脑卒中患者住院治疗。其中纳入35例单侧前循环ESUS患者。比较ESUS侧颈动脉与对侧颈动脉斑块患病率bbb3mm。ESUS和对侧的患病率分别为31%和8%。esu侧常可见30mm的斑块。结论:与对侧颈动脉相比,ESUS患者在梗死颈动脉内更容易出现≥3mm的非狭窄性斑块。因此,小的非狭窄性斑块可能是ESUS的栓塞源,CT血管造影对这些评估是有用的。
本文章由计算机程序翻译,如有差异,请以英文原文为准。

Association Between Carotid Artery Small Plaque on Computed Tomography Angiography and Embolic Stroke of Undetermined Source.

Association Between Carotid Artery Small Plaque on Computed Tomography Angiography and Embolic Stroke of Undetermined Source.

Association Between Carotid Artery Small Plaque on Computed Tomography Angiography and Embolic Stroke of Undetermined Source.

Objectives: While traditionally, carotid plaques with significant stenosis have been considered major embolic sources, recent evidence suggests that even non-stenotic small plaques with a <50% stenosis rate may contribute to cerebral infarction. Herein, we evaluated the relationship between non-stenotic small plaques and embolic stroke of undetermined source (ESUS) using computed tomography angiography (CTA). Materials and Methods: We retrospectively reviewed our single-institutional database of hospitalized patients with stroke between April 2017 and December 2022 and enrolled them with ESUS. We evaluated the presence or absence of non-stenotic carotid artery plaque lesions ipsilateral and contralateral to the cerebral infarction lesion using CTA. A neurologist, blinded to the stroke side and all other clinical information, reviewed each CTA and viewed the axial and sagittal CTA source images. In each image, a line perpendicular to the vessel wall was drawn and the plaque diameter was measured. The largest part was considered as the maximum plaque diameter. Results: A total of 951 patients with stroke were hospitalized during the study period. Among these, 35 patients with unilateral anterior circulation ESUS were enrolled. Plaque prevalence > 3 mm was compared between the carotid artery on the ESUS side and contralateral carotid artery. The prevalences were 31% and 8% on the ESUS and contralateral sides, respectively. Plaques > 3 mm were often found on the ESUS side. Conclusions: Patients with ESUS were more likely to exhibit non-stenotic plaques of ≥3 mm in the infarcted carotid artery than in the contralateral carotid artery. Thus, small non-stenotic plaques may be the embolization source in ESUS, and CT angiography is useful for these evaluations.

求助全文
通过发布文献求助,成功后即可免费获取论文全文。 去求助
来源期刊
Neurology International
Neurology International CLINICAL NEUROLOGY-
CiteScore
3.70
自引率
3.30%
发文量
69
审稿时长
11 weeks
×
引用
GB/T 7714-2015
复制
MLA
复制
APA
复制
导出至
BibTeX EndNote RefMan NoteFirst NoteExpress
×
提示
您的信息不完整,为了账户安全,请先补充。
现在去补充
×
提示
您因"违规操作"
具体请查看互助需知
我知道了
×
提示
确定
请完成安全验证×
copy
已复制链接
快去分享给好友吧!
我知道了
右上角分享
点击右上角分享
0
联系我们:info@booksci.cn Book学术提供免费学术资源搜索服务,方便国内外学者检索中英文文献。致力于提供最便捷和优质的服务体验。 Copyright © 2023 布克学术 All rights reserved.
京ICP备2023020795号-1
ghs 京公网安备 11010802042870号
Book学术文献互助
Book学术文献互助群
群 号:604180095
Book学术官方微信