内耳雪旺细胞:发育、疾病和再生。

IF 4 3区 医学 Q2 NEUROSCIENCES
Frontiers in Cellular Neuroscience Pub Date : 2025-09-10 eCollection Date: 2025-01-01 DOI:10.3389/fncel.2025.1662274
Drew J Montigny, Judith S Kempfle
{"title":"内耳雪旺细胞:发育、疾病和再生。","authors":"Drew J Montigny, Judith S Kempfle","doi":"10.3389/fncel.2025.1662274","DOIUrl":null,"url":null,"abstract":"<p><p>Schwann cells are classically known as the constituent supporting cells of the peripheral nervous system. Beyond the scope of merely myelinating axons of the more saliently known neurons, Schwann cells comprise the majority of peripheral nervous system tissue. Through the lens of the inner ear, additional properties of Schwann cells are becoming elucidated. Therein, the process of myelin formation in development is more aptly understood as a homeostatic oscillation of differentiation status. Perpetual interaction between neural and non-neural cells of the inner ear maintains an intricate balance of guidance, growth, and maturation during development. In disease, aberration to Schwann cell myelination contributes to sensorineural hearing loss in conditions such as Guillain-Barre Syndrome and Charcot-Marie-Tooth disease, and tumorigenic over proliferation of Schwann cells defines vestibular schwannomas seen in neurofibromatosis type 2. Schwann cells demonstrate plasticity during oscillations between differentiation and dedifferentiation, a property that is now being leveraged in efforts to regenerate lost neurons. Emerging strategies of reprogramming, small molecule modulation, and gene therapy suggest that Schwann cells could serve as progenitor cells for regenerated neurons. Understanding the duality of Schwann cells in pathology and repair could transform the approach to treating sensorineural hearing loss.</p>","PeriodicalId":12432,"journal":{"name":"Frontiers in Cellular Neuroscience","volume":"19 ","pages":"1662274"},"PeriodicalIF":4.0000,"publicationDate":"2025-09-10","publicationTypes":"Journal Article","fieldsOfStudy":null,"isOpenAccess":false,"openAccessPdf":"https://www.ncbi.nlm.nih.gov/pmc/articles/PMC12457403/pdf/","citationCount":"0","resultStr":"{\"title\":\"Schwann cells in the inner ear: development, disease, and regeneration.\",\"authors\":\"Drew J Montigny, Judith S Kempfle\",\"doi\":\"10.3389/fncel.2025.1662274\",\"DOIUrl\":null,\"url\":null,\"abstract\":\"<p><p>Schwann cells are classically known as the constituent supporting cells of the peripheral nervous system. Beyond the scope of merely myelinating axons of the more saliently known neurons, Schwann cells comprise the majority of peripheral nervous system tissue. Through the lens of the inner ear, additional properties of Schwann cells are becoming elucidated. Therein, the process of myelin formation in development is more aptly understood as a homeostatic oscillation of differentiation status. Perpetual interaction between neural and non-neural cells of the inner ear maintains an intricate balance of guidance, growth, and maturation during development. In disease, aberration to Schwann cell myelination contributes to sensorineural hearing loss in conditions such as Guillain-Barre Syndrome and Charcot-Marie-Tooth disease, and tumorigenic over proliferation of Schwann cells defines vestibular schwannomas seen in neurofibromatosis type 2. Schwann cells demonstrate plasticity during oscillations between differentiation and dedifferentiation, a property that is now being leveraged in efforts to regenerate lost neurons. Emerging strategies of reprogramming, small molecule modulation, and gene therapy suggest that Schwann cells could serve as progenitor cells for regenerated neurons. Understanding the duality of Schwann cells in pathology and repair could transform the approach to treating sensorineural hearing loss.</p>\",\"PeriodicalId\":12432,\"journal\":{\"name\":\"Frontiers in Cellular Neuroscience\",\"volume\":\"19 \",\"pages\":\"1662274\"},\"PeriodicalIF\":4.0000,\"publicationDate\":\"2025-09-10\",\"publicationTypes\":\"Journal Article\",\"fieldsOfStudy\":null,\"isOpenAccess\":false,\"openAccessPdf\":\"https://www.ncbi.nlm.nih.gov/pmc/articles/PMC12457403/pdf/\",\"citationCount\":\"0\",\"resultStr\":null,\"platform\":\"Semanticscholar\",\"paperid\":null,\"PeriodicalName\":\"Frontiers in Cellular Neuroscience\",\"FirstCategoryId\":\"3\",\"ListUrlMain\":\"https://doi.org/10.3389/fncel.2025.1662274\",\"RegionNum\":3,\"RegionCategory\":\"医学\",\"ArticlePicture\":[],\"TitleCN\":null,\"AbstractTextCN\":null,\"PMCID\":null,\"EPubDate\":\"2025/1/1 0:00:00\",\"PubModel\":\"eCollection\",\"JCR\":\"Q2\",\"JCRName\":\"NEUROSCIENCES\",\"Score\":null,\"Total\":0}","platform":"Semanticscholar","paperid":null,"PeriodicalName":"Frontiers in Cellular Neuroscience","FirstCategoryId":"3","ListUrlMain":"https://doi.org/10.3389/fncel.2025.1662274","RegionNum":3,"RegionCategory":"医学","ArticlePicture":[],"TitleCN":null,"AbstractTextCN":null,"PMCID":null,"EPubDate":"2025/1/1 0:00:00","PubModel":"eCollection","JCR":"Q2","JCRName":"NEUROSCIENCES","Score":null,"Total":0}
引用次数: 0

摘要

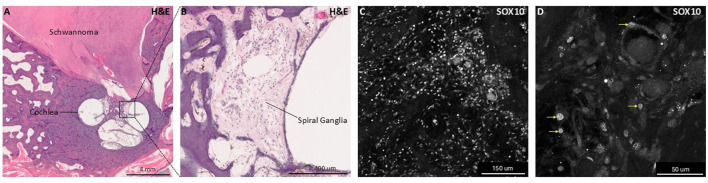
雪旺细胞通常被认为是周围神经系统的主要支持细胞。除了仅仅是髓鞘轴突的范围外,雪旺细胞包括大部分周围神经系统组织。通过内耳的晶状体,雪旺细胞的其他特性正在被阐明。因此,髓磷脂形成的过程在发育过程中被更恰当地理解为分化状态的稳态振荡。内耳神经细胞和非神经细胞之间的持续相互作用维持了发育过程中指导、生长和成熟的复杂平衡。在疾病中,雪旺细胞髓鞘形成的异常导致格林-巴利综合征和沙科-玛丽-图斯病等病症的感音神经性听力丧失,2型神经纤维瘤病中雪旺细胞的致瘤性过度增殖定义了前庭神经鞘瘤。雪旺细胞在分化和去分化之间的振荡过程中表现出可塑性,这一特性现在正被用于再生失去的神经元。新出现的重编程、小分子调节和基因治疗策略表明,雪旺细胞可以作为再生神经元的祖细胞。了解雪旺细胞在病理和修复中的双重性可以改变治疗感音神经性听力损失的方法。
本文章由计算机程序翻译,如有差异,请以英文原文为准。

Schwann cells in the inner ear: development, disease, and regeneration.

Schwann cells in the inner ear: development, disease, and regeneration.

Schwann cells in the inner ear: development, disease, and regeneration.

Schwann cells in the inner ear: development, disease, and regeneration.

Schwann cells are classically known as the constituent supporting cells of the peripheral nervous system. Beyond the scope of merely myelinating axons of the more saliently known neurons, Schwann cells comprise the majority of peripheral nervous system tissue. Through the lens of the inner ear, additional properties of Schwann cells are becoming elucidated. Therein, the process of myelin formation in development is more aptly understood as a homeostatic oscillation of differentiation status. Perpetual interaction between neural and non-neural cells of the inner ear maintains an intricate balance of guidance, growth, and maturation during development. In disease, aberration to Schwann cell myelination contributes to sensorineural hearing loss in conditions such as Guillain-Barre Syndrome and Charcot-Marie-Tooth disease, and tumorigenic over proliferation of Schwann cells defines vestibular schwannomas seen in neurofibromatosis type 2. Schwann cells demonstrate plasticity during oscillations between differentiation and dedifferentiation, a property that is now being leveraged in efforts to regenerate lost neurons. Emerging strategies of reprogramming, small molecule modulation, and gene therapy suggest that Schwann cells could serve as progenitor cells for regenerated neurons. Understanding the duality of Schwann cells in pathology and repair could transform the approach to treating sensorineural hearing loss.

求助全文
通过发布文献求助,成功后即可免费获取论文全文。 去求助
来源期刊
CiteScore
7.90
自引率
3.80%
发文量
627
审稿时长
6-12 weeks
期刊介绍: Frontiers in Cellular Neuroscience is a leading journal in its field, publishing rigorously peer-reviewed research that advances our understanding of the cellular mechanisms underlying cell function in the nervous system across all species. Specialty Chief Editors Egidio D‘Angelo at the University of Pavia and Christian Hansel at the University of Chicago are supported by an outstanding Editorial Board of international researchers. This multidisciplinary open-access journal is at the forefront of disseminating and communicating scientific knowledge and impactful discoveries to researchers, academics, clinicians and the public worldwide.
×
引用
GB/T 7714-2015
复制
MLA
复制
APA
复制
导出至
BibTeX EndNote RefMan NoteFirst NoteExpress
×
提示
您的信息不完整,为了账户安全,请先补充。
现在去补充
×
提示
您因"违规操作"
具体请查看互助需知
我知道了
×
提示
确定
请完成安全验证×
copy
已复制链接
快去分享给好友吧!
我知道了
右上角分享
点击右上角分享
0
联系我们:info@booksci.cn Book学术提供免费学术资源搜索服务,方便国内外学者检索中英文文献。致力于提供最便捷和优质的服务体验。 Copyright © 2023 布克学术 All rights reserved.
京ICP备2023020795号-1
ghs 京公网安备 11010802042870号
Book学术文献互助
Book学术文献互助群
群 号:604180095
Book学术官方微信